Evaluation of an artificial intelligence-based system for echocardiographic estimation of right atrial pressure.

IF 1.5 4区 医学 Q3 CARDIAC & CARDIOVASCULAR SYSTEMS
Ghada Zamzmi, Li-Yueh Hsu, Sivaramakrishnan Rajaraman, Wen Li, Vandana Sachdev, Sameer Antani
{"title":"Evaluation of an artificial intelligence-based system for echocardiographic estimation of right atrial pressure.","authors":"Ghada Zamzmi, Li-Yueh Hsu, Sivaramakrishnan Rajaraman, Wen Li, Vandana Sachdev, Sameer Antani","doi":"10.1007/s10554-023-02941-8","DOIUrl":null,"url":null,"abstract":"<p><p>Current noninvasive estimation of right atrial pressure (RAP) by inferior vena cava (IVC) measurement during echocardiography may have significant inter-rater variability due to different levels of observers' experience. Therefore, there is a need to develop new approaches to decrease the variability of IVC analysis and RAP estimation. This study aims to develop a fully automated artificial intelligence (AI)-based system for automated IVC analysis and RAP estimation. We presented a multi-stage AI system to identify the IVC view, select good quality images, delineate the IVC region and quantify its thickness, enabling temporal tracking of its diameter and collapsibility changes. The automated system was trained and tested on expert manual IVC and RAP reference measurements obtained from 255 patients during routine clinical workflow. The performance was evaluated using Pearson correlation and Bland-Altman analysis for IVC values, as well as macro accuracy and chi-square test for RAP values. Our results show an excellent agreement (r=0.96) between automatically computed versus manually measured IVC values, and Bland-Altman analysis showed a small bias of [Formula: see text]0.33 mm. Further, there is an excellent agreement ([Formula: see text]) between automatically estimated versus manually derived RAP values with a macro accuracy of 0.85. The proposed AI-based system accurately quantified IVC diameter, collapsibility index, both are used for RAP estimation. This automated system could serve as a paradigm to perform IVC analysis in routine echocardiography and support various cardiac diagnostic applications.</p>","PeriodicalId":50332,"journal":{"name":"International Journal of Cardiovascular Imaging","volume":" ","pages":"2437-2450"},"PeriodicalIF":1.5000,"publicationDate":"2023-12-01","publicationTypes":"Journal Article","fieldsOfStudy":null,"isOpenAccess":false,"openAccessPdf":"https://www.ncbi.nlm.nih.gov/pmc/articles/PMC10692014/pdf/","citationCount":"0","resultStr":null,"platform":"Semanticscholar","paperid":null,"PeriodicalName":"International Journal of Cardiovascular Imaging","FirstCategoryId":"3","ListUrlMain":"https://doi.org/10.1007/s10554-023-02941-8","RegionNum":4,"RegionCategory":"医学","ArticlePicture":[],"TitleCN":null,"AbstractTextCN":null,"PMCID":null,"EPubDate":"2023/9/8 0:00:00","PubModel":"Epub","JCR":"Q3","JCRName":"CARDIAC & CARDIOVASCULAR SYSTEMS","Score":null,"Total":0}
引用次数: 0

