神经梅毒的年轻男子有艾滋病毒感染,视力模糊和皮疹。

IF 1.2 4区 医学 Q3 MEDICINE, GENERAL & INTERNAL
J V Pagaddu, J C Valencia
{"title":"神经梅毒的年轻男子有艾滋病毒感染,视力模糊和皮疹。","authors":"J V Pagaddu, J C Valencia","doi":"10.4103/jpgm.jpgm_484_22","DOIUrl":null,"url":null,"abstract":"<p><p>We report a 22-year-old homosexual man, a known case of HIV-1 infection but non-compliant to medications, who presented with a 5-month history of progressive painless non-pruritic coin-shaped skin lesions and recent gradual bilateral blurring of vision. His history divulged a primary syphilitic event 1 year prior to the present clinical manifestations. Investigation led to the diagnosis of neurosyphilis with ocular involvement with concurrent signs of secondary syphilis. Treatment with aqueous crystalline penicillin G, ophthalmic steroid and tropicamide drops, and topical emollients resulted in significant clinical improvement of ocular symptoms and skin lesions. The diagnosis of neurosyphilis requires a high degree of clinical suspicion and should be included in the differential diagnosis of unexplained ocular symptoms, particularly in men who have sex with men and HIV-infected patients. This is necessary for the early diagnosis, appropriate management, and good outcome of these patients.</p>","PeriodicalId":16860,"journal":{"name":"Journal of Postgraduate Medicine","volume":" ","pages":"227-230"},"PeriodicalIF":1.2000,"publicationDate":"2023-10-01","publicationTypes":"Journal Article","fieldsOfStudy":null,"isOpenAccess":false,"openAccessPdf":"https://www.ncbi.nlm.nih.gov/pmc/articles/PMC10846802/pdf/","citationCount":"0","resultStr":"{\"title\":\"Neurosyphilis in a young man having HIV infection, blurring of vision and skin rash.\",\"authors\":\"J V Pagaddu, J C Valencia\",\"doi\":\"10.4103/jpgm.jpgm_484_22\",\"DOIUrl\":null,\"url\":null,\"abstract\":\"<p><p>We report a 22-year-old homosexual man, a known case of HIV-1 infection but non-compliant to medications, who presented with a 5-month history of progressive painless non-pruritic coin-shaped skin lesions and recent gradual bilateral blurring of vision. His history divulged a primary syphilitic event 1 year prior to the present clinical manifestations. Investigation led to the diagnosis of neurosyphilis with ocular involvement with concurrent signs of secondary syphilis. Treatment with aqueous crystalline penicillin G, ophthalmic steroid and tropicamide drops, and topical emollients resulted in significant clinical improvement of ocular symptoms and skin lesions. The diagnosis of neurosyphilis requires a high degree of clinical suspicion and should be included in the differential diagnosis of unexplained ocular symptoms, particularly in men who have sex with men and HIV-infected patients. This is necessary for the early diagnosis, appropriate management, and good outcome of these patients.</p>\",\"PeriodicalId\":16860,\"journal\":{\"name\":\"Journal of Postgraduate Medicine\",\"volume\":\" \",\"pages\":\"227-230\"},\"PeriodicalIF\":1.2000,\"publicationDate\":\"2023-10-01\",\"publicationTypes\":\"Journal Article\",\"fieldsOfStudy\":null,\"isOpenAccess\":false,\"openAccessPdf\":\"https://www.ncbi.nlm.nih.gov/pmc/articles/PMC10846802/pdf/\",\"citationCount\":\"0\",\"resultStr\":null,\"platform\":\"Semanticscholar\",\"paperid\":null,\"PeriodicalName\":\"Journal of Postgraduate Medicine\",\"FirstCategoryId\":\"3\",\"ListUrlMain\":\"https://doi.org/10.4103/jpgm.jpgm_484_22\",\"RegionNum\":4,\"RegionCategory\":\"医学\",\"ArticlePicture\":[],\"TitleCN\":null,\"AbstractTextCN\":null,\"PMCID\":null,\"EPubDate\":\"\",\"PubModel\":\"\",\"JCR\":\"Q3\",\"JCRName\":\"MEDICINE, GENERAL & INTERNAL\",\"Score\":null,\"Total\":0}","platform":"Semanticscholar","paperid":null,"PeriodicalName":"Journal of Postgraduate Medicine","FirstCategoryId":"3","ListUrlMain":"https://doi.org/10.4103/jpgm.jpgm_484_22","RegionNum":4,"RegionCategory":"医学","ArticlePicture":[],"TitleCN":null,"AbstractTextCN":null,"PMCID":null,"EPubDate":"","PubModel":"","JCR":"Q3","JCRName":"MEDICINE, GENERAL & INTERNAL","Score":null,"Total":0}
引用次数: 0

