表现为慢性脑膜炎的原发性弥漫性脑膜原始神经外胚层肿瘤。

IF 1.2 4区 医学 Q3 MEDICINE, GENERAL & INTERNAL
K G Koshy, G B Kulkarni, B N Nandeesh, A V Taalapalli
{"title":"表现为慢性脑膜炎的原发性弥漫性脑膜原始神经外胚层肿瘤。","authors":"K G Koshy, G B Kulkarni, B N Nandeesh, A V Taalapalli","doi":"10.4103/jpgm.jpgm_495_22","DOIUrl":null,"url":null,"abstract":"<p><p>Primary diffuse leptomeningeal primitive neuroectodermal tumor is a rare meningeal neoplasm which can masquerade as chronic meningitis. While the clinical presentation and radiological features may provide a clue to this condition, meningeal biopsy is essential to clinch the diagnosis. A high index of suspicion and a low threshold for re-evaluating cases of neuroinfection that do not respond to empirical therapy are essential in this scenario. We present the case of a nine year old boy who was initiated on antituberculous treatment for chronic meningitis with hydrocephalus. Meningeal biopsy revealed a primary diffuse leptomeningeal primitive neuroectodermal tumor.</p>","PeriodicalId":16860,"journal":{"name":"Journal of Postgraduate Medicine","volume":" ","pages":"46-49"},"PeriodicalIF":1.2000,"publicationDate":"2024-01-01","publicationTypes":"Journal Article","fieldsOfStudy":null,"isOpenAccess":false,"openAccessPdf":"https://www.ncbi.nlm.nih.gov/pmc/articles/PMC10947726/pdf/","citationCount":"0","resultStr":"{\"title\":\"Primary diffuse leptomeningeal primitive neuroectodermal tumor presenting as chronic meningitis.\",\"authors\":\"K G Koshy, G B Kulkarni, B N Nandeesh, A V Taalapalli\",\"doi\":\"10.4103/jpgm.jpgm_495_22\",\"DOIUrl\":null,\"url\":null,\"abstract\":\"<p><p>Primary diffuse leptomeningeal primitive neuroectodermal tumor is a rare meningeal neoplasm which can masquerade as chronic meningitis. While the clinical presentation and radiological features may provide a clue to this condition, meningeal biopsy is essential to clinch the diagnosis. A high index of suspicion and a low threshold for re-evaluating cases of neuroinfection that do not respond to empirical therapy are essential in this scenario. We present the case of a nine year old boy who was initiated on antituberculous treatment for chronic meningitis with hydrocephalus. Meningeal biopsy revealed a primary diffuse leptomeningeal primitive neuroectodermal tumor.</p>\",\"PeriodicalId\":16860,\"journal\":{\"name\":\"Journal of Postgraduate Medicine\",\"volume\":\" \",\"pages\":\"46-49\"},\"PeriodicalIF\":1.2000,\"publicationDate\":\"2024-01-01\",\"publicationTypes\":\"Journal Article\",\"fieldsOfStudy\":null,\"isOpenAccess\":false,\"openAccessPdf\":\"https://www.ncbi.nlm.nih.gov/pmc/articles/PMC10947726/pdf/\",\"citationCount\":\"0\",\"resultStr\":null,\"platform\":\"Semanticscholar\",\"paperid\":null,\"PeriodicalName\":\"Journal of Postgraduate Medicine\",\"FirstCategoryId\":\"3\",\"ListUrlMain\":\"https://doi.org/10.4103/jpgm.jpgm_495_22\",\"RegionNum\":4,\"RegionCategory\":\"医学\",\"ArticlePicture\":[],\"TitleCN\":null,\"AbstractTextCN\":null,\"PMCID\":null,\"EPubDate\":\"\",\"PubModel\":\"\",\"JCR\":\"Q3\",\"JCRName\":\"MEDICINE, GENERAL & INTERNAL\",\"Score\":null,\"Total\":0}","platform":"Semanticscholar","paperid":null,"PeriodicalName":"Journal of Postgraduate Medicine","FirstCategoryId":"3","ListUrlMain":"https://doi.org/10.4103/jpgm.jpgm_495_22","RegionNum":4,"RegionCategory":"医学","ArticlePicture":[],"TitleCN":null,"AbstractTextCN":null,"PMCID":null,"EPubDate":"","PubModel":"","JCR":"Q3","JCRName":"MEDICINE, GENERAL & INTERNAL","Score":null,"Total":0}
引用次数: 0

