Arterial Hypertension and Its Consequences Are the Main Predictors of Embolic Stroke of Undetermined Source.

4区 医学 Q3 Medicine
Disease Markers Pub Date : 2023-11-16 eCollection Date: 2023-01-01 DOI:10.1155/2023/3469755
Alexander B Berdalin, Daria D Namestnikova, Elvira A Cherkashova, Denis A Golovin, Ilya L Gubskiy, Vladimir G Lelyuk
{"title":"Arterial Hypertension and Its Consequences Are the Main Predictors of Embolic Stroke of Undetermined Source.","authors":"Alexander B Berdalin, Daria D Namestnikova, Elvira A Cherkashova, Denis A Golovin, Ilya L Gubskiy, Vladimir G Lelyuk","doi":"10.1155/2023/3469755","DOIUrl":null,"url":null,"abstract":"<p><strong>Methods: </strong>We performed a hospital-based prospective cohort study with 1,317 enrolled participants. We compared patients and healthy volunteers according to the main demographic, anthropometric parameters, stroke risk factors, comorbidities, and data of clinical and instrumental examination. In order to balance the study and the control groups for age and sex, the propensity score matching was performed. In order to generate the overall predictive model, a multivariate analysis was performed using the binary logistic regression method.</p><p><strong>Results: </strong>The following predictors of ESUS were identified in current study: arterial hypertension (AH); increased heart rate and pulmonary arterial systolic pressure (PASP); the presence of conduction disturbance; the enlargement of left, right atrium, and left ventricle end-systolic length; increased intima-media thickness (IMT) in right and left common carotid artery (CCA); lowered Montreal Cognitive Assessment (MoСA) cognitive scale score; the presence of subcortical microbleeds; central brain atrophy; the larger size of third ventricle; and the higher medial temporal lobe atrophy (MTA) score. The following risk factors were included in the final predictive model: the presence of AH (<i>p</i> < 0.0005; OR = 12.98 (95% CI: 4.53-37.21)) and PASP (<i>p</i>=0.018; OR = 1.13 (95% CI: 1.02-1.25)) and male sex (<i>p</i>=0.046; OR = 2.771 (95% CI: 1.017-7.555)). The Nagelkerke's pseudo-R-squared value was 0.404 and the significance of the Hosmer-Lemeshow test was 0.733, which indicate the goodness of the final logistic regression model.</p><p><strong>Conclusions: </strong>We propose that AH and its consequences are the main predictors of ESUS. The results of this study emphasize the importance of AH control for primary and secondary prevention of ESUS.</p>","PeriodicalId":11201,"journal":{"name":"Disease Markers","volume":"2023 ","pages":"3469755"},"PeriodicalIF":0.0000,"publicationDate":"2023-11-16","publicationTypes":"Journal Article","fieldsOfStudy":null,"isOpenAccess":false,"openAccessPdf":"https://www.ncbi.nlm.nih.gov/pmc/articles/PMC10667056/pdf/","citationCount":"0","resultStr":null,"platform":"Semanticscholar","paperid":null,"PeriodicalName":"Disease Markers","FirstCategoryId":"3","ListUrlMain":"https://doi.org/10.1155/2023/3469755","RegionNum":4,"RegionCategory":"医学","ArticlePicture":[],"TitleCN":null,"AbstractTextCN":null,"PMCID":null,"EPubDate":"2023/1/1 0:00:00","PubModel":"eCollection","JCR":"Q3","JCRName":"Medicine","Score":null,"Total":0}
引用次数: 0

Abstract

Methods: We performed a hospital-based prospective cohort study with 1,317 enrolled participants. We compared patients and healthy volunteers according to the main demographic, anthropometric parameters, stroke risk factors, comorbidities, and data of clinical and instrumental examination. In order to balance the study and the control groups for age and sex, the propensity score matching was performed. In order to generate the overall predictive model, a multivariate analysis was performed using the binary logistic regression method.

