MARPE作为正畸治疗的辅助手段。

Q2 Medicine
Dental Press Journal of Orthodontics Pub Date : 2023-03-27 eCollection Date: 2023-01-01 DOI:10.1590/2177-6709.27.6.e22bbo6
Orlando Tanaka, Sergio Luiz Mota-Júnior
{"title":"MARPE作为正畸治疗的辅助手段。","authors":"Orlando Tanaka, Sergio Luiz Mota-Júnior","doi":"10.1590/2177-6709.27.6.e22bbo6","DOIUrl":null,"url":null,"abstract":"<p><strong>Introduction: </strong>Miniscrew or microimplant-assisted rapid palatal expansion (MARPE) devices are used to achieve a skeletal expansion of the palate and to increase the arch perimeter.</p><p><strong>Objective: </strong>To describe the treatment of a 23-year-old woman with an Angle Class II, division 1 malocclusion with constricted maxillary and mandibular arches.</p><p><strong>Case report: </strong>The patient's main complaint was mandibular anterior crowding. The treatment plan included expansion of the mandibular arch concurrent with maxillary expansion, using a MARPE appliance in combination with a full-fixed appliance to align and level the crowded mandibular teeth, along with miniscrews as anchorage for the maxillary teeth and for distalization of the molars and premolars. A successful non-extraction orthodontic treatment was accomplished after 28 months, and the occlusion and teeth alignment, as well as facial goals, were resolved in a clinically satisfactory manner.</p><p><strong>Conclusion: </strong>The treatment objectives were met, and the outcome of the expansion of the maxillary arch with a MARPE appliance as an adjunct to a fixed appliance was considered a success. An esthetic, functional, and stable result after a 1-year follow-up was achieved and was satisfactory to the patient.</p>","PeriodicalId":38720,"journal":{"name":"Dental Press Journal of Orthodontics","volume":"27 6","pages":"e22bbo6"},"PeriodicalIF":0.0000,"publicationDate":"2023-03-27","publicationTypes":"Journal Article","fieldsOfStudy":null,"isOpenAccess":false,"openAccessPdf":"https://www.ncbi.nlm.nih.gov/pmc/articles/PMC10042462/pdf/","citationCount":"0","resultStr":"{\"title\":\"MARPE as an adjunct to orthodontic treatment.\",\"authors\":\"Orlando Tanaka, Sergio Luiz Mota-Júnior\",\"doi\":\"10.1590/2177-6709.27.6.e22bbo6\",\"DOIUrl\":null,\"url\":null,\"abstract\":\"<p><strong>Introduction: </strong>Miniscrew or microimplant-assisted rapid palatal expansion (MARPE) devices are used to achieve a skeletal expansion of the palate and to increase the arch perimeter.</p><p><strong>Objective: </strong>To describe the treatment of a 23-year-old woman with an Angle Class II, division 1 malocclusion with constricted maxillary and mandibular arches.</p><p><strong>Case report: </strong>The patient's main complaint was mandibular anterior crowding. The treatment plan included expansion of the mandibular arch concurrent with maxillary expansion, using a MARPE appliance in combination with a full-fixed appliance to align and level the crowded mandibular teeth, along with miniscrews as anchorage for the maxillary teeth and for distalization of the molars and premolars. A successful non-extraction orthodontic treatment was accomplished after 28 months, and the occlusion and teeth alignment, as well as facial goals, were resolved in a clinically satisfactory manner.</p><p><strong>Conclusion: </strong>The treatment objectives were met, and the outcome of the expansion of the maxillary arch with a MARPE appliance as an adjunct to a fixed appliance was considered a success. An esthetic, functional, and stable result after a 1-year follow-up was achieved and was satisfactory to the patient.</p>\",\"PeriodicalId\":38720,\"journal\":{\"name\":\"Dental Press Journal of Orthodontics\",\"volume\":\"27 6\",\"pages\":\"e22bbo6\"},\"PeriodicalIF\":0.0000,\"publicationDate\":\"2023-03-27\",\"publicationTypes\":\"Journal Article\",\"fieldsOfStudy\":null,\"isOpenAccess\":false,\"openAccessPdf\":\"https://www.ncbi.nlm.nih.gov/pmc/articles/PMC10042462/pdf/\",\"citationCount\":\"0\",\"resultStr\":null,\"platform\":\"Semanticscholar\",\"paperid\":null,\"PeriodicalName\":\"Dental Press Journal of Orthodontics\",\"FirstCategoryId\":\"1085\",\"ListUrlMain\":\"https://doi.org/10.1590/2177-6709.27.6.e22bbo6\",\"RegionNum\":0,\"RegionCategory\":null,\"ArticlePicture\":[],\"TitleCN\":null,\"AbstractTextCN\":null,\"PMCID\":null,\"EPubDate\":\"2023/1/1 0:00:00\",\"PubModel\":\"eCollection\",\"JCR\":\"Q2\",\"JCRName\":\"Medicine\",\"Score\":null,\"Total\":0}","platform":"Semanticscholar","paperid":null,"PeriodicalName":"Dental Press Journal of Orthodontics","FirstCategoryId":"1085","ListUrlMain":"https://doi.org/10.1590/2177-6709.27.6.e22bbo6","RegionNum":0,"RegionCategory":null,"ArticlePicture":[],"TitleCN":null,"AbstractTextCN":null,"PMCID":null,"EPubDate":"2023/1/1 0:00:00","PubModel":"eCollection","JCR":"Q2","JCRName":"Medicine","Score":null,"Total":0}
引用次数: 0

