Flexor Hallucis Longus Transfer And V-Y Plasty: An Effective Treatment Modality for Chronic Achilles Rupture - A Case Series.

IF 0.6 Q4 ORTHOPEDICS
R H Rashid, R Ali, M Zahid, M Ali, T Ahmad
{"title":"Flexor Hallucis Longus Transfer And V-Y Plasty: An Effective Treatment Modality for Chronic Achilles Rupture - A Case Series.","authors":"R H Rashid, R Ali, M Zahid, M Ali, T Ahmad","doi":"10.5704/MOJ.2311.009","DOIUrl":null,"url":null,"abstract":"<p><strong>Introduction: </strong>To assess outcomes of FHL transfer and V-Y plasty for chronic Achilles rupture due to insertional Achilles tendinopathy.</p><p><strong>Materials and methods: </strong>A case series of 12 patients was conducted between 1st January 2017 and 31st December 2018. The patients had short flexor hallucis longus tendon transfer with gastrocnemius lengthening by V-Y plasty for Achilles tendon rupture. Patients were allowed full weight bearing at six weeks post-operatively, and were followed up at three months and six months post-operatively, when the range of motion of the ankle was examined, and the outcome was assessed using the EFAS score.</p><p><strong>Results: </strong>Of the 12 patients in the study, the majority were males; the mean age was 50.6±8.96 years. A significant improvement in dorsiflexion and plantarflexion was noted at the six-month follow-up compared to the three-month follow-up (P=<0.001 for both). When compared to the normal side, dorsiflexion and plantarflexion of the affected ankle were significantly less at three months but were comparable at six months post-operatively. A significant improvement was noted in the mean EFAS score at the six-month follow-up (25.5±5.71) compared to three months (18.6±0.90) post-surgery (P=0.001). Males were also noted to have significantly higher EFAS scores at their six-month follow-up than females (P=0.022). In contrast, a negative correlation was noted between the European Foot and Ankle Society (EFAS) score at the final follow-up and age (P=0.011).</p><p><strong>Conclusion: </strong>FHL tendon transfer with V-Y plasty in chronic Achilles rupture due to insertional Achilles tendinopathy is an effective procedure resulting in the restoration of the ankle range of motion and improvement in functional scores.</p>","PeriodicalId":45241,"journal":{"name":"Malaysian Orthopaedic Journal","volume":"17 3","pages":"59-65"},"PeriodicalIF":0.6000,"publicationDate":"2023-11-01","publicationTypes":"Journal Article","fieldsOfStudy":null,"isOpenAccess":false,"openAccessPdf":"https://www.ncbi.nlm.nih.gov/pmc/articles/PMC10722995/pdf/","citationCount":"0","resultStr":null,"platform":"Semanticscholar","paperid":null,"PeriodicalName":"Malaysian Orthopaedic Journal","FirstCategoryId":"1085","ListUrlMain":"https://doi.org/10.5704/MOJ.2311.009","RegionNum":0,"RegionCategory":null,"ArticlePicture":[],"TitleCN":null,"AbstractTextCN":null,"PMCID":null,"EPubDate":"","PubModel":"","JCR":"Q4","JCRName":"ORTHOPEDICS","Score":null,"Total":0}
引用次数: 0

Abstract

Introduction: To assess outcomes of FHL transfer and V-Y plasty for chronic Achilles rupture due to insertional Achilles tendinopathy.

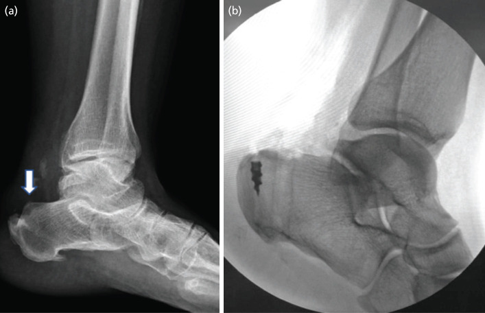
Materials and methods: A case series of 12 patients was conducted between 1st January 2017 and 31st December 2018. The patients had short flexor hallucis longus tendon transfer with gastrocnemius lengthening by V-Y plasty for Achilles tendon rupture. Patients were allowed full weight bearing at six weeks post-operatively, and were followed up at three months and six months post-operatively, when the range of motion of the ankle was examined, and the outcome was assessed using the EFAS score.

