Interstitial lung disease associated with chronic liver disease.

IF 0.7 Q4 RESPIRATORY SYSTEM
Övgü Velioğlu Yakut, Miraç Öz, Öznur Yıldız, Özlem Özdemir Kumbasar
{"title":"Interstitial lung disease associated with chronic liver disease.","authors":"Övgü Velioğlu Yakut, Miraç Öz, Öznur Yıldız, Özlem Özdemir Kumbasar","doi":"10.5578/tt.20239612","DOIUrl":null,"url":null,"abstract":"<p><p>It is important to make the differential diagnosis of restrictive changes associated with hepatic hydrothorax or hepatopulmonary syndrome seen in the later stages of chronic liver diseases and restrictive changes associated with interstitial lung disease. Lymphocytic interstitial pneumonia (LIP) is in the rare idiopathic interstitial pneumonia subgroup of interstitial lung diseases. LIP is a rare disease, and its incidence is unknown. LIP is characterized by infiltration of the alveolar interstitium with lymphocytes, plasma cells, and histiocytes. The etiology of LIP includes idiopathic causes, rheumatological diseases, immune deficiencies, viral infections, and drug-related causes. Chronic liver diseases are also rarely included in the etiology of LIP. A 75-year-old male patient who was followed up for liver cirrhosis presented with dyspnea. He had hypoxemia in the arterial blood gas. In the thorax and abdominal computed tomography, irregular reticulations in bilateral lungs, ground-glass opacities, and scattered air cysts in both lung parenchyma, chronic liver parenchymal disease, splenomegaly, chronic portal vein thrombosis were determined. Clinical and radiological changes in the patient were evaluated in favor of interstitial lung disease. Although histopathological diagnosis could not be made, the patient whose radiological pattern was compatible with LIP was evaluated together with clinical findings and was accepted as lymphocytic interstitial pneumonia. He was evaluated in terms of diseases that could cause LIP. He was accepted as LIP due to chronic liver disease. Although histopathological examination is the gold standard for the diagnosis, a biopsy could not be performed in our case. Radiological and clinical findings were considered sufficient for the diagnosis of LIP. Chronic viral hepatitis and cirrhosis are also present in the etiology of LIP. Our case is presented as an example in the literature because it is a case of LIP due to chronic liver disease, and it is rare.</p>","PeriodicalId":45521,"journal":{"name":"Tuberkuloz ve Toraks-Tuberculosis and Thorax","volume":"71 4","pages":"433-437"},"PeriodicalIF":0.7000,"publicationDate":"2023-12-01","publicationTypes":"Journal Article","fieldsOfStudy":null,"isOpenAccess":false,"openAccessPdf":"https://www.ncbi.nlm.nih.gov/pmc/articles/PMC11390081/pdf/","citationCount":"0","resultStr":null,"platform":"Semanticscholar","paperid":null,"PeriodicalName":"Tuberkuloz ve Toraks-Tuberculosis and Thorax","FirstCategoryId":"1085","ListUrlMain":"https://doi.org/10.5578/tt.20239612","RegionNum":0,"RegionCategory":null,"ArticlePicture":[],"TitleCN":null,"AbstractTextCN":null,"PMCID":null,"EPubDate":"","PubModel":"","JCR":"Q4","JCRName":"RESPIRATORY SYSTEM","Score":null,"Total":0}
引用次数: 0