摘要

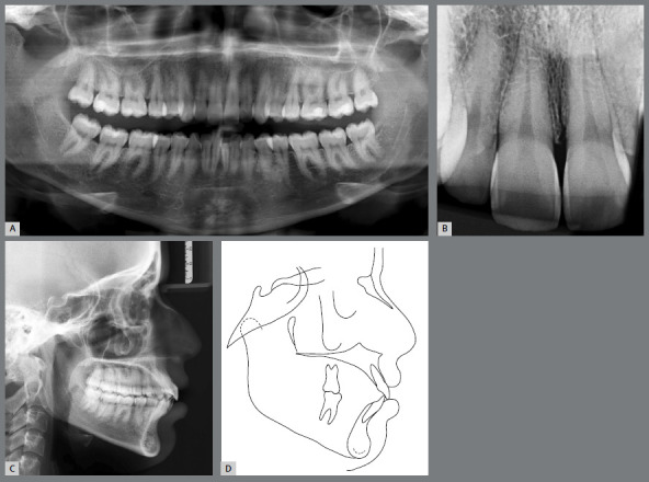
简介:微型或微型种植体辅助腭快速扩张(MARPE)装置用于实现腭骨扩张和增加弓周长。目的:介绍一名23岁女性伴上下颌弓缩窄的角ⅱ类1科错颌合的治疗方法。病例报告:患者主要主诉为下颌前侧拥挤。治疗方案包括下颌弓扩张与上颌扩张同时进行,使用MARPE矫治器结合全固定矫治器对拥挤的下颌牙齿进行对齐和矫平,同时使用微型螺钉作为上颌牙齿的锚固以及磨牙和前磨牙的远端。术后28个月无拔牙正畸治疗成功,咬合、牙齿排列及面部目标均得到了满意的解决。结论:达到了治疗目标,使用MARPE矫治器作为固定矫治器辅助上颌弓扩张的结果是成功的。经过1年的随访,患者获得了满意的美观、功能和稳定的结果。
本文章由计算机程序翻译,如有差异,请以英文原文为准。

MARPE as an adjunct to orthodontic treatment.

MARPE as an adjunct to orthodontic treatment.

MARPE as an adjunct to orthodontic treatment.

MARPE as an adjunct to orthodontic treatment.

Introduction: Miniscrew or microimplant-assisted rapid palatal expansion (MARPE) devices are used to achieve a skeletal expansion of the palate and to increase the arch perimeter.

Objective: To describe the treatment of a 23-year-old woman with an Angle Class II, division 1 malocclusion with constricted maxillary and mandibular arches.

Case report: The patient's main complaint was mandibular anterior crowding. The treatment plan included expansion of the mandibular arch concurrent with maxillary expansion, using a MARPE appliance in combination with a full-fixed appliance to align and level the crowded mandibular teeth, along with miniscrews as anchorage for the maxillary teeth and for distalization of the molars and premolars. A successful non-extraction orthodontic treatment was accomplished after 28 months, and the occlusion and teeth alignment, as well as facial goals, were resolved in a clinically satisfactory manner.

Conclusion: The treatment objectives were met, and the outcome of the expansion of the maxillary arch with a MARPE appliance as an adjunct to a fixed appliance was considered a success. An esthetic, functional, and stable result after a 1-year follow-up was achieved and was satisfactory to the patient.

求助全文
通过发布文献求助,成功后即可免费获取论文全文。 去求助
来源期刊
Dental Press Journal of Orthodontics
Dental Press Journal of Orthodontics Dentistry-Orthodontics
CiteScore
2.00
自引率
0.00%
发文量
40
审稿时长
27 weeks
期刊介绍: The Dental Press Journal of Orthodontics publishes scientific research articles, significant reviews, clinical and technical case reports, brief communications, and other materials related to Orthodontics and Facial Orthopedics.
×
引用
GB/T 7714-2015
复制
MLA
复制
APA
复制
导出至
BibTeX EndNote RefMan NoteFirst NoteExpress
×
提示
您的信息不完整,为了账户安全,请先补充。
现在去补充
×
提示
您因"违规操作"
具体请查看互助需知
我知道了
×
提示
确定
请完成安全验证×
copy
已复制链接
快去分享给好友吧!
我知道了
右上角分享
点击右上角分享
0
联系我们:info@booksci.cn Book学术提供免费学术资源搜索服务,方便国内外学者检索中英文文献。致力于提供最便捷和优质的服务体验。 Copyright © 2023 布克学术 All rights reserved.
京ICP备2023020795号-1
ghs 京公网安备 11010802042870号
Book学术文献互助
Book学术文献互助群
群 号:604180095
Book学术官方微信