Dynamic Fixation versus Static Screw Fixation for Syndesmosis Injuries in Pronation External Rotation Ankle Fractures: A Retrospective Case Control Study.

IF 0.6 Q4 ORTHOPEDICS
C M Lim, S W Choi, B S Kim, S J Lee, H S Kang
{"title":"Dynamic Fixation versus Static Screw Fixation for Syndesmosis Injuries in Pronation External Rotation Ankle Fractures: A Retrospective Case Control Study.","authors":"C M Lim, S W Choi, B S Kim, S J Lee, H S Kang","doi":"10.5704/MOJ.2311.008","DOIUrl":null,"url":null,"abstract":"<p><strong>Introduction: </strong>The current standard treatment for ankle syndesmosis injury is static screw fixation. Dynamic fixation was developed to restore the dynamic function of the syndesmosis. The purpose of this study was to determine that which of static screw fixation and dynamic fixation is better for treatment of ankle syndesmosis injury in pronation-external rotation fractures.</p><p><strong>Materials and methods: </strong>Thirty patients were treated with dynamic fixation (DF group) and 28 patients with static screw fixation (SF group). The primary outcome was Olerud-Molander Ankle Outcome Score. The secondary outcome were Visual Analogue Scale score and American Orthopedic Foot and Ankle Society score, radiographic outcomes, complications and cost effectiveness. To evaluate the radiographic outcome, the tibiofibular clear space, tibiofibular overlap, and medial clear space were compared using the pre-operative and last follow-up plain radiographs. To evaluate the cost effectiveness, the total hospital cost was compared between the two groups.</p><p><strong>Results: </strong>There was no significant difference in primary outcome. Moreover, there were no significant difference in secondary outcome including Visual Analogue Scale score and American Orthopedic Foot and Ankle Society score and radiographic outcome. Two cases of reduction loss and four cases of screw breakage were observed in the SF group. No complication in the DF group was observed. Dynamic fixation was more cost effective than static screw fixation with respect to the total hospital cost.</p><p><strong>Conclusion: </strong>Although dynamic fixation provided similar clinical and radiologic outcome, dynamic fixation is more cost effective with fewer complications than static screw fixation in ankle syndesmosis injury of pronation-external rotation fractures.</p>","PeriodicalId":45241,"journal":{"name":"Malaysian Orthopaedic Journal","volume":"17 3","pages":"48-58"},"PeriodicalIF":0.6000,"publicationDate":"2023-11-01","publicationTypes":"Journal Article","fieldsOfStudy":null,"isOpenAccess":false,"openAccessPdf":"https://www.ncbi.nlm.nih.gov/pmc/articles/PMC10723001/pdf/","citationCount":"0","resultStr":null,"platform":"Semanticscholar","paperid":null,"PeriodicalName":"Malaysian Orthopaedic Journal","FirstCategoryId":"1085","ListUrlMain":"https://doi.org/10.5704/MOJ.2311.008","RegionNum":0,"RegionCategory":null,"ArticlePicture":[],"TitleCN":null,"AbstractTextCN":null,"PMCID":null,"EPubDate":"","PubModel":"","JCR":"Q4","JCRName":"ORTHOPEDICS","Score":null,"Total":0}
引用次数: 0

Abstract

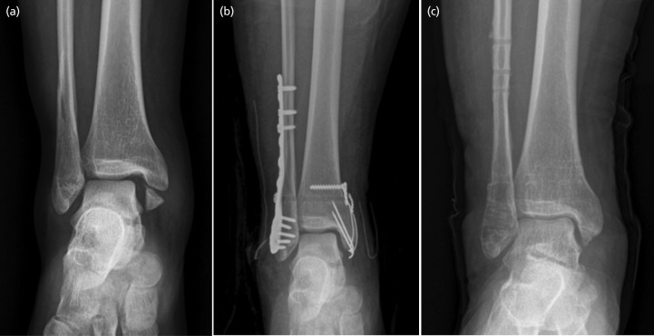
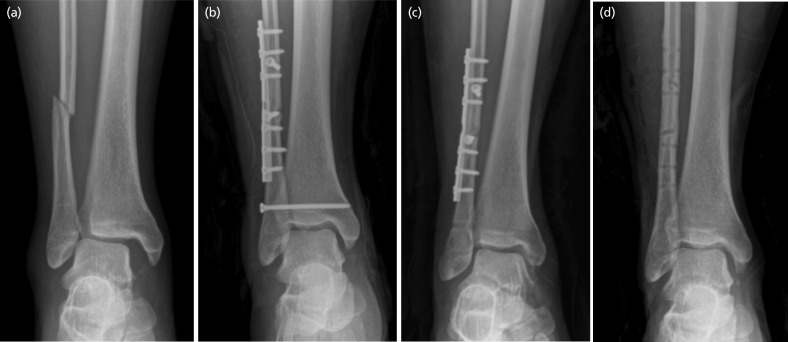
Introduction: The current standard treatment for ankle syndesmosis injury is static screw fixation. Dynamic fixation was developed to restore the dynamic function of the syndesmosis. The purpose of this study was to determine that which of static screw fixation and dynamic fixation is better for treatment of ankle syndesmosis injury in pronation-external rotation fractures.

