IgA Vasculitis following AstraZeneca/Oxford COVID-19, case report.

Nasser Alzoabi, Jamal Alqahtani, Bader Algamdi, Nada Alghamdi, Ayesha Ahmad, Gaeda Alkaltham, Tala Beidas, Omar Alakloby
{"title":"IgA Vasculitis following AstraZeneca/Oxford COVID-19, case report.","authors":"Nasser Alzoabi, Jamal Alqahtani, Bader Algamdi, Nada Alghamdi, Ayesha Ahmad, Gaeda Alkaltham, Tala Beidas, Omar Alakloby","doi":"10.23750/abm.v94i6.12959","DOIUrl":null,"url":null,"abstract":"<p><p>Immunoglobulin A (IgA) vasculitis, also known as Henoch-Schönlein purpura, is an immune-mediated vasculitis that affects small vessels. IgA vasculitis could be triggered by numerous conditions including infectious and non-infectious conditions. So far, few reported cases of Covid-19 vaccines related vasculitis. We report a case of IgA vasculitis after AstraZeneca/Oxford COVID-19 vaccine. A 29-year-old healthy man who developed purpuric skin lesions one week after his second AstraZeneca/Oxford COVID-19 vaccine which complicated by glomerulonephritis and gastrointestinal involvement. Skin biopsy revealed fibrinoid necrosis and leukocytoclasia consistent with small vessel vasculitis. Due to the temporal association, AstraZeneca/Oxford COVID-19 vaccine-related IgA vasculitis would be the most likely explanation.</p>","PeriodicalId":93849,"journal":{"name":"Acta bio-medica : Atenei Parmensis","volume":"94 6","pages":"e2023074"},"PeriodicalIF":0.0000,"publicationDate":"2023-12-05","publicationTypes":"Journal Article","fieldsOfStudy":null,"isOpenAccess":false,"openAccessPdf":"https://www.ncbi.nlm.nih.gov/pmc/articles/PMC10734242/pdf/","citationCount":"0","resultStr":null,"platform":"Semanticscholar","paperid":null,"PeriodicalName":"Acta bio-medica : Atenei Parmensis","FirstCategoryId":"1085","ListUrlMain":"https://doi.org/10.23750/abm.v94i6.12959","RegionNum":0,"RegionCategory":null,"ArticlePicture":[],"TitleCN":null,"AbstractTextCN":null,"PMCID":null,"EPubDate":"","PubModel":"","JCR":"","JCRName":"","Score":null,"Total":0}
引用次数: 0

Abstract

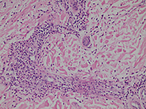
Immunoglobulin A (IgA) vasculitis, also known as Henoch-Schönlein purpura, is an immune-mediated vasculitis that affects small vessels. IgA vasculitis could be triggered by numerous conditions including infectious and non-infectious conditions. So far, few reported cases of Covid-19 vaccines related vasculitis. We report a case of IgA vasculitis after AstraZeneca/Oxford COVID-19 vaccine. A 29-year-old healthy man who developed purpuric skin lesions one week after his second AstraZeneca/Oxford COVID-19 vaccine which complicated by glomerulonephritis and gastrointestinal involvement. Skin biopsy revealed fibrinoid necrosis and leukocytoclasia consistent with small vessel vasculitis. Due to the temporal association, AstraZeneca/Oxford COVID-19 vaccine-related IgA vasculitis would be the most likely explanation.

Abstract Image

Abstract Image

阿斯利康/牛津 COVID-19 病例报告:IgA 血管炎。
免疫球蛋白 A(IgA)血管炎又称白癜风,是一种影响小血管的免疫介导的血管炎。引发 IgA 血管炎的原因有很多,包括感染性和非感染性疾病。迄今为止,与 Covid-19 疫苗相关的血管炎病例报道很少。我们报告了一例阿斯利康/牛津 COVID-19 疫苗后的 IgA 血管炎病例。一名 29 岁的健康男性在第二次接种阿斯利康/牛津 COVID-19 疫苗一周后出现紫癜性皮肤损害,并并发肾小球肾炎和胃肠道受累。皮肤活检发现纤维素性坏死和白细胞减少与小血管炎一致。由于时间上的关联,阿斯利康/牛津 COVID-19 疫苗相关的 IgA 血管炎是最有可能的解释。
本文章由计算机程序翻译,如有差异,请以英文原文为准。
求助全文
约1分钟内获得全文 求助全文
来源期刊
自引率
0.00%
发文量
0
×
引用
GB/T 7714-2015
复制
MLA
复制
APA
复制
导出至
BibTeX EndNote RefMan NoteFirst NoteExpress
×
提示
您的信息不完整,为了账户安全,请先补充。
现在去补充
×
提示
您因"违规操作"
具体请查看互助需知
我知道了
×
提示
确定
请完成安全验证×
copy
已复制链接
快去分享给好友吧!
我知道了
右上角分享
点击右上角分享
0
联系我们:info@booksci.cn Book学术提供免费学术资源搜索服务,方便国内外学者检索中英文文献。致力于提供最便捷和优质的服务体验。 Copyright © 2023 布克学术 All rights reserved.
京ICP备2023020795号-1
ghs 京公网安备 11010802042870号
Book学术文献互助
Book学术文献互助群
群 号:604180095
Book学术官方微信