Lessons learned from "the great mimicker disease": A retrospective study of 18 patients with scurvy.

IF 1.6 4区 医学 Q3 ORTHOPEDICS
Journal of Childrens Orthopaedics Pub Date : 2023-11-16 eCollection Date: 2023-12-01 DOI:10.1177/18632521231213150
Faisal Miraj, I Wayan Arya Mahendra Karda, Ali Abdullah, Eugene Dionysios
{"title":"Lessons learned from \"the great mimicker disease\": A retrospective study of 18 patients with scurvy.","authors":"Faisal Miraj, I Wayan Arya Mahendra Karda, Ali Abdullah, Eugene Dionysios","doi":"10.1177/18632521231213150","DOIUrl":null,"url":null,"abstract":"<p><strong>Purpose: </strong>Scurvy is an uncommon medical condition that affects children and is caused by an inadequate intake of vitamin C. This study presents the characteristics of patients with scurvy to raise awareness of the diagnostic process in developing countries where laboratory testing for vitamin C levels is often not available.</p><p><strong>Methods: </strong>A retrospective study was performed from period of 2018 to 2023. Data extraction includes patient age, sex, body mass index, constitutional symptoms, musculoskeletal, mucosal, cutaneous symptoms, other accompanying disorders, anemia, erythrocyte sedimentation rate, C-reactive protein, radiographic examination, vitamin C dose, and duration of treatment. Descriptive statistical analysis was performed in this study.</p><p><strong>Results: </strong>Eighteen cases (17 males, 1 female) of scurvy were referred to our institution. Thirteen of 18 patients were misdiagnosed before referral. The median age at presentation was 4.5 (range, 2-11) years. The average body mass index was 13.93 ± 0.63 kg/m<sup>2</sup>. Half of patients had healthy weight. All patients presented with lower limb pain and 17 of 18 with refusal to walk. The median onset of diagnosis was 11 (range 4-48) weeks. White line of Frankel was described in all patients. Seven had anemia and 6 of 18 had increase in erythrocyte sedimentation rate and/or C-reactive protein levels. Only one patient had ascorbic acid levels evaluation before treatment since it was not readily available in our country. Treatment length varied from 2 weeks to 6 months.</p><p><strong>Conclusion: </strong>The diagnosis of scurvy is frequently delayed due to its extreme rarity in modern society and its ability to mimic numerous other conditions. In children presenting with limb pain and/or reluctance to walk and pathognomonic radiological findings, physicians must prioritize scurvy as a differential diagnosis. In scurvy, vitamin C supplementation is curative.</p>","PeriodicalId":56060,"journal":{"name":"Journal of Childrens Orthopaedics","volume":"17 6","pages":"618-625"},"PeriodicalIF":1.6000,"publicationDate":"2023-11-16","publicationTypes":"Journal Article","fieldsOfStudy":null,"isOpenAccess":false,"openAccessPdf":"https://www.ncbi.nlm.nih.gov/pmc/articles/PMC10693847/pdf/","citationCount":"0","resultStr":null,"platform":"Semanticscholar","paperid":null,"PeriodicalName":"Journal of Childrens Orthopaedics","FirstCategoryId":"3","ListUrlMain":"https://doi.org/10.1177/18632521231213150","RegionNum":4,"RegionCategory":"医学","ArticlePicture":[],"TitleCN":null,"AbstractTextCN":null,"PMCID":null,"EPubDate":"2023/12/1 0:00:00","PubModel":"eCollection","JCR":"Q3","JCRName":"ORTHOPEDICS","Score":null,"Total":0}
引用次数: 0

Abstract

Purpose: Scurvy is an uncommon medical condition that affects children and is caused by an inadequate intake of vitamin C. This study presents the characteristics of patients with scurvy to raise awareness of the diagnostic process in developing countries where laboratory testing for vitamin C levels is often not available.

Methods: A retrospective study was performed from period of 2018 to 2023. Data extraction includes patient age, sex, body mass index, constitutional symptoms, musculoskeletal, mucosal, cutaneous symptoms, other accompanying disorders, anemia, erythrocyte sedimentation rate, C-reactive protein, radiographic examination, vitamin C dose, and duration of treatment. Descriptive statistical analysis was performed in this study.

