Solitary fibrous tumor developing in the right retroperitoneal space.

IF 1.5 4区 医学 Q4 DEVELOPMENTAL BIOLOGY
Cristian Meşină, Cosmin Vasile Obleagă, Mihai Călin Ciorbagiu, Cristin Constantin Vere, Dragoş Marian Popescu, Florina Carmen Popescu, Daniel Alin Cristian, Mihaela Iustina Meşină-Botoran
{"title":"Solitary fibrous tumor developing in the right retroperitoneal space.","authors":"Cristian Meşină, Cosmin Vasile Obleagă, Mihai Călin Ciorbagiu, Cristin Constantin Vere, Dragoş Marian Popescu, Florina Carmen Popescu, Daniel Alin Cristian, Mihaela Iustina Meşină-Botoran","doi":"10.47162/RJME.64.4.16","DOIUrl":null,"url":null,"abstract":"<p><p>Solitary fibrous tumor (SFT) is a rare mesenchymal tumor that is quite aggressive and prone to recurrence and metastasis. Most SFTs are benign, but the identification of the histological features that define the dedifferentiation of SFTs can predict the aggressiveness of the tumor and the presence of a reserved prognosis. We present a rare case of conventional SFTs with features of malignancy and highlight the diagnostic and therapeutic difficulties related to this case. Computed tomography aspect suggested a possible gastrointestinal stromal tumor. Surgical intervention was performed through median laparotomy and a tumor of approximately 15∕12 cm was found, developed from the level of the right retroperitoneal space, and pushing anteriorly the ascending colon, cecum, and terminal ileum. The immunohistochemical aspect correlated with the histopathological one suggests a SFT most likely malignant. In conclusion, the early diagnosis of SFTs is essential in establishing an appropriate treatment. Immunohistochemistry is indispensable in establishing the diagnosis of SFTs.</p>","PeriodicalId":54447,"journal":{"name":"Romanian Journal of Morphology and Embryology","volume":"64 4","pages":"587-594"},"PeriodicalIF":1.5000,"publicationDate":"2023-10-01","publicationTypes":"Journal Article","fieldsOfStudy":null,"isOpenAccess":false,"openAccessPdf":"https://www.ncbi.nlm.nih.gov/pmc/articles/PMC10863682/pdf/","citationCount":"0","resultStr":null,"platform":"Semanticscholar","paperid":null,"PeriodicalName":"Romanian Journal of Morphology and Embryology","FirstCategoryId":"3","ListUrlMain":"https://doi.org/10.47162/RJME.64.4.16","RegionNum":4,"RegionCategory":"医学","ArticlePicture":[],"TitleCN":null,"AbstractTextCN":null,"PMCID":null,"EPubDate":"","PubModel":"","JCR":"Q4","JCRName":"DEVELOPMENTAL BIOLOGY","Score":null,"Total":0}
引用次数: 0

Abstract

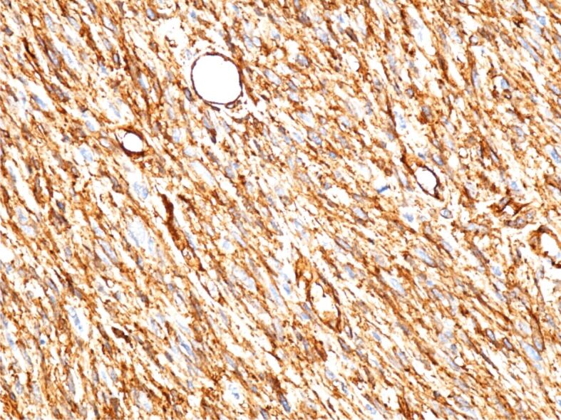
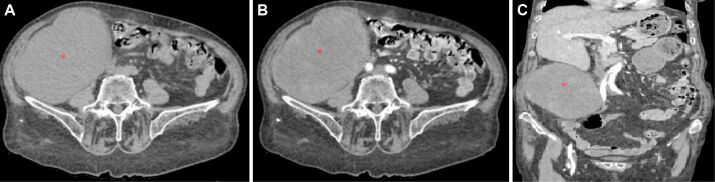
Solitary fibrous tumor (SFT) is a rare mesenchymal tumor that is quite aggressive and prone to recurrence and metastasis. Most SFTs are benign, but the identification of the histological features that define the dedifferentiation of SFTs can predict the aggressiveness of the tumor and the presence of a reserved prognosis. We present a rare case of conventional SFTs with features of malignancy and highlight the diagnostic and therapeutic difficulties related to this case. Computed tomography aspect suggested a possible gastrointestinal stromal tumor. Surgical intervention was performed through median laparotomy and a tumor of approximately 15∕12 cm was found, developed from the level of the right retroperitoneal space, and pushing anteriorly the ascending colon, cecum, and terminal ileum. The immunohistochemical aspect correlated with the histopathological one suggests a SFT most likely malignant. In conclusion, the early diagnosis of SFTs is essential in establishing an appropriate treatment. Immunohistochemistry is indispensable in establishing the diagnosis of SFTs.

Abstract Image

Abstract Image

Abstract Image

右侧腹膜后间隙生长的孤立性纤维瘤。
孤立性纤维瘤(SFT)是一种罕见的间质肿瘤,具有很强的侵袭性,容易复发和转移。大多数 SFT 是良性的,但确定 SFT 去分化的组织学特征可以预测肿瘤的侵袭性和预后。我们介绍了一例罕见的具有恶性特征的传统 SFTs 病例,并强调了与该病例有关的诊断和治疗难题。计算机断层扫描显示可能是胃肠道间质瘤。通过正中开腹手术进行了外科干预,发现了一个约15∕12厘米的肿瘤,肿瘤从右腹膜后间隙水平发展,并向前方推挤升结肠、盲肠和回肠末端。免疫组化方面与组织病理学方面的相关性表明,SFT 极有可能是恶性的。总之,SFT 的早期诊断对于确定适当的治疗方法至关重要。免疫组化在确定 SFTs 的诊断中不可或缺。
本文章由计算机程序翻译,如有差异,请以英文原文为准。
求助全文
约1分钟内获得全文 求助全文
来源期刊
CiteScore
1.70
自引率
20.00%
发文量
221
审稿时长
3-8 weeks
期刊介绍: Romanian Journal of Morphology and Embryology (Rom J Morphol Embryol) publishes studies on all aspects of normal morphology and human comparative and experimental pathology. The Journal accepts only researches that utilize modern investigation methods (studies of anatomy, pathology, cytopathology, immunohistochemistry, histochemistry, immunology, morphometry, molecular and cellular biology, electronic microscopy, etc.).
×
引用
GB/T 7714-2015
复制
MLA
复制
APA
复制
导出至
BibTeX EndNote RefMan NoteFirst NoteExpress
×
提示
您的信息不完整,为了账户安全,请先补充。
现在去补充
×
提示
您因"违规操作"
具体请查看互助需知
我知道了
×
提示
确定
请完成安全验证×
copy
已复制链接
快去分享给好友吧!
我知道了
右上角分享
点击右上角分享
0
联系我们:info@booksci.cn Book学术提供免费学术资源搜索服务,方便国内外学者检索中英文文献。致力于提供最便捷和优质的服务体验。 Copyright © 2023 布克学术 All rights reserved.
京ICP备2023020795号-1
ghs 京公网安备 11010802042870号
Book学术文献互助
Book学术文献互助群
群 号:604180095
Book学术官方微信