Light damage induces inflammatory factors in mouse retina and vitreous humor.

IF 1.4 3区 医学 Q4 BIOCHEMISTRY & MOLECULAR BIOLOGY
Molecular Vision Pub Date : 2023-10-15 eCollection Date: 2023-01-01
Wei Liu, Xingfei Zhu, Xiangyu Ge, Yulin Chen, David Wan-Cheng Li, Lili Gong
{"title":"Light damage induces inflammatory factors in mouse retina and vitreous humor.","authors":"Wei Liu, Xingfei Zhu, Xiangyu Ge, Yulin Chen, David Wan-Cheng Li, Lili Gong","doi":"","DOIUrl":null,"url":null,"abstract":"<p><strong>Purpose: </strong>Increased inflammatory factor levels have been reported in the vitreous humor (VH) of diabetic retinopathy and neovascular age-related macular degeneration, ocular diseases generally associated with the formation of new retinal blood vessels and leakage. However, the levels of inflammatory mediators are less known in retinal degeneration without neovascularization. Human retinitis pigmentosa (RP) and animal models of light-induced retinal degeneration (LIRD) share several features, such as photoreceptor death and retinal inflammation. Here, we aimed to determine the levels of inflammatory factors in the VH of the LIRD mouse model.</p><p><strong>Methods: </strong>LIRD was induced by exposing BALB/c mice to white light (15,000 lx, 2 h), and the mice were recovered for 2 days before analysis (n = 50 mice). We assessed retinal morphology using optical coherence tomography and hematoxylin and eosin staining; retinal cell viability was determined using terminal deoxynucleotidyl transferase dUTP nick-end labeling, and retinal responses were measured based on electroretinogram signals. Total retinal RNAs were extracted and subjected to RNA sequencing analysis. VH samples from control (n = 4) and LIRD mice (n = 9) were assayed in triplicate for a panel of four inflammatory mediators using the Simple Plex Cartridge on an Ella System.</p><p><strong>Results: </strong>Retinal degeneration, photoreceptor death, infiltration of microglia/macrophages into the photoreceptor layer, and loss of a- and b-waves were obviously detected after LIRD. RNA sequencing revealed that light damage (LD) led to the significant upregulation of inflammatory factors in mouse retinas. In the VH, LD increased the total protein concentration. Dramatic induction of CCL2 (~3000 fold) and IL6 (~10 fold) was detected in VH in response to LD. Increased but not significant levels of TNFα and IL1β were also detected in light-exposed VH.</p><p><strong>Conclusions: </strong>Given that the LIRD model mimics RP pathogenesis in some aspects, these results suggest a causative link between retinal degeneration and VH inflammation in RP progression, and the increased CCL2 level in VH may reflect similar elevated CCL2 expression in the degenerative retina.</p>","PeriodicalId":18866,"journal":{"name":"Molecular Vision","volume":"29 ","pages":"180-187"},"PeriodicalIF":1.4000,"publicationDate":"2023-10-15","publicationTypes":"Journal Article","fieldsOfStudy":null,"isOpenAccess":false,"openAccessPdf":"https://www.ncbi.nlm.nih.gov/pmc/articles/PMC10784230/pdf/","citationCount":"0","resultStr":null,"platform":"Semanticscholar","paperid":null,"PeriodicalName":"Molecular Vision","FirstCategoryId":"3","ListUrlMain":"","RegionNum":3,"RegionCategory":"医学","ArticlePicture":[],"TitleCN":null,"AbstractTextCN":null,"PMCID":null,"EPubDate":"2023/1/1 0:00:00","PubModel":"eCollection","JCR":"Q4","JCRName":"BIOCHEMISTRY & MOLECULAR BIOLOGY","Score":null,"Total":0}
引用次数: 0

Abstract

Purpose: Increased inflammatory factor levels have been reported in the vitreous humor (VH) of diabetic retinopathy and neovascular age-related macular degeneration, ocular diseases generally associated with the formation of new retinal blood vessels and leakage. However, the levels of inflammatory mediators are less known in retinal degeneration without neovascularization. Human retinitis pigmentosa (RP) and animal models of light-induced retinal degeneration (LIRD) share several features, such as photoreceptor death and retinal inflammation. Here, we aimed to determine the levels of inflammatory factors in the VH of the LIRD mouse model.

Methods: LIRD was induced by exposing BALB/c mice to white light (15,000 lx, 2 h), and the mice were recovered for 2 days before analysis (n = 50 mice). We assessed retinal morphology using optical coherence tomography and hematoxylin and eosin staining; retinal cell viability was determined using terminal deoxynucleotidyl transferase dUTP nick-end labeling, and retinal responses were measured based on electroretinogram signals. Total retinal RNAs were extracted and subjected to RNA sequencing analysis. VH samples from control (n = 4) and LIRD mice (n = 9) were assayed in triplicate for a panel of four inflammatory mediators using the Simple Plex Cartridge on an Ella System.

