Type III congenital pulmonary airway malformation associated with oesophageal atresia and tracheoesophageal fistula. A case report and review of literature.

Nurul Hafiez Fijasri, Nur Asmarina Muhammad Asri, Mohd Shahrulsalam Mohd Shah, Mohd Ridzuan Abd Samad, Norsuhana Omar
{"title":"Type III congenital pulmonary airway malformation associated with oesophageal atresia and tracheoesophageal fistula. A case report and review of literature.","authors":"Nurul Hafiez Fijasri,&nbsp;Nur Asmarina Muhammad Asri,&nbsp;Mohd Shahrulsalam Mohd Shah,&nbsp;Mohd Ridzuan Abd Samad,&nbsp;Norsuhana Omar","doi":"10.4103/ajps.AJPS_10_21","DOIUrl":null,"url":null,"abstract":"<p><p>Congenital pulmonary airway malformation (CPAM) together with oesophageal atresia and tracheoesophageal fistula (TOF) is a very rare condition in neonates. We presented a case of an infant with Gross type C oesophageal atresia with TOF coexisting with Stocker Type III CPAM in our centre. It is interesting to know that TOF associated with type III CPAM has never been reported in the literature. The child was delivered through caesarean section, and because of respiratory distress post-delivery, endotracheal intubation was carried out immediately. CPAM was diagnosed by a suspicious finding from the initial chest X-ray and the diagnosis was confirmed through computed tomography scan of the chest. The patient was initially stabilised in a neonatal intensive care unit (NICU), and after the successful ligation of fistula and surgical repair of TOF, lung recruitment was started by high flow oscillatory ventilation. The patient recovered well without complications and able to maintain good saturation without oxygen support through the stay in the neonatal unit. Early recognition of this rare association is essential for immediate transfer to NICU, the intervention of any early life-threatening complications, and for vigilant monitoring in the postoperative period.</p>","PeriodicalId":72123,"journal":{"name":"African journal of paediatric surgery : AJPS","volume":"20 3","pages":"245-248"},"PeriodicalIF":0.0000,"publicationDate":"2023-07-01","publicationTypes":"Journal Article","fieldsOfStudy":null,"isOpenAccess":false,"openAccessPdf":"https://ftp.ncbi.nlm.nih.gov/pub/pmc/oa_pdf/59/1f/AJPS-20-245.PMC10450113.pdf","citationCount":"0","resultStr":null,"platform":"Semanticscholar","paperid":null,"PeriodicalName":"African journal of paediatric surgery : AJPS","FirstCategoryId":"1085","ListUrlMain":"https://doi.org/10.4103/ajps.AJPS_10_21","RegionNum":0,"RegionCategory":null,"ArticlePicture":[],"TitleCN":null,"AbstractTextCN":null,"PMCID":null,"EPubDate":"","PubModel":"","JCR":"","JCRName":"","Score":null,"Total":0}
引用次数: 0

