Peroral cholangioscopy for the evaluation of bile duct stricture in hepatocellular carcinoma on a preoperative examination.

Mitsuru Chiba, Masaki Aokawa, Takashi Goto, Wataru Sato, Kenichi Takahashi, Shinichiro Minami, Katsunori Iijima
{"title":"Peroral cholangioscopy for the evaluation of bile duct stricture in hepatocellular carcinoma on a preoperative examination.","authors":"Mitsuru Chiba, Masaki Aokawa, Takashi Goto, Wataru Sato, Kenichi Takahashi, Shinichiro Minami, Katsunori Iijima","doi":"10.2185/jrm.2023-022","DOIUrl":null,"url":null,"abstract":"<p><p><b>Objective:</b> Bile duct tumor thrombosis in hepatocellular carcinoma (HCC) is a relatively rare event with a poor prognosis. Furthermore, bile duct tumor thrombus in HCC may be misdiagnosed when only imaging modalities are used. The efficiency of peroral cholangioscopy (POCS) in evaluating bile duct lesions has been reported. <b>Patients:</b> We present three cases of HCC with bile duct strictures in which POCS was performed as a preoperative evaluation. <b>Results:</b> In these three cases, diagnosing whether the lesion was a bile duct tumor thrombus on CT and endoscopic retrograde cholangiopancreatography was difficult. We performed POCS in three cases and were able to diagnose the presence of bile duct tumor thrombus of HCC, including differentiation from extrinsic compression of the bile duct. <b>Conclusion:</b> POCS for HCC with bile duct features is useful for the preoperative diagnosis of bile duct tumor thrombus, especially in cases where the surgical procedure depends on the presence of bile duct tumor thrombus.</p>","PeriodicalId":73939,"journal":{"name":"Journal of rural medicine : JRM","volume":"19 1","pages":"44-48"},"PeriodicalIF":0.0000,"publicationDate":"2024-01-01","publicationTypes":"Journal Article","fieldsOfStudy":null,"isOpenAccess":false,"openAccessPdf":"https://www.ncbi.nlm.nih.gov/pmc/articles/PMC10773999/pdf/","citationCount":"0","resultStr":null,"platform":"Semanticscholar","paperid":null,"PeriodicalName":"Journal of rural medicine : JRM","FirstCategoryId":"1085","ListUrlMain":"https://doi.org/10.2185/jrm.2023-022","RegionNum":0,"RegionCategory":null,"ArticlePicture":[],"TitleCN":null,"AbstractTextCN":null,"PMCID":null,"EPubDate":"","PubModel":"","JCR":"","JCRName":"","Score":null,"Total":0}
引用次数: 0

Abstract

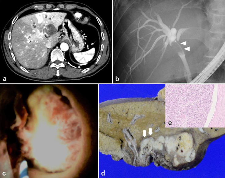
Objective: Bile duct tumor thrombosis in hepatocellular carcinoma (HCC) is a relatively rare event with a poor prognosis. Furthermore, bile duct tumor thrombus in HCC may be misdiagnosed when only imaging modalities are used. The efficiency of peroral cholangioscopy (POCS) in evaluating bile duct lesions has been reported. Patients: We present three cases of HCC with bile duct strictures in which POCS was performed as a preoperative evaluation. Results: In these three cases, diagnosing whether the lesion was a bile duct tumor thrombus on CT and endoscopic retrograde cholangiopancreatography was difficult. We performed POCS in three cases and were able to diagnose the presence of bile duct tumor thrombus of HCC, including differentiation from extrinsic compression of the bile duct. Conclusion: POCS for HCC with bile duct features is useful for the preoperative diagnosis of bile duct tumor thrombus, especially in cases where the surgical procedure depends on the presence of bile duct tumor thrombus.

Abstract Image

Abstract Image

Abstract Image

口周胆管造影术用于评估肝细胞癌术前检查中的胆管狭窄。
目的:肝细胞癌(HCC)中的胆管肿瘤血栓是一种相对罕见的疾病,预后较差。此外,仅使用影像学方法可能会误诊 HCC 中的胆管肿瘤血栓。有报道称,经口胆管造影术(POCS)可有效评估胆管病变。患者:我们介绍了三例伴有胆管狭窄的 HCC 病例,并对其进行了 POCS 作为术前评估。结果在这三例病例中,通过 CT 和内镜逆行胰胆管造影诊断病变是否为胆管肿瘤血栓非常困难。我们对三例病例进行了 POCS,并能诊断出是否存在 HCC 胆管瘤栓,包括与胆管外源性压迫的鉴别。结论针对具有胆管特征的 HCC 的 POCS 对胆管瘤栓的术前诊断非常有用,尤其是在手术取决于胆管瘤栓是否存在的情况下。
本文章由计算机程序翻译,如有差异,请以英文原文为准。
求助全文
约1分钟内获得全文 求助全文
来源期刊
自引率
0.00%
发文量
0
×
引用
GB/T 7714-2015
复制
MLA
复制
APA
复制
导出至
BibTeX EndNote RefMan NoteFirst NoteExpress
×
提示
您的信息不完整,为了账户安全,请先补充。
现在去补充
×
提示
您因"违规操作"
具体请查看互助需知
我知道了
×
提示
确定
请完成安全验证×
copy
已复制链接
快去分享给好友吧!
我知道了
右上角分享
点击右上角分享
0
联系我们:info@booksci.cn Book学术提供免费学术资源搜索服务,方便国内外学者检索中英文文献。致力于提供最便捷和优质的服务体验。 Copyright © 2023 布克学术 All rights reserved.
京ICP备2023020795号-1
ghs 京公网安备 11010802042870号
Book学术文献互助
Book学术文献互助群
群 号:604180095
Book学术官方微信