Early is Better: Report of a Cowden Syndrome.

IF 1.5 Q4 GENETICS & HEREDITY
Global Medical Genetics Pub Date : 2023-11-27 eCollection Date: 2023-12-01 DOI:10.1055/s-0043-1777275
A Di Nora, G Pellino, A Di Mari, F Scarlata, F Greco, P Pavone
{"title":"Early is Better: Report of a Cowden Syndrome.","authors":"A Di Nora, G Pellino, A Di Mari, F Scarlata, F Greco, P Pavone","doi":"10.1055/s-0043-1777275","DOIUrl":null,"url":null,"abstract":"<p><p>In the clinical practice, it is not common for pediatricians to visit children with overgrowth phenotype. When it happens, it is important to focus on the age of manifestations and research the pathogenic causes using appropriate genetic test. Cowden syndrome is one of these rare causes; it is an autosomal dominant genodermatosis characterized by multiple hamartomas of ectodermal, mesodermal, and endodermal origin. It is caused by loss of function mutations in the phosphatase and tensin homolog (PTEN) gene located on chromosome 10q23.1 Loss of function of the PTEN gene contributes to overgrowth and risk for a variety of cancers including breast, thyroid, endometrium, skin, kidneys, and colon. The early diagnosis of Cowden disease allows a careful monitoring of the patients who are facing the risk of cancer transformation, which is the principal complication of the condition.</p>","PeriodicalId":40142,"journal":{"name":"Global Medical Genetics","volume":"10 4","pages":"345-347"},"PeriodicalIF":1.5000,"publicationDate":"2023-11-27","publicationTypes":"Journal Article","fieldsOfStudy":null,"isOpenAccess":false,"openAccessPdf":"https://www.ncbi.nlm.nih.gov/pmc/articles/PMC10681804/pdf/","citationCount":"0","resultStr":null,"platform":"Semanticscholar","paperid":null,"PeriodicalName":"Global Medical Genetics","FirstCategoryId":"1085","ListUrlMain":"https://doi.org/10.1055/s-0043-1777275","RegionNum":0,"RegionCategory":null,"ArticlePicture":[],"TitleCN":null,"AbstractTextCN":null,"PMCID":null,"EPubDate":"2023/12/1 0:00:00","PubModel":"eCollection","JCR":"Q4","JCRName":"GENETICS & HEREDITY","Score":null,"Total":0}
引用次数: 0

Abstract

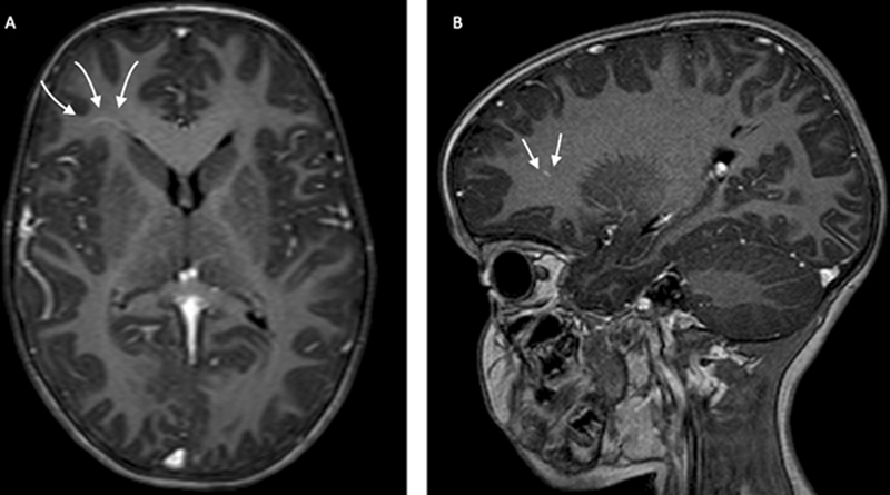
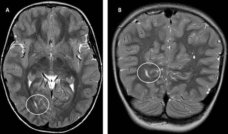
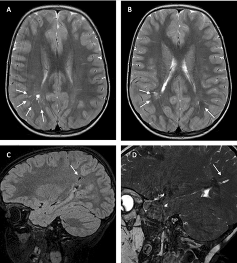
In the clinical practice, it is not common for pediatricians to visit children with overgrowth phenotype. When it happens, it is important to focus on the age of manifestations and research the pathogenic causes using appropriate genetic test. Cowden syndrome is one of these rare causes; it is an autosomal dominant genodermatosis characterized by multiple hamartomas of ectodermal, mesodermal, and endodermal origin. It is caused by loss of function mutations in the phosphatase and tensin homolog (PTEN) gene located on chromosome 10q23.1 Loss of function of the PTEN gene contributes to overgrowth and risk for a variety of cancers including breast, thyroid, endometrium, skin, kidneys, and colon. The early diagnosis of Cowden disease allows a careful monitoring of the patients who are facing the risk of cancer transformation, which is the principal complication of the condition.

Abstract Image

Abstract Image

Abstract Image

越早越好:一例考登综合征。
在临床实践中,儿科医生访问过度生长表型的儿童并不常见。当它发生时,重要的是关注表现的年龄,并利用适当的基因检测研究致病原因。考登综合征是这些罕见的原因之一;它是一种常染色体显性遗传病,以外胚层、中胚层和内胚层多发错构瘤为特征。它是由位于染色体10q23.1上的磷酸酶和紧张素同源基因(PTEN)的功能突变丧失引起的。PTEN基因的功能丧失会导致过度生长和各种癌症的风险,包括乳腺癌、甲状腺癌、子宫内膜癌、皮肤癌、肾癌和结肠癌。考登病的早期诊断允许对面临癌症转化风险的患者进行仔细监测,这是该疾病的主要并发症。
本文章由计算机程序翻译,如有差异,请以英文原文为准。
求助全文
约1分钟内获得全文 求助全文
来源期刊
Global Medical Genetics
Global Medical Genetics GENETICS & HEREDITY-
自引率
11.80%
发文量
30
审稿时长
14 weeks
×
引用
GB/T 7714-2015
复制
MLA
复制
APA
复制
导出至
BibTeX EndNote RefMan NoteFirst NoteExpress
×
提示
您的信息不完整,为了账户安全,请先补充。
现在去补充
×
提示
您因"违规操作"
具体请查看互助需知
我知道了
×
提示
确定
请完成安全验证×
copy
已复制链接
快去分享给好友吧!
我知道了
右上角分享
点击右上角分享
0
联系我们:info@booksci.cn Book学术提供免费学术资源搜索服务,方便国内外学者检索中英文文献。致力于提供最便捷和优质的服务体验。 Copyright © 2023 布克学术 All rights reserved.
京ICP备2023020795号-1
ghs 京公网安备 11010802042870号
Book学术文献互助
Book学术文献互助群
群 号:604180095
Book学术官方微信