Adolescent with Diabetic Ketoacidosis, Hypothermia and Pneumomediastinum.

Journal of education & teaching in emergency medicine Pub Date : 2023-10-31 eCollection Date: 2023-10-01 DOI:10.21980/J8FP8J
Steven Millner, Courtney Devlin
{"title":"Adolescent with Diabetic Ketoacidosis, Hypothermia and Pneumomediastinum.","authors":"Steven Millner, Courtney Devlin","doi":"10.21980/J8FP8J","DOIUrl":null,"url":null,"abstract":"<p><strong>Audience: </strong>The target audience of this simulation is emergency medicine residents and medical students. The simulation is based on a real case of a 12-year-old male who presented obtunded with shortness of breath and hypothermia who was ultimately diagnosed with diabetic ketoacidosis (DKA) and pneumomediastinum. This case highlights the diagnosis and management of an adolescent with new onset diabetic ketoacidosis and pneumomediastinum with deterioration of status, as well as important ventilator settings if intubation is required in the setting of diabetic ketoacidosis.</p><p><strong>Background: </strong>Type 1 diabetes is a common disease in the pediatric population with the prevalence being approximately 2.15 per 1000 youths and diabetic ketoacidosis being the presenting status in 30-40% of the patients.1 Physicians who evaluate a child with altered mental status must have diabetic ketoacidosis in their differential. In the setting of mechanical ventilation in patients with diabetic ketoacidosis (DKA), special care must be taken. Mechanical ventilation in these patients comes with increased risk, morbidity, and mortality. Risk factors for pneumomediastinum include lung disease such as asthma, chronic obstructive pulmonary disease (COPD), and malignancy, but also can occur in the acute setting of vomiting or trauma.2.</p><p><strong>Educational objectives: </strong>By the end of the simulation, learners will be able to: 1) develop a differential diagnosis for an adolescent who presents obtunded with shortness of breath; 2) discuss the management of diabetic ketoacidosis; 3) discuss management of hypothermia in a pediatric patient; 4) discuss appropriate ventilator settings in a patient with diabetic ketoacidosis; and 5) demonstrate interpersonal communication with family, nursing, and consultants during high stress situations.</p><p><strong>Educational methods: </strong>This is a high-fidelity simulation that allows learners to manage the diagnosis and treatment of diabetic ketoacidosis and hypothermia in an adolescent patient. Participants participated in a debriefing after the simulation. There should be approximately 4-5 learners per case. This simulation was performed in 3 sessions. Each learner performed this simulation one time.</p><p><strong>Research methods: </strong>The effectiveness of this case was evaluated by surveys given to learners after debriefing. Learners gave quantitative and qualitative results of their feedback using a 1-5 rating scale and open-ended written questions. This case was trialed with residents in their first through third years of training as well as fourth year medical students.</p><p><strong>Results: </strong>Feedback was very positive, with 19 residents completing the post-simulation survey. They enjoyed the case and reported they would feel more comfortable in a comparable situation in the future. Four survey questions were asked of the participants. On average, learners stated they felt the simulation improved their ability to manage a pediatric DKA patient, and their knowledge of complications and appropriate ventilator settings improved (modes of 5, 4 and 5, respectively).</p><p><strong>Discussion: </strong>Diabetic ketoacidosis is a common and critical diagnosis for emergency medicine physicians to consider in the setting of altered mental status in a pediatric patient. This simulation has multiple steps and is based on a real case of an obtunded and hypothermic pediatric patient who was ultimately diagnosed with diabetic ketoacidosis complicated by pneumomediastinum.</p><p><strong>Topics: </strong>Diabetic ketoacidosis, pneumomediastinum, hypothermia, altered mental status, pediatrics, adolescent, intubation, hypoxia, ventilator settings, cardiac arrest, emergency medicine, medical simulation.</p>","PeriodicalId":73721,"journal":{"name":"Journal of education & teaching in emergency medicine","volume":"8 4","pages":"S1-S24"},"PeriodicalIF":0.0000,"publicationDate":"2023-10-31","publicationTypes":"Journal Article","fieldsOfStudy":null,"isOpenAccess":false,"openAccessPdf":"https://www.ncbi.nlm.nih.gov/pmc/articles/PMC10631814/pdf/","citationCount":"0","resultStr":null,"platform":"Semanticscholar","paperid":null,"PeriodicalName":"Journal of education & teaching in emergency medicine","FirstCategoryId":"1085","ListUrlMain":"https://doi.org/10.21980/J8FP8J","RegionNum":0,"RegionCategory":null,"ArticlePicture":[],"TitleCN":null,"AbstractTextCN":null,"PMCID":null,"EPubDate":"2023/10/1 0:00:00","PubModel":"eCollection","JCR":"","JCRName":"","Score":null,"Total":0}
引用次数: 0

