Chronic Morel-Lavallée Lesion in a Pediatric Patient: An Underrecognized Sequela after Trauma.

IF 0.5 Q4 PEDIATRICS
Case Reports in Pediatrics Pub Date : 2023-11-21 eCollection Date: 2023-01-01 DOI:10.1155/2023/6662079
Anthony O Kamson, Bradley Lazzari, Joshua Murphy
{"title":"Chronic Morel-Lavallée Lesion in a Pediatric Patient: An Underrecognized Sequela after Trauma.","authors":"Anthony O Kamson, Bradley Lazzari, Joshua Murphy","doi":"10.1155/2023/6662079","DOIUrl":null,"url":null,"abstract":"<p><p>Morel-Lavallée lesions are serious internal degloving injuries associated with trauma. Its diagnosis and treatment can be challenging. We describe the surgical treatment of a case of a chronic Morel-Lavallée lesion in a pediatric patient who sustained an injury to her left thigh during an all-terrain vehicle accident more than a year ago.</p>","PeriodicalId":9623,"journal":{"name":"Case Reports in Pediatrics","volume":"2023 ","pages":"6662079"},"PeriodicalIF":0.5000,"publicationDate":"2023-11-21","publicationTypes":"Journal Article","fieldsOfStudy":null,"isOpenAccess":false,"openAccessPdf":"https://www.ncbi.nlm.nih.gov/pmc/articles/PMC10684318/pdf/","citationCount":"0","resultStr":null,"platform":"Semanticscholar","paperid":null,"PeriodicalName":"Case Reports in Pediatrics","FirstCategoryId":"1085","ListUrlMain":"https://doi.org/10.1155/2023/6662079","RegionNum":0,"RegionCategory":null,"ArticlePicture":[],"TitleCN":null,"AbstractTextCN":null,"PMCID":null,"EPubDate":"2023/1/1 0:00:00","PubModel":"eCollection","JCR":"Q4","JCRName":"PEDIATRICS","Score":null,"Total":0}
引用次数: 0

Abstract

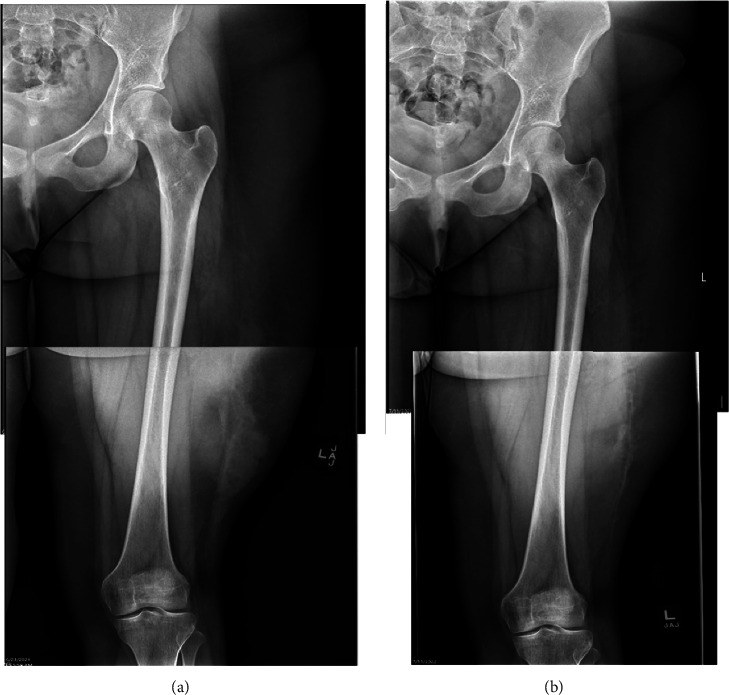
Morel-Lavallée lesions are serious internal degloving injuries associated with trauma. Its diagnosis and treatment can be challenging. We describe the surgical treatment of a case of a chronic Morel-Lavallée lesion in a pediatric patient who sustained an injury to her left thigh during an all-terrain vehicle accident more than a year ago.

Abstract Image

Abstract Image

Abstract Image

儿科患者的慢性morel - lavallsamae病变:创伤后未被充分认识的后遗症。
morel - lavallsamade病变是与外伤相关的严重的内部脱手套损伤。它的诊断和治疗可能具有挑战性。我们描述了一例慢性morel - lavallsamae病变的手术治疗,在一年前的一次全地形车辆事故中,一名儿科患者的左大腿受伤。
本文章由计算机程序翻译,如有差异,请以英文原文为准。
求助全文
约1分钟内获得全文 求助全文
来源期刊
自引率
11.10%
发文量
48
审稿时长
13 weeks
×
引用
GB/T 7714-2015
复制
MLA
复制
APA
复制
导出至
BibTeX EndNote RefMan NoteFirst NoteExpress
×
提示
您的信息不完整,为了账户安全,请先补充。
现在去补充
×
提示
您因"违规操作"
具体请查看互助需知
我知道了
×
提示
确定
请完成安全验证×
copy
已复制链接
快去分享给好友吧!
我知道了
右上角分享
点击右上角分享
0
联系我们:info@booksci.cn Book学术提供免费学术资源搜索服务,方便国内外学者检索中英文文献。致力于提供最便捷和优质的服务体验。 Copyright © 2023 布克学术 All rights reserved.
京ICP备2023020795号-1
ghs 京公网安备 11010802042870号
Book学术文献互助
Book学术文献互助群
群 号:604180095
Book学术官方微信