与肘部神经节囊肿切除术相关的眶管综合征:病例报告。

IF 1.7 Q2 ORTHOPEDICS
Clinics in Shoulder and Elbow Pub Date : 2024-03-01 Epub Date: 2022-11-11 DOI:10.5397/cise.2022.01102
Woojin Shin, Taebyeong Kang, Jeongwoon Han
{"title":"与肘部神经节囊肿切除术相关的眶管综合征:病例报告。","authors":"Woojin Shin, Taebyeong Kang, Jeongwoon Han","doi":"10.5397/cise.2022.01102","DOIUrl":null,"url":null,"abstract":"<p><p>Cubital tunnel syndrome refers to compression neuropathy caused by pressure on the ulnar nerve pathway around the elbow. A 63-year-old male patient visited the clinic complaining of decreased sensation and weakness in his left ring finger and little finger, stating that the symptoms first began 6 months prior. He had undergone surgery to remove a ganglion cyst from his left elbow joint about 5 years prior in Mongolia. Magnetic resonance imaging revealed a cystic mass located at the previous surgical site, which was compressing the ulnar nerve within the cubital tunnel. Ulnar nerve decompression and anterior transposition were performed, and the cystic mass was excised. Upon pathological examination, the mass was diagnosed as a ganglion cyst. The patient's symptoms including sensory dysfunction and weakness improved over the 1-year follow-up period. This report describes a rare case of ganglion cyst recurrence compressing the ulnar nerve in the cubital tunnel after previous ganglion cyst excision.</p>","PeriodicalId":33981,"journal":{"name":"Clinics in Shoulder and Elbow","volume":" ","pages":"131-135"},"PeriodicalIF":1.7000,"publicationDate":"2024-03-01","publicationTypes":"Journal Article","fieldsOfStudy":null,"isOpenAccess":false,"openAccessPdf":"https://www.ncbi.nlm.nih.gov/pmc/articles/PMC10938012/pdf/","citationCount":"0","resultStr":"{\"title\":\"Cubital tunnel syndrome associated with previous ganglion cyst excision in the elbow: a case report.\",\"authors\":\"Woojin Shin, Taebyeong Kang, Jeongwoon Han\",\"doi\":\"10.5397/cise.2022.01102\",\"DOIUrl\":null,\"url\":null,\"abstract\":\"<p><p>Cubital tunnel syndrome refers to compression neuropathy caused by pressure on the ulnar nerve pathway around the elbow. A 63-year-old male patient visited the clinic complaining of decreased sensation and weakness in his left ring finger and little finger, stating that the symptoms first began 6 months prior. He had undergone surgery to remove a ganglion cyst from his left elbow joint about 5 years prior in Mongolia. Magnetic resonance imaging revealed a cystic mass located at the previous surgical site, which was compressing the ulnar nerve within the cubital tunnel. Ulnar nerve decompression and anterior transposition were performed, and the cystic mass was excised. Upon pathological examination, the mass was diagnosed as a ganglion cyst. The patient's symptoms including sensory dysfunction and weakness improved over the 1-year follow-up period. This report describes a rare case of ganglion cyst recurrence compressing the ulnar nerve in the cubital tunnel after previous ganglion cyst excision.</p>\",\"PeriodicalId\":33981,\"journal\":{\"name\":\"Clinics in Shoulder and Elbow\",\"volume\":\" \",\"pages\":\"131-135\"},\"PeriodicalIF\":1.7000,\"publicationDate\":\"2024-03-01\",\"publicationTypes\":\"Journal Article\",\"fieldsOfStudy\":null,\"isOpenAccess\":false,\"openAccessPdf\":\"https://www.ncbi.nlm.nih.gov/pmc/articles/PMC10938012/pdf/\",\"citationCount\":\"0\",\"resultStr\":null,\"platform\":\"Semanticscholar\",\"paperid\":null,\"PeriodicalName\":\"Clinics in Shoulder and Elbow\",\"FirstCategoryId\":\"1085\",\"ListUrlMain\":\"https://doi.org/10.5397/cise.2022.01102\",\"RegionNum\":0,\"RegionCategory\":null,\"ArticlePicture\":[],\"TitleCN\":null,\"AbstractTextCN\":null,\"PMCID\":null,\"EPubDate\":\"2022/11/11 0:00:00\",\"PubModel\":\"Epub\",\"JCR\":\"Q2\",\"JCRName\":\"ORTHOPEDICS\",\"Score\":null,\"Total\":0}","platform":"Semanticscholar","paperid":null,"PeriodicalName":"Clinics in Shoulder and Elbow","FirstCategoryId":"1085","ListUrlMain":"https://doi.org/10.5397/cise.2022.01102","RegionNum":0,"RegionCategory":null,"ArticlePicture":[],"TitleCN":null,"AbstractTextCN":null,"PMCID":null,"EPubDate":"2022/11/11 0:00:00","PubModel":"Epub","JCR":"Q2","JCRName":"ORTHOPEDICS","Score":null,"Total":0}
引用次数: 0

