先天性椎管狭窄引起的小儿颈髓病的罕见病例。

IF 1.1 4区 医学 Q3 ORTHOPEDICS
Adnan Yalçın Yalçın Demirci, Kazım Yiğitkanlı
{"title":"先天性椎管狭窄引起的小儿颈髓病的罕见病例。","authors":"Adnan Yalçın Yalçın Demirci, Kazım Yiğitkanlı","doi":"10.5152/j.aott.2023.21083","DOIUrl":null,"url":null,"abstract":"<p><p>Cervical myelopathy is a condition that is rarely reported in pediatric patients who have movement or neuromuscular disorders. We, herein, present a rare case of cervical myelopathy observed in a 14-year-old patient, who was previously a healthy boy treated with cervical laminoplasty, which was caused by cervical spinal canal stenosis based on multiple level disc herniation. The patient presented to the clinic with spastic and ataxic gait with previous diagnostic challenges. Magnetic resonance imaging showed cervical degenerative changes mainly marked at the C3-C4 and C4-C5 levels, along with canal narrowing and a central high signal cord abnormality on T2-weighted images. A C3-C4 open-door laminoplasty surgery technique was performed. The neurological symptoms and signs improved dramatically following surgery. Subsequently, cervical computed tomography and magnetic resonance imaging showed good decompression of the cervical spinal cord during the 5 years of follow-up with the preservation of the range of movement. We concluded that though it is pretty rare, cervical myelopathy should be considered in diagnosing adolescent patients with gait and balance disorders.</p>","PeriodicalId":7097,"journal":{"name":"Acta orthopaedica et traumatologica turcica","volume":"57 2","pages":"85-88"},"PeriodicalIF":1.1000,"publicationDate":"2023-03-01","publicationTypes":"Journal Article","fieldsOfStudy":null,"isOpenAccess":false,"openAccessPdf":"https://www.ncbi.nlm.nih.gov/pmc/articles/PMC12462823/pdf/","citationCount":"0","resultStr":"{\"title\":\"An unusual case of pediatric cervical myelopathy due to congenital spinal canal stenosis.\",\"authors\":\"Adnan Yalçın Yalçın Demirci, Kazım Yiğitkanlı\",\"doi\":\"10.5152/j.aott.2023.21083\",\"DOIUrl\":null,\"url\":null,\"abstract\":\"<p><p>Cervical myelopathy is a condition that is rarely reported in pediatric patients who have movement or neuromuscular disorders. We, herein, present a rare case of cervical myelopathy observed in a 14-year-old patient, who was previously a healthy boy treated with cervical laminoplasty, which was caused by cervical spinal canal stenosis based on multiple level disc herniation. The patient presented to the clinic with spastic and ataxic gait with previous diagnostic challenges. Magnetic resonance imaging showed cervical degenerative changes mainly marked at the C3-C4 and C4-C5 levels, along with canal narrowing and a central high signal cord abnormality on T2-weighted images. A C3-C4 open-door laminoplasty surgery technique was performed. The neurological symptoms and signs improved dramatically following surgery. Subsequently, cervical computed tomography and magnetic resonance imaging showed good decompression of the cervical spinal cord during the 5 years of follow-up with the preservation of the range of movement. We concluded that though it is pretty rare, cervical myelopathy should be considered in diagnosing adolescent patients with gait and balance disorders.</p>\",\"PeriodicalId\":7097,\"journal\":{\"name\":\"Acta orthopaedica et traumatologica turcica\",\"volume\":\"57 2\",\"pages\":\"85-88\"},\"PeriodicalIF\":1.1000,\"publicationDate\":\"2023-03-01\",\"publicationTypes\":\"Journal Article\",\"fieldsOfStudy\":null,\"isOpenAccess\":false,\"openAccessPdf\":\"https://www.ncbi.nlm.nih.gov/pmc/articles/PMC12462823/pdf/\",\"citationCount\":\"0\",\"resultStr\":null,\"platform\":\"Semanticscholar\",\"paperid\":null,\"PeriodicalName\":\"Acta orthopaedica et traumatologica turcica\",\"FirstCategoryId\":\"3\",\"ListUrlMain\":\"https://doi.org/10.5152/j.aott.2023.21083\",\"RegionNum\":4,\"RegionCategory\":\"医学\",\"ArticlePicture\":[],\"TitleCN\":null,\"AbstractTextCN\":null,\"PMCID\":null,\"EPubDate\":\"\",\"PubModel\":\"\",\"JCR\":\"Q3\",\"JCRName\":\"ORTHOPEDICS\",\"Score\":null,\"Total\":0}","platform":"Semanticscholar","paperid":null,"PeriodicalName":"Acta orthopaedica et traumatologica turcica","FirstCategoryId":"3","ListUrlMain":"https://doi.org/10.5152/j.aott.2023.21083","RegionNum":4,"RegionCategory":"医学","ArticlePicture":[],"TitleCN":null,"AbstractTextCN":null,"PMCID":null,"EPubDate":"","PubModel":"","JCR":"Q3","JCRName":"ORTHOPEDICS","Score":null,"Total":0}
引用次数: 0

