A Case Report of Anti-TIF1-γAntibody-Positive Dermatomyositis Concomitant with Small Cell Neuroendocrine Carcinoma of the Urinary Bladder.

Case Reports in Rheumatology Pub Date : 2023-12-12 eCollection Date: 2023-01-01 DOI:10.1155/2023/8837463
Hiroyuki Hounoki, Takafumi Onose, Miho Yamazaki, Ryoko Asano, Satoshi Yamaguchi, Koichiro Shinoda, Kazuyuki Tobe, Akira Noguchi, Kenichi Hirabayashi
{"title":"A Case Report of Anti-TIF1-<i>γ</i>Antibody-Positive Dermatomyositis Concomitant with Small Cell Neuroendocrine Carcinoma of the Urinary Bladder.","authors":"Hiroyuki Hounoki, Takafumi Onose, Miho Yamazaki, Ryoko Asano, Satoshi Yamaguchi, Koichiro Shinoda, Kazuyuki Tobe, Akira Noguchi, Kenichi Hirabayashi","doi":"10.1155/2023/8837463","DOIUrl":null,"url":null,"abstract":"<p><p>Small cell neuroendocrine carcinoma is rare among urinary bladder cancer types, and to date, there are no case reports of concurrent antitranscriptional intermediary factor 1-<i>γ</i>antibody-positive dermatomyositis. We describe the case of a 69-year-old Japanese man who presented with elevated creatine kinase levels and haematuria on medical examination. Approximately one month later, he developed dysphagia. Laryngoscopy confirmed laryngeal dysfunction. He also presented with muscle weakness and a skin rash. Magnetic resonance imaging of the upper extremities suggested bilateral brachial muscle myositis. He was diagnosed as having dermatomyositis and was later found to be positive for antitranscriptional intermediary factor 1-<i>γ</i> antibody. Computed tomography revealed an intravesical space-occupying lesion and right iliac lymphadenopathy, suggesting urinary bladder cancer. The patient was admitted to our hospital for treatment. Urinary bladder biopsy confirmed small cell neuroendocrine carcinoma because tumour cells were positive for synaptophysin, CD56, and chromogranin A. Thus, the patient was diagnosed as having an antitranscriptional intermediary factor 1-<i>γ</i>antibody-positive dermatomyositis concomitant with urinary bladder small cell neuroendocrine carcinoma. The patient was treated with glucocorticoid and intravenous immune globulin therapy for dermatomyositis. Radiotherapy was selected for the carcinoma. Although muscle weakness and skin symptoms improved with treatment, dysphagia persisted. Furthermore, expression of the transcriptional intermediary factor 1-<i>γ</i> protein in tumour cells was also confirmed by immunohistochemistry, but the significance is unknown. It should be noted that antitranscriptional intermediary factor 1-<i>γ</i>antibody-positive dermatomyositis can occur concomitantly with such a rare malignancy.</p>","PeriodicalId":9622,"journal":{"name":"Case Reports in Rheumatology","volume":"2023 ","pages":"8837463"},"PeriodicalIF":0.0000,"publicationDate":"2023-12-12","publicationTypes":"Journal Article","fieldsOfStudy":null,"isOpenAccess":false,"openAccessPdf":"https://www.ncbi.nlm.nih.gov/pmc/articles/PMC10730251/pdf/","citationCount":"0","resultStr":null,"platform":"Semanticscholar","paperid":null,"PeriodicalName":"Case Reports in Rheumatology","FirstCategoryId":"1085","ListUrlMain":"https://doi.org/10.1155/2023/8837463","RegionNum":0,"RegionCategory":null,"ArticlePicture":[],"TitleCN":null,"AbstractTextCN":null,"PMCID":null,"EPubDate":"2023/1/1 0:00:00","PubModel":"eCollection","JCR":"","JCRName":"","Score":null,"Total":0}
引用次数: 0

