Endoscopic retrograde cholangiopancreatography induced splenic injury: comprehensive analysis and new perspectives based on a case report.

IF 2.4 Q2 GASTROENTEROLOGY & HEPATOLOGY
Therapeutic Advances in Gastrointestinal Endoscopy Pub Date : 2024-01-12 eCollection Date: 2024-01-01 DOI:10.1177/26317745231223312
Dimitrios S Kourdakis, Savvas P Deftereos
{"title":"Endoscopic retrograde cholangiopancreatography induced splenic injury: comprehensive analysis and new perspectives based on a case report.","authors":"Dimitrios S Kourdakis, Savvas P Deftereos","doi":"10.1177/26317745231223312","DOIUrl":null,"url":null,"abstract":"<p><p>Splenic injury is an extremely rare complication of endoscopic retrograde cholangiopancreatography (ERCP). There are only 34 cases reported in the literature up to now. Based on a case of a 72-year-old man, who after ERCP due to choledocholithiasis developed a large perisplenic and subcapsular hematoma, we carried out an extensive review of all cases of ERCP-induced splenic injury found in the literature. We searched PubMed/Medline and Google Scholar till 15 April 2023, for published case reports and series using the following terms: splenic injury after ERCP, ERCP-induced splenic injury, and post-ERCP splenic trauma. The case reports included were in English, Spanish, and German literature. We attempt to discuss the possible clinical image, the available diagnostic methods, the potential treatment alternatives, and predisposing factors related to this entity. Furthermore, a theory of a possible mechanism of this injury is discussed and supported schematically. The ERCP-induced splenic injury is rare and a high index of suspicion is needed for diagnosis. Therefore, we present two diagnostic algorithms, which according to our opinion may assist the evaluation of this complication and lead to early accurate diagnosis and appropriate management. Collectively, our findings support that although ERCP-induced splenic injury is an unexpected/unusual complication of ERCP, following the proper steps can be timely diagnosed and treated.</p>","PeriodicalId":40947,"journal":{"name":"Therapeutic Advances in Gastrointestinal Endoscopy","volume":"17 ","pages":"26317745231223312"},"PeriodicalIF":2.4000,"publicationDate":"2024-01-12","publicationTypes":"Journal Article","fieldsOfStudy":null,"isOpenAccess":false,"openAccessPdf":"https://www.ncbi.nlm.nih.gov/pmc/articles/PMC10787536/pdf/","citationCount":"0","resultStr":null,"platform":"Semanticscholar","paperid":null,"PeriodicalName":"Therapeutic Advances in Gastrointestinal Endoscopy","FirstCategoryId":"1085","ListUrlMain":"https://doi.org/10.1177/26317745231223312","RegionNum":0,"RegionCategory":null,"ArticlePicture":[],"TitleCN":null,"AbstractTextCN":null,"PMCID":null,"EPubDate":"2024/1/1 0:00:00","PubModel":"eCollection","JCR":"Q2","JCRName":"GASTROENTEROLOGY & HEPATOLOGY","Score":null,"Total":0}
引用次数: 0

