The apoptotic and anti-proliferative effect of Lysyl oxidase propeptide in Y79 human retinoblastoma cells.

IF 1.4 3区 医学 Q4 BIOCHEMISTRY & MOLECULAR BIOLOGY
Molecular Vision Pub Date : 2023-08-14 eCollection Date: 2023-01-01
Nareshkumar Ragavachetty Nagaraj, Sulochana Konerirajapuram Natarajan, Coral Karunakaran
{"title":"The apoptotic and anti-proliferative effect of Lysyl oxidase propeptide in Y79 human retinoblastoma cells.","authors":"Nareshkumar Ragavachetty Nagaraj, Sulochana Konerirajapuram Natarajan, Coral Karunakaran","doi":"","DOIUrl":null,"url":null,"abstract":"<p><strong>Purpose: </strong>Retinoblastoma (RB) caused by the mutation of the <i>RB1</i> gene is one of the most common ocular malignancies in children The propeptide region of lysyl oxidase (LOX), the enzyme involved in the cross-linking of collagen and elastin, has been identified to be anti-tumorigenic in various cancers. However, this role of lysyl oxidase propeptide (LOX-PP) in RB is still elusive. This study aims to identify the anti-tumorigenic effect of LOX-PP in human Y79 RB cells.</p><p><strong>Methods: </strong>LOX-PP was overexpressed in Y79 RB cells, and differential gene expression was assessed by microarray followed by pathway analysis using transcriptome analysis console (TAC) software. Additionally, cell proliferation was studied by PrestoBlue assay, and DNA content was evaluated by cell cycle and apoptosis assays. The pro-apoptotic and anti-proliferative mechanisms induced by the overexpression of/exogenously added LOX-PP was evaluated by western blotting and real-time PCR.</p><p><strong>Results: </strong>The expression of the <i>LOX-PP</i> transcript was significantly decreased in Y79 RB cells compared to human retinal endothelial cells. Gene expression analysis in LOX-PP overexpressed Y79 RB cells showed deregulation of pathways involved in apoptosis, cell cycle, focal adhesion-PI3K-AKT signaling, and DNA repair mechanisms. Interestingly, LOX-PP overexpressed Y79 RB cells showed significantly increased apoptosis, decreased proliferation, and cell cycle arrest at S-phase with a concordant reduction of proliferative cell nuclear antigen and Cyclin D1 protein expressions. Moreover, pAKT (S473) was significantly downregulated in Y79 RB cells, which decreased NFκB leading to significantly reduced BCL2 expression.</p><p><strong>Conclusions: </strong>Our results demonstrate the anti-tumorigenic effect of LOX-PP in Y79 RB cells by inducing apoptosis and decreasing proliferation. This effect was mediated by the downregulation of AKT signaling. These results suggest that LOX-PP can be explored as a therapeutic molecule in RB.</p>","PeriodicalId":18866,"journal":{"name":"Molecular Vision","volume":"29 ","pages":"125-139"},"PeriodicalIF":1.4000,"publicationDate":"2023-08-14","publicationTypes":"Journal Article","fieldsOfStudy":null,"isOpenAccess":false,"openAccessPdf":"https://www.ncbi.nlm.nih.gov/pmc/articles/PMC10784223/pdf/","citationCount":"0","resultStr":null,"platform":"Semanticscholar","paperid":null,"PeriodicalName":"Molecular Vision","FirstCategoryId":"3","ListUrlMain":"","RegionNum":3,"RegionCategory":"医学","ArticlePicture":[],"TitleCN":null,"AbstractTextCN":null,"PMCID":null,"EPubDate":"2023/1/1 0:00:00","PubModel":"eCollection","JCR":"Q4","JCRName":"BIOCHEMISTRY & MOLECULAR BIOLOGY","Score":null,"Total":0}
引用次数: 0

Abstract

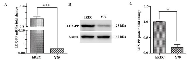
Purpose: Retinoblastoma (RB) caused by the mutation of the RB1 gene is one of the most common ocular malignancies in children The propeptide region of lysyl oxidase (LOX), the enzyme involved in the cross-linking of collagen and elastin, has been identified to be anti-tumorigenic in various cancers. However, this role of lysyl oxidase propeptide (LOX-PP) in RB is still elusive. This study aims to identify the anti-tumorigenic effect of LOX-PP in human Y79 RB cells.

Methods: LOX-PP was overexpressed in Y79 RB cells, and differential gene expression was assessed by microarray followed by pathway analysis using transcriptome analysis console (TAC) software. Additionally, cell proliferation was studied by PrestoBlue assay, and DNA content was evaluated by cell cycle and apoptosis assays. The pro-apoptotic and anti-proliferative mechanisms induced by the overexpression of/exogenously added LOX-PP was evaluated by western blotting and real-time PCR.

