Rapid genome diagnosis of alveolar capillary dysplasia leading to treatment in a child with respiratory and cardiac failure.

IF 1.8 Q3 MEDICINE, RESEARCH & EXPERIMENTAL
Cold Spring Harbor Molecular Case Studies Pub Date : 2024-01-10 Print Date: 2023-12-01 DOI:10.1101/mcs.a006292
Dana R Tower, Ronald W Day, Tighe Marrone, Rachel Palmquist, Lincoln D Nadauld, Joshua L Bonkowsky, Sabrina Malone Jenkins
{"title":"Rapid genome diagnosis of alveolar capillary dysplasia leading to treatment in a child with respiratory and cardiac failure.","authors":"Dana R Tower, Ronald W Day, Tighe Marrone, Rachel Palmquist, Lincoln D Nadauld, Joshua L Bonkowsky, Sabrina Malone Jenkins","doi":"10.1101/mcs.a006292","DOIUrl":null,"url":null,"abstract":"<p><p>Alveolar capillary dysplasia (ACD) is a fatal disorder that typically presents in the neonatal period with refractory hypoxemia and pulmonary hypertension. Lung biopsy is traditionally required to establish the diagnosis. We report a 22-mo-old male who presented with anemia, severe pulmonary hypertension, and right heart failure. He had a complicated hospital course resulting in cardiac arrest and requirement for extracorporeal membrane oxygenation. Computed tomography of the chest showed a heterogenous pattern of interlobular septal thickening and pulmonary edema. The etiology of his condition was unknown, lung biopsy was contraindicated because of his medical fragility, and discussions were held to move to palliative care. Rapid whole-genome sequencing (rWGS) was performed. In 2 d it resulted, revealing a novel <i>FOXF1</i> gene pathogenic variant that led to the presumptive diagnosis of atypical ACD. Cases of atypical ACD have been reported with survival in patients using medical therapy or lung transplantation. Based on the rWGS diagnosis and more favorable potential of atypical ACD, aggressive medical treatment was pursued. The patient was discharged home after 67 d in the hospital; he is currently doing well more than 30 mo after his initial presentation with only one subsequent hospitalization and no requirement for lung transplantation. Our case reveals the potential for use of rWGS in a critically ill child in which the diagnosis is unknown. rWGS and other advanced genetic tests can guide clinical management and expand our understanding of atypical ACD and other conditions.</p>","PeriodicalId":10360,"journal":{"name":"Cold Spring Harbor Molecular Case Studies","volume":" ","pages":""},"PeriodicalIF":1.8000,"publicationDate":"2024-01-10","publicationTypes":"Journal Article","fieldsOfStudy":null,"isOpenAccess":false,"openAccessPdf":"https://www.ncbi.nlm.nih.gov/pmc/articles/PMC10815270/pdf/","citationCount":"0","resultStr":null,"platform":"Semanticscholar","paperid":null,"PeriodicalName":"Cold Spring Harbor Molecular Case Studies","FirstCategoryId":"1085","ListUrlMain":"https://doi.org/10.1101/mcs.a006292","RegionNum":0,"RegionCategory":null,"ArticlePicture":[],"TitleCN":null,"AbstractTextCN":null,"PMCID":null,"EPubDate":"2023/12/1 0:00:00","PubModel":"Print","JCR":"Q3","JCRName":"MEDICINE, RESEARCH & EXPERIMENTAL","Score":null,"Total":0}
引用次数: 0

Abstract

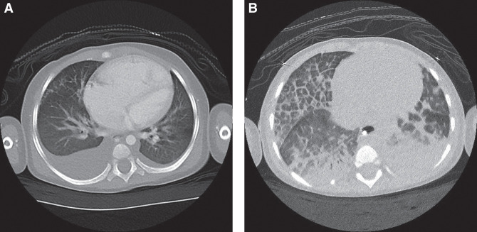
Alveolar capillary dysplasia (ACD) is a fatal disorder that typically presents in the neonatal period with refractory hypoxemia and pulmonary hypertension. Lung biopsy is traditionally required to establish the diagnosis. We report a 22-mo-old male who presented with anemia, severe pulmonary hypertension, and right heart failure. He had a complicated hospital course resulting in cardiac arrest and requirement for extracorporeal membrane oxygenation. Computed tomography of the chest showed a heterogenous pattern of interlobular septal thickening and pulmonary edema. The etiology of his condition was unknown, lung biopsy was contraindicated because of his medical fragility, and discussions were held to move to palliative care. Rapid whole-genome sequencing (rWGS) was performed. In 2 d it resulted, revealing a novel FOXF1 gene pathogenic variant that led to the presumptive diagnosis of atypical ACD. Cases of atypical ACD have been reported with survival in patients using medical therapy or lung transplantation. Based on the rWGS diagnosis and more favorable potential of atypical ACD, aggressive medical treatment was pursued. The patient was discharged home after 67 d in the hospital; he is currently doing well more than 30 mo after his initial presentation with only one subsequent hospitalization and no requirement for lung transplantation. Our case reveals the potential for use of rWGS in a critically ill child in which the diagnosis is unknown. rWGS and other advanced genetic tests can guide clinical management and expand our understanding of atypical ACD and other conditions.

