骨软骨炎手术治疗失败后的翻修:病例报告。

IF 0.9 4区 医学 Q3 ORTHOPEDICS
Zeitschrift Fur Orthopadie Und Unfallchirurgie Pub Date : 2024-06-01 Epub Date: 2023-01-20 DOI:10.1055/a-1994-0956
Marco Maiotti, Valentina Rossi, Daniele Armocida
{"title":"骨软骨炎手术治疗失败后的翻修:病例报告。","authors":"Marco Maiotti, Valentina Rossi, Daniele Armocida","doi":"10.1055/a-1994-0956","DOIUrl":null,"url":null,"abstract":"<p><strong>Background: </strong>Osteochondritis dissecans (OD) is one of the most common cartilage lesions of the knee. Conservative treatment is recommended if the lesions are stable with no loose bodies or there are open physes. Surgical intervention is recommended as the primary treatment in symptomatic adults with unstable chondral lesions or with concomitant loose bodies.</p><p><strong>Methods: </strong>We describe a case of a patient suffering from OD with a bone lesion in the weight-bearing area of medial femoral condyle. Arthroscopy was performed and an osteochondral fragment from the medial femoral condyle was observed and two articular loose bodies were removed. After months, the patient returned with pain and a locked knee. magnetic resonance imaging (MRI) presented a new unstable chondral flap at the posterior border of the previous lesion. Surgery was performed again, and at open examination, the previous OD lesions were covered by regenerative tissue, with a lesion of 3 cm<sup>2</sup> at the inferior medial part of the chondral flap. The peripheral margins were cleaned, and a subchondral crater was curetted. The subchondral lesion was debrided, and the flap was fixed with pins and a central bioresorbable screws.</p><p><strong>Results: </strong>Revision surgery with fixation of the chondral flap using bioresorbable pins and screws led to satisfactory results.</p><p><strong>Conclusion: </strong>Open revision surgery allowed us a more accurate assessment of the OD area to provide an effective fixation of the chondral flap and in this circumstance, this should have been done after seeing the first MRI.</p>","PeriodicalId":51219,"journal":{"name":"Zeitschrift Fur Orthopadie Und Unfallchirurgie","volume":" ","pages":"310-315"},"PeriodicalIF":0.9000,"publicationDate":"2024-06-01","publicationTypes":"Journal Article","fieldsOfStudy":null,"isOpenAccess":false,"openAccessPdf":"https://www.ncbi.nlm.nih.gov/pmc/articles/PMC11150036/pdf/","citationCount":"0","resultStr":"{\"title\":\"Revision of Failed Osteochondritis dissecans Surgical Treatment: Case Report.\",\"authors\":\"Marco Maiotti, Valentina Rossi, Daniele Armocida\",\"doi\":\"10.1055/a-1994-0956\",\"DOIUrl\":null,\"url\":null,\"abstract\":\"<p><strong>Background: </strong>Osteochondritis dissecans (OD) is one of the most common cartilage lesions of the knee. Conservative treatment is recommended if the lesions are stable with no loose bodies or there are open physes. Surgical intervention is recommended as the primary treatment in symptomatic adults with unstable chondral lesions or with concomitant loose bodies.</p><p><strong>Methods: </strong>We describe a case of a patient suffering from OD with a bone lesion in the weight-bearing area of medial femoral condyle. Arthroscopy was performed and an osteochondral fragment from the medial femoral condyle was observed and two articular loose bodies were removed. After months, the patient returned with pain and a locked knee. magnetic resonance imaging (MRI) presented a new unstable chondral flap at the posterior border of the previous lesion. Surgery was performed again, and at open examination, the previous OD lesions were covered by regenerative tissue, with a lesion of 3 cm<sup>2</sup> at the inferior medial part of the chondral flap. The peripheral margins were cleaned, and a subchondral crater was curetted. The subchondral lesion was debrided, and the flap was fixed with pins and a central bioresorbable screws.</p><p><strong>Results: </strong>Revision surgery with fixation of the chondral flap using bioresorbable pins and screws led to satisfactory results.</p><p><strong>Conclusion: </strong>Open revision surgery allowed us a more accurate assessment of the OD area to provide an effective fixation of the chondral flap and in this circumstance, this should have been done after seeing the first MRI.</p>\",\"PeriodicalId\":51219,\"journal\":{\"name\":\"Zeitschrift Fur Orthopadie Und Unfallchirurgie\",\"volume\":\" \",\"pages\":\"310-315\"},\"PeriodicalIF\":0.9000,\"publicationDate\":\"2024-06-01\",\"publicationTypes\":\"Journal Article\",\"fieldsOfStudy\":null,\"isOpenAccess\":false,\"openAccessPdf\":\"https://www.ncbi.nlm.nih.gov/pmc/articles/PMC11150036/pdf/\",\"citationCount\":\"0\",\"resultStr\":null,\"platform\":\"Semanticscholar\",\"paperid\":null,\"PeriodicalName\":\"Zeitschrift Fur Orthopadie Und Unfallchirurgie\",\"FirstCategoryId\":\"3\",\"ListUrlMain\":\"https://doi.org/10.1055/a-1994-0956\",\"RegionNum\":4,\"RegionCategory\":\"医学\",\"ArticlePicture\":[],\"TitleCN\":null,\"AbstractTextCN\":null,\"PMCID\":null,\"EPubDate\":\"2023/1/20 0:00:00\",\"PubModel\":\"Epub\",\"JCR\":\"Q3\",\"JCRName\":\"ORTHOPEDICS\",\"Score\":null,\"Total\":0}","platform":"Semanticscholar","paperid":null,"PeriodicalName":"Zeitschrift Fur Orthopadie Und Unfallchirurgie","FirstCategoryId":"3","ListUrlMain":"https://doi.org/10.1055/a-1994-0956","RegionNum":4,"RegionCategory":"医学","ArticlePicture":[],"TitleCN":null,"AbstractTextCN":null,"PMCID":null,"EPubDate":"2023/1/20 0:00:00","PubModel":"Epub","JCR":"Q3","JCRName":"ORTHOPEDICS","Score":null,"Total":0}
引用次数: 0

