Higher rates of fully preserved posterior cruciate ligament in total knee arthroplasty using a double tibial cut: a prospective randomized controlled trial.

IF 4.4 Q2 Medicine
Gianluca Cinotti, Francesca Romana Ripani, Beatrice Perciballi, Giuseppe La Torre, Giuseppe Giannicola
{"title":"Higher rates of fully preserved posterior cruciate ligament in total knee arthroplasty using a double tibial cut: a prospective randomized controlled trial.","authors":"Gianluca Cinotti, Francesca Romana Ripani, Beatrice Perciballi, Giuseppe La Torre, Giuseppe Giannicola","doi":"10.1186/s43019-023-00208-z","DOIUrl":null,"url":null,"abstract":"<p><strong>Purpose: </strong>In cruciate retaining total knee arthroplasty, posterior cruciate ligament damage may occur during tibial cutting. A prospective randomized study was conducted to investigate whether a novel tibial cutting technique was more effective than the currently used techniques.</p><p><strong>Materials and methods: </strong>Patients undergoing cruciate retaining total knee arthroplasty were recruited in a prospective, randomized, controlled trial. In 25 patients (group 1) the tibial cut was performed using a double tibial cut technique; in 25 (group 2) and 25 (group 3) patients, the bone island and en bloc resection techniques were performed, respectively. Posterior cruciate ligament integrity and femoral rollback were assessed at the end of surgery. The Oxford Knee Score, WOMAC score and range of motion were assessed postoperatively.</p><p><strong>Results: </strong>Posterior cruciate ligament was completely preserved in 92% of patients in group 1 and in 64% in group 2 and 3, respectively (p = 0.03). The Oxford Knee Score and WOMAC scores did not differ between groups (p = 0.4). The mean knee flexion was 126.4°, 121.5° and 123.9° in groups 1, 2 and 3, respectively (p = 0.04). The femoral rollback at 120° flexion was 80.7%, 72.2% and 75.4% in groups 1, 2 and 3, respectively (p = 0.01).</p><p><strong>Conclusions: </strong>The double cut technique preserves the posterior cruciate ligament at significantly higher rates than the bone island or en bloc resection techniques. Better posterior cruciate ligament preservation may improve the femoral rollback and knee flexion.</p><p><strong>Level of evidence: </strong>Prospective randomized controlled trial, Level I.</p>","PeriodicalId":36317,"journal":{"name":"Knee Surgery and Related Research","volume":"36 1","pages":"2"},"PeriodicalIF":4.4000,"publicationDate":"2024-01-10","publicationTypes":"Journal Article","fieldsOfStudy":null,"isOpenAccess":false,"openAccessPdf":"https://www.ncbi.nlm.nih.gov/pmc/articles/PMC10777558/pdf/","citationCount":"0","resultStr":null,"platform":"Semanticscholar","paperid":null,"PeriodicalName":"Knee Surgery and Related Research","FirstCategoryId":"1085","ListUrlMain":"https://doi.org/10.1186/s43019-023-00208-z","RegionNum":0,"RegionCategory":null,"ArticlePicture":[],"TitleCN":null,"AbstractTextCN":null,"PMCID":null,"EPubDate":"","PubModel":"","JCR":"Q2","JCRName":"Medicine","Score":null,"Total":0}
引用次数: 0

Abstract

Purpose: In cruciate retaining total knee arthroplasty, posterior cruciate ligament damage may occur during tibial cutting. A prospective randomized study was conducted to investigate whether a novel tibial cutting technique was more effective than the currently used techniques.

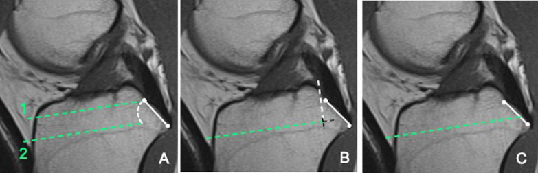
Materials and methods: Patients undergoing cruciate retaining total knee arthroplasty were recruited in a prospective, randomized, controlled trial. In 25 patients (group 1) the tibial cut was performed using a double tibial cut technique; in 25 (group 2) and 25 (group 3) patients, the bone island and en bloc resection techniques were performed, respectively. Posterior cruciate ligament integrity and femoral rollback were assessed at the end of surgery. The Oxford Knee Score, WOMAC score and range of motion were assessed postoperatively.

Results: Posterior cruciate ligament was completely preserved in 92% of patients in group 1 and in 64% in group 2 and 3, respectively (p = 0.03). The Oxford Knee Score and WOMAC scores did not differ between groups (p = 0.4). The mean knee flexion was 126.4°, 121.5° and 123.9° in groups 1, 2 and 3, respectively (p = 0.04). The femoral rollback at 120° flexion was 80.7%, 72.2% and 75.4% in groups 1, 2 and 3, respectively (p = 0.01).

Conclusions: The double cut technique preserves the posterior cruciate ligament at significantly higher rates than the bone island or en bloc resection techniques. Better posterior cruciate ligament preservation may improve the femoral rollback and knee flexion.

Level of evidence: Prospective randomized controlled trial, Level I.

Abstract Image

Abstract Image

Abstract Image

使用双胫骨切口的全膝关节置换术中完全保留后十字韧带的比例更高:一项前瞻性随机对照试验。
目的:在十字韧带保留全膝关节置换术中,胫骨切割时可能会造成后十字韧带损伤。我们进行了一项前瞻性随机研究,以探讨新型胫骨切割技术是否比目前使用的技术更有效:一项前瞻性随机对照试验招募了接受十字韧带保留全膝关节置换术的患者。25名患者(第1组)采用双胫骨切开技术进行胫骨切开;25名患者(第2组)和25名患者(第3组)分别采用骨岛和整体切除技术。手术结束时,对后交叉韧带的完整性和股骨回旋情况进行评估。术后评估牛津膝关节评分、WOMAC评分和活动范围:结果:第一组有 92% 的患者完全保留了后十字韧带,第二组和第三组分别有 64% 的患者完全保留了后十字韧带(P = 0.03)。牛津膝关节评分和 WOMAC 评分在组间无差异(P = 0.4)。第一组、第二组和第三组的平均膝关节屈曲度分别为 126.4°、121.5° 和 123.9°(p = 0.04)。第一组、第二组和第三组在屈曲 120°时的股骨回旋率分别为 80.7%、72.2% 和 75.4%(P = 0.01):双切技术保留后交叉韧带的比例明显高于骨岛或整体切除技术。更好地保留后交叉韧带可改善股骨回旋和膝关节屈曲:前瞻性随机对照试验,I 级。
本文章由计算机程序翻译,如有差异,请以英文原文为准。
求助全文
约1分钟内获得全文 求助全文
来源期刊
CiteScore
6.50
自引率
0.00%
发文量
42
审稿时长
19 weeks
×
引用
GB/T 7714-2015
复制
MLA
复制
APA
复制
导出至
BibTeX EndNote RefMan NoteFirst NoteExpress
×
提示
您的信息不完整,为了账户安全,请先补充。
现在去补充
×
提示
您因"违规操作"
具体请查看互助需知
我知道了
×
提示
确定
请完成安全验证×
copy
已复制链接
快去分享给好友吧!
我知道了
右上角分享
点击右上角分享
0
联系我们:info@booksci.cn Book学术提供免费学术资源搜索服务,方便国内外学者检索中英文文献。致力于提供最便捷和优质的服务体验。 Copyright © 2023 布克学术 All rights reserved.
京ICP备2023020795号-1
ghs 京公网安备 11010802042870号
Book学术文献互助
Book学术文献互助群
群 号:604180095
Book学术官方微信