Results: The expression of the LOX-PP transcript was significantly decreased in Y79 RB cells compared to human retinal endothelial cells. Gene expression analysis in LOX-PP overexpressed Y79 RB cells showed deregulation of pathways involved in apoptosis, cell cycle, focal adhesion-PI3K-AKT signaling, and DNA repair mechanisms. Interestingly, LOX-PP overexpressed Y79 RB cells showed significantly increased apoptosis, decreased proliferation, and cell cycle arrest at S-phase with a concordant reduction of proliferative cell nuclear antigen and Cyclin D1 protein expressions. Moreover, pAKT (S473) was significantly downregulated in Y79 RB cells, which decreased NFκB leading to significantly reduced BCL2 expression.

Conclusions: Our results demonstrate the anti-tumorigenic effect of LOX-PP in Y79 RB cells by inducing apoptosis and decreasing proliferation. This effect was mediated by the downregulation of AKT signaling. These results suggest that LOX-PP can be explored as a therapeutic molecule in RB.

Abstract Image

Abstract Image

Abstract Image

Lysyl oxidase propeptide 对 Y79 人视网膜母细胞瘤细胞的凋亡和抗增殖作用。
研究目的由 RB1 基因突变引起的视网膜母细胞瘤(RB)是儿童中最常见的眼部恶性肿瘤之一。赖氨酰氧化酶(LOX)是一种参与胶原蛋白和弹性蛋白交联的酶,已被确认在多种癌症中具有抗肿瘤作用。然而,赖氨酰氧化酶丙肽(LOX-PP)在 RB 中的这种作用仍然难以捉摸。本研究旨在确定 LOX-PP 在人 Y79 RB 细胞中的抗肿瘤作用:方法:在 Y79 RB 细胞中过表达 LOX-PP,并使用芯片评估差异基因表达,然后使用转录组分析控制台(TAC)软件进行通路分析。此外,还通过 PrestoBlue 检测法研究了细胞增殖,并通过细胞周期和细胞凋亡检测法评估了 DNA 含量。过表达/外源添加LOX-PP诱导的促凋亡和抗增殖机制通过Western印迹和实时PCR进行了评估:结果:与人视网膜内皮细胞相比,LOX-PP转录本在Y79 RB细胞中的表达明显下降。过表达 LOX-PP 的 Y79 RB 细胞中的基因表达分析表明,参与细胞凋亡、细胞周期、病灶粘附-PI3K-AKT 信号转导和 DNA 修复机制的通路发生了失调。有趣的是,LOX-PP 过表达的 Y79 RB 细胞表现出明显的凋亡增加、增殖减少和细胞周期停滞于 S 期,同时增殖细胞核抗原和细胞周期蛋白 D1 蛋白表达量减少。此外,Y79 RB细胞中pAKT(S473)明显下调,NFκB减少,导致BCL2表达明显降低:我们的研究结果表明,LOX-PP 通过诱导细胞凋亡和减少增殖,对 Y79 RB 细胞具有抗肿瘤作用。这种作用是通过下调 AKT 信号传导介导的。这些结果表明,LOX-PP可作为一种治疗RB的分子进行探索。
本文章由计算机程序翻译,如有差异,请以英文原文为准。
求助全文
约1分钟内获得全文 求助全文
来源期刊
Molecular Vision
Molecular Vision 生物-生化与分子生物学
CiteScore
4.40
自引率
0.00%
发文量
25
审稿时长
1 months
期刊介绍: Molecular Vision is a peer-reviewed journal dedicated to the dissemination of research results in molecular biology, cell biology, and the genetics of the visual system (ocular and cortical). Molecular Vision publishes articles presenting original research that has not previously been published and comprehensive articles reviewing the current status of a particular field or topic. Submissions to Molecular Vision are subjected to rigorous peer review. Molecular Vision does NOT publish preprints. For authors, Molecular Vision provides a rapid means of communicating important results. Access to Molecular Vision is free and unrestricted, allowing the widest possible audience for your article. Digital publishing allows you to use color images freely (and without fees). Additionally, you may publish animations, sounds, or other supplementary information that clarifies or supports your article. Each of the authors of an article may also list an electronic mail address (which will be updated upon request) to give interested readers easy access to authors.
×
引用
GB/T 7714-2015
复制
MLA
复制
APA
复制
导出至
BibTeX EndNote RefMan NoteFirst NoteExpress
×
提示
您的信息不完整,为了账户安全,请先补充。
现在去补充
×
提示
您因"违规操作"
具体请查看互助需知
我知道了
×
提示
确定
请完成安全验证×
copy
已复制链接
快去分享给好友吧!
我知道了
右上角分享
点击右上角分享
0
联系我们:info@booksci.cn Book学术提供免费学术资源搜索服务,方便国内外学者检索中英文文献。致力于提供最便捷和优质的服务体验。 Copyright © 2023 布克学术 All rights reserved.
京ICP备2023020795号-1
ghs 京公网安备 11010802042870号
Book学术文献互助
Book学术文献互助群
群 号:604180095
Book学术官方微信