Brain Point of Care Ultrasound in Young Children Receiving Computed Tomography in the Emergency Department: A Proof of Concept Study.

POCUS journal Pub Date : 2023-11-27 eCollection Date: 2023-01-01 DOI:10.24908/pocus.v8i2.16435
Stephanie R Davenport, Nadya Ben Fadel, Jorge Davila, Nick Barrowman, Vid Bijelic, Allan E Shefrin
{"title":"Brain Point of Care Ultrasound in Young Children Receiving Computed Tomography in the Emergency Department: A Proof of Concept Study.","authors":"Stephanie R Davenport, Nadya Ben Fadel, Jorge Davila, Nick Barrowman, Vid Bijelic, Allan E Shefrin","doi":"10.24908/pocus.v8i2.16435","DOIUrl":null,"url":null,"abstract":"<p><p><b>Background</b>: Point of Care Ultrasound (POCUS) is an important tool in pediatric emergency medicine. In neonatal intensive care medicine ultrasound is often used to evaluate the brains of sick neonates. In theory, POCUS could be used in the ED in young children to evaluate the brain for abnormal pathology. <b>Objectives</b>: To examine the ability of PEM faculty to use brain POCUS to identify clinically significant brain injuries in children with head injuries and/or abnormal neurological exams, and generate sensitivity and specificity of brain POCUS in assessing such findings. <b>Methods</b>: This study used a convenience sample of patients seen in a tertiary care pediatric centre who required a CT head. A team of physicians who were trained at a workshop for brain POCUS were on call to perform the POCUS while being blinded to the results of the CT. <b>Results:</b> 21 children were enrolled in the study. Five (24%) of the patients had a CT that was positive for intracranial bleeds. Of the 5 patients with a positive CT, 3 had a brain POCUS scan that was also positive. The two false negative brain POCUS scans were on patients with small bleeds (no surgical intervention required) on CT, as reported by radiology. The sensitivity of brain POCUS was 60% (CI 15% - 95%) with a specificity of 94% (CI 70%-100%). The diagnostic accuracy of brain POCUS was 86% (CI 64% - 97%). <b>Conclusion:</b> This small proof of concept study shows that brain POCUS is an imaging modality with reasonable sensitivity and specificity in identifying intracranial pathologies that are present on CT. Its use may be most beneficial to expedite definitive imaging and subspeciality involvement.</p>","PeriodicalId":74470,"journal":{"name":"POCUS journal","volume":"8 2","pages":"165-169"},"PeriodicalIF":0.0000,"publicationDate":"2023-11-27","publicationTypes":"Journal Article","fieldsOfStudy":null,"isOpenAccess":false,"openAccessPdf":"https://www.ncbi.nlm.nih.gov/pmc/articles/PMC10721297/pdf/","citationCount":"0","resultStr":null,"platform":"Semanticscholar","paperid":null,"PeriodicalName":"POCUS journal","FirstCategoryId":"1085","ListUrlMain":"https://doi.org/10.24908/pocus.v8i2.16435","RegionNum":0,"RegionCategory":null,"ArticlePicture":[],"TitleCN":null,"AbstractTextCN":null,"PMCID":null,"EPubDate":"2023/1/1 0:00:00","PubModel":"eCollection","JCR":"","JCRName":"","Score":null,"Total":0}
引用次数: 0