Materials and methods: Thirty patients were treated with dynamic fixation (DF group) and 28 patients with static screw fixation (SF group). The primary outcome was Olerud-Molander Ankle Outcome Score. The secondary outcome were Visual Analogue Scale score and American Orthopedic Foot and Ankle Society score, radiographic outcomes, complications and cost effectiveness. To evaluate the radiographic outcome, the tibiofibular clear space, tibiofibular overlap, and medial clear space were compared using the pre-operative and last follow-up plain radiographs. To evaluate the cost effectiveness, the total hospital cost was compared between the two groups.

Results: There was no significant difference in primary outcome. Moreover, there were no significant difference in secondary outcome including Visual Analogue Scale score and American Orthopedic Foot and Ankle Society score and radiographic outcome. Two cases of reduction loss and four cases of screw breakage were observed in the SF group. No complication in the DF group was observed. Dynamic fixation was more cost effective than static screw fixation with respect to the total hospital cost.

Conclusion: Although dynamic fixation provided similar clinical and radiologic outcome, dynamic fixation is more cost effective with fewer complications than static screw fixation in ankle syndesmosis injury of pronation-external rotation fractures.

Abstract Image

Abstract Image

Abstract Image

动态固定与静态螺钉固定治疗前倾外旋踝关节骨折中的巩膜损伤:一项回顾性病例对照研究。
简介目前治疗踝关节巩膜损伤的标准方法是静态螺钉固定。动态固定是为了恢复踝关节巩膜的动态功能。本研究的目的是确定静态螺钉固定和动态固定哪种方法更适合治疗代偿-外旋骨折的踝关节巩膜损伤:30名患者接受动态固定治疗(DF组),28名患者接受静态螺钉固定治疗(SF组)。主要结果为 Olerud-Molander 踝关节结果评分。次要结果为视觉模拟量表评分和美国骨科足踝协会评分、放射学结果、并发症和成本效益。为了评估影像学结果,使用术前和最后一次随访的平片比较了胫腓骨间隙、胫腓骨重叠和内侧间隙。为了评估成本效益,比较了两组患者的住院总费用:结果:主要结果无明显差异。此外,视觉模拟量表评分、美国骨科足踝协会评分和影像学结果等次要结果也无明显差异。SF 组出现了两例缩径损失和四例螺钉断裂。DF组未发现并发症。就住院总费用而言,动态固定比静态螺钉固定更具成本效益:结论:虽然动态固定的临床和影像学结果相似,但在踝关节巩膜损伤的代偿-外旋骨折中,动态固定比静态螺钉固定更经济,并发症更少。
本文章由计算机程序翻译,如有差异,请以英文原文为准。
求助全文
约1分钟内获得全文 求助全文
来源期刊
CiteScore
1.30
自引率
0.00%
发文量
104
审稿时长
24 weeks
期刊介绍: The Malaysian Orthopaedic Journal is a peer-reviewed journal that publishes original papers and case reports three times a year in both printed and electronic version. The purpose of MOJ is to disseminate new knowledge and provide updates in Orthopaedics, trauma and musculoskeletal research. It is an Open Access journal that does not require processing fee or article processing charge from the authors. The Malaysian Orthopaedic Journal is the official journal of Malaysian Orthopaedic Association (MOA) and ASEAN Orthopaedic Association (AOA).
×
引用
GB/T 7714-2015
复制
MLA
复制
APA
复制
导出至
BibTeX EndNote RefMan NoteFirst NoteExpress
×
提示
您的信息不完整,为了账户安全,请先补充。
现在去补充
×
提示
您因"违规操作"
具体请查看互助需知
我知道了
×
提示
确定
请完成安全验证×
copy
已复制链接
快去分享给好友吧!
我知道了
右上角分享
点击右上角分享
0
联系我们:info@booksci.cn Book学术提供免费学术资源搜索服务,方便国内外学者检索中英文文献。致力于提供最便捷和优质的服务体验。 Copyright © 2023 布克学术 All rights reserved.
京ICP备2023020795号-1
ghs 京公网安备 11010802042870号
Book学术文献互助
Book学术文献互助群
群 号:604180095
Book学术官方微信