一例造血干细胞移植后呼吸道合胞病毒感染后的肺静脉闭塞性疾病。

Tatsuo Watanabe, Kazutoshi Komori, Shoji Saito, Eriko Uchida, Takashi Kurata, Masatomo Kitamura, Hikoro Matsui, Kohta Takei, Yoshifumi Ogiso, Keiko Ohta-Ogo, Yozo Nakazawa, Kazuo Sakashita
{"title":"一例造血干细胞移植后呼吸道合胞病毒感染后的肺静脉闭塞性疾病。","authors":"Tatsuo Watanabe,&nbsp;Kazutoshi Komori,&nbsp;Shoji Saito,&nbsp;Eriko Uchida,&nbsp;Takashi Kurata,&nbsp;Masatomo Kitamura,&nbsp;Hikoro Matsui,&nbsp;Kohta Takei,&nbsp;Yoshifumi Ogiso,&nbsp;Keiko Ohta-Ogo,&nbsp;Yozo Nakazawa,&nbsp;Kazuo Sakashita","doi":"10.31547/bct-2022-005","DOIUrl":null,"url":null,"abstract":"<p><strong>Background: </strong>Pulmonary veno-occlusive disease (PVOD) is a rare but fatal complication of hematopoietic stem cell transplantation (HSCT). Although literature on PVOD post-HSCT is scarce, a recent study has indicated that this condition may be underestimated. Respiratory syncytial virus (RSV) is a common respiratory pathogen that causes common cold in healthy individuals but may lead to severe lower respiratory infection accompanied by respiratory distress in infants and immunocompromised individuals, such as post-HSCT patients. However, little is known about the relationship between PVOD and RSV infections.</p><p><strong>Case report: </strong>A 4-year-old boy was diagnosed with metastatic neuroblastoma and underwent intensive chemotherapy, autologous HSCT, and allogeneic cord blood transplantation (CBT). He experienced PVOD on day 194 following CBT after displaying upper respiratory symptoms and positive RSV antigen test results approximately one month prior. Pathological examination of a lung biopsy specimen revealed lung injury suspected to be associated with viral infection in addition to PVOD-related findings, suggesting that RSV infection might have contributed to the onset of PVOD.</p><p><strong>Conclusions: </strong>The patient's clinical history and histological findings indicated that RSV could have triggered the development of PVOD under potential endothelial damage caused by HSCT and other prior treatments. Common respiratory viral infections, such as RSV infection, may evoke the development of PVOD.</p>","PeriodicalId":72423,"journal":{"name":"Blood cell therapy","volume":"6 1","pages":"1-4"},"PeriodicalIF":0.0000,"publicationDate":"2023-02-25","publicationTypes":"Journal Article","fieldsOfStudy":null,"isOpenAccess":false,"openAccessPdf":"https://ftp.ncbi.nlm.nih.gov/pub/pmc/oa_pdf/76/c6/2432-7026-6-1-0001.PMC10266921.pdf","citationCount":"0","resultStr":"{\"title\":\"Pulmonary veno-occlusive disease after respiratory syncytial virus infection in a post hematopoietic stem cell transplantation patient.\",\"authors\":\"Tatsuo Watanabe,&nbsp;Kazutoshi Komori,&nbsp;Shoji Saito,&nbsp;Eriko Uchida,&nbsp;Takashi Kurata,&nbsp;Masatomo Kitamura,&nbsp;Hikoro Matsui,&nbsp;Kohta Takei,&nbsp;Yoshifumi Ogiso,&nbsp;Keiko Ohta-Ogo,&nbsp;Yozo Nakazawa,&nbsp;Kazuo Sakashita\",\"doi\":\"10.31547/bct-2022-005\",\"DOIUrl\":null,\"url\":null,\"abstract\":\"<p><strong>Background: </strong>Pulmonary veno-occlusive disease (PVOD) is a rare but fatal complication of hematopoietic stem cell transplantation (HSCT). Although literature on PVOD post-HSCT is scarce, a recent study has indicated that this condition may be underestimated. Respiratory syncytial virus (RSV) is a common respiratory pathogen that causes common cold in healthy individuals but may lead to severe lower respiratory infection accompanied by respiratory distress in infants and immunocompromised individuals, such as post-HSCT patients. However, little is known about the relationship between PVOD and RSV infections.</p><p><strong>Case report: </strong>A 4-year-old boy was diagnosed with metastatic neuroblastoma and underwent intensive chemotherapy, autologous HSCT, and allogeneic cord blood transplantation (CBT). He experienced PVOD on day 194 following CBT after displaying upper respiratory symptoms and positive RSV antigen test results approximately one month prior. Pathological examination of a lung biopsy specimen revealed lung injury suspected to be associated with viral infection in addition to PVOD-related findings, suggesting that RSV infection might have contributed to the onset of PVOD.</p><p><strong>Conclusions: </strong>The patient's clinical history and histological findings indicated that RSV could have triggered the development of PVOD under potential endothelial damage caused by HSCT and other prior treatments. Common respiratory viral infections, such as RSV infection, may evoke the development of PVOD.</p>\",\"PeriodicalId\":72423,\"journal\":{\"name\":\"Blood cell therapy\",\"volume\":\"6 1\",\"pages\":\"1-4\"},\"PeriodicalIF\":0.0000,\"publicationDate\":\"2023-02-25\",\"publicationTypes\":\"Journal Article\",\"fieldsOfStudy\":null,\"isOpenAccess\":false,\"openAccessPdf\":\"https://ftp.ncbi.nlm.nih.gov/pub/pmc/oa_pdf/76/c6/2432-7026-6-1-0001.PMC10266921.pdf\",\"citationCount\":\"0\",\"resultStr\":null,\"platform\":\"Semanticscholar\",\"paperid\":null,\"PeriodicalName\":\"Blood cell therapy\",\"FirstCategoryId\":\"1085\",\"ListUrlMain\":\"https://doi.org/10.31547/bct-2022-005\",\"RegionNum\":0,\"RegionCategory\":null,\"ArticlePicture\":[],\"TitleCN\":null,\"AbstractTextCN\":null,\"PMCID\":null,\"EPubDate\":\"\",\"PubModel\":\"\",\"JCR\":\"\",\"JCRName\":\"\",\"Score\":null,\"Total\":0}","platform":"Semanticscholar","paperid":null,"PeriodicalName":"Blood cell therapy","FirstCategoryId":"1085","ListUrlMain":"https://doi.org/10.31547/bct-2022-005","RegionNum":0,"RegionCategory":null,"ArticlePicture":[],"TitleCN":null,"AbstractTextCN":null,"PMCID":null,"EPubDate":"","PubModel":"","JCR":"","JCRName":"","Score":null,"Total":0}
引用次数: 0

