蛛网膜肉芽的颅内空气吸收:经蝶窦手术的新考虑和对神经流体动力学的影响。

IF 3.2
Shinji Naganawa, Rintaro Ito, Mariko Kawamura, Toshiaki Taoka
{"title":"蛛网膜肉芽的颅内空气吸收:经蝶窦手术的新考虑和对神经流体动力学的影响。","authors":"Shinji Naganawa, Rintaro Ito, Mariko Kawamura, Toshiaki Taoka","doi":"10.2463/mrms.bc.2023-0122","DOIUrl":null,"url":null,"abstract":"<p><p>Postsurgery intracranial air usually diminishes, presumably merging with cerebrospinal fluid (CSF) and venous circulation. Our study presents two transsphenoidal surgery cases, highlighting potential air absorption by arachnoid granulation (AG)-an underexplored phenomenon. AG has long been deemed pivotal for CSF absorption, but recent perspectives suggest a significant role in waste clearance, neuroinflammation, and neuroimmunity. These cases may stimulate renewed research on the multifaceted role of AG in neurofluid dynamics and potentially elucidate further AG functions.</p>","PeriodicalId":94126,"journal":{"name":"Magnetic resonance in medical sciences : MRMS : an official journal of Japan Society of Magnetic Resonance in Medicine","volume":" ","pages":"144-147"},"PeriodicalIF":3.2000,"publicationDate":"2025-01-01","publicationTypes":"Journal Article","fieldsOfStudy":null,"isOpenAccess":false,"openAccessPdf":"https://www.ncbi.nlm.nih.gov/pmc/articles/PMC11733512/pdf/","citationCount":"0","resultStr":"{\"title\":\"Intracranial Air Absorption through Arachnoid Granulation: New Considerations from Transsphenoidal Surgery and Implications for Neurofluid Dynamics.\",\"authors\":\"Shinji Naganawa, Rintaro Ito, Mariko Kawamura, Toshiaki Taoka\",\"doi\":\"10.2463/mrms.bc.2023-0122\",\"DOIUrl\":null,\"url\":null,\"abstract\":\"<p><p>Postsurgery intracranial air usually diminishes, presumably merging with cerebrospinal fluid (CSF) and venous circulation. Our study presents two transsphenoidal surgery cases, highlighting potential air absorption by arachnoid granulation (AG)-an underexplored phenomenon. AG has long been deemed pivotal for CSF absorption, but recent perspectives suggest a significant role in waste clearance, neuroinflammation, and neuroimmunity. These cases may stimulate renewed research on the multifaceted role of AG in neurofluid dynamics and potentially elucidate further AG functions.</p>\",\"PeriodicalId\":94126,\"journal\":{\"name\":\"Magnetic resonance in medical sciences : MRMS : an official journal of Japan Society of Magnetic Resonance in Medicine\",\"volume\":\" \",\"pages\":\"144-147\"},\"PeriodicalIF\":3.2000,\"publicationDate\":\"2025-01-01\",\"publicationTypes\":\"Journal Article\",\"fieldsOfStudy\":null,\"isOpenAccess\":false,\"openAccessPdf\":\"https://www.ncbi.nlm.nih.gov/pmc/articles/PMC11733512/pdf/\",\"citationCount\":\"0\",\"resultStr\":null,\"platform\":\"Semanticscholar\",\"paperid\":null,\"PeriodicalName\":\"Magnetic resonance in medical sciences : MRMS : an official journal of Japan Society of Magnetic Resonance in Medicine\",\"FirstCategoryId\":\"1085\",\"ListUrlMain\":\"https://doi.org/10.2463/mrms.bc.2023-0122\",\"RegionNum\":0,\"RegionCategory\":null,\"ArticlePicture\":[],\"TitleCN\":null,\"AbstractTextCN\":null,\"PMCID\":null,\"EPubDate\":\"2023/11/10 0:00:00\",\"PubModel\":\"Epub\",\"JCR\":\"\",\"JCRName\":\"\",\"Score\":null,\"Total\":0}","platform":"Semanticscholar","paperid":null,"PeriodicalName":"Magnetic resonance in medical sciences : MRMS : an official journal of Japan Society of Magnetic Resonance in Medicine","FirstCategoryId":"1085","ListUrlMain":"https://doi.org/10.2463/mrms.bc.2023-0122","RegionNum":0,"RegionCategory":null,"ArticlePicture":[],"TitleCN":null,"AbstractTextCN":null,"PMCID":null,"EPubDate":"2023/11/10 0:00:00","PubModel":"Epub","JCR":"","JCRName":"","Score":null,"Total":0}
引用次数: 0