摘要

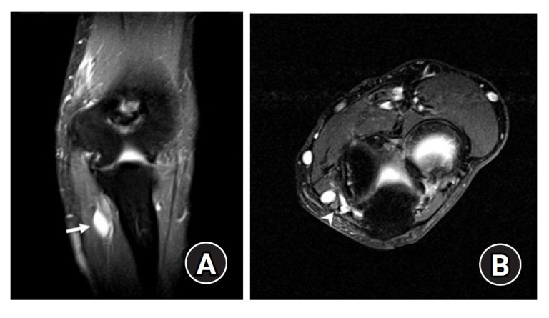
眶管综合征是指肘部周围尺神经通路受压引起的压迫性神经病。一名 63 岁的男性患者前来就诊,主诉其左手无名指和小指感觉减退和无力,并称症状最早出现在 6 个月前。大约 5 年前,他在蒙古接受了切除左肘关节神经节囊肿的手术。磁共振成像显示,之前的手术部位有一个囊性肿块,压迫了肘管内的尺神经。患者接受了尺神经减压术和前方转位术,并切除了囊性肿块。经病理检查,肿块被诊断为神经节囊肿。随访一年后,患者的感觉功能障碍和乏力等症状有所改善。本报告描述了一例罕见的神经节囊肿复发病例,该病例曾接受过神经节囊肿切除术,但复发后压迫了肘隧道内的尺神经。
本文章由计算机程序翻译,如有差异,请以英文原文为准。

Cubital tunnel syndrome associated with previous ganglion cyst excision in the elbow: a case report.

Cubital tunnel syndrome associated with previous ganglion cyst excision in the elbow: a case report.

Cubital tunnel syndrome associated with previous ganglion cyst excision in the elbow: a case report.

Cubital tunnel syndrome associated with previous ganglion cyst excision in the elbow: a case report.

Cubital tunnel syndrome refers to compression neuropathy caused by pressure on the ulnar nerve pathway around the elbow. A 63-year-old male patient visited the clinic complaining of decreased sensation and weakness in his left ring finger and little finger, stating that the symptoms first began 6 months prior. He had undergone surgery to remove a ganglion cyst from his left elbow joint about 5 years prior in Mongolia. Magnetic resonance imaging revealed a cystic mass located at the previous surgical site, which was compressing the ulnar nerve within the cubital tunnel. Ulnar nerve decompression and anterior transposition were performed, and the cystic mass was excised. Upon pathological examination, the mass was diagnosed as a ganglion cyst. The patient's symptoms including sensory dysfunction and weakness improved over the 1-year follow-up period. This report describes a rare case of ganglion cyst recurrence compressing the ulnar nerve in the cubital tunnel after previous ganglion cyst excision.

求助全文
通过发布文献求助,成功后即可免费获取论文全文。 去求助
来源期刊
CiteScore
0.30
自引率
0.00%
发文量
55
审稿时长
15 weeks
×
引用
GB/T 7714-2015
复制
MLA
复制
APA
复制
导出至
BibTeX EndNote RefMan NoteFirst NoteExpress
×
提示
您的信息不完整,为了账户安全,请先补充。
现在去补充
×
提示
您因"违规操作"
具体请查看互助需知
我知道了
×
提示
确定
请完成安全验证×
copy
已复制链接
快去分享给好友吧!
我知道了
右上角分享
点击右上角分享
0
联系我们:info@booksci.cn Book学术提供免费学术资源搜索服务,方便国内外学者检索中英文文献。致力于提供最便捷和优质的服务体验。 Copyright © 2023 布克学术 All rights reserved.
京ICP备2023020795号-1
ghs 京公网安备 11010802042870号
Book学术文献互助
Book学术文献互助群
群 号:604180095
Book学术官方微信