商用聚甲基丙烯酸甲酯关节髋关节垫片两阶段翻修的有效性:单微生物和多微生物髋关节假体周围关节感染的相似结果

IF 2.8 Q3 INFECTIOUS DISEASES
Leonel Perez Alamino, German Garabano, Joaquín Anibal Rodriguez, Matías Cullari, Hernán Del Sel, Cesar Angel Pesciallo
{"title":"商用聚甲基丙烯酸甲酯关节髋关节垫片两阶段翻修的有效性:单微生物和多微生物髋关节假体周围关节感染的相似结果","authors":"Leonel Perez Alamino,&nbsp;German Garabano,&nbsp;Joaquín Anibal Rodriguez,&nbsp;Matías Cullari,&nbsp;Hernán Del Sel,&nbsp;Cesar Angel Pesciallo","doi":"10.5194/jbji-8-51-2023","DOIUrl":null,"url":null,"abstract":"<p><p><b>Background</b>: orthopaedic surgeons still struggle against a devastating complication - periprosthetic joint infection (PJI). A two-stage revision is considered the gold standard for chronic PJI for several authors, with success rates over 90 %. This strategy implies the remotion of the prosthesis and the implantation of an antibiotic-impregnated cement spacer in the joint. The primary objective of this study was to assess the effectiveness of a two-stage revision approach using a commercial prefabricated antibiotic-impregnated cement hip spacer for the treatment of hip PJI regarding monomicrobial and polymicrobial infections. Secondly, to assess risk factors for failure of two-stage revision. <b>Material and methods</b>: we conducted a retrospective study on patients that underwent revision of total hip arthroplasty (THA) between January 2002 and January 20218. We included adult patients with a diagnosis of chronic hip PJI that underwent two-stage revision using a prefabricated gentamicin-impregnated cement of polymethylmethacrylate (PMMA) hip spacer. We assessed whether it was monomicrobial or polymicrobial infections and comorbidities. Treatment success was defined when eradication of the infection was observed and no further procedures or mortality were registered after the second stage. Persistence or recurrence of infection was considered a failure of treatment. <b>Results</b>: the final series consisted of 84 patients treated with the same hip spacer: 60 (71.4 %) monomicrobial and 24 (28.6 %) polymicrobial joint infections with an overall follow-up of 59.0 (36.0-84.0) months. The overall success rate was 90.5 %. Eight (9.5 %) patients failed. Smoking and BMI greater than 30 m kg<math><msup><mi></mi><mrow><mo>-</mo><mn>2</mn></mrow></msup></math> were identified independent risk factors for failure in multivariate analysis. <b>Conclusion</b>: our study suggests that prefabricated gentamicin-impregnated PMMA spacer is an effective tool for the treatment of PJI, achieving similar outcomes whether it is monomicrobial or polymicrobial infections. Randomized prospective studies are needed to obtain more reliable conclusions.</p>","PeriodicalId":15271,"journal":{"name":"Journal of Bone and Joint Infection","volume":"8 1","pages":"51-57"},"PeriodicalIF":2.8000,"publicationDate":"2023-01-01","publicationTypes":"Journal Article","fieldsOfStudy":null,"isOpenAccess":false,"openAccessPdf":"https://www.ncbi.nlm.nih.gov/pmc/articles/PMC10339031/pdf/","citationCount":"0","resultStr":"{\"title\":\"Effectiveness of two-stage revision with commercial polymethylmethacrylate articulated hip spacer: similar outcomes against monomicrobial and polymicrobial hip periprosthetic joint infections.