GPR143 mutations in an X-linked infantile nystagmus syndrome cohort in Southeast China.

IF 1.4 3区 医学 Q4 BIOCHEMISTRY & MOLECULAR BIOLOGY
Molecular Vision Pub Date : 2023-11-01 eCollection Date: 2023-01-01
Jingling Xu, Yihan Zheng, Lulu Cheng, Huihui Sun, Xinping Yu, Feng Gu, E Song
{"title":"<i>GPR143</i> mutations in an X-linked infantile nystagmus syndrome cohort in Southeast China.","authors":"Jingling Xu, Yihan Zheng, Lulu Cheng, Huihui Sun, Xinping Yu, Feng Gu, E Song","doi":"","DOIUrl":null,"url":null,"abstract":"<p><strong>Purpose: </strong>Infantile nystagmus syndrome (INS), or congenital nystagmus (CN), refers to a group of ocular motor disorders characterized by rapid to-and-fro oscillations of the eyes. <i>GPR143</i> is the causative gene of ocular albinism type 1 (OA1), which is a special type of INS that manifests as reduced vision, nystagmus, and iris and fundus hypopigmentation. Here, we explored the genetic spectrum of INS and the genotype-phenotype correlation.</p><p><strong>Methods: </strong>A total of 98 families with INS from Southeast China were recruited for this study. A sample from each participant was subjected to PCR-based DNA direct sequencing of <i>GPR143</i>. Varied bioinformatics analysis was subsequently used in a mutation assessment. All participants received detailed ophthalmic examinations.</p><p><strong>Results: </strong>Genetic analysis identified 11 <i>GPR143</i> mutations in 11.2% (11/98) of the X-linked INS families. These included seven novel mutations (c.899 C>T, c.886-2 A>G, c.1A>G, c.633_643del CCTGTTCCAAA, c.162_198delCGCGGGCCCCGGGTCCCCCGCGACGTCCCCGCCGGCC, c.628C>A, and c.178_179insGGGTCCC) and four known mutations. Patients who carried a <i>GPR143</i> mutation were found to present a typical or atypical phenotype of OA1. All patients with <i>GPR143</i> mutations manifested foveal hypoplasia; thus, about 45.8% (11/24) of the families with total X-linked INS exhibited foveal hypoplasia.</p><p><strong>Conclusions: </strong>We discovered seven novel mutations and four previously reported mutations of <i>GPR143</i> in a cohort of families with X-linked INS and enlarged the Chinese genetic spectrum of INS. These findings offer new insights for developing genetic screening strategies and shed light on the importance of conducting genetic analysis in confirming the clinical diagnosis in unresolved patients and atypical phenotypes.</p>","PeriodicalId":18866,"journal":{"name":"Molecular Vision","volume":"29 ","pages":"234-244"},"PeriodicalIF":1.4000,"publicationDate":"2023-11-01","publicationTypes":"Journal Article","fieldsOfStudy":null,"isOpenAccess":false,"openAccessPdf":"https://www.ncbi.nlm.nih.gov/pmc/articles/PMC10784212/pdf/","citationCount":"0","resultStr":null,"platform":"Semanticscholar","paperid":null,"PeriodicalName":"Molecular Vision","FirstCategoryId":"3","ListUrlMain":"","RegionNum":3,"RegionCategory":"医学","ArticlePicture":[],"TitleCN":null,"AbstractTextCN":null,"PMCID":null,"EPubDate":"2023/1/1 0:00:00","PubModel":"eCollection","JCR":"Q4","JCRName":"BIOCHEMISTRY & MOLECULAR BIOLOGY","Score":null,"Total":0}
引用次数: 0

Abstract

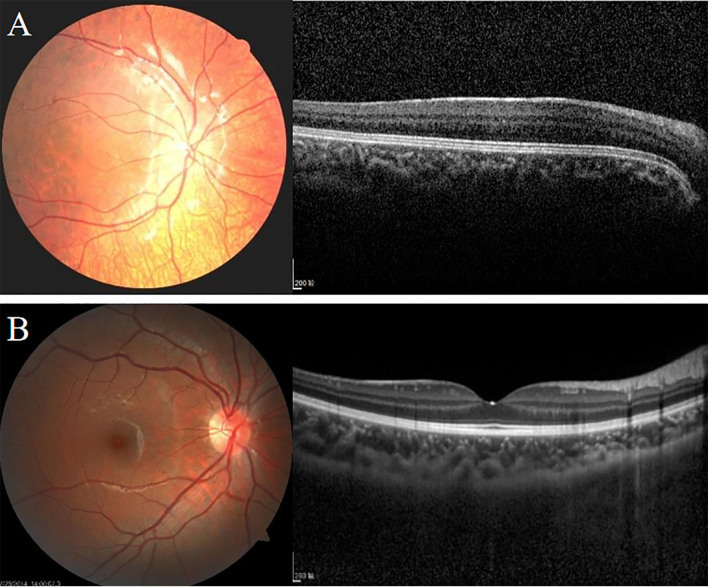
Purpose: Infantile nystagmus syndrome (INS), or congenital nystagmus (CN), refers to a group of ocular motor disorders characterized by rapid to-and-fro oscillations of the eyes. GPR143 is the causative gene of ocular albinism type 1 (OA1), which is a special type of INS that manifests as reduced vision, nystagmus, and iris and fundus hypopigmentation. Here, we explored the genetic spectrum of INS and the genotype-phenotype correlation.

