Spontaneous Regression of an Unruptured Arteriovenous Malformation Due to Drainer Vein Thrombosis in a Patient with Protein S Deficiency: A Case Report and Literature Review.

Ryuichi Noda, Atsuya Akabane, Mariko Kawashima, Masafumi Segawa, Sho Tsunoda, Tomohiro Inoue
{"title":"Spontaneous Regression of an Unruptured Arteriovenous Malformation Due to Drainer Vein Thrombosis in a Patient with Protein S Deficiency: A Case Report and Literature Review.","authors":"Ryuichi Noda,&nbsp;Atsuya Akabane,&nbsp;Mariko Kawashima,&nbsp;Masafumi Segawa,&nbsp;Sho Tsunoda,&nbsp;Tomohiro Inoue","doi":"10.2176/jns-nmc.2023-0056","DOIUrl":null,"url":null,"abstract":"<p><p>Spontaneous regression of an arteriovenous malformation (AVM) is a rare condition observed in 0.3%-1.3% of patients with AVMs and is most likely caused by hemorrhagic events. The regression of an unruptured AVM is rarer than that of a ruptured AVM. Moreover, due to its low frequency of occurrence, the etiology and natural course of spontaneous regression of an AVM is still unclear. This is the first report presenting a case of a spontaneous regression of an unruptured AVM caused by a gradual drainer vein thrombosis that was suspected to result from hypercoagulability due to protein S deficiency.</p>","PeriodicalId":19260,"journal":{"name":"NMC Case Report Journal","volume":"10 ","pages":"221-226"},"PeriodicalIF":0.0000,"publicationDate":"2023-01-01","publicationTypes":"Journal Article","fieldsOfStudy":null,"isOpenAccess":false,"openAccessPdf":"https://ftp.ncbi.nlm.nih.gov/pub/pmc/oa_pdf/17/3a/2188-4226-10-0221.PMC10446868.pdf","citationCount":"0","resultStr":null,"platform":"Semanticscholar","paperid":null,"PeriodicalName":"NMC Case Report Journal","FirstCategoryId":"1085","ListUrlMain":"https://doi.org/10.2176/jns-nmc.2023-0056","RegionNum":0,"RegionCategory":null,"ArticlePicture":[],"TitleCN":null,"AbstractTextCN":null,"PMCID":null,"EPubDate":"","PubModel":"","JCR":"","JCRName":"","Score":null,"Total":0}
引用次数: 0

Abstract

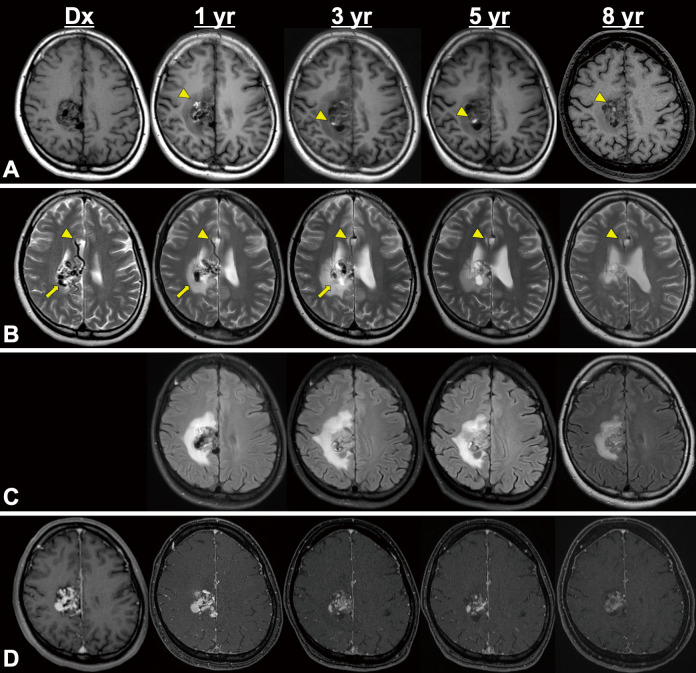
Spontaneous regression of an arteriovenous malformation (AVM) is a rare condition observed in 0.3%-1.3% of patients with AVMs and is most likely caused by hemorrhagic events. The regression of an unruptured AVM is rarer than that of a ruptured AVM. Moreover, due to its low frequency of occurrence, the etiology and natural course of spontaneous regression of an AVM is still unclear. This is the first report presenting a case of a spontaneous regression of an unruptured AVM caused by a gradual drainer vein thrombosis that was suspected to result from hypercoagulability due to protein S deficiency.

Abstract Image

Abstract Image

Abstract Image

蛋白S缺乏症患者因引流静脉血栓形成所致未破裂动静脉畸形的自发消退:1例报告及文献复习。
动静脉畸形(AVM)的自发消退是一种罕见的情况,在0.3 -1.3%的动静脉畸形患者中观察到,最可能是由出血事件引起的。未破裂的动静脉畸形比破裂的动静脉畸形少见。此外,由于其发生频率较低,AVM的病因和自然消退的自然过程尚不清楚。这是首次报道一例未破裂的AVM自发性消退,其原因是逐渐的引流静脉血栓形成,怀疑是由于蛋白S缺乏引起的高凝性。
本文章由计算机程序翻译,如有差异,请以英文原文为准。
求助全文
约1分钟内获得全文 求助全文
来源期刊
自引率
0.00%
发文量
0
×
引用
GB/T 7714-2015
复制
MLA
复制
APA
复制
导出至
BibTeX EndNote RefMan NoteFirst NoteExpress
×
提示
您的信息不完整,为了账户安全,请先补充。
现在去补充
×
提示
您因"违规操作"
具体请查看互助需知
我知道了
×
提示
确定
请完成安全验证×
copy
已复制链接
快去分享给好友吧!
我知道了
右上角分享
点击右上角分享
0
联系我们:info@booksci.cn Book学术提供免费学术资源搜索服务,方便国内外学者检索中英文文献。致力于提供最便捷和优质的服务体验。 Copyright © 2023 布克学术 All rights reserved.
京ICP备2023020795号-1
ghs 京公网安备 11010802042870号
Book学术文献互助
Book学术文献互助群
群 号:604180095
Book学术官方微信