Total Psoas Area and Psoas Density Assessment in COVID-19 Patients Using CT Imaging - Could Muscle Mass Alteration During Intensive Care Hospitalization be Determined?

IF 1.7 Q4 CRITICAL CARE MEDICINE
Journal of Critical Care Medicine Pub Date : 2023-11-14 eCollection Date: 2023-10-01 DOI:10.2478/jccm-2023-0026
Oana Elena Branea, Anca Gabriela Vlad, Mihai Pui, Diana Andreea Becica, Mihai Emanuel Becica, AnaMaria Romina Budeanu, Razvan Gabriel Budeanu, Florin Stoica, Alexandra Elena Lazar
{"title":"Total Psoas Area and Psoas Density Assessment in COVID-19 Patients Using CT Imaging - Could Muscle Mass Alteration During Intensive Care Hospitalization be Determined?","authors":"Oana Elena Branea, Anca Gabriela Vlad, Mihai Pui, Diana Andreea Becica, Mihai Emanuel Becica, AnaMaria Romina Budeanu, Razvan Gabriel Budeanu, Florin Stoica, Alexandra Elena Lazar","doi":"10.2478/jccm-2023-0026","DOIUrl":null,"url":null,"abstract":"<p><strong>Background: </strong>Since its debut, as reported by the first published studies, COVID-19 has been linked to life-threatening conditions that needed vital assistance and admission to the intensive care unit. Skeletal muscle is a core element in an organism's health due to its ability to keep energy balance and homeostasis. Many patients with prolonged hospitalization are characterized by a greater probability prone to critical illness myopathy or intensive care unit-acquired weakness.</p><p><strong>Objective: </strong>The main aim of this study was to assess the skeletal muscle in a COVID-19 cohort of critically ill patients by measuring the psoas area and density.</p><p><strong>Material and methods: </strong>This is a retrospective study that included critically ill adult patients, COVID-19 positive, mechanically ventilated, with an ICU stay of over 24 hours, and who had 2 CT scans eligible for psoas muscle evaluation. In these patients, correlations between different severity scores and psoas CT scans were sought, along with correlations with the outcome of the patients.</p><p><strong>Results: </strong>Twenty-two patients met the inclusion criteria. No statistically significant differences were noticed regarding the psoas analysis by two blinded radiologists. Significant correlations were found between LOS in the hospital and in ICU with psoas area and Hounsfield Units for the first CT scan performed. With reference to AUC-ROC and outcome, it is underlined that AUC-ROC is close to 0.5 values, for both the psoas area and HU, indicating that the model had no class separation capacity.</p><p><strong>Conclusion: </strong>The study suggested that over a short period, the psoas muscle area, and the psoas HU decline, for both the left and the right sight, in adult COVID-19 patients in ICU conditions, yet not statistically significant. Although more than two-thirds of the patients had a negative outcome, it was not possible to demonstrate an association between the SARS-COV2 infection and psoas muscle impairment. These findings highlight the need for further larger investigations.</p>","PeriodicalId":44227,"journal":{"name":"Journal of Critical Care Medicine","volume":"9 4","pages":"218-229"},"PeriodicalIF":1.7000,"publicationDate":"2023-11-14","publicationTypes":"Journal Article","fieldsOfStudy":null,"isOpenAccess":false,"openAccessPdf":"https://www.ncbi.nlm.nih.gov/pmc/articles/PMC10644306/pdf/","citationCount":"0","resultStr":null,"platform":"Semanticscholar","paperid":null,"PeriodicalName":"Journal of Critical Care Medicine","FirstCategoryId":"1085","ListUrlMain":"https://doi.org/10.2478/jccm-2023-0026","RegionNum":0,"RegionCategory":null,"ArticlePicture":[],"TitleCN":null,"AbstractTextCN":null,"PMCID":null,"EPubDate":"2023/10/1 0:00:00","PubModel":"eCollection","JCR":"Q4","JCRName":"CRITICAL CARE MEDICINE","Score":null,"Total":0}
引用次数: 0

Abstract

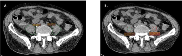
Background: Since its debut, as reported by the first published studies, COVID-19 has been linked to life-threatening conditions that needed vital assistance and admission to the intensive care unit. Skeletal muscle is a core element in an organism's health due to its ability to keep energy balance and homeostasis. Many patients with prolonged hospitalization are characterized by a greater probability prone to critical illness myopathy or intensive care unit-acquired weakness.