Abstract Image

肺泡毛细血管发育不良的快速基因组诊断导致儿童呼吸和心力衰竭的治疗。
肺泡毛细血管发育不良(ACD)是一种致命的疾病,通常出现在新生儿期,伴有难治性低氧血症和肺动脉高压。传统上需要肺活检来确定诊断。我们报告了一名22个月大的男性,他表现为贫血、严重肺动脉高压和右心衰竭。他有一个复杂的住院过程,导致心脏骤停,需要体外膜肺氧合。胸部计算机断层扫描(CT)显示小叶间隔增厚和肺水肿的异质性模式。他的病因尚不清楚,由于他的身体脆弱,肺活检被禁止,并进行了讨论,以转移到姑息治疗。进行了快速全基因组测序(rWGS)。在2天内,它揭示了一种新的FOXF1基因致病性变体,该变体导致非典型ACD的推定诊断。据报道,在使用药物治疗或肺移植的患者中,非典型ACD的病例具有生存率。基于rWGS诊断和非典型ACD更有利的潜力,进行了积极的药物治疗。病人在医院住了67天后出院回家;他目前在初次就诊后30多个月表现良好,仅住院一次,无需进行肺移植。我们的病例揭示了在诊断未知的危重儿童中使用rWGS的潜力。rWGS和其他先进的基因检测可以指导临床管理,并扩大我们对非典型ACD和其他疾病的了解。
本文章由计算机程序翻译,如有差异,请以英文原文为准。
求助全文
约1分钟内获得全文 求助全文
来源期刊
Cold Spring Harbor Molecular Case Studies
Cold Spring Harbor Molecular Case Studies MEDICINE, RESEARCH & EXPERIMENTAL-
CiteScore
3.20
自引率
0.00%
发文量
54
期刊介绍: Cold Spring Harbor Molecular Case Studies is an open-access, peer-reviewed, international journal in the field of precision medicine. Articles in the journal present genomic and molecular analyses of individuals or cohorts alongside their clinical presentations and phenotypic information. The journal''s purpose is to rapidly share insights into disease development and treatment gained by application of genomics, proteomics, metabolomics, biomarker analysis, and other approaches. The journal covers the fields of cancer, complex diseases, monogenic disorders, neurological conditions, orphan diseases, infectious disease, gene therapy, and pharmacogenomics. It has a rapid peer-review process that is based on technical evaluation of the analyses performed, not the novelty of findings, and offers a swift, clear path to publication. The journal publishes: Research Reports presenting detailed case studies of individuals and small cohorts, Research Articles describing more extensive work using larger cohorts and/or functional analyses, Rapid Communications presenting the discovery of a novel variant and/or novel phenotype associated with a known disease gene, Rapid Cancer Communications presenting the discovery of a novel variant or combination of variants in a cancer type, Variant Discrepancy Resolution describing efforts to resolve differences or update variant interpretations in ClinVar through case-level data sharing, Follow-up Reports linked to previous observations, Plus Review Articles, Editorials, and Position Statements on best practices for research in precision medicine.
×
引用
GB/T 7714-2015
复制
MLA
复制
APA
复制
导出至
BibTeX EndNote RefMan NoteFirst NoteExpress
×
提示
您的信息不完整,为了账户安全,请先补充。
现在去补充
×
提示
您因"违规操作"
具体请查看互助需知
我知道了
×
提示
确定
请完成安全验证×
copy
已复制链接
快去分享给好友吧!
我知道了
右上角分享
点击右上角分享
0
联系我们:info@booksci.cn Book学术提供免费学术资源搜索服务,方便国内外学者检索中英文文献。致力于提供最便捷和优质的服务体验。 Copyright © 2023 布克学术 All rights reserved.
京ICP备2023020795号-1
ghs 京公网安备 11010802042870号
Book学术文献互助
Book学术文献互助群
群 号:604180095
Book学术官方微信
小红书