\",\"authors\":\"Leonel Perez Alamino,&nbsp;German Garabano,&nbsp;Joaquín Anibal Rodriguez,&nbsp;Matías Cullari,&nbsp;Hernán Del Sel,&nbsp;Cesar Angel Pesciallo\",\"doi\":\"10.5194/jbji-8-51-2023\",\"DOIUrl\":null,\"url\":null,\"abstract\":\"<p><p><b>Background</b>: orthopaedic surgeons still struggle against a devastating complication - periprosthetic joint infection (PJI). A two-stage revision is considered the gold standard for chronic PJI for several authors, with success rates over 90 %. This strategy implies the remotion of the prosthesis and the implantation of an antibiotic-impregnated cement spacer in the joint. The primary objective of this study was to assess the effectiveness of a two-stage revision approach using a commercial prefabricated antibiotic-impregnated cement hip spacer for the treatment of hip PJI regarding monomicrobial and polymicrobial infections. Secondly, to assess risk factors for failure of two-stage revision. <b>Material and methods</b>: we conducted a retrospective study on patients that underwent revision of total hip arthroplasty (THA) between January 2002 and January 20218. We included adult patients with a diagnosis of chronic hip PJI that underwent two-stage revision using a prefabricated gentamicin-impregnated cement of polymethylmethacrylate (PMMA) hip spacer. We assessed whether it was monomicrobial or polymicrobial infections and comorbidities. Treatment success was defined when eradication of the infection was observed and no further procedures or mortality were registered after the second stage. Persistence or recurrence of infection was considered a failure of treatment. <b>Results</b>: the final series consisted of 84 patients treated with the same hip spacer: 60 (71.4 %) monomicrobial and 24 (28.6 %) polymicrobial joint infections with an overall follow-up of 59.0 (36.0-84.0) months. The overall success rate was 90.5 %. Eight (9.5 %) patients failed. Smoking and BMI greater than 30 m kg<math><msup><mi></mi><mrow><mo>-</mo><mn>2</mn></mrow></msup></math> were identified independent risk factors for failure in multivariate analysis. <b>Conclusion</b>: our study suggests that prefabricated gentamicin-impregnated PMMA spacer is an effective tool for the treatment of PJI, achieving similar outcomes whether it is monomicrobial or polymicrobial infections. Randomized prospective studies are needed to obtain more reliable conclusions.</p>\",\"PeriodicalId\":15271,\"journal\":{\"name\":\"Journal of Bone and Joint Infection\",\"volume\":\"8 1\",\"pages\":\"51-57\"},\"PeriodicalIF\":2.8000,\"publicationDate\":\"2023-01-01\",\"publicationTypes\":\"Journal Article\",\"fieldsOfStudy\":null,\"isOpenAccess\":false,\"openAccessPdf\":\"https://www.ncbi.nlm.nih.gov/pmc/articles/PMC10339031/pdf/\",\"citationCount\":\"0\",\"resultStr\":null,\"platform\":\"Semanticscholar\",\"paperid\":null,\"PeriodicalName\":\"Journal of Bone and Joint Infection\",\"FirstCategoryId\":\"1085\",\"ListUrlMain\":\"https://doi.org/10.5194/jbji-8-51-2023\",\"RegionNum\":0,\"RegionCategory\":null,\"ArticlePicture\":[],\"TitleCN\":null,\"AbstractTextCN\":null,\"PMCID\":null,\"EPubDate\":\"\",\"PubModel\":\"\",\"JCR\":\"Q3\",\"JCRName\":\"INFECTIOUS DISEASES\",\"Score\":null,\"Total\":0}","platform":"Semanticscholar","paperid":null,"PeriodicalName":"Journal of Bone and Joint Infection","FirstCategoryId":"1085","ListUrlMain":"https://doi.org/10.5194/jbji-8-51-2023","RegionNum":0,"RegionCategory":null,"ArticlePicture":[],"TitleCN":null,"AbstractTextCN":null,"PMCID":null,"EPubDate":"","PubModel":"","JCR":"Q3","JCRName":"INFECTIOUS DISEASES","Score":null,"Total":0}
引用次数: 0

