Novel Digenic Variants in COL4A4 and COL4A5 Causing X-Linked Alport Syndrome: A Case Report.

IF 0.9 Q4 UROLOGY & NEPHROLOGY
Case Reports in Nephrology and Dialysis Pub Date : 2024-01-03 eCollection Date: 2024-01-01 DOI:10.1159/000535493
Hideki Uedono, Katsuhito Mori, Shinya Nakatani, Kohei Watanabe, Rino Nakaya, Fumiyuki Morioka, Kazuma Sone, Chie Ono, Junko Hotta, Akihiro Tsuda, Naoya Morisada, Toshiyuki Seto, Kandai Nozu, Masanori Emoto
{"title":"Novel Digenic Variants in <i>COL4A4</i> and <i>COL4A5</i> Causing X-Linked Alport Syndrome: A Case Report.","authors":"Hideki Uedono, Katsuhito Mori, Shinya Nakatani, Kohei Watanabe, Rino Nakaya, Fumiyuki Morioka, Kazuma Sone, Chie Ono, Junko Hotta, Akihiro Tsuda, Naoya Morisada, Toshiyuki Seto, Kandai Nozu, Masanori Emoto","doi":"10.1159/000535493","DOIUrl":null,"url":null,"abstract":"<p><strong>Introduction: </strong>Alport syndrome (AS) is a hereditary, progressive kidney disease characterized by structural abnormalities and dysfunction of the glomerular basement membrane (GBM). AS is classified as X-linked, autosomal, and digenic. The number of cases of digenic AS has increased, but the genotype-phenotype correlation of patient with digenic AS is still unclear. Here, we present a case of digenic AS with novel digenic missense variants in <i>COL4A4</i> (c.827G>C, p.Gly276Ala) and <i>COL4A5</i> (c.4369G>C, p.Gly1457Arg).</p><p><strong>Case presentation: </strong>The patient was a 29-year-old Japanese man suffering from persistent microscopic hematuria and proteinuria without kidney function impairment. Kidney biopsy showed focal interstitial foam cell infiltration, global and segmental glomerulosclerosis. Immunofluorescence staining for collagen IV α5 was almost negative in the GBM and Bowman's capsule. Electron microscopy revealed irregular thickening with lamellation and segmental thinning of the GBM. Clinical and pathological findings were consistent with AS. Comprehensive next-generation sequencing revealed a heterozygous missense variant in <i>COL4A4</i> (c.827G>C, p.Gly276Ala) in exon 1 and a hemizygous missense variant in <i>COL4A5</i> (c.4369G>C, p.Gly1457Arg) in exon 49 on the patient's paternal and maternal alleles, respectively. The same digenic variants were detected in his sister, and she also showed a similar phenotype. After treatment with angiotensin-converting enzyme inhibitors, proteinuria decreased from 2.3 to 1.1 g/g creatinine, but occult blood persisted. During follow-up, kidney function has been preserved.</p><p><strong>Conclusion: </strong>The novel genotype of our case provides more information on the genotype-phenotype correlation of digenic XLAS, although long-term follow-up is required. The findings in the present case also indicate the importance of genetic tests for family members of a patient diagnosed with digenic AS.</p>","PeriodicalId":9599,"journal":{"name":"Case Reports in Nephrology and Dialysis","volume":"14 1","pages":"1-9"},"PeriodicalIF":0.9000,"publicationDate":"2024-01-03","publicationTypes":"Journal Article","fieldsOfStudy":null,"isOpenAccess":false,"openAccessPdf":"https://www.ncbi.nlm.nih.gov/pmc/articles/PMC10764090/pdf/","citationCount":"0","resultStr":null,"platform":"Semanticscholar","paperid":null,"PeriodicalName":"Case Reports in Nephrology and Dialysis","FirstCategoryId":"1085","ListUrlMain":"https://doi.org/10.1159/000535493","RegionNum":0,"RegionCategory":null,"ArticlePicture":[],"TitleCN":null,"AbstractTextCN":null,"PMCID":null,"EPubDate":"2024/1/1 0:00:00","PubModel":"eCollection","JCR":"Q4","JCRName":"UROLOGY & NEPHROLOGY","Score":null,"Total":0}
引用次数: 0

Abstract

Introduction: Alport syndrome (AS) is a hereditary, progressive kidney disease characterized by structural abnormalities and dysfunction of the glomerular basement membrane (GBM). AS is classified as X-linked, autosomal, and digenic. The number of cases of digenic AS has increased, but the genotype-phenotype correlation of patient with digenic AS is still unclear. Here, we present a case of digenic AS with novel digenic missense variants in COL4A4 (c.827G>C, p.Gly276Ala) and COL4A5 (c.4369G>C, p.Gly1457Arg).