摘要

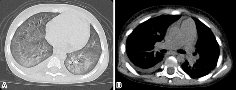
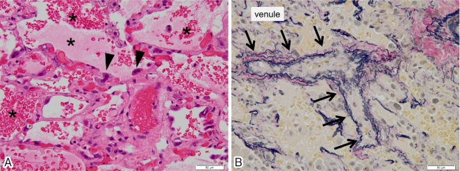
背景:肺静脉闭塞性疾病(PVOD)是造血干细胞移植(HSCT)中一种罕见但致命的并发症。虽然关于hsct后PVOD的文献很少,但最近的一项研究表明,这种情况可能被低估了。呼吸道合胞病毒(RSV)是一种常见的呼吸道病原体,在健康人中引起普通感冒,但可能导致婴儿和免疫功能低下的个体(如造血干细胞移植后患者)严重的下呼吸道感染并伴有呼吸窘迫。然而,人们对PVOD与RSV感染之间的关系知之甚少。病例报告:一名4岁男孩被诊断为转移性神经母细胞瘤,并接受了强化化疗、自体造血干细胞移植和异体脐带血移植(CBT)。在大约一个月前出现上呼吸道症状和RSV抗原检测结果阳性后,患者在CBT后第194天出现PVOD。肺活检标本病理检查显示,除PVOD相关发现外,肺损伤疑似与病毒感染相关,提示RSV感染可能与PVOD发病有关。结论:患者的临床病史和组织学结果表明,RSV可能在HSCT和其他先前治疗引起潜在内皮损伤的情况下引发PVOD的发生。常见的呼吸道病毒感染,如RSV感染,可引起PVOD的发生。
本文章由计算机程序翻译,如有差异,请以英文原文为准。

Pulmonary veno-occlusive disease after respiratory syncytial virus infection in a post hematopoietic stem cell transplantation patient.

Pulmonary veno-occlusive disease after respiratory syncytial virus infection in a post hematopoietic stem cell transplantation patient.

Pulmonary veno-occlusive disease after respiratory syncytial virus infection in a post hematopoietic stem cell transplantation patient.

Background: Pulmonary veno-occlusive disease (PVOD) is a rare but fatal complication of hematopoietic stem cell transplantation (HSCT). Although literature on PVOD post-HSCT is scarce, a recent study has indicated that this condition may be underestimated. Respiratory syncytial virus (RSV) is a common respiratory pathogen that causes common cold in healthy individuals but may lead to severe lower respiratory infection accompanied by respiratory distress in infants and immunocompromised individuals, such as post-HSCT patients. However, little is known about the relationship between PVOD and RSV infections.

Case report: A 4-year-old boy was diagnosed with metastatic neuroblastoma and underwent intensive chemotherapy, autologous HSCT, and allogeneic cord blood transplantation (CBT). He experienced PVOD on day 194 following CBT after displaying upper respiratory symptoms and positive RSV antigen test results approximately one month prior. Pathological examination of a lung biopsy specimen revealed lung injury suspected to be associated with viral infection in addition to PVOD-related findings, suggesting that RSV infection might have contributed to the onset of PVOD.

Conclusions: The patient's clinical history and histological findings indicated that RSV could have triggered the development of PVOD under potential endothelial damage caused by HSCT and other prior treatments. Common respiratory viral infections, such as RSV infection, may evoke the development of PVOD.

求助全文
通过发布文献求助,成功后即可免费获取论文全文。 去求助
来源期刊
自引率
0.00%
发文量
0
×
引用
GB/T 7714-2015
复制
MLA
复制
APA
复制
导出至
BibTeX EndNote RefMan NoteFirst NoteExpress
×
提示
您的信息不完整,为了账户安全,请先补充。
现在去补充
×
提示
您因"违规操作"
具体请查看互助需知
我知道了
×
提示
确定
请完成安全验证×
copy
已复制链接
快去分享给好友吧!
我知道了
右上角分享
点击右上角分享
0
联系我们:info@booksci.cn Book学术提供免费学术资源搜索服务,方便国内外学者检索中英文文献。致力于提供最便捷和优质的服务体验。 Copyright © 2023 布克学术 All rights reserved.
京ICP备2023020795号-1
ghs 京公网安备 11010802042870号
Book学术文献互助
Book学术文献互助群
群 号:604180095
Book学术官方微信