Abstract

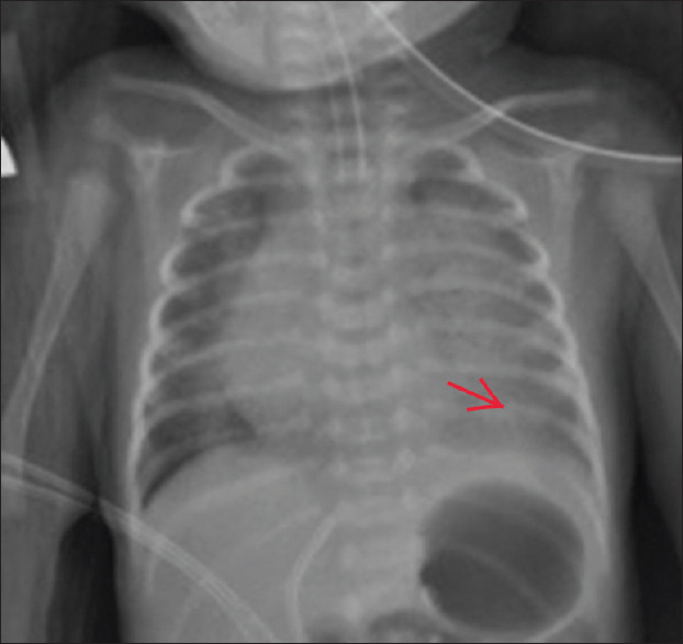
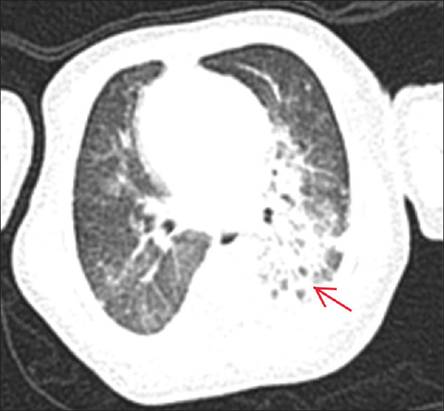
Congenital pulmonary airway malformation (CPAM) together with oesophageal atresia and tracheoesophageal fistula (TOF) is a very rare condition in neonates. We presented a case of an infant with Gross type C oesophageal atresia with TOF coexisting with Stocker Type III CPAM in our centre. It is interesting to know that TOF associated with type III CPAM has never been reported in the literature. The child was delivered through caesarean section, and because of respiratory distress post-delivery, endotracheal intubation was carried out immediately. CPAM was diagnosed by a suspicious finding from the initial chest X-ray and the diagnosis was confirmed through computed tomography scan of the chest. The patient was initially stabilised in a neonatal intensive care unit (NICU), and after the successful ligation of fistula and surgical repair of TOF, lung recruitment was started by high flow oscillatory ventilation. The patient recovered well without complications and able to maintain good saturation without oxygen support through the stay in the neonatal unit. Early recognition of this rare association is essential for immediate transfer to NICU, the intervention of any early life-threatening complications, and for vigilant monitoring in the postoperative period.

Abstract Image

Abstract Image

Abstract Image

III型先天性肺气道畸形伴食管闭锁和气管食管瘘。病例报告及文献复习。
先天性肺气道畸形(CPAM)合并食道闭锁和气管食管瘘(TOF)是新生儿中非常罕见的情况。我们在我们中心介绍了一例患有Gross C型食道闭锁并伴有TOF的婴儿与Stocker III型CPAM共存的病例。有趣的是,文献中从未报道过与III型CPAM相关的TOF。孩子是通过剖腹产分娩的,由于产后呼吸窘迫,立即进行了气管插管。CPAM是由最初胸部X光片中的可疑发现诊断的,并通过胸部计算机断层扫描确认了诊断。患者最初在新生儿重症监护室(NICU)中稳定下来,在成功结扎瘘管和TOF手术修复后,通过高流量振荡通气开始肺复苏。患者恢复良好,没有并发症,在新生儿病房期间,在没有氧气支持的情况下能够保持良好的饱和度。早期认识到这种罕见的关联对于立即转移到新生儿重症监护室、干预任何早期危及生命的并发症以及在术后进行警惕性监测至关重要。
本文章由计算机程序翻译,如有差异,请以英文原文为准。
求助全文
约1分钟内获得全文 求助全文
来源期刊
自引率
0.00%
发文量
0
×
引用
GB/T 7714-2015
复制
MLA
复制
APA
复制
导出至
BibTeX EndNote RefMan NoteFirst NoteExpress
×
提示
您的信息不完整,为了账户安全,请先补充。
现在去补充
×
提示
您因"违规操作"
具体请查看互助需知
我知道了
×
提示
确定
请完成安全验证×
copy
已复制链接
快去分享给好友吧!
我知道了
右上角分享
点击右上角分享
0
联系我们:info@booksci.cn Book学术提供免费学术资源搜索服务,方便国内外学者检索中英文文献。致力于提供最便捷和优质的服务体验。 Copyright © 2023 布克学术 All rights reserved.
京ICP备2023020795号-1
ghs 京公网安备 11010802042870号
Book学术文献互助
Book学术文献互助群
群 号:604180095
Book学术官方微信