Abstract

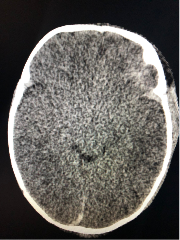
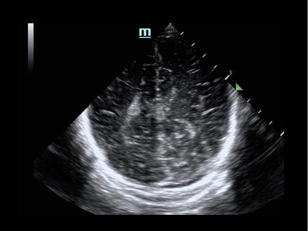
Background: Point of Care Ultrasound (POCUS) is an important tool in pediatric emergency medicine. In neonatal intensive care medicine ultrasound is often used to evaluate the brains of sick neonates. In theory, POCUS could be used in the ED in young children to evaluate the brain for abnormal pathology. Objectives: To examine the ability of PEM faculty to use brain POCUS to identify clinically significant brain injuries in children with head injuries and/or abnormal neurological exams, and generate sensitivity and specificity of brain POCUS in assessing such findings. Methods: This study used a convenience sample of patients seen in a tertiary care pediatric centre who required a CT head. A team of physicians who were trained at a workshop for brain POCUS were on call to perform the POCUS while being blinded to the results of the CT. Results: 21 children were enrolled in the study. Five (24%) of the patients had a CT that was positive for intracranial bleeds. Of the 5 patients with a positive CT, 3 had a brain POCUS scan that was also positive. The two false negative brain POCUS scans were on patients with small bleeds (no surgical intervention required) on CT, as reported by radiology. The sensitivity of brain POCUS was 60% (CI 15% - 95%) with a specificity of 94% (CI 70%-100%). The diagnostic accuracy of brain POCUS was 86% (CI 64% - 97%). Conclusion: This small proof of concept study shows that brain POCUS is an imaging modality with reasonable sensitivity and specificity in identifying intracranial pathologies that are present on CT. Its use may be most beneficial to expedite definitive imaging and subspeciality involvement.

Abstract Image

Abstract Image

急诊科接受计算机断层扫描的幼儿的脑部护理点超声检查:概念验证研究。
背景:护理点超声检查(POCUS)是儿科急诊医学的重要工具。在新生儿重症监护医学中,超声波通常用于评估患病新生儿的大脑。理论上,急诊室也可使用 POCUS 对幼儿的大脑进行异常病理评估。目标:研究急诊医学科教师使用脑部 POCUS 鉴别头部受伤和/或神经系统检查异常的儿童中具有临床意义的脑损伤的能力,以及脑部 POCUS 评估此类结果的敏感性和特异性。方法:本研究采用方便抽样法,抽取在一家三级儿科医疗中心就诊、需要进行头部 CT 检查的患者。一组在脑POCUS研讨会上接受过培训的医生随叫随到,在对CT结果保密的情况下进行POCUS检查。结果:21 名儿童参加了研究。其中五名患者(24%)的 CT 检查结果显示颅内出血阳性。在CT呈阳性的5名患者中,3名患者的脑POCUS扫描结果也呈阳性。根据放射科的报告,两次假阴性脑POCUS扫描的患者在CT检查中出血量较小(无需手术治疗)。脑部 POCUS 的灵敏度为 60%(CI 15%-95%),特异性为 94%(CI 70%-100%)。脑部 POCUS 的诊断准确率为 86% (CI 64% - 97%)。结论这项小型概念验证研究表明,脑部 POCUS 是一种成像模式,在识别 CT 显示的颅内病变方面具有合理的灵敏度和特异性。它的使用可能最有利于加快确定性成像和亚专科参与。
本文章由计算机程序翻译,如有差异,请以英文原文为准。
求助全文
约1分钟内获得全文 求助全文
来源期刊
自引率
0.00%
发文量
0
×
引用
GB/T 7714-2015
复制
MLA
复制
APA
复制
导出至
BibTeX EndNote RefMan NoteFirst NoteExpress
×
提示
您的信息不完整,为了账户安全,请先补充。
现在去补充
×
提示
您因"违规操作"
具体请查看互助需知
我知道了
×
提示
确定
请完成安全验证×
copy
已复制链接
快去分享给好友吧!
我知道了
右上角分享
点击右上角分享
0
联系我们:info@booksci.cn Book学术提供免费学术资源搜索服务,方便国内外学者检索中英文文献。致力于提供最便捷和优质的服务体验。 Copyright © 2023 布克学术 All rights reserved.
京ICP备2023020795号-1
ghs 京公网安备 11010802042870号
Book学术文献互助
Book学术文献互助群
群 号:604180095
Book学术官方微信