与唐氏综合征相关的骨髓增生:来自五所大型学术机构的四十例病例的临床病理特征。

IF 2 4区 医学 Q3 CELL BIOLOGY
Pathobiology Pub Date : 2024-01-01 Epub Date: 2023-03-30 DOI:10.1159/000530431
Tayler A van den Akker, Yen-Chun Liu, Huifei Liu, Jennifer Chapman, Jennifer M Levine, Olga K Weinberg, Julia T Geyer
{"title":"与唐氏综合征相关的骨髓增生:来自五所大型学术机构的四十例病例的临床病理特征。","authors":"Tayler A van den Akker, Yen-Chun Liu, Huifei Liu, Jennifer Chapman, Jennifer M Levine, Olga K Weinberg, Julia T Geyer","doi":"10.1159/000530431","DOIUrl":null,"url":null,"abstract":"<p><strong>Introduction: </strong>The incidence of myelodysplastic syndrome and acute myeloid leukemia is significantly increased in children with Down syndrome (DS). Within the revised 2016 WHO edition, these entities are jointly classified as myeloid leukemia associated with DS (ML-DS). Additionally, infants with DS may develop transient abnormal myelopoiesis (TAM) which is histomorphologically similar to ML-DS. While TAM is self-limiting, it is associated with an increased risk of subsequently developing ML-DS. Differentiating TAM and ML-DS is challenging but clinically critical.</p><p><strong>Methods: </strong>We performed a retrospective review of ML-DS and TAM cases collected from five large academic institutions in the USA. We assessed clinical, pathological, immunophenotypical, and molecular features to identify differentiating criteria.</p><p><strong>Results: </strong>Forty cases were identified: 28 ML-DS and 12 TAM. Several features were diagnostically distinct, including younger age in TAM (p &lt; 0.05), as well as presentation with clinically significant anemia and thrombocytopenia in ML-DS (p &lt; 0.001). Dyserythropoiesis was unique to ML-DS, as well as structural cytogenetic abnormalities aside from the constitutional trisomy 21. Immunophenotypic characteristics of TAM and ML-DS were indistinguishable, including the aberrant expression of CD7 and CD56 by the myeloid blasts.</p><p><strong>Discussion: </strong>The findings of the study confirm marked biological similarities between TAM and ML-DS. At the same time, several significant clinical, morphological, and genetic differences were observed between TAM and ML-DS. The clinical approach and the differential diagnosis between these entities are discussed in detail.</p>","PeriodicalId":19805,"journal":{"name":"Pathobiology","volume":" ","pages":"89-98"},"PeriodicalIF":2.0000,"publicationDate":"2024-01-01","publicationTypes":"Journal Article","fieldsOfStudy":null,"isOpenAccess":false,"openAccessPdf":"https://www.ncbi.nlm.nih.gov/pmc/articles/PMC10857798/pdf/","citationCount":"0","resultStr":"{\"title\":\"Myeloid Proliferations Associated with Down Syndrome: Clinicopathologic Characteristics of Forty Cases from Five Large Academic Institutions.\",\"authors\":\"Tayler A van den Akker, Yen-Chun Liu, Huifei Liu, Jennifer Chapman, Jennifer M Levine, Olga K Weinberg, Julia T Geyer\",\"doi\":\"10.1159/000530431\",\"DOIUrl\":null,\"url\":null,\"abstract\":\"<p><strong>Introduction: </strong>The incidence of myelodysplastic syndrome and acute myeloid leukemia is significantly increased in children with Down syndrome (DS). Within the revised 2016 WHO edition, these entities are jointly classified as myeloid leukemia associated with DS (ML-DS). Additionally, infants with DS may develop transient abnormal myelopoiesis (TAM) which is histomorphologically similar to ML-DS. While TAM is self-limiting, it is associated with an increased risk of subsequently developing ML-DS. Differentiating TAM and ML-DS is challenging but clinically critical.</p><p><strong>Methods: </strong>We performed a retrospective review of ML-DS and TAM cases collected from five large academic institutions in the USA. We assessed clinical, pathological, immunophenotypical, and molecular features to identify differentiating criteria.</p><p><strong>Results: </strong>Forty cases were identified: 28 ML-DS and 12 TAM. Several features were diagnostically distinct, including younger age in TAM (p &lt; 0.05), as well as presentation with clinically significant anemia and thrombocytopenia in ML-DS (p &lt; 0.001). Dyserythropoiesis was unique to ML-DS, as well as structural cytogenetic abnormalities aside from the constitutional trisomy 21. Immunophenotypic characteristics of TAM and ML-DS were indistinguishable, including the aberrant expression of CD7 and CD56 by the myeloid blasts.</p><p><strong>Discussion: </strong>The findings of the study confirm marked biological similarities between TAM and ML-DS. At the same time, several significant clinical, morphological, and genetic differences were observed between TAM and ML-DS. The clinical approach and the differential diagnosis between these entities are discussed in detail.</p>\",\"PeriodicalId\":19805,\"journal\":{\"name\":\"Pathobiology\",\"volume\":\" \",\"pages\":\"89-98\"},\"PeriodicalIF\":2.0000,\"publicationDate\":\"2024-01-01\",\"publicationTypes\":\"Journal Article\",\"fieldsOfStudy\":null,\"isOpenAccess\":false,\"openAccessPdf\":\"https://www.ncbi.nlm.nih.gov/pmc/articles/PMC10857798/pdf/\",\"citationCount\":\"0\",\"resultStr\":null,\"platform\":\"Semanticscholar\",\"paperid\":null,\"PeriodicalName\":\"Pathobiology\",\"FirstCategoryId\":\"3\",\"ListUrlMain\":\"https://doi.org/10.1159/000530431\",\"RegionNum\":4,\"RegionCategory\":\"医学\",\"ArticlePicture\":[],\"TitleCN\":null,\"AbstractTextCN\":null,\"PMCID\":null,\"EPubDate\":\"2023/3/30 0:00:00\",\"PubModel\":\"Epub\",\"JCR\":\"Q3\",\"JCRName\":\"CELL BIOLOGY\",\"Score\":null,\"Total\":0}","platform":"Semanticscholar","paperid":null,"PeriodicalName":"Pathobiology","FirstCategoryId":"3","ListUrlMain":"https://doi.org/10.1159/000530431","RegionNum":4,"RegionCategory":"医学","ArticlePicture":[],"TitleCN":null,"AbstractTextCN":null,"PMCID":null,"EPubDate":"2023/3/30 0:00:00","PubModel":"Epub","JCR":"Q3","JCRName":"CELL BIOLOGY","Score":null,"Total":0}
引用次数: 0

