Border-Zone Cerebral Infarcts Associated with COVID-19 in CADASIL: A Report of 3 Cases and Literature Review.

IF 2.1 Q3 PERIPHERAL VASCULAR DISEASE
Cerebrovascular Diseases Extra Pub Date : 2024-01-01 Epub Date: 2023-12-02 DOI:10.1159/000534975
Agnès Aghetti, Talia Amsellem, Dominique Hervé, Hugues Chabriat, Stéphanie Guey
{"title":"Border-Zone Cerebral Infarcts Associated with COVID-19 in CADASIL: A Report of 3 Cases and Literature Review.","authors":"Agnès Aghetti, Talia Amsellem, Dominique Hervé, Hugues Chabriat, Stéphanie Guey","doi":"10.1159/000534975","DOIUrl":null,"url":null,"abstract":"<p><strong>Introduction: </strong>Cerebral autosomal dominant arteriopathy with subcortical infarcts and leukoencephalopathy (CADASIL) is the most common inherited cerebral small vessel disease and is a cause of early onset ischemic lacunar stroke. COVID-19 infection may lead, in addition to acute respiratory syndrome, to vascular complications including stroke. Herein, we report three CADASIL patients presenting with cerebral border-zone infarcts concomitant to COVID-19 infection and summarize similar cases previously published in literature.</p><p><strong>Methods: </strong>Clinical and radiological features of the 3 patients were collected and described. A narrative review of literature was performed in PubMed and Google Scholar by the end of 2022 using the \"CADASIL\" AND \"COVID-19\" AND \"stroke\" terms.</p><p><strong>Results: </strong>In our 3 patients, aged 40-58 years, stroke symptoms occurred one to 11 days after the first COVID-19 manifestations. Pulmonary symptoms were mild or absent. One patient presented with hemodynamic failure presumably related to acute cardiomyopathy. Brain magnetic resonance imaging revealed in all cases, ischemic lesions within border-zone areas in both cerebral hemispheres, lesions in the genu of the corpus callosum or in the medium cerebellar peduncles in two cases. The watershed pattern of ischemic lesions was detected in two cases despite any blood pressure drop or severe respiratory dysfunction. Seven CADASIL patients presenting with acute brain infarcts (multiple in 4/7) in context of SARS-CoV-2 infection were identified in literature, despite no fall in blood pressure except for one of them.</p><p><strong>Conclusion: </strong>Our observations, in line with previous reports, further suggest that COVID-19 infection may alter blood flow autoregulation in the deepest cerebral white matter in CADASIL patients. The thrombocytopathy and endotheliopathy developing during COVID-19 infection may participate to the underlying vascular processes.</p>","PeriodicalId":45709,"journal":{"name":"Cerebrovascular Diseases Extra","volume":" ","pages":"1-8"},"PeriodicalIF":2.1000,"publicationDate":"2024-01-01","publicationTypes":"Journal Article","fieldsOfStudy":null,"isOpenAccess":false,"openAccessPdf":"https://www.ncbi.nlm.nih.gov/pmc/articles/PMC10769500/pdf/","citationCount":"0","resultStr":null,"platform":"Semanticscholar","paperid":null,"PeriodicalName":"Cerebrovascular Diseases Extra","FirstCategoryId":"1085","ListUrlMain":"https://doi.org/10.1159/000534975","RegionNum":0,"RegionCategory":null,"ArticlePicture":[],"TitleCN":null,"AbstractTextCN":null,"PMCID":null,"EPubDate":"2023/12/2 0:00:00","PubModel":"Epub","JCR":"Q3","JCRName":"PERIPHERAL VASCULAR DISEASE","Score":null,"Total":0}
引用次数: 0

Abstract

Introduction: Cerebral autosomal dominant arteriopathy with subcortical infarcts and leukoencephalopathy (CADASIL) is the most common inherited cerebral small vessel disease and is a cause of early onset ischemic lacunar stroke. COVID-19 infection may lead, in addition to acute respiratory syndrome, to vascular complications including stroke. Herein, we report three CADASIL patients presenting with cerebral border-zone infarcts concomitant to COVID-19 infection and summarize similar cases previously published in literature.

Methods: Clinical and radiological features of the 3 patients were collected and described. A narrative review of literature was performed in PubMed and Google Scholar by the end of 2022 using the "CADASIL" AND "COVID-19" AND "stroke" terms.

