瓣膜性心肌病:心血管磁共振成像的价值。

IF 0.8 Q3 EDUCATION & EDUCATIONAL RESEARCH
HISTORY OF EDUCATION QUARTERLY Pub Date : 2022-02-22 eCollection Date: 2022-01-01 DOI:10.1155/2022/3144386
Vasiliki Tsampasian, Sandeep S Hothi, Thuwarahan Ravindrarajah, Andrew J Swift, Pankaj Garg, Vassilios S Vassiliou
{"title":"瓣膜性心肌病:心血管磁共振成像的价值。","authors":"Vasiliki Tsampasian, Sandeep S Hothi, Thuwarahan Ravindrarajah, Andrew J Swift, Pankaj Garg, Vassilios S Vassiliou","doi":"10.1155/2022/3144386","DOIUrl":null,"url":null,"abstract":"<p><p>Cardiovascular magnetic resonance (CMR) imaging has had a vast impact on the understanding of a wide range of disease processes and pathophysiological mechanisms. More recently, it has contributed significantly to the diagnosis and risk stratification of patients with valvular heart disease. With its increasing use, CMR allows for a detailed, reproducible, qualitative, and quantitative evaluation of left ventricular volumes and mass, thereby enabling assessment of the haemodynamic impact of a valvular lesion upon the myocardium. Postprocessing of the routinely acquired images with feature tracking CMR methodology can give invaluable information about myocardial deformation and strain parameters that suggest subclinical ventricular impairment that remains undetected by conventional measures such as the ejection fraction (EF). T1 mapping and late gadolinium enhancement (LGE) imaging provide deep myocardial tissue characterisation that is changing the approach towards risk stratification of patients as an increasing body of evidence suggests that the presence of fibrosis is related to adverse events and prognosis. This review summarises the current evidence regarding the utility of CMR in the left ventricular assessment of patients with aortic stenosis or mitral regurgitation and its value in diagnosis, risk stratification, and management.</p>","PeriodicalId":45631,"journal":{"name":"HISTORY OF EDUCATION QUARTERLY","volume":"6 1","pages":"3144386"},"PeriodicalIF":0.8000,"publicationDate":"2022-02-22","publicationTypes":"Journal Article","fieldsOfStudy":null,"isOpenAccess":false,"openAccessPdf":"https://www.ncbi.nlm.nih.gov/pmc/articles/PMC8888109/pdf/","citationCount":"0","resultStr":"{\"title\":\"Valvular Cardiomyopathy: The Value of Cardiovascular Magnetic Resonance Imaging.\",\"authors\":\"Vasiliki Tsampasian, Sandeep S Hothi, Thuwarahan Ravindrarajah, Andrew J Swift, Pankaj Garg, Vassilios S Vassiliou\",\"doi\":\"10.1155/2022/3144386\",\"DOIUrl\":null,\"url\":null,\"abstract\":\"<p><p>Cardiovascular magnetic resonance (CMR) imaging has had a vast impact on the understanding of a wide range of disease processes and pathophysiological mechanisms. More recently, it has contributed significantly to the diagnosis and risk stratification of patients with valvular heart disease. With its increasing use, CMR allows for a detailed, reproducible, qualitative, and quantitative evaluation of left ventricular volumes and mass, thereby enabling assessment of the haemodynamic impact of a valvular lesion upon the myocardium. Postprocessing of the routinely acquired images with feature tracking CMR methodology can give invaluable information about myocardial deformation and strain parameters that suggest subclinical ventricular impairment that remains undetected by conventional measures such as the ejection fraction (EF). T1 mapping and late gadolinium enhancement (LGE) imaging provide deep myocardial tissue characterisation that is changing the approach towards risk stratification of patients as an increasing body of evidence suggests that the presence of fibrosis is related to adverse events and prognosis. This review summarises the current evidence regarding the utility of CMR in the left ventricular assessment of patients with aortic stenosis or mitral regurgitation and its value in diagnosis, risk stratification, and management.</p>\",\"PeriodicalId\":45631,\"journal\":{\"name\":\"HISTORY OF EDUCATION QUARTERLY\",\"volume\":\"6 1\",\"pages\":\"3144386\"},\"PeriodicalIF\":0.8000,\"publicationDate\":\"2022-02-22\",\"publicationTypes\":\"Journal Article\",\"fieldsOfStudy\":null,\"isOpenAccess\":false,\"openAccessPdf\":\"https://www.ncbi.nlm.nih.gov/pmc/articles/PMC8888109/pdf/\",\"citationCount\":\"0\",\"resultStr\":null,\"platform\":\"Semanticscholar\",\"paperid\":null,\"PeriodicalName\":\"HISTORY OF EDUCATION QUARTERLY\",\"FirstCategoryId\":\"3\",\"ListUrlMain\":\"https://doi.org/10.1155/2022/3144386\",\"RegionNum\":0,\"RegionCategory\":null,\"ArticlePicture\":[],\"TitleCN\":null,\"AbstractTextCN\":null,\"PMCID\":null,\"EPubDate\":\"2022/1/1 0:00:00\",\"PubModel\":\"eCollection\",\"JCR\":\"Q3\",\"JCRName\":\"EDUCATION & EDUCATIONAL RESEARCH\",\"Score\":null,\"Total\":0}","platform":"Semanticscholar","paperid":null,"PeriodicalName":"HISTORY OF EDUCATION QUARTERLY","FirstCategoryId":"3","ListUrlMain":"https://doi.org/10.1155/2022/3144386","RegionNum":0,"RegionCategory":null,"ArticlePicture":[],"TitleCN":null,"AbstractTextCN":null,"PMCID":null,"EPubDate":"2022/1/1 0:00:00","PubModel":"eCollection","JCR":"Q3","JCRName":"EDUCATION & EDUCATIONAL RESEARCH","Score":null,"Total":0}
引用次数: 0

