Middle Ear Cavity and Mastoid Neuroendocrine Tumor Presenting as Otomastoiditis with Cholesteatoma: A Clinicoradiological and Histopathological Correlation.

IF 0.9 Q4 RADIOLOGY, NUCLEAR MEDICINE & MEDICAL IMAGING
World Journal of Nuclear Medicine Pub Date : 2023-12-26 eCollection Date: 2023-12-01 DOI:10.1055/s-0043-1777695
Ashwini Chalikandy, Sandip Basu
{"title":"Middle Ear Cavity and Mastoid Neuroendocrine Tumor Presenting as Otomastoiditis with Cholesteatoma: A Clinicoradiological and Histopathological Correlation.","authors":"Ashwini Chalikandy, Sandip Basu","doi":"10.1055/s-0043-1777695","DOIUrl":null,"url":null,"abstract":"<p><p>Neuroendocrine tumors of the middle ear are rare, comprising of less than 2% of primary tumors of the ear. The clinical and imaging findings of these tumors are nonspecific, and histological and immunohistochemical findings are confirmatory. Herein, we present a case of 48-year-old male, presenting with chief complaints of hearing loss of left ear with foul smelling discharge, with the initial clinical impression of otomastoiditis of the middle ear with cholesteatoma and being operated for the same, the final histopathology report inferred it as well-differentiated neuroendocrine tumor grade 1 with Ki-67 index less than 2%. Immunohistochemical examinations demonstrated positive staining of the tumor cells for cytokeratin, synaptophysin and chromogranin A, and negative for smooth muscle actin, desmin, S-100. The biochemical investigations showed raised serum chromogranin A levels. Based upon the findings on anatomical imaging modalities including high-resolution computed tomography temporal bone and magnetic resonance imaging paranasal sinuses (MRI PNS), the lesion was inferred inoperable due to involvement of dura of petrous apex, and therefore he was referred for consideration of peptide receptor radionuclide therapy (PRRT). MRI PNS also showed involvement of the horizontal part of facial nerve, indicating local aggressiveness of the tumor. <sup>68</sup> Ga-DOTATATE-PET/CT showed high-grade somatostatin receptor expressing soft tissue lesion involving middle ear and external auditory canal (Krenning's score 4), with low-grade metabolic activity on <sup>18</sup> F-FDG-PET/CT. The post-therapy scan following <sup>177</sup> Lu-DOTATATE PRRT, showed abnormal tracer concentration at the described site. Due to extreme rarity of this disease entity, it is important to accrue data for accurate diagnosis, proper management, and follow-up.</p>","PeriodicalId":23742,"journal":{"name":"World Journal of Nuclear Medicine","volume":"22 4","pages":"310-315"},"PeriodicalIF":0.9000,"publicationDate":"2023-12-26","publicationTypes":"Journal Article","fieldsOfStudy":null,"isOpenAccess":false,"openAccessPdf":"https://www.ncbi.nlm.nih.gov/pmc/articles/PMC10751138/pdf/","citationCount":"0","resultStr":null,"platform":"Semanticscholar","paperid":null,"PeriodicalName":"World Journal of Nuclear Medicine","FirstCategoryId":"1085","ListUrlMain":"https://doi.org/10.1055/s-0043-1777695","RegionNum":0,"RegionCategory":null,"ArticlePicture":[],"TitleCN":null,"AbstractTextCN":null,"PMCID":null,"EPubDate":"2023/12/1 0:00:00","PubModel":"eCollection","JCR":"Q4","JCRName":"RADIOLOGY, NUCLEAR MEDICINE & MEDICAL IMAGING","Score":null,"Total":0}
引用次数: 0