Results: Of the 12 patients in the study, the majority were males; the mean age was 50.6±8.96 years. A significant improvement in dorsiflexion and plantarflexion was noted at the six-month follow-up compared to the three-month follow-up (P=<0.001 for both). When compared to the normal side, dorsiflexion and plantarflexion of the affected ankle were significantly less at three months but were comparable at six months post-operatively. A significant improvement was noted in the mean EFAS score at the six-month follow-up (25.5±5.71) compared to three months (18.6±0.90) post-surgery (P=0.001). Males were also noted to have significantly higher EFAS scores at their six-month follow-up than females (P=0.022). In contrast, a negative correlation was noted between the European Foot and Ankle Society (EFAS) score at the final follow-up and age (P=0.011).

Conclusion: FHL tendon transfer with V-Y plasty in chronic Achilles rupture due to insertional Achilles tendinopathy is an effective procedure resulting in the restoration of the ankle range of motion and improvement in functional scores.

Abstract Image

Abstract Image

Abstract Image

跟腱长屈肌转移和V-Y成形术:慢性跟腱断裂的有效治疗方法--一个病例系列。
简介评估FHL转移和V-Y成形术治疗插入性跟腱病引起的慢性跟腱断裂的疗效:2017年1月1日至2018年12月31日期间,对12名患者进行了病例系列研究。患者因跟腱断裂进行了短屈拇长肌腱转移,并通过V-Y成形术延长了腓肠肌。患者术后六周可完全负重,术后三个月和六个月进行随访,检查踝关节的活动范围,并使用 EFAS 评分评估疗效:在12名患者中,男性占多数,平均年龄为(50.6±8.96)岁。与三个月的随访结果相比,六个月的随访结果显示患者的背屈和跖屈能力有明显改善(P=结论:对于插入性跟腱病引起的慢性跟腱断裂,FHL肌腱转移加V-Y成形术是一种有效的手术,能恢复踝关节的活动范围并改善功能评分。
本文章由计算机程序翻译,如有差异,请以英文原文为准。
求助全文
约1分钟内获得全文 求助全文
来源期刊
CiteScore
1.30
自引率
0.00%
发文量
104
审稿时长
24 weeks
期刊介绍: The Malaysian Orthopaedic Journal is a peer-reviewed journal that publishes original papers and case reports three times a year in both printed and electronic version. The purpose of MOJ is to disseminate new knowledge and provide updates in Orthopaedics, trauma and musculoskeletal research. It is an Open Access journal that does not require processing fee or article processing charge from the authors. The Malaysian Orthopaedic Journal is the official journal of Malaysian Orthopaedic Association (MOA) and ASEAN Orthopaedic Association (AOA).
×
引用
GB/T 7714-2015
复制
MLA
复制
APA
复制
导出至
BibTeX EndNote RefMan NoteFirst NoteExpress
×
提示
您的信息不完整,为了账户安全,请先补充。
现在去补充
×
提示
您因"违规操作"
具体请查看互助需知
我知道了
×
提示
确定
请完成安全验证×
copy
已复制链接
快去分享给好友吧!
我知道了
右上角分享
点击右上角分享
0
联系我们:info@booksci.cn Book学术提供免费学术资源搜索服务,方便国内外学者检索中英文文献。致力于提供最便捷和优质的服务体验。 Copyright © 2023 布克学术 All rights reserved.
京ICP备2023020795号-1
ghs 京公网安备 11010802042870号
Book学术文献互助
Book学术文献互助群
群 号:604180095
Book学术官方微信