摘要

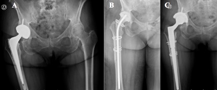
背景:骨科医生仍然在与一个毁灭性的并发症-假体周围关节感染(PJI)作斗争。对于一些作者来说,两阶段的修订被认为是慢性PJI的黄金标准,成功率超过90% %。这一策略意味着移除假体并在关节内植入抗生素浸透的水泥垫片。本研究的主要目的是评估两阶段翻修方法的有效性,该方法使用商业预制抗生素浸渍水泥髋关节垫片治疗单微生物和多微生物感染的髋关节PJI。其次,评估两阶段翻修失败的危险因素。材料和方法:我们对2002年1月至2018年1月间接受全髋关节置换术翻修的患者进行了回顾性研究。我们纳入了诊断为慢性髋关节PJI的成年患者,他们使用预制庆大霉素浸渍的聚甲基丙烯酸甲酯(PMMA)髋关节垫片进行了两期翻修。我们评估是单微生物感染还是多微生物感染以及合并症。治疗成功的定义是观察到感染被根除,并且在第二阶段之后没有进一步的手术或死亡率记录。感染持续或复发被认为是治疗失败。结果:最终的系列包括84例使用相同髋关节垫片治疗的患者:60例(71.4 %)单微生物关节感染和24例(28.6 %)多微生物关节感染,总随访时间为59.0(36.0-84.0)个月。总成功率为90.5 %。8例(9.5 %)患者失败。在多因素分析中,吸烟和BMI大于30 m kg-2是失败的独立危险因素。结论:我们的研究表明,预制庆大霉素浸渍PMMA间隔剂是治疗PJI的有效工具,无论是单微生物感染还是多微生物感染,效果都相似。需要随机前瞻性研究来获得更可靠的结论。
本文章由计算机程序翻译,如有差异,请以英文原文为准。

Effectiveness of two-stage revision with commercial polymethylmethacrylate articulated hip spacer: similar outcomes against monomicrobial and polymicrobial hip periprosthetic joint infections.

Effectiveness of two-stage revision with commercial polymethylmethacrylate articulated hip spacer: similar outcomes against monomicrobial and polymicrobial hip periprosthetic joint infections.

Background: orthopaedic surgeons still struggle against a devastating complication - periprosthetic joint infection (PJI). A two-stage revision is considered the gold standard for chronic PJI for several authors, with success rates over 90 %. This strategy implies the remotion of the prosthesis and the implantation of an antibiotic-impregnated cement spacer in the joint. The primary objective of this study was to assess the effectiveness of a two-stage revision approach using a commercial prefabricated antibiotic-impregnated cement hip spacer for the treatment of hip PJI regarding monomicrobial and polymicrobial infections. Secondly, to assess risk factors for failure of two-stage revision. Material and methods: we conducted a retrospective study on patients that underwent revision of total hip arthroplasty (THA) between January 2002 and January 20218. We included adult patients with a diagnosis of chronic hip PJI that underwent two-stage revision using a prefabricated gentamicin-impregnated cement of polymethylmethacrylate (PMMA) hip spacer. We assessed whether it was monomicrobial or polymicrobial infections and comorbidities. Treatment success was defined when eradication of the infection was observed and no further procedures or mortality were registered after the second stage. Persistence or recurrence of infection was considered a failure of treatment. Results: the final series consisted of 84 patients treated with the same hip spacer: 60 (71.4 %) monomicrobial and 24 (28.6 %) polymicrobial joint infections with an overall follow-up of 59.0 (36.0-84.0) months. The overall success rate was 90.5 %. Eight (9.5 %) patients failed. Smoking and BMI greater than 30 m kg-2 were identified independent risk factors for failure in multivariate analysis. Conclusion: our study suggests that prefabricated gentamicin-impregnated PMMA spacer is an effective tool for the treatment of PJI, achieving similar outcomes whether it is monomicrobial or polymicrobial infections. Randomized prospective studies are needed to obtain more reliable conclusions.

求助全文
通过发布文献求助,成功后即可免费获取论文全文。 去求助
来源期刊
CiteScore
3.70
自引率
0.00%
发文量
29
审稿时长
12 weeks
×
引用
GB/T 7714-2015
复制
MLA
复制
APA
复制
导出至
BibTeX EndNote RefMan NoteFirst NoteExpress
×
提示
您的信息不完整,为了账户安全,请先补充。
现在去补充
×
提示
您因"违规操作"
具体请查看互助需知
我知道了
×
提示
确定
请完成安全验证×
copy
已复制链接
快去分享给好友吧!
我知道了
右上角分享
点击右上角分享
0
联系我们:info@booksci.cn Book学术提供免费学术资源搜索服务,方便国内外学者检索中英文文献。致力于提供最便捷和优质的服务体验。 Copyright © 2023 布克学术 All rights reserved.
京ICP备2023020795号-1
ghs 京公网安备 11010802042870号
Book学术文献互助
Book学术文献互助群
群 号:604180095
Book学术官方微信