Abstract

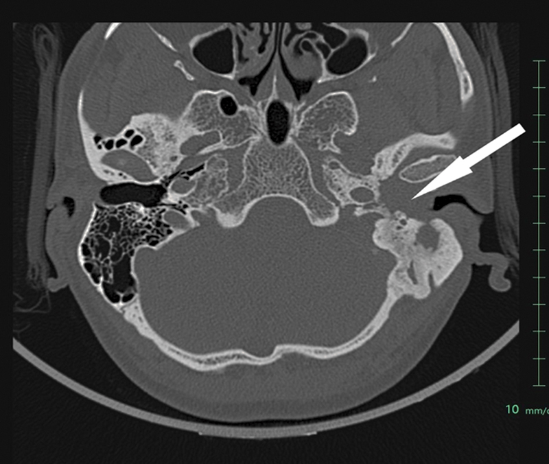
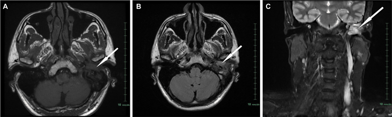
Neuroendocrine tumors of the middle ear are rare, comprising of less than 2% of primary tumors of the ear. The clinical and imaging findings of these tumors are nonspecific, and histological and immunohistochemical findings are confirmatory. Herein, we present a case of 48-year-old male, presenting with chief complaints of hearing loss of left ear with foul smelling discharge, with the initial clinical impression of otomastoiditis of the middle ear with cholesteatoma and being operated for the same, the final histopathology report inferred it as well-differentiated neuroendocrine tumor grade 1 with Ki-67 index less than 2%. Immunohistochemical examinations demonstrated positive staining of the tumor cells for cytokeratin, synaptophysin and chromogranin A, and negative for smooth muscle actin, desmin, S-100. The biochemical investigations showed raised serum chromogranin A levels. Based upon the findings on anatomical imaging modalities including high-resolution computed tomography temporal bone and magnetic resonance imaging paranasal sinuses (MRI PNS), the lesion was inferred inoperable due to involvement of dura of petrous apex, and therefore he was referred for consideration of peptide receptor radionuclide therapy (PRRT). MRI PNS also showed involvement of the horizontal part of facial nerve, indicating local aggressiveness of the tumor. 68 Ga-DOTATATE-PET/CT showed high-grade somatostatin receptor expressing soft tissue lesion involving middle ear and external auditory canal (Krenning's score 4), with low-grade metabolic activity on 18 F-FDG-PET/CT. The post-therapy scan following 177 Lu-DOTATATE PRRT, showed abnormal tracer concentration at the described site. Due to extreme rarity of this disease entity, it is important to accrue data for accurate diagnosis, proper management, and follow-up.

Abstract Image

Abstract Image

Abstract Image

中耳腔和乳突神经内分泌瘤表现为胆脂瘤性耳炎:临床放射学和组织病理学相关性研究。
中耳神经内分泌肿瘤十分罕见,在耳部原发性肿瘤中所占比例不到 2%。这些肿瘤的临床和影像学检查结果无特异性,组织学和免疫组化检查结果才能确诊。在此,我们介绍一例 48 岁男性病例,主诉为左耳听力下降并伴有恶臭分泌物,初步临床印象为中耳炎伴胆脂瘤,并为此进行了手术,最终组织病理报告推断为分化良好的神经内分泌肿瘤 1 级,Ki-67 指数小于 2%。免疫组化检查显示,肿瘤细胞的细胞角蛋白、突触素和嗜铬粒蛋白 A 染色阳性,平滑肌肌动蛋白、desmin 和 S-100 阴性。生化检查显示血清嗜铬粒蛋白 A 水平升高。根据颞骨高分辨率计算机断层扫描和副鼻窦磁共振成像(MRI PNS)等解剖成像模式的检查结果,推断该病变因累及岩顶硬脑膜而无法手术,因此他被转诊考虑接受肽受体放射性核素治疗(PRRT)。MRI PNS还显示面神经水平部分受累,表明肿瘤具有局部侵袭性。68 Ga-DOTATATE-PET/CT显示高级别体生长抑素受体表达的软组织病变累及中耳和外耳道(Krenning评分4分),18 F-FDG-PET/CT显示低级别代谢活动。177 Lu-DOTATATE PRRT治疗后扫描显示,上述部位的示踪剂浓度异常。由于这种疾病极为罕见,因此积累数据对于准确诊断、正确治疗和随访非常重要。
本文章由计算机程序翻译,如有差异,请以英文原文为准。
求助全文
约1分钟内获得全文 求助全文
来源期刊
World Journal of Nuclear Medicine
World Journal of Nuclear Medicine RADIOLOGY, NUCLEAR MEDICINE & MEDICAL IMAGING-
自引率
16.70%
发文量
118
审稿时长
48 weeks
×
引用
GB/T 7714-2015
复制
MLA
复制
APA
复制
导出至
BibTeX EndNote RefMan NoteFirst NoteExpress
×
提示
您的信息不完整,为了账户安全,请先补充。
现在去补充
×
提示
您因"违规操作"
具体请查看互助需知
我知道了
×
提示
确定
请完成安全验证×
copy
已复制链接
快去分享给好友吧!
我知道了
右上角分享
点击右上角分享
0
联系我们:info@booksci.cn Book学术提供免费学术资源搜索服务,方便国内外学者检索中英文文献。致力于提供最便捷和优质的服务体验。 Copyright © 2023 布克学术 All rights reserved.
京ICP备2023020795号-1
ghs 京公网安备 11010802042870号
Book学术文献互助
Book学术文献互助群
群 号:604180095
Book学术官方微信