摘要

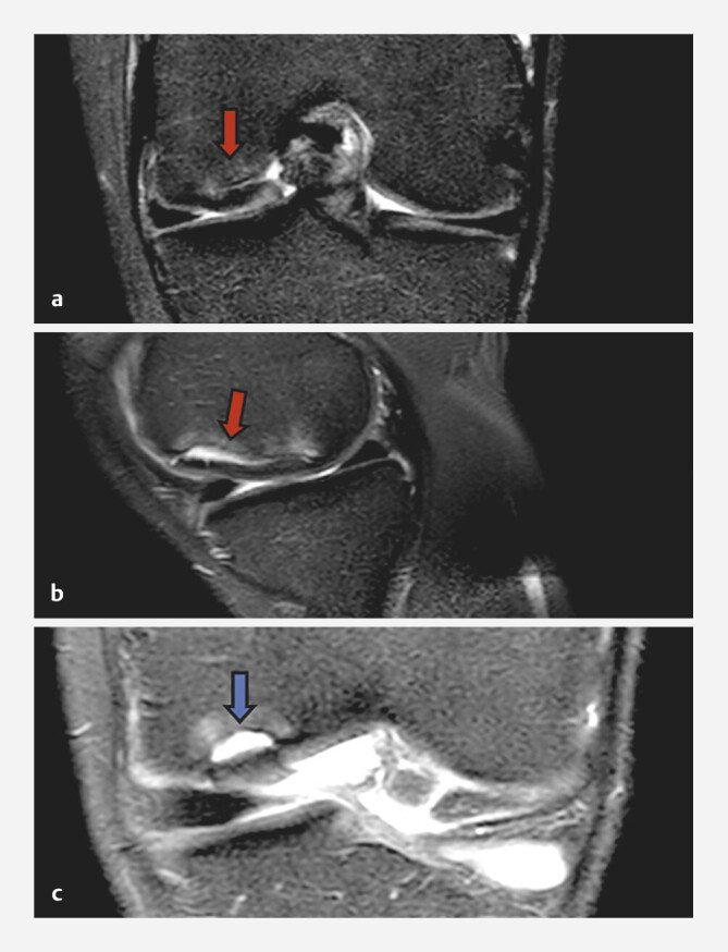
背景:骨软骨炎(OD)是膝关节软骨最常见的病变之一。如果病变稳定,无松动体或有开放性髌骨,建议采用保守治疗。对于软骨病变不稳定或伴有松动体的无症状成人,建议以手术治疗为主:我们描述了一例股骨内侧髁负重区骨质病变的 OD 患者。我们在关节镜下观察到股骨内侧髁的骨软骨碎片,并取出了两个关节松动体。几个月后,患者因疼痛和膝关节锁定复诊。磁共振成像(MRI)显示,在之前病变的后缘有一个新的不稳定软骨瓣。再次进行手术,在开放性检查时,之前的外径病变被再生组织覆盖,软骨瓣下内侧有一个 3 平方厘米的病变。对周围边缘进行了清理,并刮除了软骨下凹坑。对软骨下病灶进行了清创,并用销钉和中心生物可吸收螺钉固定了软骨瓣:使用生物可吸收钉和螺钉固定软骨瓣的翻修手术取得了令人满意的效果:结论:开放式翻修手术让我们能够更准确地评估外径区域,从而有效固定软骨瓣,在这种情况下,应该在看到第一次核磁共振成像后再进行翻修手术。
本文章由计算机程序翻译,如有差异,请以英文原文为准。

