Multidetector computed tomography evaluation of normal thymus and variations with age.

IF 1.1 4区 医学 Q3 SURGERY
Journal of Minimal Access Surgery Pub Date : 2025-04-01 Epub Date: 2023-07-05 DOI:10.4103/jmas.jmas_25_23
Suprava Naik, Aishvarya Shri, Simran Sidhu, Yuvraj Lahre, Nerbadyswari Deep Bag, Sanjeev Kumar Bhoi, Sudipta Mohakud
{"title":"Multidetector computed tomography evaluation of normal thymus and variations with age.","authors":"Suprava Naik, Aishvarya Shri, Simran Sidhu, Yuvraj Lahre, Nerbadyswari Deep Bag, Sanjeev Kumar Bhoi, Sudipta Mohakud","doi":"10.4103/jmas.jmas_25_23","DOIUrl":null,"url":null,"abstract":"<p><strong>Background: </strong>Thymus is a T-cell-producing lymphoid organ that appears prominent in the paediatric population and involutes in size with ageing. The gland shows a wide variety of appearances across different age groups. The purpose of the study is to evaluate the computed tomography (CT) appearance of thymus gland in the normal population with a focus on size, CT attenuation and fatty infiltration in different age groups.</p><p><strong>Patients and methods: </strong>This is a retrospective study done after taking approval from the Institutional Ethics Committee. Patients undergone CT scans of the thorax were identified from our database. All evaluations were done in non-contrast CT scans. Patients having underlying diseases that may have associated thymic abnormality were excluded. The appearance of thymus and the presence of fatty replacement were assessed. The size of thymus (length and thickness of right limb and left limb) and non-contrast CT Hounsfield unit (HU) value of thymic tissue were measured and compared in various age groups.</p><p><strong>Results: </strong>Four hundred and fifty patients were included, 262 (58.2%) were male. Mean age was 33.6 ± 17.1 years, range (3 months-80 years). The size of thymus was observed to decrease with increasing age. The mean age of complete fatty replacement in our study was 45 years. Complete fatty replacement was noted in all cases with an age of more than 60 years. The most common shape was arrowhead, and the most common location was pre-aortic and para-aortic location. Non-contrast CT HU value was maximum in infants and gradually decreased with advancing age.</p><p><strong>Conclusion: </strong>Even normal thymus can show varied appearance on CT which changes with the age of the patient being imaged. A comparison with normative data could help differentiate normal from abnormal glands to avoid unnecessary intervention.</p>","PeriodicalId":48905,"journal":{"name":"Journal of Minimal Access Surgery","volume":" ","pages":"101-106"},"PeriodicalIF":1.1000,"publicationDate":"2025-04-01","publicationTypes":"Journal Article","fieldsOfStudy":null,"isOpenAccess":false,"openAccessPdf":"https://www.ncbi.nlm.nih.gov/pmc/articles/PMC12054957/pdf/","citationCount":"0","resultStr":null,"platform":"Semanticscholar","paperid":null,"PeriodicalName":"Journal of Minimal Access Surgery","FirstCategoryId":"3","ListUrlMain":"https://doi.org/10.4103/jmas.jmas_25_23","RegionNum":4,"RegionCategory":"医学","ArticlePicture":[],"TitleCN":null,"AbstractTextCN":null,"PMCID":null,"EPubDate":"2023/7/5 0:00:00","PubModel":"Epub","JCR":"Q3","JCRName":"SURGERY","Score":null,"Total":0}
引用次数: 0

Abstract

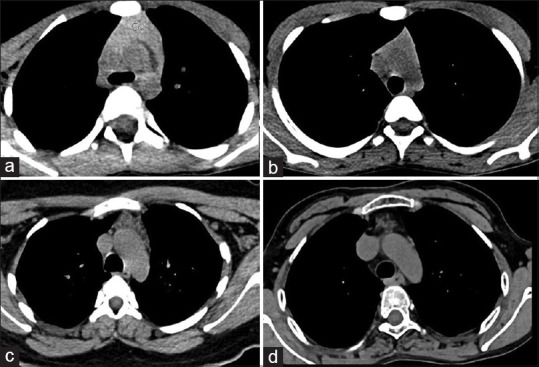
Background: Thymus is a T-cell-producing lymphoid organ that appears prominent in the paediatric population and involutes in size with ageing. The gland shows a wide variety of appearances across different age groups. The purpose of the study is to evaluate the computed tomography (CT) appearance of thymus gland in the normal population with a focus on size, CT attenuation and fatty infiltration in different age groups.

