Brain Biometry Reveals Impaired Brain Growth in Preterm Neonates with Intraventricular Hemorrhage.

IF 3 3区 医学 Q1 PEDIATRICS
Neonatology Pub Date : 2023-01-01 Epub Date: 2023-02-20 DOI:10.1159/000528981
Mirjam Steiner, Hannah Schwarz, Gregor Kasprian, Judith Rittenschober-Boehm, Victor Schmidbauer, Renate Fuiko, Monika Olischar, Katrin Klebermass-Schrehof, Angelika Berger, Katharina Goeral
{"title":"Brain Biometry Reveals Impaired Brain Growth in Preterm Neonates with Intraventricular Hemorrhage.","authors":"Mirjam Steiner, Hannah Schwarz, Gregor Kasprian, Judith Rittenschober-Boehm, Victor Schmidbauer, Renate Fuiko, Monika Olischar, Katrin Klebermass-Schrehof, Angelika Berger, Katharina Goeral","doi":"10.1159/000528981","DOIUrl":null,"url":null,"abstract":"<p><strong>Introduction: </strong>Preterm birth and cerebral hemorrhage have adverse effects on brain development. Alterations in regional brain size on magnetic resonance imaging (MRI) can be assessed using 2D biometrical analysis, an easily applicable technique showing good correlation with 3D brain volumes.</p><p><strong>Methods: </strong>This retrospective study included 74 preterm neonates with intraventricular hemorrhage (IVH) born <32+0 weeks of gestation between 2011 and 2019. Cerebral MRI was performed at term-equivalent age, and 2D measurement techniques were used for biometrical analysis and compared to normative data of two control groups. Finally, the correlation and association of brain parameters and patterns of impaired brain growth and outcome at 2 and 3 years of age were evaluated.</p><p><strong>Results: </strong>Interhemispheric distance (IHD), the 3rd ventricle, and lateral ventricles presented larger, in contrast, cerebral biparietal width (cBPW), fronto-occipital diameter (FOD), and the length of the corpus callosum were smaller in IVH patients compared to respective controls. The strongest correlations with outcome were observed for the parameters FOD, anteroposterior diameter of the vermis, transverse cerebellar diameter (tCD), corpus callosum, 3rd ventricle, and left ventricular index. Patients with the small FOD, small BPW, and increased IHD pattern reached overall lower outcome scores at follow-up.</p><p><strong>Discussion: </strong>Preterm neonates with IVH showed reduced total brain sizes and enlarged pericerebral spaces compared to neurologically healthy controls. Biometric analysis revealed that several 2D brain parameters as well as different patterns of impaired brain growth were associated with neurodevelopmental impairment in early childhood. These findings may support prediction of long-term outcome and parental counseling in patients with IVH.</p>","PeriodicalId":18924,"journal":{"name":"Neonatology","volume":"120 2","pages":"225-234"},"PeriodicalIF":3.0000,"publicationDate":"2023-01-01","publicationTypes":"Journal Article","fieldsOfStudy":null,"isOpenAccess":false,"openAccessPdf":"https://www.ncbi.nlm.nih.gov/pmc/articles/PMC10906469/pdf/","citationCount":"0","resultStr":null,"platform":"Semanticscholar","paperid":null,"PeriodicalName":"Neonatology","FirstCategoryId":"3","ListUrlMain":"https://doi.org/10.1159/000528981","RegionNum":3,"RegionCategory":"医学","ArticlePicture":[],"TitleCN":null,"AbstractTextCN":null,"PMCID":null,"EPubDate":"2023/2/20 0:00:00","PubModel":"Epub","JCR":"Q1","JCRName":"PEDIATRICS","Score":null,"Total":0}
引用次数: 0

Abstract

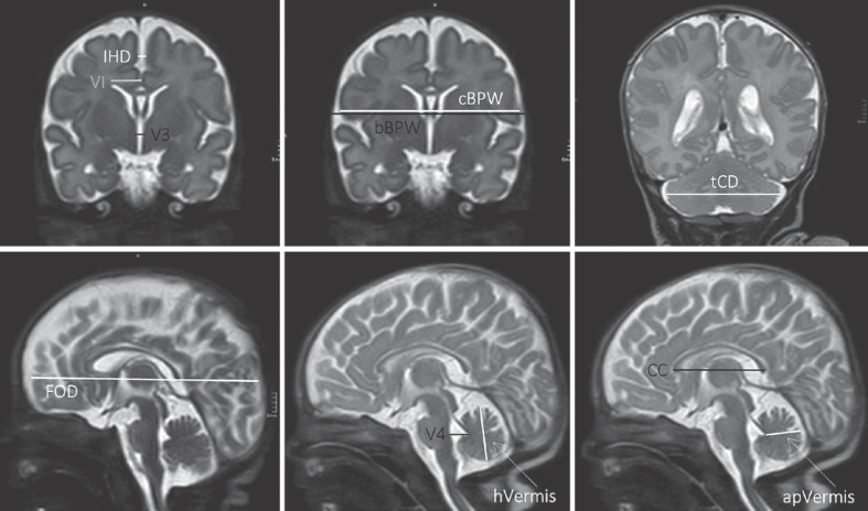
Introduction: Preterm birth and cerebral hemorrhage have adverse effects on brain development. Alterations in regional brain size on magnetic resonance imaging (MRI) can be assessed using 2D biometrical analysis, an easily applicable technique showing good correlation with 3D brain volumes.