Objective: The main aim of this study was to assess the skeletal muscle in a COVID-19 cohort of critically ill patients by measuring the psoas area and density.

Material and methods: This is a retrospective study that included critically ill adult patients, COVID-19 positive, mechanically ventilated, with an ICU stay of over 24 hours, and who had 2 CT scans eligible for psoas muscle evaluation. In these patients, correlations between different severity scores and psoas CT scans were sought, along with correlations with the outcome of the patients.

Results: Twenty-two patients met the inclusion criteria. No statistically significant differences were noticed regarding the psoas analysis by two blinded radiologists. Significant correlations were found between LOS in the hospital and in ICU with psoas area and Hounsfield Units for the first CT scan performed. With reference to AUC-ROC and outcome, it is underlined that AUC-ROC is close to 0.5 values, for both the psoas area and HU, indicating that the model had no class separation capacity.

Conclusion: The study suggested that over a short period, the psoas muscle area, and the psoas HU decline, for both the left and the right sight, in adult COVID-19 patients in ICU conditions, yet not statistically significant. Although more than two-thirds of the patients had a negative outcome, it was not possible to demonstrate an association between the SARS-COV2 infection and psoas muscle impairment. These findings highlight the need for further larger investigations.

Abstract Image

Abstract Image

Abstract Image

CT评估COVID-19患者腰大肌总面积和腰大肌密度——重症监护住院期间肌肉质量改变是否可以确定?
背景:根据首次发表的研究报告,自首次出现以来,COVID-19与危及生命的疾病有关,这些疾病需要重要援助和入住重症监护室。骨骼肌是生物体健康的核心元素,因为它具有保持能量平衡和体内平衡的能力。许多长期住院患者的特点是更有可能发生危重性肌病或重症监护病房获得性虚弱。目的:本研究的主要目的是通过测量腰肌面积和密度来评估新冠肺炎危重患者的骨骼肌。材料和方法:这是一项回顾性研究,纳入了COVID-19阳性、机械通气、ICU住院24小时以上、2次CT扫描符合腰肌评估条件的危重成人患者。在这些患者中,寻找不同严重程度评分与腰肌CT扫描之间的相关性,以及与患者预后的相关性。结果:22例患者符合纳入标准。两名盲法放射科医师对腰肌的分析没有统计学上的显著差异。医院和ICU的LOS与腰大肌面积和Hounsfield单位首次CT扫描之间存在显著相关性。参考AUC-ROC和outcome,强调腰大肌面积和HU的AUC-ROC值都接近0.5,说明该模型不具备类分离能力。结论:本研究提示,在短期内,成人COVID-19 ICU患者左右视力的腰大肌面积和腰大肌HU均下降,但无统计学意义。尽管超过三分之二的患者结果为阴性,但无法证明SARS-COV2感染与腰肌损伤之间存在关联。这些发现强调了进一步进行更大规模调查的必要性。
本文章由计算机程序翻译,如有差异,请以英文原文为准。
求助全文
约1分钟内获得全文 求助全文
来源期刊
Journal of Critical Care Medicine
Journal of Critical Care Medicine CRITICAL CARE MEDICINE-
CiteScore
2.00
自引率
9.10%
发文量
21
审稿时长
11 weeks
×
引用
GB/T 7714-2015
复制
MLA
复制
APA
复制
导出至
BibTeX EndNote RefMan NoteFirst NoteExpress
×
提示
您的信息不完整,为了账户安全,请先补充。
现在去补充
×
提示
您因"违规操作"
具体请查看互助需知
我知道了
×
提示
确定
请完成安全验证×
copy
已复制链接
快去分享给好友吧!
我知道了
右上角分享
点击右上角分享
0
联系我们:info@booksci.cn Book学术提供免费学术资源搜索服务,方便国内外学者检索中英文文献。致力于提供最便捷和优质的服务体验。 Copyright © 2023 布克学术 All rights reserved.
京ICP备2023020795号-1
ghs 京公网安备 11010802042870号
Book学术文献互助
Book学术文献互助群
群 号:604180095
Book学术官方微信