Patients and methods: This is a retrospective study done after taking approval from the Institutional Ethics Committee. Patients undergone CT scans of the thorax were identified from our database. All evaluations were done in non-contrast CT scans. Patients having underlying diseases that may have associated thymic abnormality were excluded. The appearance of thymus and the presence of fatty replacement were assessed. The size of thymus (length and thickness of right limb and left limb) and non-contrast CT Hounsfield unit (HU) value of thymic tissue were measured and compared in various age groups.

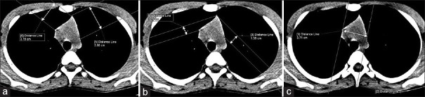
Results: Four hundred and fifty patients were included, 262 (58.2%) were male. Mean age was 33.6 ± 17.1 years, range (3 months-80 years). The size of thymus was observed to decrease with increasing age. The mean age of complete fatty replacement in our study was 45 years. Complete fatty replacement was noted in all cases with an age of more than 60 years. The most common shape was arrowhead, and the most common location was pre-aortic and para-aortic location. Non-contrast CT HU value was maximum in infants and gradually decreased with advancing age.

Conclusion: Even normal thymus can show varied appearance on CT which changes with the age of the patient being imaged. A comparison with normative data could help differentiate normal from abnormal glands to avoid unnecessary intervention.

Abstract Image

Abstract Image

Abstract Image

正常胸腺及其随年龄变化的多检波器计算机断层扫描评价。
背景:胸腺是一种产生t细胞的淋巴器官,在儿科人群中表现突出,并随着年龄的增长而缩小。腺体在不同年龄组中表现出各种各样的外观。本研究的目的是评估正常人群胸腺的CT外观,重点关注不同年龄组胸腺的大小、CT衰减和脂肪浸润。患者和方法:这是一项经过机构伦理委员会批准的回顾性研究。接受胸部CT扫描的患者从我们的数据库中确定。所有评估均在非对比CT扫描中完成。排除可能伴有胸腺异常的基础疾病患者。评估胸腺的外观和脂肪替代的存在。测量各年龄组胸腺大小(左右肢长度和厚度)及胸腺组织非对比CT Hounsfield单位(HU)值,并进行比较。结果:共纳入450例患者,其中男性262例,占58.2%。平均年龄33.6±17.1岁,范围3个月~ 80岁。胸腺的大小随年龄的增长而减小。在我们的研究中,完全脂肪替代的平均年龄是45岁。所有年龄超过60岁的患者均采用完全脂肪替代。最常见的形状是箭头状,最常见的位置是主动脉前和主动脉旁。非对比CT HU值在婴儿时最大,随着年龄的增长逐渐降低。结论:即使是正常胸腺,其CT表现也会随年龄的变化而变化。与标准数据的比较有助于区分正常和异常腺体,避免不必要的干预。
本文章由计算机程序翻译,如有差异,请以英文原文为准。
求助全文
约1分钟内获得全文 求助全文
来源期刊
CiteScore
1.70
自引率
0.00%
发文量
151
审稿时长
36 weeks
期刊介绍: Journal of Minimal Access Surgery (JMAS), the official publication of Indian Association of Gastrointestinal Endo Surgeons, launched in early 2005. The JMAS, a quarterly publication, is the first English-language journal from India, as also from this part of the world, dedicated to Minimal Access Surgery. The JMAS boasts an outstanding editorial board comprising of Indian and international experts in the field.
×
引用
GB/T 7714-2015
复制
MLA
复制
APA
复制
导出至
BibTeX EndNote RefMan NoteFirst NoteExpress
×
提示
您的信息不完整,为了账户安全,请先补充。
现在去补充
×
提示
您因"违规操作"
具体请查看互助需知
我知道了
×
提示
确定
请完成安全验证×
copy
已复制链接
快去分享给好友吧!
我知道了
右上角分享
点击右上角分享
0
联系我们:info@booksci.cn Book学术提供免费学术资源搜索服务,方便国内外学者检索中英文文献。致力于提供最便捷和优质的服务体验。 Copyright © 2023 布克学术 All rights reserved.
京ICP备2023020795号-1
ghs 京公网安备 11010802042870号
Book学术文献互助
Book学术文献互助群
群 号:604180095
Book学术官方微信