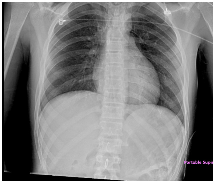
Abstract

Audience: The target audience of this simulation is emergency medicine residents and medical students. The simulation is based on a real case of a 12-year-old male who presented obtunded with shortness of breath and hypothermia who was ultimately diagnosed with diabetic ketoacidosis (DKA) and pneumomediastinum. This case highlights the diagnosis and management of an adolescent with new onset diabetic ketoacidosis and pneumomediastinum with deterioration of status, as well as important ventilator settings if intubation is required in the setting of diabetic ketoacidosis.

Background: Type 1 diabetes is a common disease in the pediatric population with the prevalence being approximately 2.15 per 1000 youths and diabetic ketoacidosis being the presenting status in 30-40% of the patients.1 Physicians who evaluate a child with altered mental status must have diabetic ketoacidosis in their differential. In the setting of mechanical ventilation in patients with diabetic ketoacidosis (DKA), special care must be taken. Mechanical ventilation in these patients comes with increased risk, morbidity, and mortality. Risk factors for pneumomediastinum include lung disease such as asthma, chronic obstructive pulmonary disease (COPD), and malignancy, but also can occur in the acute setting of vomiting or trauma.2.

Educational objectives: By the end of the simulation, learners will be able to: 1) develop a differential diagnosis for an adolescent who presents obtunded with shortness of breath; 2) discuss the management of diabetic ketoacidosis; 3) discuss management of hypothermia in a pediatric patient; 4) discuss appropriate ventilator settings in a patient with diabetic ketoacidosis; and 5) demonstrate interpersonal communication with family, nursing, and consultants during high stress situations.

Educational methods: This is a high-fidelity simulation that allows learners to manage the diagnosis and treatment of diabetic ketoacidosis and hypothermia in an adolescent patient. Participants participated in a debriefing after the simulation. There should be approximately 4-5 learners per case. This simulation was performed in 3 sessions. Each learner performed this simulation one time.

Research methods: The effectiveness of this case was evaluated by surveys given to learners after debriefing. Learners gave quantitative and qualitative results of their feedback using a 1-5 rating scale and open-ended written questions. This case was trialed with residents in their first through third years of training as well as fourth year medical students.

Results: Feedback was very positive, with 19 residents completing the post-simulation survey. They enjoyed the case and reported they would feel more comfortable in a comparable situation in the future. Four survey questions were asked of the participants. On average, learners stated they felt the simulation improved their ability to manage a pediatric DKA patient, and their knowledge of complications and appropriate ventilator settings improved (modes of 5, 4 and 5, respectively).

Discussion: Diabetic ketoacidosis is a common and critical diagnosis for emergency medicine physicians to consider in the setting of altered mental status in a pediatric patient. This simulation has multiple steps and is based on a real case of an obtunded and hypothermic pediatric patient who was ultimately diagnosed with diabetic ketoacidosis complicated by pneumomediastinum.

Topics: Diabetic ketoacidosis, pneumomediastinum, hypothermia, altered mental status, pediatrics, adolescent, intubation, hypoxia, ventilator settings, cardiac arrest, emergency medicine, medical simulation.

