Giant choledochal cyst in infant: A rare case report.

Ram Jeewan Singh, Md Mokarram Ali, Rashi Rashi, Amit Kumar, Shreyas Dudhani, Amit Kumar Sinha
{"title":"Giant choledochal cyst in infant: A rare case report.","authors":"Ram Jeewan Singh,&nbsp;Md Mokarram Ali,&nbsp;Rashi Rashi,&nbsp;Amit Kumar,&nbsp;Shreyas Dudhani,&nbsp;Amit Kumar Sinha","doi":"10.4103/ajps.ajps_72_21","DOIUrl":null,"url":null,"abstract":"<p><p>The cystic dilatation of the common bile duct (CBD) is a rare pathology in an infant. It is the second-most common surgical cause of cholestatic jaundice in infants after biliary atresia. A 4-month-old female child was admitted to our department with complaints of abdominal distension. The physical examination revealed the presence of a huge palpable mass involving the right hypochondrium up to the right iliac fossa and umbilical region. Ultrasound abdomen revealed a large intra-abdominal cyst but unable to comment on the organ of origin of the cyst due to its huge size. Multidetector computed tomography of the abdomen was suggestive of possible origin of the cyst from CBD extending from porta hepatis to pelvis. At laparotomy, there was a huge choledochal cyst extending from porta hepatis to pelvis. The choledochal cyst was excised, followed by Roux-en-Y hepaticojejunostomy.</p>","PeriodicalId":72123,"journal":{"name":"African journal of paediatric surgery : AJPS","volume":"20 3","pages":"243-244"},"PeriodicalIF":0.0000,"publicationDate":"2023-07-01","publicationTypes":"Journal Article","fieldsOfStudy":null,"isOpenAccess":false,"openAccessPdf":"https://ftp.ncbi.nlm.nih.gov/pub/pmc/oa_pdf/00/02/AJPS-20-243.PMC10450116.pdf","citationCount":"0","resultStr":null,"platform":"Semanticscholar","paperid":null,"PeriodicalName":"African journal of paediatric surgery : AJPS","FirstCategoryId":"1085","ListUrlMain":"https://doi.org/10.4103/ajps.ajps_72_21","RegionNum":0,"RegionCategory":null,"ArticlePicture":[],"TitleCN":null,"AbstractTextCN":null,"PMCID":null,"EPubDate":"","PubModel":"","JCR":"","JCRName":"","Score":null,"Total":0}
引用次数: 0

Abstract

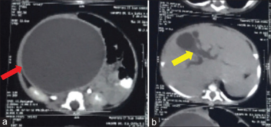
The cystic dilatation of the common bile duct (CBD) is a rare pathology in an infant. It is the second-most common surgical cause of cholestatic jaundice in infants after biliary atresia. A 4-month-old female child was admitted to our department with complaints of abdominal distension. The physical examination revealed the presence of a huge palpable mass involving the right hypochondrium up to the right iliac fossa and umbilical region. Ultrasound abdomen revealed a large intra-abdominal cyst but unable to comment on the organ of origin of the cyst due to its huge size. Multidetector computed tomography of the abdomen was suggestive of possible origin of the cyst from CBD extending from porta hepatis to pelvis. At laparotomy, there was a huge choledochal cyst extending from porta hepatis to pelvis. The choledochal cyst was excised, followed by Roux-en-Y hepaticojejunostomy.

Abstract Image

Abstract Image

婴儿巨大胆总管囊肿:一例罕见病例报告。
胆总管囊性扩张(CBD)是一种罕见的婴儿病理。它是婴儿胆汁淤积性黄疸的第二常见外科原因,仅次于胆道闭锁。我科收治了一名4个月大的女婴,主诉腹胀。体格检查显示,右侧疑病症至右侧髂窝和脐部有一个巨大的可触及肿块。腹部超声检查发现一个巨大的腹腔内囊肿,但由于其巨大,无法对囊肿的起源器官进行评论。腹部的多探测器计算机断层扫描提示囊肿可能起源于从肝门延伸到骨盆的CBD。剖腹探查发现一个巨大的胆总管囊肿,从肝门一直延伸到骨盆。切除胆总管囊肿,然后进行肝肠Roux-en-Y吻合术。
本文章由计算机程序翻译,如有差异,请以英文原文为准。
求助全文
约1分钟内获得全文 求助全文
来源期刊
自引率
0.00%
发文量
0
×
引用
GB/T 7714-2015
复制
MLA
复制
APA
复制
导出至
BibTeX EndNote RefMan NoteFirst NoteExpress
×
提示
您的信息不完整,为了账户安全,请先补充。
现在去补充
×
提示
您因"违规操作"
具体请查看互助需知
我知道了
×
提示
确定
请完成安全验证×
copy
已复制链接
快去分享给好友吧!
我知道了
右上角分享
点击右上角分享
0
联系我们:info@booksci.cn Book学术提供免费学术资源搜索服务,方便国内外学者检索中英文文献。致力于提供最便捷和优质的服务体验。 Copyright © 2023 布克学术 All rights reserved.
京ICP备2023020795号-1
ghs 京公网安备 11010802042870号
Book学术文献互助
Book学术文献互助群
群 号:604180095
Book学术官方微信