摘要

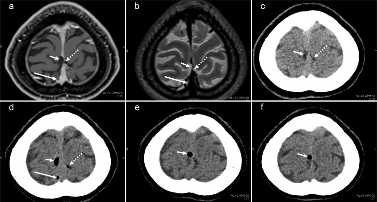
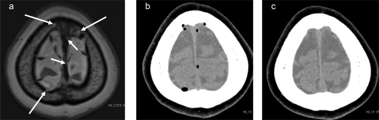
术后颅内空气通常减少,可能与脑脊液(CSF)和静脉循环合并。我们的研究报告了两个经蝶窦手术病例,突出了蛛网膜肉芽(AG)潜在的空气吸收-一个未被充分探索的现象。长期以来,AG一直被认为是脑脊液吸收的关键,但最近的观点表明,AG在废物清除、神经炎症和神经免疫中发挥着重要作用。这些病例可能会激发对AG在神经流体动力学中的多方面作用的新研究,并有可能进一步阐明AG的功能。
本文章由计算机程序翻译,如有差异,请以英文原文为准。

Intracranial Air Absorption through Arachnoid Granulation: New Considerations from Transsphenoidal Surgery and Implications for Neurofluid Dynamics.

Intracranial Air Absorption through Arachnoid Granulation: New Considerations from Transsphenoidal Surgery and Implications for Neurofluid Dynamics.

Intracranial Air Absorption through Arachnoid Granulation: New Considerations from Transsphenoidal Surgery and Implications for Neurofluid Dynamics.

Intracranial Air Absorption through Arachnoid Granulation: New Considerations from Transsphenoidal Surgery and Implications for Neurofluid Dynamics.

Postsurgery intracranial air usually diminishes, presumably merging with cerebrospinal fluid (CSF) and venous circulation. Our study presents two transsphenoidal surgery cases, highlighting potential air absorption by arachnoid granulation (AG)-an underexplored phenomenon. AG has long been deemed pivotal for CSF absorption, but recent perspectives suggest a significant role in waste clearance, neuroinflammation, and neuroimmunity. These cases may stimulate renewed research on the multifaceted role of AG in neurofluid dynamics and potentially elucidate further AG functions.

求助全文
通过发布文献求助,成功后即可免费获取论文全文。 去求助
来源期刊
自引率
0.00%
发文量
0
×
引用
GB/T 7714-2015
复制
MLA
复制
APA
复制
导出至
BibTeX EndNote RefMan NoteFirst NoteExpress
×
提示
您的信息不完整,为了账户安全,请先补充。
现在去补充
×
提示
您因"违规操作"
具体请查看互助需知
我知道了
×
提示
确定
请完成安全验证×
copy
已复制链接
快去分享给好友吧!
我知道了
右上角分享
点击右上角分享
0
联系我们:info@booksci.cn Book学术提供免费学术资源搜索服务,方便国内外学者检索中英文文献。致力于提供最便捷和优质的服务体验。 Copyright © 2023 布克学术 All rights reserved.
京ICP备2023020795号-1
ghs 京公网安备 11010802042870号
Book学术文献互助
Book学术文献互助群
群 号:604180095
Book学术官方微信