A case report of point-of-care ultrasound directed thrombectomy: a reversible cause of cardiac arrest managed with extracorporeal membrane oxygenation cannulation.

IF 2.3 Q2 EMERGENCY MEDICINE
Clinical and Experimental Emergency Medicine Pub Date : 2024-03-01 Epub Date: 2023-11-05 DOI:10.15441/ceem.23.084
Megan Hoffer, Salim Aziz, Keith Boniface, Jenna E Aziz, Ali Pourmand
{"title":"A case report of point-of-care ultrasound directed thrombectomy: a reversible cause of cardiac arrest managed with extracorporeal membrane oxygenation cannulation.","authors":"Megan Hoffer, Salim Aziz, Keith Boniface, Jenna E Aziz, Ali Pourmand","doi":"10.15441/ceem.23.084","DOIUrl":null,"url":null,"abstract":"<p><p>Extracorporeal membrane oxygenation (ECMO) has been increasingly employed in the emergency department for patients with a potentially reversible cause of cardiac arrest. We present the case of a young female patient with an in-hospital cardiac arrest who was found to have severe right heart strain on point-of-care ultrasound (POCUS), suggesting a massive pulmonary embolism. Rapid bedside diagnosis using ultrasound expedited bedside cannulation and initiation of ECMO as a bridge to surgical thrombectomy, and ultimately the patient survived with full neurologic function. With its ready availability and increasing acceptance by consultants, POCUS should be incorporated into cardiac arrest algorithms as the standard of care to rule in thrombotic and obstructive causes of cardiac arrest.</p>","PeriodicalId":10325,"journal":{"name":"Clinical and Experimental Emergency Medicine","volume":" ","pages":"100-105"},"PeriodicalIF":2.3000,"publicationDate":"2024-03-01","publicationTypes":"Journal Article","fieldsOfStudy":null,"isOpenAccess":false,"openAccessPdf":"https://www.ncbi.nlm.nih.gov/pmc/articles/PMC11009710/pdf/","citationCount":"0","resultStr":null,"platform":"Semanticscholar","paperid":null,"PeriodicalName":"Clinical and Experimental Emergency Medicine","FirstCategoryId":"1085","ListUrlMain":"https://doi.org/10.15441/ceem.23.084","RegionNum":0,"RegionCategory":null,"ArticlePicture":[],"TitleCN":null,"AbstractTextCN":null,"PMCID":null,"EPubDate":"2023/11/5 0:00:00","PubModel":"Epub","JCR":"Q2","JCRName":"EMERGENCY MEDICINE","Score":null,"Total":0}
引用次数: 0

Abstract

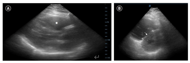
Extracorporeal membrane oxygenation (ECMO) has been increasingly employed in the emergency department for patients with a potentially reversible cause of cardiac arrest. We present the case of a young female patient with an in-hospital cardiac arrest who was found to have severe right heart strain on point-of-care ultrasound (POCUS), suggesting a massive pulmonary embolism. Rapid bedside diagnosis using ultrasound expedited bedside cannulation and initiation of ECMO as a bridge to surgical thrombectomy, and ultimately the patient survived with full neurologic function. With its ready availability and increasing acceptance by consultants, POCUS should be incorporated into cardiac arrest algorithms as the standard of care to rule in thrombotic and obstructive causes of cardiac arrest.

Abstract Image

Abstract Image

Abstract Image

急诊超声定向取栓一例报告:心脏骤停可逆原因处理体外膜氧合插管。
体外膜氧合(ECMO)已越来越多地用于急诊科的病人有潜在的可逆原因的心脏骤停。我们提出的情况下,一个年轻的女性患者与院内心脏骤停谁被发现有严重的右心脏紧张点护理超声(POCUS),提示一个巨大的肺栓塞。超声快速床边诊断加快了床边插管和ECMO的启动,作为手术取栓的桥梁,最终患者存活并具有完整的神经功能。随着POCUS的可用性和越来越多的医生接受,它应该被纳入心脏骤停算法,作为治疗血栓性和阻塞性心脏骤停原因的标准。
本文章由计算机程序翻译,如有差异,请以英文原文为准。
求助全文
约1分钟内获得全文 求助全文
来源期刊
CiteScore
2.80
自引率
10.50%
发文量
59
×
引用
GB/T 7714-2015
复制
MLA
复制
APA
复制
导出至
BibTeX EndNote RefMan NoteFirst NoteExpress
×
提示
您的信息不完整,为了账户安全,请先补充。
现在去补充
×
提示
您因"违规操作"
具体请查看互助需知
我知道了
×
提示
确定
请完成安全验证×
copy
已复制链接
快去分享给好友吧!
我知道了
右上角分享
点击右上角分享
0
联系我们:info@booksci.cn Book学术提供免费学术资源搜索服务,方便国内外学者检索中英文文献。致力于提供最便捷和优质的服务体验。 Copyright © 2023 布克学术 All rights reserved.
京ICP备2023020795号-1
ghs 京公网安备 11010802042870号
Book学术文献互助
Book学术文献互助群
群 号:604180095
Book学术官方微信