摘要

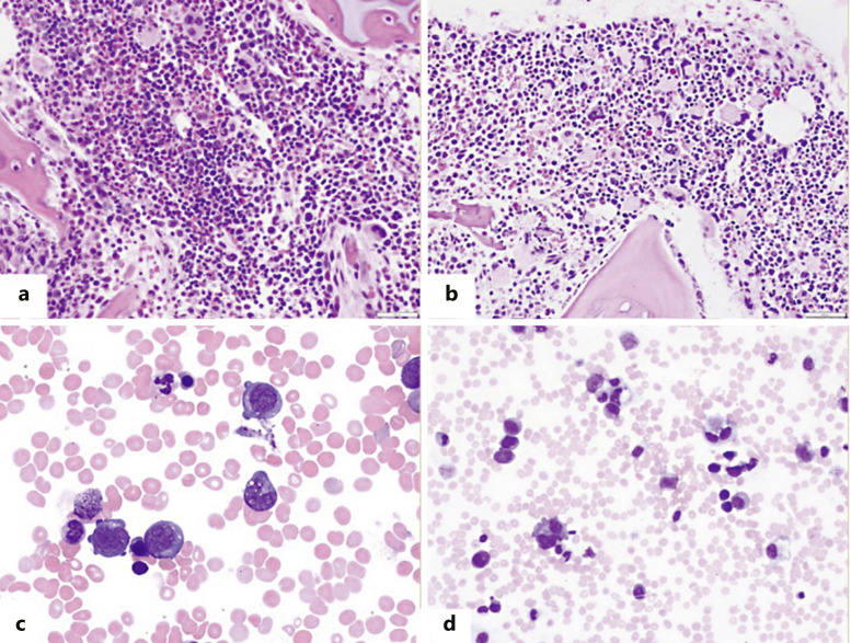
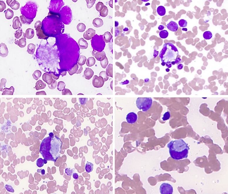
目的:唐氏综合征(DS)患儿骨髓增生异常综合征和急性髓系白血病的发病率显著增加。在 2016 年世卫组织修订版中,这些疾病被共同归类为与 DS 相关的骨髓性白血病(ML-DS)。此外,患有 DS 的婴儿可能会出现短暂性骨髓造血异常(TAM),这在组织形态学上与 ML-DS 相同。虽然 TAM 是自限性的,但它与随后罹患 ML-DS 的风险增加有关。区分 TAM 和 ML-DS 具有挑战性,但在临床上却至关重要:我们对从美国五家大型学术机构收集的 ML-DS 和 TAM 病例进行了回顾性研究。我们评估了临床、病理、免疫表型和分子特征,以确定区分标准:结果:共发现 40 个病例,其中 28 例为 ML-DS,12 例为 TAM。有几个特征在诊断上是不同的,包括 TAM 病例的年龄较小(p 结论:该研究结果证实了 ML-DS 和 TAM 在生物学上的显著差异:研究结果证实了 TAM 和 ML-DS 在生物学上的显著相似性。同时,TAM 和 ML-DS 在临床、形态学和遗传学方面也存在一些显著差异。本文详细讨论了这两种疾病的临床方法和鉴别诊断。
本文章由计算机程序翻译,如有差异,请以英文原文为准。