Abstract

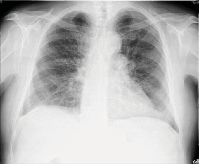
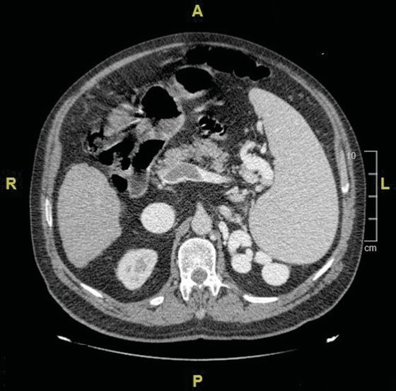
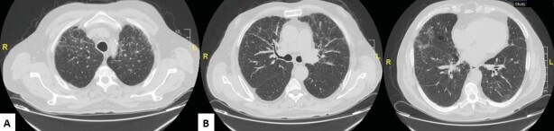
It is important to make the differential diagnosis of restrictive changes associated with hepatic hydrothorax or hepatopulmonary syndrome seen in the later stages of chronic liver diseases and restrictive changes associated with interstitial lung disease. Lymphocytic interstitial pneumonia (LIP) is in the rare idiopathic interstitial pneumonia subgroup of interstitial lung diseases. LIP is a rare disease, and its incidence is unknown. LIP is characterized by infiltration of the alveolar interstitium with lymphocytes, plasma cells, and histiocytes. The etiology of LIP includes idiopathic causes, rheumatological diseases, immune deficiencies, viral infections, and drug-related causes. Chronic liver diseases are also rarely included in the etiology of LIP. A 75-year-old male patient who was followed up for liver cirrhosis presented with dyspnea. He had hypoxemia in the arterial blood gas. In the thorax and abdominal computed tomography, irregular reticulations in bilateral lungs, ground-glass opacities, and scattered air cysts in both lung parenchyma, chronic liver parenchymal disease, splenomegaly, chronic portal vein thrombosis were determined. Clinical and radiological changes in the patient were evaluated in favor of interstitial lung disease. Although histopathological diagnosis could not be made, the patient whose radiological pattern was compatible with LIP was evaluated together with clinical findings and was accepted as lymphocytic interstitial pneumonia. He was evaluated in terms of diseases that could cause LIP. He was accepted as LIP due to chronic liver disease. Although histopathological examination is the gold standard for the diagnosis, a biopsy could not be performed in our case. Radiological and clinical findings were considered sufficient for the diagnosis of LIP. Chronic viral hepatitis and cirrhosis are also present in the etiology of LIP. Our case is presented as an example in the literature because it is a case of LIP due to chronic liver disease, and it is rare.

Abstract Image

Abstract Image

Abstract Image

与慢性肝病相关的间质性肺病。
重要的是要对慢性肝病后期出现的与肝积水或肝肺综合征相关的局限性改变和与间质性肺病相关的局限性改变进行鉴别诊断。淋巴细胞性间质性肺炎(LIP)属于间质性肺病中罕见的特发性间质性肺炎亚组。淋巴细胞间质性肺炎是一种罕见疾病,其发病率尚不清楚。LIP 的特征是淋巴细胞、浆细胞和组织细胞浸润肺泡间质。LIP 的病因包括特发性病因、风湿病、免疫缺陷、病毒感染和药物相关病因。慢性肝病也很少被列入 LIP 的病因。一名因肝硬化接受随访的 75 岁男性患者出现呼吸困难。他的动脉血气显示为低氧血症。胸部和腹部计算机断层扫描显示,双侧肺部有不规则网状结构、磨玻璃不透明、双肺实质散在气囊、慢性肝实质病变、脾脏肿大、慢性门静脉血栓形成。对患者临床和影像学变化的评估均倾向于间质性肺病。虽然无法进行组织病理学诊断,但对该患者的放射学模式与淋巴细胞间质性肺炎相吻合的情况进行了评估,并将其与临床结果结合起来,认定其为淋巴细胞间质性肺炎。根据可能导致 LIP 的疾病对他进行了评估。他被认为是慢性肝病导致的 LIP。虽然组织病理学检查是诊断的金标准,但在我们的病例中无法进行活组织检查。放射学和临床结果被认为足以诊断为 LIP。慢性病毒性肝炎和肝硬化也是 LIP 的病因。我们的病例是文献中的一个例子,因为它是由慢性肝病引起的 LIP 病例,而且非常罕见。
本文章由计算机程序翻译,如有差异,请以英文原文为准。
求助全文
约1分钟内获得全文 求助全文
来源期刊
CiteScore
1.50
自引率
9.10%
发文量
43
×
引用
GB/T 7714-2015
复制
MLA
复制
APA
复制
导出至
BibTeX EndNote RefMan NoteFirst NoteExpress
×
提示
您的信息不完整,为了账户安全,请先补充。
现在去补充
×
提示
您因"违规操作"
具体请查看互助需知
我知道了
×
提示
确定
请完成安全验证×
copy
已复制链接
快去分享给好友吧!
我知道了
右上角分享
点击右上角分享
0
联系我们:info@booksci.cn Book学术提供免费学术资源搜索服务,方便国内外学者检索中英文文献。致力于提供最便捷和优质的服务体验。 Copyright © 2023 布克学术 All rights reserved.
京ICP备2023020795号-1
ghs 京公网安备 11010802042870号
Book学术文献互助
Book学术文献互助群
群 号:604180095
Book学术官方微信