Pulmonary nodules and primary Sjögren syndrome: a case report.

Sofia Rigoni, Anna Lanati, Francesco Cirimele, Alfredo Antonio Chetta
{"title":"Pulmonary nodules and primary Sjögren syndrome: a case report.","authors":"Sofia Rigoni, Anna Lanati, Francesco Cirimele, Alfredo Antonio Chetta","doi":"10.23750/abm.v94i6.15184","DOIUrl":null,"url":null,"abstract":"<p><p>Primary Sjögren syndrome (pSS) is a systemic autoimmune disorder that principally affects the exocrine glands but can also affect systemic or extra-glandular sites. Approximately 65-80% of patients with Sjogren's demonstrate pulmonary involvement at the CT scan and pulmonary nodules (PNs) can be encountered as a common finding. We present the case of a 49-year-old woman admitted to the emergency department for chest pain and fever. The patient was diagnosed with pSS fourteen years prior and had never taken therapy or followed regular check-ups. At the HRTC were found PNs that were studied trough a CT-PET and a needle biopsy via CT guidance, which showed diffuse large B cell lymphoma. This case report underlies the importance of check-ups and the need for a multidisciplinary approach in the care of Sjögren's syndrome patients.</p>","PeriodicalId":93849,"journal":{"name":"Acta bio-medica : Atenei Parmensis","volume":"94 6","pages":"e2023261"},"PeriodicalIF":0.0000,"publicationDate":"2023-12-05","publicationTypes":"Journal Article","fieldsOfStudy":null,"isOpenAccess":false,"openAccessPdf":"https://www.ncbi.nlm.nih.gov/pmc/articles/PMC10734230/pdf/","citationCount":"0","resultStr":null,"platform":"Semanticscholar","paperid":null,"PeriodicalName":"Acta bio-medica : Atenei Parmensis","FirstCategoryId":"1085","ListUrlMain":"https://doi.org/10.23750/abm.v94i6.15184","RegionNum":0,"RegionCategory":null,"ArticlePicture":[],"TitleCN":null,"AbstractTextCN":null,"PMCID":null,"EPubDate":"","PubModel":"","JCR":"","JCRName":"","Score":null,"Total":0}
引用次数: 0

Abstract

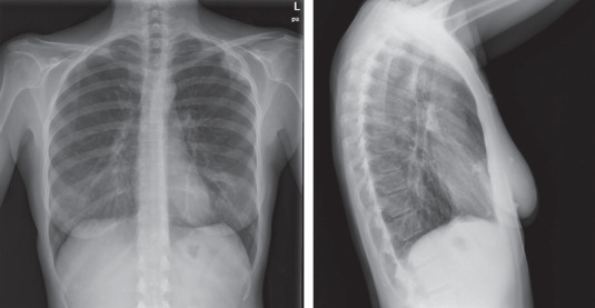
Primary Sjögren syndrome (pSS) is a systemic autoimmune disorder that principally affects the exocrine glands but can also affect systemic or extra-glandular sites. Approximately 65-80% of patients with Sjogren's demonstrate pulmonary involvement at the CT scan and pulmonary nodules (PNs) can be encountered as a common finding. We present the case of a 49-year-old woman admitted to the emergency department for chest pain and fever. The patient was diagnosed with pSS fourteen years prior and had never taken therapy or followed regular check-ups. At the HRTC were found PNs that were studied trough a CT-PET and a needle biopsy via CT guidance, which showed diffuse large B cell lymphoma. This case report underlies the importance of check-ups and the need for a multidisciplinary approach in the care of Sjögren's syndrome patients.

Abstract Image

Abstract Image

Abstract Image

肺部结节与原发性斯约格伦综合征:病例报告。
原发性斯约格伦综合征(pSS)是一种全身性自身免疫性疾病,主要影响外分泌腺,但也可影响全身或腺体外部位。约 65-80% 的斯约格伦病患者在 CT 扫描中显示肺部受累,肺结节(PNs)也是常见的发现。我们介绍了一例因胸痛和发热而被急诊科收治的 49 岁女性患者的病例。患者在 14 年前被诊断为 pSS,从未接受过治疗或定期检查。在 HRTC 发现了 PN,通过 CT-PET 和 CT 引导下的针刺活检进行了研究,结果显示为弥漫性大 B 细胞淋巴瘤。本病例报告强调了检查的重要性,以及对斯约恩综合征患者进行多学科治疗的必要性。
本文章由计算机程序翻译,如有差异,请以英文原文为准。
求助全文
约1分钟内获得全文 求助全文
来源期刊
自引率
0.00%
发文量
0
×
引用
GB/T 7714-2015
复制
MLA
复制
APA
复制
导出至
BibTeX EndNote RefMan NoteFirst NoteExpress
×
提示
您的信息不完整,为了账户安全,请先补充。
现在去补充
×
提示
您因"违规操作"
具体请查看互助需知
我知道了
×
提示
确定
请完成安全验证×
copy
已复制链接
快去分享给好友吧!
我知道了
右上角分享
点击右上角分享
0
联系我们:info@booksci.cn Book学术提供免费学术资源搜索服务,方便国内外学者检索中英文文献。致力于提供最便捷和优质的服务体验。 Copyright © 2023 布克学术 All rights reserved.
京ICP备2023020795号-1
ghs 京公网安备 11010802042870号
Book学术文献互助
Book学术文献互助群
群 号:604180095
Book学术官方微信