Myeloid Proliferations Associated with Down Syndrome: Clinicopathologic Characteristics of Forty Cases from Five Large Academic Institutions.

Myeloid Proliferations Associated with Down Syndrome: Clinicopathologic Characteristics of Forty Cases from Five Large Academic Institutions.

Myeloid Proliferations Associated with Down Syndrome: Clinicopathologic Characteristics of Forty Cases from Five Large Academic Institutions.

Myeloid Proliferations Associated with Down Syndrome: Clinicopathologic Characteristics of Forty Cases from Five Large Academic Institutions.

Introduction: The incidence of myelodysplastic syndrome and acute myeloid leukemia is significantly increased in children with Down syndrome (DS). Within the revised 2016 WHO edition, these entities are jointly classified as myeloid leukemia associated with DS (ML-DS). Additionally, infants with DS may develop transient abnormal myelopoiesis (TAM) which is histomorphologically similar to ML-DS. While TAM is self-limiting, it is associated with an increased risk of subsequently developing ML-DS. Differentiating TAM and ML-DS is challenging but clinically critical.

Methods: We performed a retrospective review of ML-DS and TAM cases collected from five large academic institutions in the USA. We assessed clinical, pathological, immunophenotypical, and molecular features to identify differentiating criteria.

Results: Forty cases were identified: 28 ML-DS and 12 TAM. Several features were diagnostically distinct, including younger age in TAM (p < 0.05), as well as presentation with clinically significant anemia and thrombocytopenia in ML-DS (p < 0.001). Dyserythropoiesis was unique to ML-DS, as well as structural cytogenetic abnormalities aside from the constitutional trisomy 21. Immunophenotypic characteristics of TAM and ML-DS were indistinguishable, including the aberrant expression of CD7 and CD56 by the myeloid blasts.

Discussion: The findings of the study confirm marked biological similarities between TAM and ML-DS. At the same time, several significant clinical, morphological, and genetic differences were observed between TAM and ML-DS. The clinical approach and the differential diagnosis between these entities are discussed in detail.

求助全文
通过发布文献求助,成功后即可免费获取论文全文。 去求助
来源期刊
Pathobiology
Pathobiology 医学-病理学
CiteScore
8.50
自引率
0.00%
发文量
47
审稿时长
>12 weeks
期刊介绍: ''Pathobiology'' offers a valuable platform for the publication of high-quality original research into the mechanisms underlying human disease. Aiming to serve as a bridge between basic biomedical research and clinical medicine, the journal welcomes articles from scientific areas such as pathology, oncology, anatomy, virology, internal medicine, surgery, cell and molecular biology, and immunology. Published bimonthly, ''Pathobiology'' features original research papers and reviews on translational research. The journal offers the possibility to publish proceedings of meetings dedicated to one particular topic.
×
引用
GB/T 7714-2015
复制
MLA
复制
APA
复制
导出至
BibTeX EndNote RefMan NoteFirst NoteExpress
×
提示
您的信息不完整,为了账户安全,请先补充。
现在去补充
×
提示
您因"违规操作"
具体请查看互助需知
我知道了
×
提示
确定
请完成安全验证×
copy
已复制链接
快去分享给好友吧!
我知道了
右上角分享
点击右上角分享
0
联系我们:info@booksci.cn Book学术提供免费学术资源搜索服务,方便国内外学者检索中英文文献。致力于提供最便捷和优质的服务体验。 Copyright © 2023 布克学术 All rights reserved.
京ICP备2023020795号-1
ghs 京公网安备 11010802042870号
Book学术文献互助
Book学术文献互助群
群 号:604180095
Book学术官方微信