Methods: A total of 98 families with INS from Southeast China were recruited for this study. A sample from each participant was subjected to PCR-based DNA direct sequencing of GPR143. Varied bioinformatics analysis was subsequently used in a mutation assessment. All participants received detailed ophthalmic examinations.

Results: Genetic analysis identified 11 GPR143 mutations in 11.2% (11/98) of the X-linked INS families. These included seven novel mutations (c.899 C>T, c.886-2 A>G, c.1A>G, c.633_643del CCTGTTCCAAA, c.162_198delCGCGGGCCCCGGGTCCCCCGCGACGTCCCCGCCGGCC, c.628C>A, and c.178_179insGGGTCCC) and four known mutations. Patients who carried a GPR143 mutation were found to present a typical or atypical phenotype of OA1. All patients with GPR143 mutations manifested foveal hypoplasia; thus, about 45.8% (11/24) of the families with total X-linked INS exhibited foveal hypoplasia.

Conclusions: We discovered seven novel mutations and four previously reported mutations of GPR143 in a cohort of families with X-linked INS and enlarged the Chinese genetic spectrum of INS. These findings offer new insights for developing genetic screening strategies and shed light on the importance of conducting genetic analysis in confirming the clinical diagnosis in unresolved patients and atypical phenotypes.

Abstract Image

Abstract Image

Abstract Image

中国东南部一个 X 连锁婴儿眼球震颤综合征队列中的 GPR143 突变。
目的:婴儿眼球震颤综合征(INS)或先天性眼球震颤(CN)是指一组以眼球快速往返摆动为特征的眼球运动障碍。GPR143是眼白化病1型(OA1)的致病基因,OA1是INS的一种特殊类型,表现为视力下降、眼球震颤、虹膜和眼底色素沉着。在此,我们探讨了 INS 的遗传谱以及基因型与表型的相关性:方法:本研究从中国东南部共招募了 98 个 INS 患者家庭。方法:本研究共招募了来自中国东南部的 98 个 INS 患者家庭,对每个家庭的样本进行了基于 PCR 的 GPR143 DNA 直接测序。随后使用各种生物信息学分析进行突变评估。所有参与者均接受了详细的眼科检查:遗传分析在 11.2% 的 X 连锁 INS 家系(11/98)中发现了 11 个 GPR143 突变。这些突变包括 7 个新突变(c.899 C>T、c.886-2 A>G、c.1A>G、c.633_643del CCTGTTCCAAA、c.162_198delCGCGGGCCCCGGGTCCCCCGCGACGTCCCCGCCGGGCC、c.628C>A 和 c.178_179insGGGTCCC)和 4 个已知突变。发现携带 GPR143 突变的患者表现出典型或不典型的 OA1 表型。所有GPR143突变的患者都表现为眼窝发育不全;因此,约有45.8%(11/24)的X-连锁INS家族表现为眼窝发育不全:结论:我们在一组 X 连锁 INS 家系中发现了 GPR143 的 7 个新突变和 4 个以前报道过的突变,扩大了 INS 的中国遗传谱。这些发现为制定遗传筛查策略提供了新的思路,并阐明了遗传分析在确诊未确诊患者和非典型表型的临床诊断中的重要性。
本文章由计算机程序翻译,如有差异,请以英文原文为准。
求助全文
约1分钟内获得全文 求助全文
来源期刊
Molecular Vision
Molecular Vision 生物-生化与分子生物学
CiteScore
4.40
自引率
0.00%
发文量
25
审稿时长
1 months
期刊介绍: Molecular Vision is a peer-reviewed journal dedicated to the dissemination of research results in molecular biology, cell biology, and the genetics of the visual system (ocular and cortical). Molecular Vision publishes articles presenting original research that has not previously been published and comprehensive articles reviewing the current status of a particular field or topic. Submissions to Molecular Vision are subjected to rigorous peer review. Molecular Vision does NOT publish preprints. For authors, Molecular Vision provides a rapid means of communicating important results. Access to Molecular Vision is free and unrestricted, allowing the widest possible audience for your article. Digital publishing allows you to use color images freely (and without fees). Additionally, you may publish animations, sounds, or other supplementary information that clarifies or supports your article. Each of the authors of an article may also list an electronic mail address (which will be updated upon request) to give interested readers easy access to authors.
×
引用
GB/T 7714-2015
复制
MLA
复制
APA
复制
导出至
BibTeX EndNote RefMan NoteFirst NoteExpress
×
提示
您的信息不完整,为了账户安全,请先补充。
现在去补充
×
提示
您因"违规操作"
具体请查看互助需知
我知道了
×
提示
确定
请完成安全验证×
copy
已复制链接
快去分享给好友吧!
我知道了
右上角分享
点击右上角分享
0
联系我们:info@booksci.cn Book学术提供免费学术资源搜索服务,方便国内外学者检索中英文文献。致力于提供最便捷和优质的服务体验。 Copyright © 2023 布克学术 All rights reserved.
京ICP备2023020795号-1
ghs 京公网安备 11010802042870号
Book学术文献互助
Book学术文献互助群
群 号:604180095
Book学术官方微信