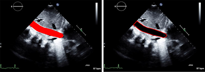
Abstract

Current noninvasive estimation of right atrial pressure (RAP) by inferior vena cava (IVC) measurement during echocardiography may have significant inter-rater variability due to different levels of observers' experience. Therefore, there is a need to develop new approaches to decrease the variability of IVC analysis and RAP estimation. This study aims to develop a fully automated artificial intelligence (AI)-based system for automated IVC analysis and RAP estimation. We presented a multi-stage AI system to identify the IVC view, select good quality images, delineate the IVC region and quantify its thickness, enabling temporal tracking of its diameter and collapsibility changes. The automated system was trained and tested on expert manual IVC and RAP reference measurements obtained from 255 patients during routine clinical workflow. The performance was evaluated using Pearson correlation and Bland-Altman analysis for IVC values, as well as macro accuracy and chi-square test for RAP values. Our results show an excellent agreement (r=0.96) between automatically computed versus manually measured IVC values, and Bland-Altman analysis showed a small bias of [Formula: see text]0.33 mm. Further, there is an excellent agreement ([Formula: see text]) between automatically estimated versus manually derived RAP values with a macro accuracy of 0.85. The proposed AI-based system accurately quantified IVC diameter, collapsibility index, both are used for RAP estimation. This automated system could serve as a paradigm to perform IVC analysis in routine echocardiography and support various cardiac diagnostic applications.

Abstract Image

Abstract Image

Abstract Image

基于人工智能的超声心动图右房压评估系统的评价。
目前超声心动图中通过下腔静脉(IVC)测量无创右房压(RAP)的方法,由于观察者经验水平的不同,可能存在显著的评分差异。因此,有必要开发新的方法来降低IVC分析和RAP估计的变异性。本研究旨在开发一个基于人工智能(AI)的全自动IVC分析和RAP估计系统。我们提出了一种多阶段人工智能系统来识别IVC视图,选择高质量的图像,描绘IVC区域并量化其厚度,从而实现对其直径和可折叠性变化的时间跟踪。在常规临床工作流程中,对该自动化系统进行了专家手动IVC和RAP参考测量的训练和测试。IVC值采用Pearson相关分析和Bland-Altman分析,RAP值采用宏观精度和卡方检验。我们的结果显示,自动计算的IVC值与人工测量的IVC值之间的一致性很好(r=0.96), Bland-Altman分析显示了0.33 mm的小偏差。此外,自动估计的RAP值与手动导出的RAP值之间存在非常好的一致性([公式:见文本]),宏观精度为0.85。本文提出的基于人工智能的系统准确量化了IVC直径和可折叠性指数,两者都用于RAP估计。该自动化系统可作为常规超声心动图中进行IVC分析的范例,并支持各种心脏诊断应用。
本文章由计算机程序翻译,如有差异,请以英文原文为准。
求助全文
约1分钟内获得全文 求助全文
来源期刊
CiteScore
4.00
自引率
9.50%
发文量
77
审稿时长
1 months
期刊介绍: The International Journal of Cardiovascular Imaging publishes technical and clinical communications (original articles, review articles and editorial comments) associated with cardiovascular diseases. The technical communications include the research, development and evaluation of novel imaging methods in the various imaging domains. These domains include magnetic resonance imaging, computed tomography, X-ray imaging, intravascular imaging, and applications in nuclear cardiology and echocardiography, and any combination of these techniques. Of particular interest are topics in medical image processing and image-guided interventions. Clinical applications of such imaging techniques include improved diagnostic approaches, treatment , prognosis and follow-up of cardiovascular patients. Topics include: multi-center or larger individual studies dealing with risk stratification and imaging utilization, applications for better characterization of cardiovascular diseases, and assessment of the efficacy of new drugs and interventional devices.
×
引用
GB/T 7714-2015
复制
MLA
复制
APA
复制
导出至
BibTeX EndNote RefMan NoteFirst NoteExpress
×
提示
您的信息不完整,为了账户安全,请先补充。
现在去补充
×
提示
您因"违规操作"
具体请查看互助需知
我知道了
×
提示
确定
请完成安全验证×
copy
已复制链接
快去分享给好友吧!
我知道了
右上角分享
点击右上角分享
0
联系我们:info@booksci.cn Book学术提供免费学术资源搜索服务,方便国内外学者检索中英文文献。致力于提供最便捷和优质的服务体验。 Copyright © 2023 布克学术 All rights reserved.
京ICP备2023020795号-1
ghs 京公网安备 11010802042870号
Book学术文献互助
Book学术文献互助群
群 号:604180095
Book学术官方微信