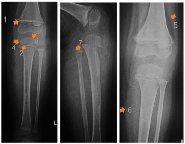
Results: Eighteen cases (17 males, 1 female) of scurvy were referred to our institution. Thirteen of 18 patients were misdiagnosed before referral. The median age at presentation was 4.5 (range, 2-11) years. The average body mass index was 13.93 ± 0.63 kg/m2. Half of patients had healthy weight. All patients presented with lower limb pain and 17 of 18 with refusal to walk. The median onset of diagnosis was 11 (range 4-48) weeks. White line of Frankel was described in all patients. Seven had anemia and 6 of 18 had increase in erythrocyte sedimentation rate and/or C-reactive protein levels. Only one patient had ascorbic acid levels evaluation before treatment since it was not readily available in our country. Treatment length varied from 2 weeks to 6 months.

Conclusion: The diagnosis of scurvy is frequently delayed due to its extreme rarity in modern society and its ability to mimic numerous other conditions. In children presenting with limb pain and/or reluctance to walk and pathognomonic radiological findings, physicians must prioritize scurvy as a differential diagnosis. In scurvy, vitamin C supplementation is curative.

Abstract Image

Abstract Image

Abstract Image

从“大模仿者病”中吸取的教训:对18例坏血病患者的回顾性研究。
目的:坏血病是一种影响儿童的罕见疾病,由维生素C摄入不足引起。本研究提出了坏血病患者的特征,以提高对发展中国家诊断过程的认识,这些国家通常无法获得维生素C水平的实验室检测。方法:2018 - 2023年进行回顾性研究。数据提取包括患者年龄、性别、体重指数、体质症状、肌肉骨骼、粘膜、皮肤症状、其他伴随疾病、贫血、红细胞沉降率、C反应蛋白、x线检查、维生素C剂量和治疗持续时间。本研究采用描述性统计分析。结果:我院共收治坏血病18例(男17例,女1例)。18例患者中有13例在转诊前被误诊。发病时的中位年龄为4.5岁(范围2-11岁)。平均体重指数为13.93±0.63 kg/m2。一半的患者体重正常。所有患者均表现为下肢疼痛,18例患者中有17例拒绝行走。中位诊断起始时间为11周(范围4-48周)。所有患者均有Frankel白线。7人有贫血,18人中有6人红细胞沉降率和/或c反应蛋白水平升高。只有一名患者在治疗前进行了抗坏血酸水平评估,因为它在我国不容易获得。治疗时间从2周到6个月不等。结论:由于坏血病在现代社会极为罕见,而且它有模仿许多其他疾病的能力,因此坏血病的诊断经常被延误。对于表现为肢体疼痛和/或不愿行走和病理表现的儿童,医生必须优先考虑坏血病作为鉴别诊断。对于坏血病,补充维生素C是有疗效的。
本文章由计算机程序翻译,如有差异,请以英文原文为准。
求助全文
约1分钟内获得全文 求助全文
来源期刊
Journal of Childrens Orthopaedics
Journal of Childrens Orthopaedics Medicine-Orthopedics and Sports Medicine
CiteScore
2.70
自引率
14.30%
发文量
61
审稿时长
23 weeks
期刊介绍: Aims & Scope The Journal of Children’s Orthopaedics is the official journal of the European Paediatric Orthopaedic Society (EPOS) and is published by The British Editorial Society of Bone & Joint Surgery. It provides a forum for the advancement of the knowledge and education in paediatric orthopaedics and traumatology across geographical borders. It advocates an increased worldwide involvement in preventing and treating musculoskeletal diseases in children and adolescents. The journal publishes high quality, peer-reviewed articles that focus on clinical practice, diagnosis and treatment of disorders unique to paediatric orthopaedics, as well as on basic and applied research. It aims to help physicians stay abreast of the latest and ever-changing developments in the field of paediatric orthopaedics and traumatology. The journal welcomes original contributions submitted exclusively for review to the journal. This continuously published online journal is fully open access and will publish one print issue each year to coincide with the EPOS Annual Congress, featuring the meeting’s abstracts.
×
引用
GB/T 7714-2015
复制
MLA
复制
APA
复制
导出至
BibTeX EndNote RefMan NoteFirst NoteExpress
×
提示
您的信息不完整,为了账户安全,请先补充。
现在去补充
×
提示
您因"违规操作"
具体请查看互助需知
我知道了
×
提示
确定
请完成安全验证×
copy
已复制链接
快去分享给好友吧!
我知道了
右上角分享
点击右上角分享
0
联系我们:info@booksci.cn Book学术提供免费学术资源搜索服务,方便国内外学者检索中英文文献。致力于提供最便捷和优质的服务体验。 Copyright © 2023 布克学术 All rights reserved.
京ICP备2023020795号-1
ghs 京公网安备 11010802042870号
Book学术文献互助
Book学术文献互助群
群 号:604180095
Book学术官方微信