Abstract Image

Abstract Image

青少年糖尿病酮症酸中毒,体温过低和纵隔气肿。
受众:本模拟的目标受众是急诊医学住院医师和医学生。该模拟是基于一个真实病例,一名12岁的男性表现为呼吸急促和体温过低,最终被诊断为糖尿病酮症酸中毒(DKA)和纵隔气肿。本病例强调了新发糖尿病酮症酸中毒和纵隔气肿状态恶化的青少年的诊断和处理,以及在糖尿病酮症酸中毒的情况下需要插管时重要的呼吸机设置。背景:1型糖尿病是儿科人群的常见病,患病率约为2.15 / 1000,30-40%的患者以糖尿病酮症酸中毒为表现评估儿童精神状态改变的医生必须在他们的鉴别诊断中有糖尿病酮症酸中毒。在糖尿病酮症酸中毒(DKA)患者的机械通气设置中,必须特别注意。这些患者的机械通气风险、发病率和死亡率都有所增加。纵隔气肿的危险因素包括肺部疾病,如哮喘、慢性阻塞性肺疾病(COPD)和恶性肿瘤,但也可能发生在呕吐或创伤的急性环境中。教育目标:在模拟结束时,学习者将能够:1)对表现为呼吸短促的青少年进行鉴别诊断;2)探讨糖尿病酮症酸中毒的处理;3)讨论小儿患者低温症的处理;4)探讨糖尿病酮症酸中毒患者适当的呼吸机设置;5)在压力大的情况下表现出与家人、护理人员和咨询师的人际沟通能力。教育方法:这是一个高保真模拟,允许学习者管理诊断和治疗糖尿病酮症酸中毒和体温过低的青少年患者。参加者在模拟后参加了一次汇报。每个案例应该有大约4-5个学习者。该模拟分3个阶段进行。每个学习者进行一次模拟。研究方法:本案例的有效性通过对学员汇报后的问卷调查来评估。学习者使用1-5评分量表和开放式书面问题给出定量和定性的反馈结果。这个案例是由住院医生在他们的第一到第三年的培训,以及第四年的医学生进行试验。结果:反馈非常积极,有19位居民完成了模拟后的调查。他们喜欢这个案例,并报告说他们在未来类似的情况下会感觉更舒服。调查向参与者提出了四个问题。平均而言,学习者表示他们觉得模拟提高了他们管理儿科DKA患者的能力,他们对并发症和适当呼吸机设置的知识也有所提高(分别为5、4和5模式)。讨论:糖尿病酮症酸中毒是急诊科医生在儿科患者精神状态改变的情况下考虑的常见和关键的诊断。这个模拟有多个步骤,是基于一个真实的昏厥和体温过低的儿童患者,最终被诊断为糖尿病酮症酸中毒并发纵隔气肿。主题:糖尿病酮症酸中毒,纵隔气肿,体温过低,精神状态改变,儿科,青少年,插管,缺氧,呼吸机设置,心脏骤停,急诊医学,医学模拟。
本文章由计算机程序翻译,如有差异,请以英文原文为准。
求助全文
约1分钟内获得全文 求助全文
来源期刊
自引率
0.00%
发文量
0
审稿时长
10 weeks
×
引用
GB/T 7714-2015
复制
MLA
复制
APA
复制
导出至
BibTeX EndNote RefMan NoteFirst NoteExpress
×
提示
您的信息不完整,为了账户安全,请先补充。
现在去补充
×
提示
您因"违规操作"
具体请查看互助需知
我知道了
×
提示
确定
请完成安全验证×
copy
已复制链接
快去分享给好友吧!
我知道了
右上角分享
点击右上角分享
0
联系我们:info@booksci.cn Book学术提供免费学术资源搜索服务,方便国内外学者检索中英文文献。致力于提供最便捷和优质的服务体验。 Copyright © 2023 布克学术 All rights reserved.
京ICP备2023020795号-1
ghs 京公网安备 11010802042870号
Book学术文献互助
Book学术文献互助群
群 号:604180095
Book学术官方微信