Cervical Myelopathy Due to Epidural Hematoma at the Cervicomedullary Junction Associated With Ventriculoperitoneal Shunt Overdrainage: A Case Report.

Brain & NeuroRehabilitation Pub Date : 2023-10-26 eCollection Date: 2023-11-01 DOI:10.12786/bn.2023.16.e27
Ji Woong Park, Junwon Park
{"title":"Cervical Myelopathy Due to Epidural Hematoma at the Cervicomedullary Junction Associated With Ventriculoperitoneal Shunt Overdrainage: A Case Report.","authors":"Ji Woong Park, Junwon Park","doi":"10.12786/bn.2023.16.e27","DOIUrl":null,"url":null,"abstract":"<p><p>We present a case of cervical myelopathy caused by epidural hematoma formation due to chronic cerebrospinal fluid overdrainage. A 55-year-old man who underwent ventriculoperitoneal (V-P) shunt surgery for normal pressure hydrocephalus presented with progressive weakness of both the upper and lower extremities. Magnetic resonance imaging (MRI) revealed compressive myelopathy at the cervicomedullary junction at the C1-C2 level caused by epidural hematoma formation due to intracranial hypotension (IH) caused by a complication of V-P shunt. He underwent decompressive laminectomy and hematoma removal at C1-C2 and replacement of the V-P shunt valve. Follow-up cervical spine MRI showed an improved state of severe central spinal stenosis at the C1-C2 level and an improved state of compression-related cord signal intensity change in the spinal cord. After surgical intervention and intensive rehabilitation, the patient showed clinical improvement. If cervical myelopathy is suspected in patients with a shunt, cord compression due to venous engorgement or hematoma caused by over-shunting and IH should be considered.</p>","PeriodicalId":72442,"journal":{"name":"Brain & NeuroRehabilitation","volume":"16 3","pages":"e27"},"PeriodicalIF":0.0000,"publicationDate":"2023-10-26","publicationTypes":"Journal Article","fieldsOfStudy":null,"isOpenAccess":false,"openAccessPdf":"https://www.ncbi.nlm.nih.gov/pmc/articles/PMC10689856/pdf/","citationCount":"0","resultStr":null,"platform":"Semanticscholar","paperid":null,"PeriodicalName":"Brain & NeuroRehabilitation","FirstCategoryId":"1085","ListUrlMain":"https://doi.org/10.12786/bn.2023.16.e27","RegionNum":0,"RegionCategory":null,"ArticlePicture":[],"TitleCN":null,"AbstractTextCN":null,"PMCID":null,"EPubDate":"2023/11/1 0:00:00","PubModel":"eCollection","JCR":"","JCRName":"","Score":null,"Total":0}
引用次数: 0

Abstract

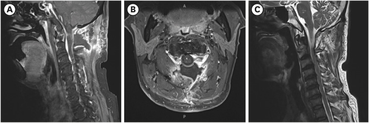
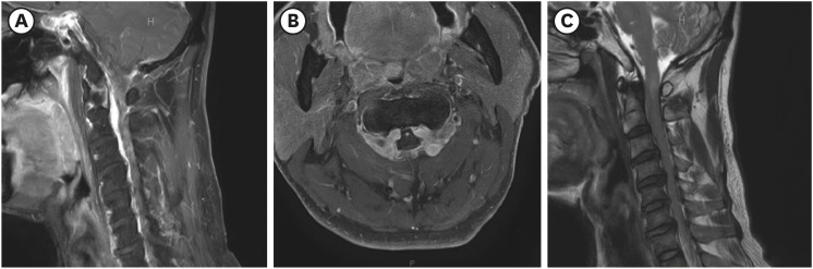
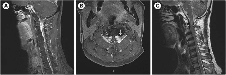
We present a case of cervical myelopathy caused by epidural hematoma formation due to chronic cerebrospinal fluid overdrainage. A 55-year-old man who underwent ventriculoperitoneal (V-P) shunt surgery for normal pressure hydrocephalus presented with progressive weakness of both the upper and lower extremities. Magnetic resonance imaging (MRI) revealed compressive myelopathy at the cervicomedullary junction at the C1-C2 level caused by epidural hematoma formation due to intracranial hypotension (IH) caused by a complication of V-P shunt. He underwent decompressive laminectomy and hematoma removal at C1-C2 and replacement of the V-P shunt valve. Follow-up cervical spine MRI showed an improved state of severe central spinal stenosis at the C1-C2 level and an improved state of compression-related cord signal intensity change in the spinal cord. After surgical intervention and intensive rehabilitation, the patient showed clinical improvement. If cervical myelopathy is suspected in patients with a shunt, cord compression due to venous engorgement or hematoma caused by over-shunting and IH should be considered.

Abstract Image

Abstract Image

Abstract Image

颈髓交界处硬膜外血肿合并脑室-腹膜分流管过引流致颈髓病1例报告。
我们报告一例由慢性脑脊液过度引流引起的硬膜外血肿所致的颈脊髓病。一个55岁的男性接受脑室-腹膜(V-P)分流手术治疗常压脑积水,表现为上肢和下肢进行性无力。磁共振成像(MRI)显示颈髓交界处C1-C2水平的压缩性脊髓病,由V-P分流并发症引起的颅内低血压(IH)导致硬膜外血肿所致。患者行减压椎板切除术、C1-C2血肿清除术和V-P分流阀置换术。随访颈椎MRI显示C1-C2水平严重中枢性椎管狭窄改善,脊髓受压相关脊髓信号强度改变改善。经手术干预及强化康复治疗,患者临床情况好转。如果怀疑分流患者有颈髓病,则应考虑静脉充血或分流过度和IH引起的血肿引起的脐带压迫。
本文章由计算机程序翻译,如有差异,请以英文原文为准。
求助全文
约1分钟内获得全文 求助全文
来源期刊
自引率
0.00%
发文量
0
×
引用
GB/T 7714-2015
复制
MLA
复制
APA
复制
导出至
BibTeX EndNote RefMan NoteFirst NoteExpress
×
提示
您的信息不完整,为了账户安全,请先补充。
现在去补充
×
提示
您因"违规操作"
具体请查看互助需知
我知道了
×
提示
确定
请完成安全验证×
copy
已复制链接
快去分享给好友吧!
我知道了
右上角分享
点击右上角分享
0
联系我们:info@booksci.cn Book学术提供免费学术资源搜索服务,方便国内外学者检索中英文文献。致力于提供最便捷和优质的服务体验。 Copyright © 2023 布克学术 All rights reserved.
京ICP备2023020795号-1
ghs 京公网安备 11010802042870号
Book学术文献互助
Book学术文献互助群
群 号:604180095
Book学术官方微信