Revision of Failed Osteochondritis dissecans Surgical Treatment: Case Report.

Revision of Failed Osteochondritis dissecans Surgical Treatment: Case Report.

Revision of Failed Osteochondritis dissecans Surgical Treatment: Case Report.

Revision of Failed Osteochondritis dissecans Surgical Treatment: Case Report.

Background: Osteochondritis dissecans (OD) is one of the most common cartilage lesions of the knee. Conservative treatment is recommended if the lesions are stable with no loose bodies or there are open physes. Surgical intervention is recommended as the primary treatment in symptomatic adults with unstable chondral lesions or with concomitant loose bodies.

Methods: We describe a case of a patient suffering from OD with a bone lesion in the weight-bearing area of medial femoral condyle. Arthroscopy was performed and an osteochondral fragment from the medial femoral condyle was observed and two articular loose bodies were removed. After months, the patient returned with pain and a locked knee. magnetic resonance imaging (MRI) presented a new unstable chondral flap at the posterior border of the previous lesion. Surgery was performed again, and at open examination, the previous OD lesions were covered by regenerative tissue, with a lesion of 3 cm2 at the inferior medial part of the chondral flap. The peripheral margins were cleaned, and a subchondral crater was curetted. The subchondral lesion was debrided, and the flap was fixed with pins and a central bioresorbable screws.

Results: Revision surgery with fixation of the chondral flap using bioresorbable pins and screws led to satisfactory results.

Conclusion: Open revision surgery allowed us a more accurate assessment of the OD area to provide an effective fixation of the chondral flap and in this circumstance, this should have been done after seeing the first MRI.

求助全文
通过发布文献求助,成功后即可免费获取论文全文。 去求助
来源期刊
CiteScore
1.80
自引率
10.00%
发文量
102
期刊介绍: Das Forum für Orthopädie und Unfallchirurgie aus einer Hand Aktuelles aus Klinik, Wissenschaft und Forschung Ein unabhängiges Peer-Review-Verfahren sichert Qualität, Relevanz und Plausibilität der Daten Modernes Layout: Klare Gliederung, farbige Abbildungen, strukturierte Tabellen Orthopädie und Unfallchirurgie aktuell: Berichte und Reportagen zu den wichtigsten Themen im Fach
×
引用
GB/T 7714-2015
复制
MLA
复制
APA
复制
导出至
BibTeX EndNote RefMan NoteFirst NoteExpress
×
提示
您的信息不完整,为了账户安全,请先补充。
现在去补充
×
提示
您因"违规操作"
具体请查看互助需知
我知道了
×
提示
确定
请完成安全验证×
copy
已复制链接
快去分享给好友吧!
我知道了
右上角分享
点击右上角分享
0
联系我们:info@booksci.cn Book学术提供免费学术资源搜索服务,方便国内外学者检索中英文文献。致力于提供最便捷和优质的服务体验。 Copyright © 2023 布克学术 All rights reserved.
京ICP备2023020795号-1
ghs 京公网安备 11010802042870号
Book学术文献互助
Book学术文献互助群
群 号:604180095
Book学术官方微信