Pseudo-Gitelman Syndrome Presenting with Hypokalemic Metabolic Alkalosis and Hypocalciuria.

Q3 Medicine
Electrolyte and Blood Pressure Pub Date : 2023-12-01 Epub Date: 2023-12-18 DOI:10.5049/EBP.2023.21.2.72
Seung Heon Lee, Sukyung Lee, Hyunsung Kim, Gheun-Ho Kim
{"title":"Pseudo-Gitelman Syndrome Presenting with Hypokalemic Metabolic Alkalosis and Hypocalciuria.","authors":"Seung Heon Lee, Sukyung Lee, Hyunsung Kim, Gheun-Ho Kim","doi":"10.5049/EBP.2023.21.2.72","DOIUrl":null,"url":null,"abstract":"<p><p>Pseudo-Bartter syndrome is a well-known differential diagnosis that needs to be excluded in cases of normotensive hypokalemic metabolic alkalosis. Pseudo-Bartter syndrome and pseudo-Gitelman syndrome are often collectively referred to as pseudo-Bartter/Gitelman syndrome; however, pseudo-Gitelman syndrome should be considered as a separate entity because Gitelman syndrome is characterized by hypocalciuria and hypomagnesemia, while Bartter syndrome is usually associated with hypercalciuria. Herein, we report the cases of two young adult female patients who presented with severe hypokalemic metabolic alkalosis, hypocalciuria, and hypomagnesemia. Diuretic or laxative abuse and self-induced vomiting were absent, and a chloride deficit and remarkable bicarbonaturia were observed. Initial sequencing studies for <i>SLC12A3</i>, <i>CLCKNB</i>, and <i>KCNJ10</i> revealed no mutations, and whole-exome sequencing revealed no pathogenic variants. The metabolic alkalosis was saline-responsive in one case, and steroid therapy was necessary in the other to relieve chronic tubulointerstitial nephritis, which was diagnosed with kidney biopsy. A new category of pseudo-Gitelman syndrome should be defined, and various etiologies should be investigated.</p>","PeriodicalId":35352,"journal":{"name":"Electrolyte and Blood Pressure","volume":"21 2","pages":"72-76"},"PeriodicalIF":0.0000,"publicationDate":"2023-12-01","publicationTypes":"Journal Article","fieldsOfStudy":null,"isOpenAccess":false,"openAccessPdf":"https://www.ncbi.nlm.nih.gov/pmc/articles/PMC10751206/pdf/","citationCount":"0","resultStr":null,"platform":"Semanticscholar","paperid":null,"PeriodicalName":"Electrolyte and Blood Pressure","FirstCategoryId":"1085","ListUrlMain":"https://doi.org/10.5049/EBP.2023.21.2.72","RegionNum":0,"RegionCategory":null,"ArticlePicture":[],"TitleCN":null,"AbstractTextCN":null,"PMCID":null,"EPubDate":"2023/12/18 0:00:00","PubModel":"Epub","JCR":"Q3","JCRName":"Medicine","Score":null,"Total":0}
引用次数: 0

Abstract

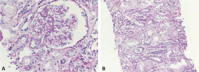
Pseudo-Bartter syndrome is a well-known differential diagnosis that needs to be excluded in cases of normotensive hypokalemic metabolic alkalosis. Pseudo-Bartter syndrome and pseudo-Gitelman syndrome are often collectively referred to as pseudo-Bartter/Gitelman syndrome; however, pseudo-Gitelman syndrome should be considered as a separate entity because Gitelman syndrome is characterized by hypocalciuria and hypomagnesemia, while Bartter syndrome is usually associated with hypercalciuria. Herein, we report the cases of two young adult female patients who presented with severe hypokalemic metabolic alkalosis, hypocalciuria, and hypomagnesemia. Diuretic or laxative abuse and self-induced vomiting were absent, and a chloride deficit and remarkable bicarbonaturia were observed. Initial sequencing studies for SLC12A3, CLCKNB, and KCNJ10 revealed no mutations, and whole-exome sequencing revealed no pathogenic variants. The metabolic alkalosis was saline-responsive in one case, and steroid therapy was necessary in the other to relieve chronic tubulointerstitial nephritis, which was diagnosed with kidney biopsy. A new category of pseudo-Gitelman syndrome should be defined, and various etiologies should be investigated.

Abstract Image

Abstract Image

Abstract Image

出现低钾代谢性碱中毒和低钙尿的假性吉特曼综合征。
假性巴特综合征是一个众所周知的鉴别诊断,需要在血压正常的低钾代谢性碱中毒病例中予以排除。假性巴特综合征和假性吉特曼综合征通常被统称为假性巴特/吉特曼综合征;然而,假性吉特曼综合征应被视为一个独立的实体,因为吉特曼综合征的特征是低钙尿和低镁血症,而巴特综合征通常伴有高钙尿症。在此,我们报告了两名年轻女性患者的病例,她们出现了严重的低钾代谢性碱中毒、低钙尿症和低镁血症。患者没有滥用利尿剂或泻药,也没有自我诱导呕吐,但出现了氯化物缺乏和明显的重碳酸盐血症。SLC12A3、CLCKNB和KCNJ10的初步测序研究未发现突变,全外显子组测序也未发现致病变异。其中一个病例的代谢性碱中毒是盐水反应性的,另一个病例则必须接受类固醇治疗才能缓解慢性肾小管间质性肾炎,肾活检后确诊为慢性肾小管间质性肾炎。应界定假性吉特曼综合征这一新类别,并对各种病因进行研究。
本文章由计算机程序翻译,如有差异,请以英文原文为准。
求助全文
约1分钟内获得全文 求助全文
来源期刊
Electrolyte and Blood Pressure
Electrolyte and Blood Pressure Medicine-Internal Medicine
CiteScore
2.10
自引率
0.00%
发文量
0
×
引用
GB/T 7714-2015
复制
MLA
复制
APA
复制
导出至
BibTeX EndNote RefMan NoteFirst NoteExpress
×
提示
您的信息不完整,为了账户安全,请先补充。
现在去补充
×
提示
您因"违规操作"
具体请查看互助需知
我知道了
×
提示
确定
请完成安全验证×
copy
已复制链接
快去分享给好友吧!
我知道了
右上角分享
点击右上角分享
0
联系我们:info@booksci.cn Book学术提供免费学术资源搜索服务,方便国内外学者检索中英文文献。致力于提供最便捷和优质的服务体验。 Copyright © 2023 布克学术 All rights reserved.
京ICP备2023020795号-1
ghs 京公网安备 11010802042870号
Book学术文献互助
Book学术文献互助群
群 号:604180095
Book学术官方微信