Abstract

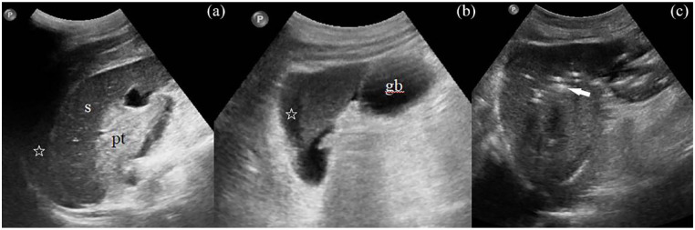
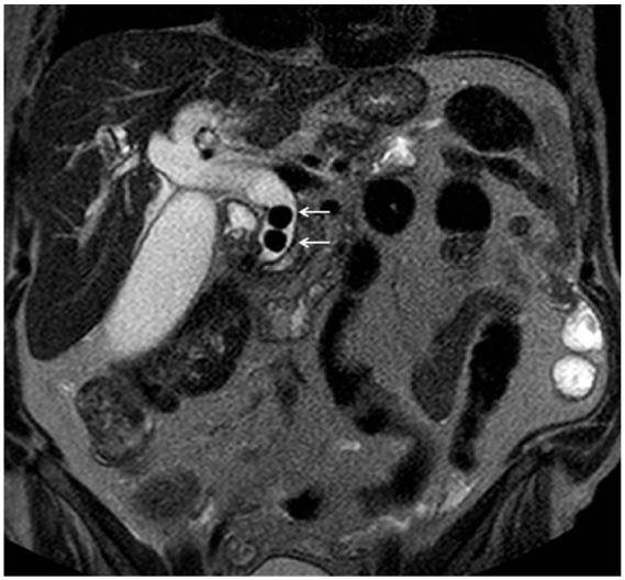
Splenic injury is an extremely rare complication of endoscopic retrograde cholangiopancreatography (ERCP). There are only 34 cases reported in the literature up to now. Based on a case of a 72-year-old man, who after ERCP due to choledocholithiasis developed a large perisplenic and subcapsular hematoma, we carried out an extensive review of all cases of ERCP-induced splenic injury found in the literature. We searched PubMed/Medline and Google Scholar till 15 April 2023, for published case reports and series using the following terms: splenic injury after ERCP, ERCP-induced splenic injury, and post-ERCP splenic trauma. The case reports included were in English, Spanish, and German literature. We attempt to discuss the possible clinical image, the available diagnostic methods, the potential treatment alternatives, and predisposing factors related to this entity. Furthermore, a theory of a possible mechanism of this injury is discussed and supported schematically. The ERCP-induced splenic injury is rare and a high index of suspicion is needed for diagnosis. Therefore, we present two diagnostic algorithms, which according to our opinion may assist the evaluation of this complication and lead to early accurate diagnosis and appropriate management. Collectively, our findings support that although ERCP-induced splenic injury is an unexpected/unusual complication of ERCP, following the proper steps can be timely diagnosed and treated.

Abstract Image

Abstract Image

Abstract Image

内镜逆行胰胆管造影引发的脾脏损伤:基于病例报告的全面分析和新视角。
脾脏损伤是内镜逆行胰胆管造影术(ERCP)中极为罕见的并发症。迄今为止,文献中仅报道了 34 例。一名 72 岁的男性因胆总管结石行 ERCP 术后出现脾周和脾囊下大面积血肿,基于该病例,我们对文献中所有 ERCP 引起脾损伤的病例进行了广泛的回顾。截至 2023 年 4 月 15 日,我们在 PubMed/Medline 和 Google Scholar 上检索了已发表的病例报告和系列文章,检索时使用了以下术语:ERCP 后脾损伤、ERCP 诱导的脾损伤和 ERCP 后脾创伤。收录的病例报告有英文、西班牙文和德文文献。我们试图讨论可能的临床表现、可用的诊断方法、潜在的替代治疗方法以及与该病症相关的易感因素。此外,我们还对这种损伤的可能机制进行了讨论,并提供了图解支持。ERCP 引起的脾脏损伤非常罕见,诊断时需要高度怀疑。因此,我们提出了两种诊断算法,根据我们的观点,这两种算法可能有助于对这种并发症进行评估,并导致早期准确诊断和适当处理。总之,我们的研究结果表明,尽管ERCP诱发的脾损伤是ERCP的意外/罕见并发症,但按照正确的步骤可以及时诊断和治疗。
本文章由计算机程序翻译,如有差异,请以英文原文为准。
求助全文
约1分钟内获得全文 求助全文
来源期刊
CiteScore
4.80
自引率
0.00%
发文量
8
审稿时长
13 weeks
×
引用
GB/T 7714-2015
复制
MLA
复制
APA
复制
导出至
BibTeX EndNote RefMan NoteFirst NoteExpress
×
提示
您的信息不完整,为了账户安全,请先补充。
现在去补充
×
提示
您因"违规操作"
具体请查看互助需知
我知道了
×
提示
确定
请完成安全验证×
copy
已复制链接
快去分享给好友吧!
我知道了
右上角分享
点击右上角分享
0
联系我们:info@booksci.cn Book学术提供免费学术资源搜索服务,方便国内外学者检索中英文文献。致力于提供最便捷和优质的服务体验。 Copyright © 2023 布克学术 All rights reserved.
京ICP备2023020795号-1
ghs 京公网安备 11010802042870号
Book学术文献互助
Book学术文献互助群
群 号:604180095
Book学术官方微信