摘要

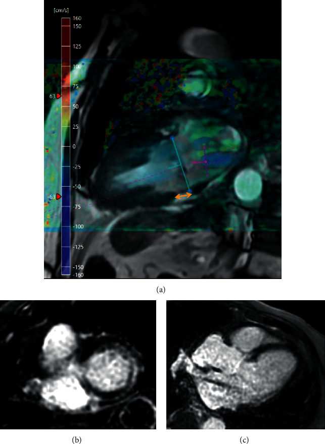
心血管磁共振成像(CMR)对了解各种疾病的过程和病理生理机制产生了巨大影响。最近,它对瓣膜性心脏病患者的诊断和风险分层做出了重大贡献。随着 CMR 的应用越来越广泛,它可以对左心室容积和质量进行详细、可重复、定性和定量的评估,从而评估瓣膜病变对心肌的血流动力学影响。利用特征跟踪 CMR 方法对常规获取的图像进行后处理,可获得有关心肌变形和应变参数的宝贵信息,这些信息表明存在亚临床心室损伤,而射血分数(EF)等传统测量方法仍无法检测到这些损伤。由于越来越多的证据表明纤维化的存在与不良事件和预后有关,因此 T1 图谱和晚期钆增强 (LGE) 成像可提供深层心肌组织特征,从而改变了对患者进行风险分层的方法。本综述总结了目前有关 CMR 在主动脉瓣狭窄或二尖瓣反流患者左心室评估中的作用及其在诊断、风险分层和管理中的价值的证据。
本文章由计算机程序翻译,如有差异,请以英文原文为准。

Valvular Cardiomyopathy: The Value of Cardiovascular Magnetic Resonance Imaging.

Valvular Cardiomyopathy: The Value of Cardiovascular Magnetic Resonance Imaging.

Valvular Cardiomyopathy: The Value of Cardiovascular Magnetic Resonance Imaging.

Valvular Cardiomyopathy: The Value of Cardiovascular Magnetic Resonance Imaging.

Cardiovascular magnetic resonance (CMR) imaging has had a vast impact on the understanding of a wide range of disease processes and pathophysiological mechanisms. More recently, it has contributed significantly to the diagnosis and risk stratification of patients with valvular heart disease. With its increasing use, CMR allows for a detailed, reproducible, qualitative, and quantitative evaluation of left ventricular volumes and mass, thereby enabling assessment of the haemodynamic impact of a valvular lesion upon the myocardium. Postprocessing of the routinely acquired images with feature tracking CMR methodology can give invaluable information about myocardial deformation and strain parameters that suggest subclinical ventricular impairment that remains undetected by conventional measures such as the ejection fraction (EF). T1 mapping and late gadolinium enhancement (LGE) imaging provide deep myocardial tissue characterisation that is changing the approach towards risk stratification of patients as an increasing body of evidence suggests that the presence of fibrosis is related to adverse events and prognosis. This review summarises the current evidence regarding the utility of CMR in the left ventricular assessment of patients with aortic stenosis or mitral regurgitation and its value in diagnosis, risk stratification, and management.

求助全文
通过发布文献求助,成功后即可免费获取论文全文。 去求助
来源期刊
HISTORY OF EDUCATION QUARTERLY
HISTORY OF EDUCATION QUARTERLY EDUCATION & EDUCATIONAL RESEARCH-
CiteScore
1.10
自引率
0.00%
发文量
40
期刊介绍: History of Education Quarterly publishes topics that span the history of education, both formal and nonformal, including the history of childhood, youth, and the family. The subjects are not limited to any time period and are universal in scope.
×
引用
GB/T 7714-2015
复制
MLA
复制
APA
复制
导出至
BibTeX EndNote RefMan NoteFirst NoteExpress
×
提示
您的信息不完整,为了账户安全,请先补充。
现在去补充
×
提示
您因"违规操作"
具体请查看互助需知
我知道了
×
提示
确定
请完成安全验证×
copy
已复制链接
快去分享给好友吧!
我知道了
右上角分享
点击右上角分享
0
联系我们:info@booksci.cn Book学术提供免费学术资源搜索服务,方便国内外学者检索中英文文献。致力于提供最便捷和优质的服务体验。 Copyright © 2023 布克学术 All rights reserved.
京ICP备2023020795号-1
ghs 京公网安备 11010802042870号
Book学术文献互助
Book学术文献互助群
群 号:604180095
Book学术官方微信