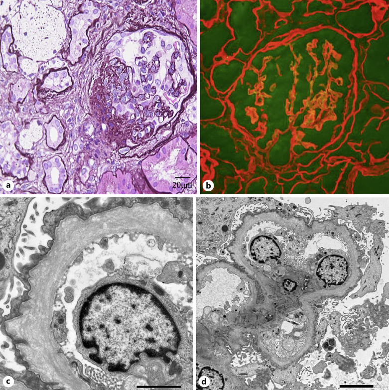
Case presentation: The patient was a 29-year-old Japanese man suffering from persistent microscopic hematuria and proteinuria without kidney function impairment. Kidney biopsy showed focal interstitial foam cell infiltration, global and segmental glomerulosclerosis. Immunofluorescence staining for collagen IV α5 was almost negative in the GBM and Bowman's capsule. Electron microscopy revealed irregular thickening with lamellation and segmental thinning of the GBM. Clinical and pathological findings were consistent with AS. Comprehensive next-generation sequencing revealed a heterozygous missense variant in COL4A4 (c.827G>C, p.Gly276Ala) in exon 1 and a hemizygous missense variant in COL4A5 (c.4369G>C, p.Gly1457Arg) in exon 49 on the patient's paternal and maternal alleles, respectively. The same digenic variants were detected in his sister, and she also showed a similar phenotype. After treatment with angiotensin-converting enzyme inhibitors, proteinuria decreased from 2.3 to 1.1 g/g creatinine, but occult blood persisted. During follow-up, kidney function has been preserved.

Conclusion: The novel genotype of our case provides more information on the genotype-phenotype correlation of digenic XLAS, although long-term follow-up is required. The findings in the present case also indicate the importance of genetic tests for family members of a patient diagnosed with digenic AS.

Abstract Image

Abstract Image

Abstract Image

新型 COL4A4 和 COL4A5 双基因变异导致 X 连锁阿尔波特综合征:病例报告
简介阿尔波特综合征(AS)是一种遗传性进行性肾脏疾病,以肾小球基底膜(GBM)结构异常和功能障碍为特征。AS分为X连锁型、常染色体型和二基因型。二基因强直性肾病的病例数量有所增加,但二基因强直性肾病患者的基因型与表型之间的相关性仍不清楚。在此,我们介绍了一例伴有 COL4A4(c.827G>C,p.Gly276Ala)和 COL4A5(c.4369G>C,p.Gly1457Arg)新型二基因错义变异的二基因强直性脊柱炎病例:患者是一名 29 岁的日本男子,患有持续性镜下血尿和蛋白尿,但无肾功能损害。肾活检显示局灶性间质泡沫细胞浸润、肾小球全面和节段性硬化。免疫荧光染色显示,GBM和鲍曼囊的胶原蛋白IV α5几乎呈阴性。电子显微镜检查显示,GBM不规则增厚并伴有片状和节段性变薄。临床和病理结果与强直性脊柱炎一致。综合新一代测序结果显示,患者父系和母系等位基因中分别存在COL4A4第1外显子(c.827G>C,p.Gly276Ala)和COL4A5第49外显子(c.4369G>C,p.Gly1457Arg)的杂合子错义变异。在他的姐姐身上也检测到了同样的二基因变异,而且她也表现出了类似的表型。在接受血管紧张素转换酶抑制剂治疗后,蛋白尿从 2.3 克/克肌酐降至 1.1 克/克肌酐,但隐血仍然存在。随访期间,肾功能一直保持良好:本病例的新基因型为二基因型 XLAS 基因型与表型的相关性提供了更多信息,但仍需长期随访。本病例的研究结果还表明,对确诊为二基因强直性脊柱炎患者的家庭成员进行基因检测非常重要。
本文章由计算机程序翻译,如有差异,请以英文原文为准。
求助全文
约1分钟内获得全文 求助全文
来源期刊
CiteScore
1.20
自引率
0.00%
发文量
36
审稿时长
10 weeks
期刊介绍: This peer-reviewed online-only journal publishes original case reports covering the entire spectrum of nephrology and dialysis, including genetic susceptibility, clinical presentation, diagnosis, treatment or prevention, toxicities of therapy, critical care, supportive care, quality-of-life and survival issues. The journal will also accept case reports dealing with the use of novel technologies, both in the arena of diagnosis and treatment. Supplementary material is welcomed.
×
引用
GB/T 7714-2015
复制
MLA
复制
APA
复制
导出至
BibTeX EndNote RefMan NoteFirst NoteExpress
×
提示
您的信息不完整,为了账户安全,请先补充。
现在去补充
×
提示
您因"违规操作"
具体请查看互助需知
我知道了
×
提示
确定
请完成安全验证×
copy
已复制链接
快去分享给好友吧!
我知道了
右上角分享
点击右上角分享
0
联系我们:info@booksci.cn Book学术提供免费学术资源搜索服务,方便国内外学者检索中英文文献。致力于提供最便捷和优质的服务体验。 Copyright © 2023 布克学术 All rights reserved.
京ICP备2023020795号-1
ghs 京公网安备 11010802042870号
Book学术文献互助
Book学术文献互助群
群 号:604180095
Book学术官方微信