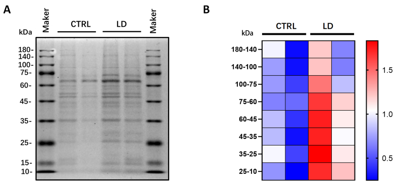
Results: Retinal degeneration, photoreceptor death, infiltration of microglia/macrophages into the photoreceptor layer, and loss of a- and b-waves were obviously detected after LIRD. RNA sequencing revealed that light damage (LD) led to the significant upregulation of inflammatory factors in mouse retinas. In the VH, LD increased the total protein concentration. Dramatic induction of CCL2 (~3000 fold) and IL6 (~10 fold) was detected in VH in response to LD. Increased but not significant levels of TNFα and IL1β were also detected in light-exposed VH.

Conclusions: Given that the LIRD model mimics RP pathogenesis in some aspects, these results suggest a causative link between retinal degeneration and VH inflammation in RP progression, and the increased CCL2 level in VH may reflect similar elevated CCL2 expression in the degenerative retina.

Abstract Image

Abstract Image

Abstract Image

光损伤诱导小鼠视网膜和玻璃体中的炎症因子
目的:据报道,糖尿病视网膜病变和新生血管性老年性黄斑变性的玻璃体液(VH)中炎症因子水平升高,这些眼部疾病通常与新生视网膜血管的形成和渗漏有关。然而,人们对无新生血管的视网膜变性中的炎症介质水平知之甚少。人类色素性视网膜炎(RP)和光诱导视网膜变性(LIRD)动物模型有几个共同的特征,如感光细胞死亡和视网膜炎症。在此,我们旨在确定 LIRD 小鼠模型 VH 中的炎症因子水平:方法:将 BALB/c 小鼠暴露于白光(15,000 lx,2 小时)下诱导 LIRD,小鼠恢复 2 天后再进行分析(n = 50 只小鼠)。我们使用光学相干断层扫描和苏木精及伊红染色法评估视网膜形态;使用末端脱氧核苷酸转移酶 dUTP nick-end 标记法测定视网膜细胞活力;根据视网膜电图信号测量视网膜反应。提取视网膜总 RNA 并进行 RNA 测序分析。对照组(n = 4)和 LIRD 小鼠(n = 9)的 VH 样品一式三份,使用艾拉系统上的 Simple Plex 盒检测四种炎症介质:结果:LIRD后明显检测到视网膜变性、感光细胞死亡、小胶质细胞/巨噬细胞渗入感光细胞层以及a波和b波缺失。RNA测序显示,光损伤(LD)导致小鼠视网膜中的炎症因子显著上调。在VH中,LD增加了总蛋白浓度。在VH中,检测到CCL2(约3000倍)和IL6(约10倍)在LD作用下显著诱导。在光照暴露的 VH 中还检测到 TNFα 和 IL1β 水平升高,但不明显:结论:鉴于 LIRD 模型在某些方面模拟了 RP 的发病机制,这些结果表明,在 RP 的发展过程中,视网膜变性与 VH 炎症之间存在因果关系,而 VH 中 CCL2 水平的升高可能反映了变性视网膜中类似的 CCL2 表达升高。
本文章由计算机程序翻译,如有差异,请以英文原文为准。
求助全文
约1分钟内获得全文 求助全文
来源期刊
Molecular Vision
Molecular Vision 生物-生化与分子生物学
CiteScore
4.40
自引率
0.00%
发文量
25
审稿时长
1 months
期刊介绍: Molecular Vision is a peer-reviewed journal dedicated to the dissemination of research results in molecular biology, cell biology, and the genetics of the visual system (ocular and cortical). Molecular Vision publishes articles presenting original research that has not previously been published and comprehensive articles reviewing the current status of a particular field or topic. Submissions to Molecular Vision are subjected to rigorous peer review. Molecular Vision does NOT publish preprints. For authors, Molecular Vision provides a rapid means of communicating important results. Access to Molecular Vision is free and unrestricted, allowing the widest possible audience for your article. Digital publishing allows you to use color images freely (and without fees). Additionally, you may publish animations, sounds, or other supplementary information that clarifies or supports your article. Each of the authors of an article may also list an electronic mail address (which will be updated upon request) to give interested readers easy access to authors.
×
引用
GB/T 7714-2015
复制
MLA
复制
APA
复制
导出至
BibTeX EndNote RefMan NoteFirst NoteExpress
×
提示
您的信息不完整,为了账户安全,请先补充。
现在去补充
×
提示
您因"违规操作"
具体请查看互助需知
我知道了
×
提示
确定
请完成安全验证×
copy
已复制链接
快去分享给好友吧!
我知道了
右上角分享
点击右上角分享
0
联系我们:info@booksci.cn Book学术提供免费学术资源搜索服务,方便国内外学者检索中英文文献。致力于提供最便捷和优质的服务体验。 Copyright © 2023 布克学术 All rights reserved.
京ICP备2023020795号-1
ghs 京公网安备 11010802042870号
Book学术文献互助
Book学术文献互助群
群 号:604180095
Book学术官方微信