摘要

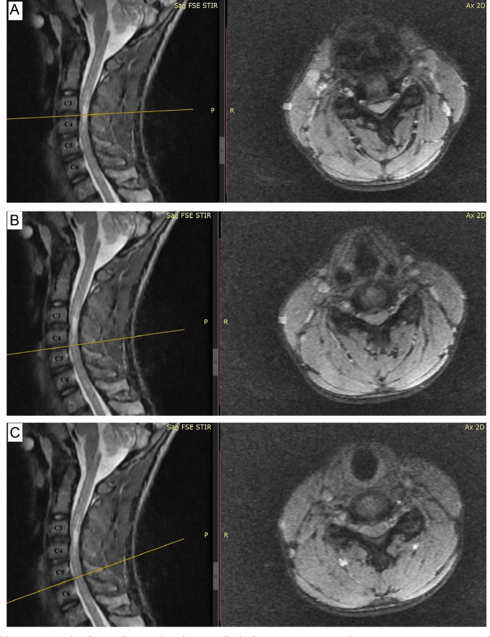
脊髓型颈椎病是一种很少报道的儿童运动或神经肌肉疾病患者。我们在此报告一例罕见的脊髓型颈椎病,患者为一名14岁的健康男孩,他之前是一名接受颈椎椎板成形术的患者,这是由于颈椎管狭窄导致的多节段椎间盘突出。患者提出了痉挛和共济失调的步态与以前的诊断挑战的诊所。磁共振成像显示颈椎退行性改变主要表现在C3-C4和C4-C5水平,t2加权图像上伴有椎管狭窄和中央高信号索异常。采用C3-C4开门椎板成形术。手术后神经症状和体征显著改善。随后,颈椎计算机断层扫描和磁共振成像显示,在5年的随访中,颈椎脊髓得到了良好的减压,活动范围得以保留。我们的结论是,尽管这种情况非常罕见,但在诊断青少年患者步态和平衡障碍时应考虑颈椎病。
本文章由计算机程序翻译,如有差异,请以英文原文为准。

An unusual case of pediatric cervical myelopathy due to congenital spinal canal stenosis.

An unusual case of pediatric cervical myelopathy due to congenital spinal canal stenosis.

An unusual case of pediatric cervical myelopathy due to congenital spinal canal stenosis.

An unusual case of pediatric cervical myelopathy due to congenital spinal canal stenosis.

Cervical myelopathy is a condition that is rarely reported in pediatric patients who have movement or neuromuscular disorders. We, herein, present a rare case of cervical myelopathy observed in a 14-year-old patient, who was previously a healthy boy treated with cervical laminoplasty, which was caused by cervical spinal canal stenosis based on multiple level disc herniation. The patient presented to the clinic with spastic and ataxic gait with previous diagnostic challenges. Magnetic resonance imaging showed cervical degenerative changes mainly marked at the C3-C4 and C4-C5 levels, along with canal narrowing and a central high signal cord abnormality on T2-weighted images. A C3-C4 open-door laminoplasty surgery technique was performed. The neurological symptoms and signs improved dramatically following surgery. Subsequently, cervical computed tomography and magnetic resonance imaging showed good decompression of the cervical spinal cord during the 5 years of follow-up with the preservation of the range of movement. We concluded that though it is pretty rare, cervical myelopathy should be considered in diagnosing adolescent patients with gait and balance disorders.

求助全文
通过发布文献求助,成功后即可免费获取论文全文。 去求助
来源期刊
CiteScore
2.00
自引率
0.00%
发文量
66
审稿时长
>12 weeks
期刊介绍: Acta Orthopaedica et Traumatologica Turcica (AOTT) is an international, scientific, open access periodical published in accordance with independent, unbiased, and double-blinded peer-review principles. The journal is the official publication of the Turkish Association of Orthopaedics and Traumatology, and Turkish Society of Orthopaedics and Traumatology. It is published bimonthly in January, March, May, July, September, and November. The publication language of the journal is English. The aim of the journal is to publish original studies of the highest scientific and clinical value in orthopedics, traumatology, and related disciplines. The scope of the journal includes but not limited to diagnostic, treatment, and prevention methods related to orthopedics and traumatology. Acta Orthopaedica et Traumatologica Turcica publishes clinical and basic research articles, case reports, personal clinical and technical notes, systematic reviews and meta-analyses and letters to the Editor. Proceedings of scientific meetings are also considered for publication. The target audience of the journal includes healthcare professionals, physicians, and researchers who are interested or working in orthopedics and traumatology field, and related disciplines.
×
引用
GB/T 7714-2015
复制
MLA
复制
APA
复制
导出至
BibTeX EndNote RefMan NoteFirst NoteExpress
×
提示
您的信息不完整,为了账户安全,请先补充。
现在去补充
×
提示
您因"违规操作"
具体请查看互助需知
我知道了
×
提示
确定
请完成安全验证×
copy
已复制链接
快去分享给好友吧!
我知道了
右上角分享
点击右上角分享
0
联系我们:info@booksci.cn Book学术提供免费学术资源搜索服务,方便国内外学者检索中英文文献。致力于提供最便捷和优质的服务体验。 Copyright © 2023 布克学术 All rights reserved.
京ICP备2023020795号-1
ghs 京公网安备 11010802042870号
Book学术文献互助
Book学术文献互助群
群 号:604180095
Book学术官方微信