Osmotic Demyelination Syndrome in a High-Risk Patient Despite Cautious Correction of Hyponatremia.

Q3 Medicine
Electrolyte and Blood Pressure Pub Date : 2023-12-01 Epub Date: 2023-12-18 DOI:10.5049/EBP.2023.21.2.61
Cheolgu Hwang
{"title":"Osmotic Demyelination Syndrome in a High-Risk Patient Despite Cautious Correction of Hyponatremia.","authors":"Cheolgu Hwang","doi":"10.5049/EBP.2023.21.2.61","DOIUrl":null,"url":null,"abstract":"<p><p>Hyponatremia is a common electrolyte disorder requiring careful management to prevent severe complications. Osmotic demyelination syndrome (ODS) is a serious neurological disorder that can develop from rapid correction of hyponatremia. Herein, is a description of the case of a 61-year-old man with multiple risk factors, including alcoholism, hypokalemia, malnutrition, and alcoholic liver cirrhosis, who developed ODS despite adherence to the recommended correction rate for hyponatremia. The patient presented to the emergency department with generalized weakness, gait disturbance, and decreased muscle strength. Initial laboratory investigations revealed severe hyponatremia, hypokalemia, and dehydration. The patient was treated with cautious correction of the hyponatremia below 8 mmol/L per day. However, on the seventh hospital day, he developed tremors, rigidity, and decreased consciousness and was diagnosed with osmotic demyelination syndrome. Despite receiving general supportive care, desmopressin, and dextrose 5% in water to reduce the serum sodium levels, the patient did not show significant improvement and was transferred to a nursing home for long-term conservative care on day 35 of hospitalization. This case report highlights the challenges associated with the diagnosis and management of osmotic demyelination syndrome and the importance of identifying patients at high risk of developing this neurological disorder.</p>","PeriodicalId":35352,"journal":{"name":"Electrolyte and Blood Pressure","volume":"21 2","pages":"61-65"},"PeriodicalIF":0.0000,"publicationDate":"2023-12-01","publicationTypes":"Journal Article","fieldsOfStudy":null,"isOpenAccess":false,"openAccessPdf":"https://www.ncbi.nlm.nih.gov/pmc/articles/PMC10751207/pdf/","citationCount":"0","resultStr":null,"platform":"Semanticscholar","paperid":null,"PeriodicalName":"Electrolyte and Blood Pressure","FirstCategoryId":"1085","ListUrlMain":"https://doi.org/10.5049/EBP.2023.21.2.61","RegionNum":0,"RegionCategory":null,"ArticlePicture":[],"TitleCN":null,"AbstractTextCN":null,"PMCID":null,"EPubDate":"2023/12/18 0:00:00","PubModel":"Epub","JCR":"Q3","JCRName":"Medicine","Score":null,"Total":0}
引用次数: 0

Abstract

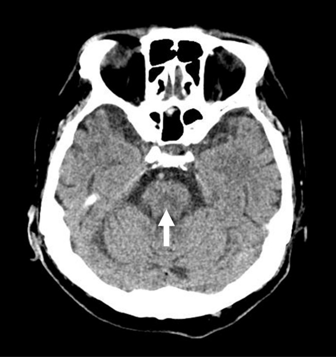
Hyponatremia is a common electrolyte disorder requiring careful management to prevent severe complications. Osmotic demyelination syndrome (ODS) is a serious neurological disorder that can develop from rapid correction of hyponatremia. Herein, is a description of the case of a 61-year-old man with multiple risk factors, including alcoholism, hypokalemia, malnutrition, and alcoholic liver cirrhosis, who developed ODS despite adherence to the recommended correction rate for hyponatremia. The patient presented to the emergency department with generalized weakness, gait disturbance, and decreased muscle strength. Initial laboratory investigations revealed severe hyponatremia, hypokalemia, and dehydration. The patient was treated with cautious correction of the hyponatremia below 8 mmol/L per day. However, on the seventh hospital day, he developed tremors, rigidity, and decreased consciousness and was diagnosed with osmotic demyelination syndrome. Despite receiving general supportive care, desmopressin, and dextrose 5% in water to reduce the serum sodium levels, the patient did not show significant improvement and was transferred to a nursing home for long-term conservative care on day 35 of hospitalization. This case report highlights the challenges associated with the diagnosis and management of osmotic demyelination syndrome and the importance of identifying patients at high risk of developing this neurological disorder.

Abstract Image

Abstract Image

Abstract Image

一名高危患者在谨慎纠正低钠血症后仍出现渗透性脱髓鞘综合征
低钠血症是一种常见的电解质紊乱,需要精心治疗以防止出现严重并发症。渗透性脱髓鞘综合征(ODS)是一种严重的神经系统疾病,可因快速纠正低钠血症而发病。本文描述的病例是一名61岁的男性,具有多种危险因素,包括酗酒、低钾血症、营养不良和酒精性肝硬化,尽管他坚持按照推荐的比例纠正低钠血症,但还是患上了ODS。患者因全身乏力、步态障碍和肌力下降而到急诊科就诊。初步实验室检查显示患者患有严重的低钠血症、低钾血症和脱水。患者接受了谨慎的治疗,每天将低钠血症控制在 8 mmol/L 以下。然而,在住院的第七天,他出现了震颤、僵直和意识减退,被诊断为渗透性脱髓鞘综合征。尽管患者接受了一般支持性护理、去氨加压素和 5%葡萄糖水溶液以降低血清钠水平,但病情并未明显好转,在住院第 35 天被转到疗养院接受长期保守治疗。本病例报告强调了与渗透性脱髓鞘综合征的诊断和管理相关的挑战,以及识别罹患这种神经系统疾病的高风险患者的重要性。
本文章由计算机程序翻译,如有差异,请以英文原文为准。
求助全文
约1分钟内获得全文 求助全文
来源期刊
Electrolyte and Blood Pressure
Electrolyte and Blood Pressure Medicine-Internal Medicine
CiteScore
2.10
自引率
0.00%
发文量
0
×
引用
GB/T 7714-2015
复制
MLA
复制
APA
复制
导出至
BibTeX EndNote RefMan NoteFirst NoteExpress
×
提示
您的信息不完整,为了账户安全,请先补充。
现在去补充
×
提示
您因"违规操作"
具体请查看互助需知
我知道了
×
提示
确定
请完成安全验证×
copy
已复制链接
快去分享给好友吧!
我知道了
右上角分享
点击右上角分享
0
联系我们:info@booksci.cn Book学术提供免费学术资源搜索服务,方便国内外学者检索中英文文献。致力于提供最便捷和优质的服务体验。 Copyright © 2023 布克学术 All rights reserved.
京ICP备2023020795号-1
ghs 京公网安备 11010802042870号
Book学术文献互助
Book学术文献互助群
群 号:604180095
Book学术官方微信