Surgical Resection of Focal Cortical Dysplasia in a Neonate with Novel TSC1 Mutation Leading to Resolution of Refractory Seizures: Case Report.

Child neurology open Pub Date : 2023-12-11 eCollection Date: 2023-01-01 DOI:10.1177/2329048X231219223
Emily Garavatti, Erin Yamamoto, Kelly Collins, Nathan Selden, Ittai Bushlin
{"title":"Surgical Resection of Focal Cortical Dysplasia in a Neonate with Novel TSC1 Mutation Leading to Resolution of Refractory Seizures: Case Report.","authors":"Emily Garavatti, Erin Yamamoto, Kelly Collins, Nathan Selden, Ittai Bushlin","doi":"10.1177/2329048X231219223","DOIUrl":null,"url":null,"abstract":"<p><p>We describe a neonate presenting on first day of life with refractory seizures secondary to a single, large area of focal cortical dysplasia (FCD) who underwent surgical resection at age 3 weeks leading to resolution of seizure activity and dramatic improvement in developmental trajectory. Surgical intervention for epilepsy is infrequently offered for neonates, often reserved only for those with catastrophic presentations. This case demonstrates that surgical intervention can be safe and efficacious in neonates for pharmaco-resistant seizures associated with a focal lesion. Rapid whole exome sequencing in this case yielded a germline novel de novo TSC1 mutation, leading to a genetic diagnosis of tuberous sclerosis complex (TSC). Our patient demonstrates an atypical neonatal presentation of TSC. Limited data is available for those with isolated FCD in TSC; this is the first reported case in a neonate.</p>","PeriodicalId":72572,"journal":{"name":"Child neurology open","volume":"10 ","pages":"2329048X231219223"},"PeriodicalIF":0.0000,"publicationDate":"2023-12-11","publicationTypes":"Journal Article","fieldsOfStudy":null,"isOpenAccess":false,"openAccessPdf":"https://www.ncbi.nlm.nih.gov/pmc/articles/PMC10722926/pdf/","citationCount":"0","resultStr":null,"platform":"Semanticscholar","paperid":null,"PeriodicalName":"Child neurology open","FirstCategoryId":"1085","ListUrlMain":"https://doi.org/10.1177/2329048X231219223","RegionNum":0,"RegionCategory":null,"ArticlePicture":[],"TitleCN":null,"AbstractTextCN":null,"PMCID":null,"EPubDate":"2023/1/1 0:00:00","PubModel":"eCollection","JCR":"","JCRName":"","Score":null,"Total":0}
引用次数: 0

Abstract

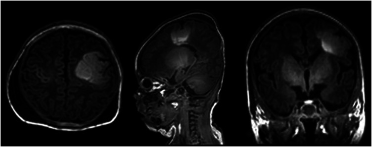
We describe a neonate presenting on first day of life with refractory seizures secondary to a single, large area of focal cortical dysplasia (FCD) who underwent surgical resection at age 3 weeks leading to resolution of seizure activity and dramatic improvement in developmental trajectory. Surgical intervention for epilepsy is infrequently offered for neonates, often reserved only for those with catastrophic presentations. This case demonstrates that surgical intervention can be safe and efficacious in neonates for pharmaco-resistant seizures associated with a focal lesion. Rapid whole exome sequencing in this case yielded a germline novel de novo TSC1 mutation, leading to a genetic diagnosis of tuberous sclerosis complex (TSC). Our patient demonstrates an atypical neonatal presentation of TSC. Limited data is available for those with isolated FCD in TSC; this is the first reported case in a neonate.

Abstract Image

Abstract Image

手术切除患有新型 TSC1 基因突变的新生儿的局灶性皮质发育不良,从而缓解难治性癫痫发作:病例报告。
我们描述了一名出生第一天就出现难治性癫痫发作、继发于单个大面积局灶性皮质发育不良(FCD)的新生儿,在 3 周大时接受了手术切除,癫痫发作活动得到缓解,发育轨迹也得到显著改善。手术治疗新生儿癫痫的情况并不多见,通常只保留给那些有灾难性表现的新生儿。本病例表明,对于局灶性病变引起的药物抵抗性癫痫发作,对新生儿进行手术干预既安全又有效。该病例的快速全外显子组测序发现了一个种系新的TSC1基因突变,从而被基因诊断为结节性硬化综合征(TSC)。我们的患者表现为非典型新生儿TSC。目前关于TSC孤立性FCD的数据有限,这是首例报道的新生儿病例。
本文章由计算机程序翻译,如有差异,请以英文原文为准。
求助全文
约1分钟内获得全文 求助全文
来源期刊
自引率
0.00%
发文量
0
审稿时长
15 weeks
×
引用
GB/T 7714-2015
复制
MLA
复制
APA
复制
导出至
BibTeX EndNote RefMan NoteFirst NoteExpress
×
提示
您的信息不完整,为了账户安全,请先补充。
现在去补充
×
提示
您因"违规操作"
具体请查看互助需知
我知道了
×
提示
确定
请完成安全验证×
copy
已复制链接
快去分享给好友吧!
我知道了
右上角分享
点击右上角分享
0
联系我们:info@booksci.cn Book学术提供免费学术资源搜索服务,方便国内外学者检索中英文文献。致力于提供最便捷和优质的服务体验。 Copyright © 2023 布克学术 All rights reserved.
京ICP备2023020795号-1
ghs 京公网安备 11010802042870号
Book学术文献互助
Book学术文献互助群
群 号:604180095
Book学术官方微信