Diagnostic imaging of a rare case of incidental adrenal ganglioneuroma.

Gianmichele Muscatella, Alessio Sciacqua, Laura Eusebi, Domenico Mannatrizio, Roberta Mazzucchelli, Giuseppe Guglielmi
{"title":"Diagnostic imaging of a rare case of incidental adrenal ganglioneuroma.","authors":"Gianmichele Muscatella, Alessio Sciacqua, Laura Eusebi, Domenico Mannatrizio, Roberta Mazzucchelli, Giuseppe Guglielmi","doi":"10.23750/abm.v94i6.14869","DOIUrl":null,"url":null,"abstract":"<p><p>A 53-year-old man complaining of pain in the right hypochondrium underwent an abdominal ultrasound that showed a left adrenal lesion. Further instrumental investigations (CT and MRI, both with contrast medium) were performed which diagnosed an adrenal ganglioneuroma, confirmed by the histological examination. The patient also underwent an endocrinological examination. The treatment was surgical and consisted of an adrenalectomy through video-laparoscopic access. Adrenal ganglioneuromas are rare tumors but well described and known in the literature. For this reason, this case report has primarily an educational purpose: the totality of the data collected (clinical, laboratoristic, instrumental, and histopathological) constituted a multidisciplinary case, with the focus on imaging.</p>","PeriodicalId":93849,"journal":{"name":"Acta bio-medica : Atenei Parmensis","volume":"94 6","pages":"e2023263"},"PeriodicalIF":0.0000,"publicationDate":"2023-12-05","publicationTypes":"Journal Article","fieldsOfStudy":null,"isOpenAccess":false,"openAccessPdf":"https://www.ncbi.nlm.nih.gov/pmc/articles/PMC10734235/pdf/","citationCount":"0","resultStr":null,"platform":"Semanticscholar","paperid":null,"PeriodicalName":"Acta bio-medica : Atenei Parmensis","FirstCategoryId":"1085","ListUrlMain":"https://doi.org/10.23750/abm.v94i6.14869","RegionNum":0,"RegionCategory":null,"ArticlePicture":[],"TitleCN":null,"AbstractTextCN":null,"PMCID":null,"EPubDate":"","PubModel":"","JCR":"","JCRName":"","Score":null,"Total":0}
引用次数: 0

Abstract

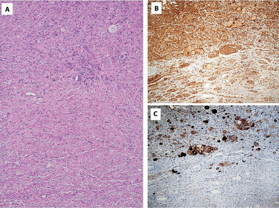
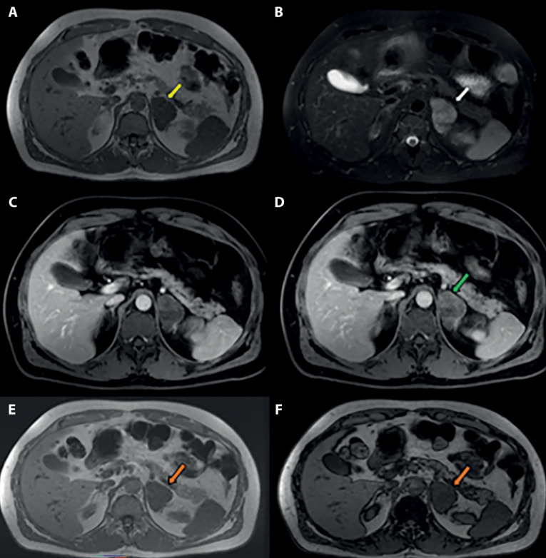
A 53-year-old man complaining of pain in the right hypochondrium underwent an abdominal ultrasound that showed a left adrenal lesion. Further instrumental investigations (CT and MRI, both with contrast medium) were performed which diagnosed an adrenal ganglioneuroma, confirmed by the histological examination. The patient also underwent an endocrinological examination. The treatment was surgical and consisted of an adrenalectomy through video-laparoscopic access. Adrenal ganglioneuromas are rare tumors but well described and known in the literature. For this reason, this case report has primarily an educational purpose: the totality of the data collected (clinical, laboratoristic, instrumental, and histopathological) constituted a multidisciplinary case, with the focus on imaging.

Abstract Image

Abstract Image

Abstract Image

一例罕见的偶发性肾上腺神经节瘤的影像诊断。
一名 53 岁的男子主诉右下腹疼痛,接受了腹部超声波检查,结果显示左侧肾上腺有病变。进一步的仪器检查(CT 和 MRI,均使用造影剂)确诊为肾上腺神经节瘤,并经组织学检查证实。患者还接受了内分泌检查。手术治疗包括通过视频腹腔镜进行肾上腺切除术。肾上腺神经节瘤是一种罕见的肿瘤,但在文献中已有详细描述和了解。因此,本病例报告主要具有教育意义:所收集的全部数据(临床、实验室、仪器和组织病理学)构成了一个多学科病例,重点是影像学。
本文章由计算机程序翻译,如有差异,请以英文原文为准。
求助全文
约1分钟内获得全文 求助全文
来源期刊
自引率
0.00%
发文量
0
×
引用
GB/T 7714-2015
复制
MLA
复制
APA
复制
导出至
BibTeX EndNote RefMan NoteFirst NoteExpress
×
提示
您的信息不完整,为了账户安全,请先补充。
现在去补充
×
提示
您因"违规操作"
具体请查看互助需知
我知道了
×
提示
确定
请完成安全验证×
copy
已复制链接
快去分享给好友吧!
我知道了
右上角分享
点击右上角分享
0
联系我们:info@booksci.cn Book学术提供免费学术资源搜索服务,方便国内外学者检索中英文文献。致力于提供最便捷和优质的服务体验。 Copyright © 2023 布克学术 All rights reserved.
京ICP备2023020795号-1
ghs 京公网安备 11010802042870号
Book学术文献互助
Book学术文献互助群
群 号:604180095
Book学术官方微信