Methods: This retrospective study included 74 preterm neonates with intraventricular hemorrhage (IVH) born <32+0 weeks of gestation between 2011 and 2019. Cerebral MRI was performed at term-equivalent age, and 2D measurement techniques were used for biometrical analysis and compared to normative data of two control groups. Finally, the correlation and association of brain parameters and patterns of impaired brain growth and outcome at 2 and 3 years of age were evaluated.

Results: Interhemispheric distance (IHD), the 3rd ventricle, and lateral ventricles presented larger, in contrast, cerebral biparietal width (cBPW), fronto-occipital diameter (FOD), and the length of the corpus callosum were smaller in IVH patients compared to respective controls. The strongest correlations with outcome were observed for the parameters FOD, anteroposterior diameter of the vermis, transverse cerebellar diameter (tCD), corpus callosum, 3rd ventricle, and left ventricular index. Patients with the small FOD, small BPW, and increased IHD pattern reached overall lower outcome scores at follow-up.

Discussion: Preterm neonates with IVH showed reduced total brain sizes and enlarged pericerebral spaces compared to neurologically healthy controls. Biometric analysis revealed that several 2D brain parameters as well as different patterns of impaired brain growth were associated with neurodevelopmental impairment in early childhood. These findings may support prediction of long-term outcome and parental counseling in patients with IVH.

Abstract Image

脑生物测量显示脑室内出血早产新生儿的大脑发育受损
引言早产和脑出血对大脑发育有不利影响。磁共振成像(MRI)上区域脑部大小的变化可通过二维生物测量分析进行评估,这种简便易行的技术与三维脑容量具有良好的相关性:这项回顾性研究包括 74 名患有脑室内出血(IVH)的早产新生儿:与对照组相比,IVH 患者的大脑半球间距离(IHD)、第三脑室和侧脑室较大,而大脑双顶宽度(cBPW)、前枕直径(FOD)和胼胝体长度较小。FOD、蚓部前胸直径、小脑横径(tCD)、胼胝体、第三脑室和左心室指数等参数与预后的相关性最强。FOD小、BPW小和IHD模式增加的患者在随访时的总体结果评分较低:讨论:与神经系统健康的对照组相比,患有IVH的早产新生儿的大脑总体积缩小,脑周间隙增大。生物计量分析表明,一些二维脑参数以及不同的脑发育受损模式与幼儿期神经发育受损有关。这些发现有助于预测IVH患者的长期预后和为家长提供咨询。
本文章由计算机程序翻译,如有差异,请以英文原文为准。
求助全文
约1分钟内获得全文 求助全文
来源期刊
Neonatology
Neonatology 医学-小儿科
CiteScore
0.60
自引率
4.00%
发文量
91
审稿时长
6-12 weeks
期刊介绍: This highly respected and frequently cited journal is a prime source of information in the area of fetal and neonatal research. Original papers present research on all aspects of neonatology, fetal medicine and developmental biology. These papers encompass both basic science and clinical research including randomized trials, observational studies and epidemiology. Basic science research covers molecular biology, molecular genetics, physiology, biochemistry and pharmacology in fetal and neonatal life. In addition to the classic features the journal accepts papers for the sections Research Briefings and Sources of Neonatal Medicine (historical pieces). Papers reporting results of animal studies should be based upon hypotheses that relate to developmental processes or disorders in the human fetus or neonate.
×
引用
GB/T 7714-2015
复制
MLA
复制
APA
复制
导出至
BibTeX EndNote RefMan NoteFirst NoteExpress
×
提示
您的信息不完整,为了账户安全,请先补充。
现在去补充
×
提示
您因"违规操作"
具体请查看互助需知
我知道了
×
提示
确定
请完成安全验证×
copy
已复制链接
快去分享给好友吧!
我知道了
右上角分享
点击右上角分享
0
联系我们:info@booksci.cn Book学术提供免费学术资源搜索服务,方便国内外学者检索中英文文献。致力于提供最便捷和优质的服务体验。 Copyright © 2023 布克学术 All rights reserved.
京ICP备2023020795号-1
ghs 京公网安备 11010802042870号
Book学术文献互助
Book学术文献互助群
群 号:604180095
Book学术官方微信