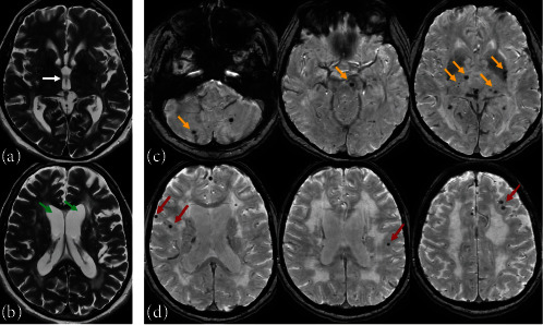
Results: The following predictors of ESUS were identified in current study: arterial hypertension (AH); increased heart rate and pulmonary arterial systolic pressure (PASP); the presence of conduction disturbance; the enlargement of left, right atrium, and left ventricle end-systolic length; increased intima-media thickness (IMT) in right and left common carotid artery (CCA); lowered Montreal Cognitive Assessment (MoСA) cognitive scale score; the presence of subcortical microbleeds; central brain atrophy; the larger size of third ventricle; and the higher medial temporal lobe atrophy (MTA) score. The following risk factors were included in the final predictive model: the presence of AH (p < 0.0005; OR = 12.98 (95% CI: 4.53-37.21)) and PASP (p=0.018; OR = 1.13 (95% CI: 1.02-1.25)) and male sex (p=0.046; OR = 2.771 (95% CI: 1.017-7.555)). The Nagelkerke's pseudo-R-squared value was 0.404 and the significance of the Hosmer-Lemeshow test was 0.733, which indicate the goodness of the final logistic regression model.

Conclusions: We propose that AH and its consequences are the main predictors of ESUS. The results of this study emphasize the importance of AH control for primary and secondary prevention of ESUS.

Abstract Image

Abstract Image

Abstract Image

动脉高血压及其后果是来源不明的栓塞性脑卒中的主要预测因素。
方法:我们进行了一项以医院为基础的前瞻性队列研究,纳入了1317名参与者。我们根据主要人口统计学、人体测量参数、卒中危险因素、合并症以及临床和仪器检查数据对患者和健康志愿者进行比较。为了平衡研究和对照组的年龄和性别,进行倾向得分匹配。为了生成整体预测模型,采用二元逻辑回归方法进行多变量分析。结果:目前的研究确定了ESUS的以下预测因素:动脉高血压(AH);心率和肺动脉收缩压(PASP)升高;存在传导扰动;左、右心房和左心室收缩末长度增大;右、左颈总动脉内膜-中膜厚度(IMT)增高;降低蒙特利尔认知评估(MoСA)认知量表得分;存在皮层下微出血;中枢性脑萎缩;第三脑室较大;内侧颞叶萎缩(MTA)评分较高。最终的预测模型包括以下危险因素:AH的存在(p < 0.0005;或= 12.98(95%置信区间:4.53—-37.21))和PASP (p = 0.018;OR = 1.13 (95% CI: 1.02-1.25))和男性(p=0.046;Or = 2.771 (95% ci: 1.017-7.555))。Nagelkerke的伪r平方值为0.404,Hosmer-Lemeshow检验的显著性为0.733,表明最终的logistic回归模型是良好的。结论:我们认为AH及其后果是ESUS的主要预测因素。本研究结果强调了AH控制对ESUS一级和二级预防的重要性。
本文章由计算机程序翻译,如有差异,请以英文原文为准。
求助全文
约1分钟内获得全文 求助全文
来源期刊
Disease Markers
Disease Markers 医学-病理学
自引率
0.00%
发文量
792
审稿时长
6-12 weeks
期刊介绍: Disease Markers is a peer-reviewed, Open Access journal that publishes original research articles, review articles, and clinical studies related to the identification of disease markers, the elucidation of their role and mechanism, as well as their application in the prognosis, diagnosis and treatment of diseases.
×
引用
GB/T 7714-2015
复制
MLA
复制
APA
复制
导出至
BibTeX EndNote RefMan NoteFirst NoteExpress
×
提示
您的信息不完整,为了账户安全,请先补充。
现在去补充
×
提示
您因"违规操作"
具体请查看互助需知
我知道了
×
提示
确定
请完成安全验证×
copy
已复制链接
快去分享给好友吧!
我知道了
右上角分享
点击右上角分享
0
联系我们:info@booksci.cn Book学术提供免费学术资源搜索服务,方便国内外学者检索中英文文献。致力于提供最便捷和优质的服务体验。 Copyright © 2023 布克学术 All rights reserved.
京ICP备2023020795号-1
ghs 京公网安备 11010802042870号
Book学术文献互助
Book学术文献互助群
群 号:604180095
Book学术官方微信