摘要

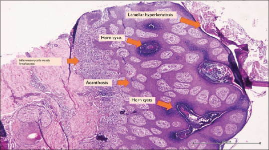
我们报告了一名22岁的同性恋男子,他是一名已知的HIV-1感染病例,但不遵守药物治疗,他有5个月的渐进性无痛非瘙痒硬币状皮肤病变史,最近双侧视力逐渐模糊。他的病史显示,在目前的临床表现之前1年发生了原发性梅毒事件。调查结果诊断为神经梅毒伴眼部受累,同时伴有继发梅毒症状。使用结晶青霉素G水溶液、眼用类固醇和托吡卡胺滴剂以及局部润肤剂进行治疗,可显著改善眼部症状和皮肤损伤。神经梅毒的诊断需要高度的临床怀疑,应包括在不明原因眼部症状的鉴别诊断中,尤其是在与男性发生性关系的男性和艾滋病毒感染患者中。这对于这些患者的早期诊断、适当的管理和良好的结果是必要的。
本文章由计算机程序翻译,如有差异,请以英文原文为准。

Neurosyphilis in a young man having HIV infection, blurring of vision and skin rash.

Neurosyphilis in a young man having HIV infection, blurring of vision and skin rash.

Neurosyphilis in a young man having HIV infection, blurring of vision and skin rash.

Neurosyphilis in a young man having HIV infection, blurring of vision and skin rash.

We report a 22-year-old homosexual man, a known case of HIV-1 infection but non-compliant to medications, who presented with a 5-month history of progressive painless non-pruritic coin-shaped skin lesions and recent gradual bilateral blurring of vision. His history divulged a primary syphilitic event 1 year prior to the present clinical manifestations. Investigation led to the diagnosis of neurosyphilis with ocular involvement with concurrent signs of secondary syphilis. Treatment with aqueous crystalline penicillin G, ophthalmic steroid and tropicamide drops, and topical emollients resulted in significant clinical improvement of ocular symptoms and skin lesions. The diagnosis of neurosyphilis requires a high degree of clinical suspicion and should be included in the differential diagnosis of unexplained ocular symptoms, particularly in men who have sex with men and HIV-infected patients. This is necessary for the early diagnosis, appropriate management, and good outcome of these patients.

求助全文
通过发布文献求助,成功后即可免费获取论文全文。 去求助
来源期刊
Journal of Postgraduate Medicine
Journal of Postgraduate Medicine 医学-医学:内科
CiteScore
2.00
自引率
0.00%
发文量
76
审稿时长
40 weeks
期刊介绍: The journal will cover technical, clinical and bioengineering studies related to human well being including ethical and social issues. The journal gives preference to clinically oriented studies over experimental and animal studies. The Journal would publish peer-reviewed original research papers, case reports, systematic reviews, meta-analysis, and debates.
×
引用
GB/T 7714-2015
复制
MLA
复制
APA
复制
导出至
BibTeX EndNote RefMan NoteFirst NoteExpress
×
提示
您的信息不完整,为了账户安全,请先补充。
现在去补充
×
提示
您因"违规操作"
具体请查看互助需知
我知道了
×
提示
确定
请完成安全验证×
copy
已复制链接
快去分享给好友吧!
我知道了
右上角分享
点击右上角分享
0
联系我们:info@booksci.cn Book学术提供免费学术资源搜索服务,方便国内外学者检索中英文文献。致力于提供最便捷和优质的服务体验。 Copyright © 2023 布克学术 All rights reserved.
京ICP备2023020795号-1
ghs 京公网安备 11010802042870号
Book学术文献互助
Book学术文献互助群
群 号:604180095
Book学术官方微信