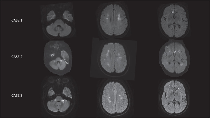
Results: In our 3 patients, aged 40-58 years, stroke symptoms occurred one to 11 days after the first COVID-19 manifestations. Pulmonary symptoms were mild or absent. One patient presented with hemodynamic failure presumably related to acute cardiomyopathy. Brain magnetic resonance imaging revealed in all cases, ischemic lesions within border-zone areas in both cerebral hemispheres, lesions in the genu of the corpus callosum or in the medium cerebellar peduncles in two cases. The watershed pattern of ischemic lesions was detected in two cases despite any blood pressure drop or severe respiratory dysfunction. Seven CADASIL patients presenting with acute brain infarcts (multiple in 4/7) in context of SARS-CoV-2 infection were identified in literature, despite no fall in blood pressure except for one of them.

Conclusion: Our observations, in line with previous reports, further suggest that COVID-19 infection may alter blood flow autoregulation in the deepest cerebral white matter in CADASIL patients. The thrombocytopathy and endotheliopathy developing during COVID-19 infection may participate to the underlying vascular processes.

Abstract Image

CADASIL合并COVID-19的边界区脑梗死3例报告并文献复习
脑常染色体显性动脉病变伴皮层下梗死和白质脑病(CADASIL)是最常见的遗传性脑血管疾病,是早发性缺血性腔隙性中风的原因之一。冠状病毒病-19 (COVID-19)感染除了可能导致急性呼吸综合征外,还可能导致包括中风在内的血管并发症。在此,我们报告了3例CADASIL患者合并COVID-19感染并发脑边界区梗死,并总结了先前文献中发表的类似病例。方法:收集3例患者的临床及影像学表现。到2022年底,在PubMed和Google Scholar上使用“CADASIL”和“COVID-19”和“中风”术语对文献进行了叙述性回顾。结果:本组3例患者年龄40 ~ 58岁,卒中症状发生在首次出现COVID-19症状后1 ~ 11天。肺部症状轻微或无症状。1例患者出现血流动力学衰竭,可能与急性心肌病有关。所有病例的脑磁共振成像均显示双脑半球边界区缺血性病变,2例胼胝体膝部或小脑中脚部病变。在两例血压下降或严重呼吸功能障碍的情况下,仍检测到缺血性病变的分水岭模式。文献中发现了7例CADASIL患者在SARS-CoV-2感染背景下出现急性脑梗死(4/7多发),尽管除其中一人外血压没有下降。结论:我们的观察结果与先前的报道一致,进一步表明COVID-19感染可能改变CADASIL患者脑深部白质的血流自动调节。在COVID-19感染期间发生的血小板病变和内皮病变可能参与潜在的血管过程。
本文章由计算机程序翻译,如有差异,请以英文原文为准。
求助全文
约1分钟内获得全文 求助全文
来源期刊
Cerebrovascular Diseases Extra
Cerebrovascular Diseases Extra PERIPHERAL VASCULAR DISEASE-
CiteScore
3.50
自引率
0.00%
发文量
16
审稿时长
8 weeks
期刊介绍: This open access and online-only journal publishes original articles covering the entire spectrum of stroke and cerebrovascular research, drawing from a variety of specialties such as neurology, internal medicine, surgery, radiology, epidemiology, cardiology, hematology, psychology and rehabilitation. Offering an international forum, it meets the growing need for sophisticated, up-to-date scientific information on clinical data, diagnostic testing, and therapeutic issues. The journal publishes original contributions, reviews of selected topics as well as clinical investigative studies. All aspects related to clinical advances are considered, while purely experimental work appears only if directly relevant to clinical issues. Cerebrovascular Diseases Extra provides additional contents based on reviewed and accepted submissions to the main journal Cerebrovascular Diseases.
×
引用
GB/T 7714-2015
复制
MLA
复制
APA
复制
导出至
BibTeX EndNote RefMan NoteFirst NoteExpress
×
提示
您的信息不完整,为了账户安全,请先补充。
现在去补充
×
提示
您因"违规操作"
具体请查看互助需知
我知道了
×
提示
确定
请完成安全验证×
copy
已复制链接
快去分享给好友吧!
我知道了
右上角分享
点击右上角分享
0
联系我们:info@booksci.cn Book学术提供免费学术资源搜索服务,方便国内外学者检索中英文文献。致力于提供最便捷和优质的服务体验。 Copyright © 2023 布克学术 All rights reserved.
京ICP备2023020795号-1
ghs 京公网安备 11010802042870号
Book学术文献互助
Book学术文献互助群
群 号:604180095
Book学术官方微信