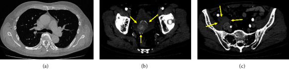
Abstract

Small cell neuroendocrine carcinoma is rare among urinary bladder cancer types, and to date, there are no case reports of concurrent antitranscriptional intermediary factor 1-γantibody-positive dermatomyositis. We describe the case of a 69-year-old Japanese man who presented with elevated creatine kinase levels and haematuria on medical examination. Approximately one month later, he developed dysphagia. Laryngoscopy confirmed laryngeal dysfunction. He also presented with muscle weakness and a skin rash. Magnetic resonance imaging of the upper extremities suggested bilateral brachial muscle myositis. He was diagnosed as having dermatomyositis and was later found to be positive for antitranscriptional intermediary factor 1-γ antibody. Computed tomography revealed an intravesical space-occupying lesion and right iliac lymphadenopathy, suggesting urinary bladder cancer. The patient was admitted to our hospital for treatment. Urinary bladder biopsy confirmed small cell neuroendocrine carcinoma because tumour cells were positive for synaptophysin, CD56, and chromogranin A. Thus, the patient was diagnosed as having an antitranscriptional intermediary factor 1-γantibody-positive dermatomyositis concomitant with urinary bladder small cell neuroendocrine carcinoma. The patient was treated with glucocorticoid and intravenous immune globulin therapy for dermatomyositis. Radiotherapy was selected for the carcinoma. Although muscle weakness and skin symptoms improved with treatment, dysphagia persisted. Furthermore, expression of the transcriptional intermediary factor 1-γ protein in tumour cells was also confirmed by immunohistochemistry, but the significance is unknown. It should be noted that antitranscriptional intermediary factor 1-γantibody-positive dermatomyositis can occur concomitantly with such a rare malignancy.

Abstract Image

Abstract Image

抗 TIF1-γ 抗体阳性皮肌炎并发膀胱小细胞神经内分泌癌的病例报告
小细胞神经内分泌癌在膀胱癌类型中非常罕见,迄今为止,还没有关于同时出现抗转录中间因子 1-γ 抗体阳性皮肌炎的病例报告。我们描述了一例 69 岁的日本男性病例,他在体检时出现肌酸激酶水平升高和血尿。大约一个月后,他出现了吞咽困难。喉镜检查证实他有喉功能障碍。他还出现肌肉无力和皮疹。上肢磁共振成像显示他患有双侧肱肌肌炎。他被诊断为皮肌炎,后来发现抗转录中间因子1-γ抗体呈阳性。计算机断层扫描显示膀胱内占位性病变和右髂淋巴结肿大,提示为膀胱癌。患者入住我院接受治疗。膀胱活检证实为小细胞神经内分泌癌,因为肿瘤细胞的突触素、CD56和嗜铬粒蛋白A均呈阳性。因此,患者被诊断为抗转录中间因子1-γ抗体阳性皮肌炎并发膀胱小细胞神经内分泌癌。患者接受了糖皮质激素和静脉注射免疫球蛋白治疗皮肌炎。癌肿选择了放射治疗。虽然肌无力和皮肤症状在治疗后有所改善,但吞咽困难仍然存在。此外,肿瘤细胞中转录中间因子 1-γ 蛋白的表达也得到了免疫组化的证实,但其意义尚不清楚。值得注意的是,抗转录中间因子 1-γ 抗体阳性的皮肌炎可能与这种罕见的恶性肿瘤同时发生。
本文章由计算机程序翻译,如有差异,请以英文原文为准。
求助全文
约1分钟内获得全文 求助全文
来源期刊
自引率
0.00%
发文量
35
审稿时长
12 weeks
×
引用
GB/T 7714-2015
复制
MLA
复制
APA
复制
导出至
BibTeX EndNote RefMan NoteFirst NoteExpress
×
提示
您的信息不完整,为了账户安全,请先补充。
现在去补充
×
提示
您因"违规操作"
具体请查看互助需知
我知道了
×
提示
确定
请完成安全验证×
copy
已复制链接
快去分享给好友吧!
我知道了
右上角分享
点击右上角分享
0
联系我们:info@booksci.cn Book学术提供免费学术资源搜索服务,方便国内外学者检索中英文文献。致力于提供最便捷和优质的服务体验。 Copyright © 2023 布克学术 All rights reserved.
京ICP备2023020795号-1
ghs 京公网安备 11010802042870号
Book学术文献互助
Book学术文献互助群
群 号:604180095
Book学术官方微信