摘要

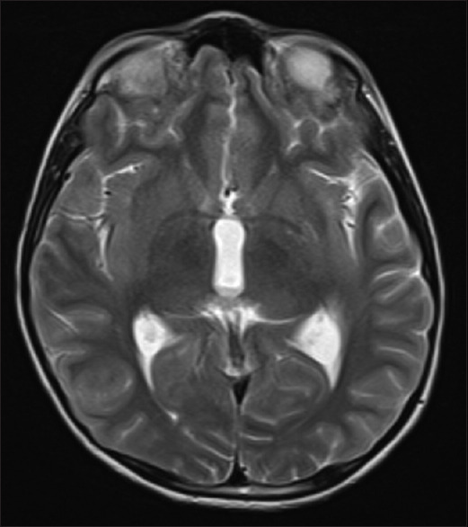
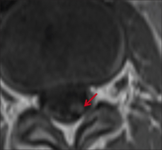
原发性弥漫性脑膜原始神经外胚层肿瘤是一种罕见的脑膜肿瘤,可伪装成慢性脑膜炎。虽然临床表现和放射学特征可为这种疾病提供线索,但脑膜活检是确诊的关键。在这种情况下,对经验性治疗无效的神经感染病例进行重新评估时,必须保持高度的怀疑和较低的门槛。我们介绍了一个 9 岁男孩的病例,他因慢性脑膜炎伴脑积水开始接受抗结核治疗。脑膜活检显示他患有原发性弥漫性脑膜原始神经外胚层肿瘤。
本文章由计算机程序翻译,如有差异,请以英文原文为准。

Primary diffuse leptomeningeal primitive neuroectodermal tumor presenting as chronic meningitis.

Primary diffuse leptomeningeal primitive neuroectodermal tumor presenting as chronic meningitis.

Primary diffuse leptomeningeal primitive neuroectodermal tumor presenting as chronic meningitis.

Primary diffuse leptomeningeal primitive neuroectodermal tumor presenting as chronic meningitis.

Primary diffuse leptomeningeal primitive neuroectodermal tumor is a rare meningeal neoplasm which can masquerade as chronic meningitis. While the clinical presentation and radiological features may provide a clue to this condition, meningeal biopsy is essential to clinch the diagnosis. A high index of suspicion and a low threshold for re-evaluating cases of neuroinfection that do not respond to empirical therapy are essential in this scenario. We present the case of a nine year old boy who was initiated on antituberculous treatment for chronic meningitis with hydrocephalus. Meningeal biopsy revealed a primary diffuse leptomeningeal primitive neuroectodermal tumor.

求助全文
通过发布文献求助,成功后即可免费获取论文全文。 去求助
来源期刊
Journal of Postgraduate Medicine
Journal of Postgraduate Medicine 医学-医学:内科
CiteScore
2.00
自引率
0.00%
发文量
76
审稿时长
40 weeks
期刊介绍: The journal will cover technical, clinical and bioengineering studies related to human well being including ethical and social issues. The journal gives preference to clinically oriented studies over experimental and animal studies. The Journal would publish peer-reviewed original research papers, case reports, systematic reviews, meta-analysis, and debates.
×
引用
GB/T 7714-2015
复制
MLA
复制
APA
复制
导出至
BibTeX EndNote RefMan NoteFirst NoteExpress
×
提示
您的信息不完整,为了账户安全,请先补充。
现在去补充
×
提示
您因"违规操作"
具体请查看互助需知
我知道了
×
提示
确定
请完成安全验证×
copy
已复制链接
快去分享给好友吧!
我知道了
右上角分享
点击右上角分享
0
联系我们:info@booksci.cn Book学术提供免费学术资源搜索服务,方便国内外学者检索中英文文献。致力于提供最便捷和优质的服务体验。 Copyright © 2023 布克学术 All rights reserved.
京ICP备2023020795号-1
ghs 京公网安备 11010802042870号
Book学术文献互助
Book学术文献互助群
群 号:604180095
Book学术官方微信