脑肿瘤报告和数据系统(BT-RADS)在成人原发性脑肿瘤随访中的相互可靠性:意大利单一机构的经验

IF 0.3 4区 文学 Q3 HISTORY & PHILOSOPHY OF SCIENCE
Configurations Pub Date : 2023-11-01 Epub Date: 2023-01-14 DOI:10.21037/qims-22-850
Marco Parillo, Carlo Augusto Mallio, Matteo Pileri, Diab Dirawe, Andrea Romano, Alessandro Bozzao, Brent Weinberg, Carlo Cosimo Quattrocchi
{"title":"脑肿瘤报告和数据系统(BT-RADS)在成人原发性脑肿瘤随访中的相互可靠性:意大利单一机构的经验","authors":"Marco Parillo, Carlo Augusto Mallio, Matteo Pileri, Diab Dirawe, Andrea Romano, Alessandro Bozzao, Brent Weinberg, Carlo Cosimo Quattrocchi","doi":"10.21037/qims-22-850","DOIUrl":null,"url":null,"abstract":"<p><strong>Background: </strong>In 2018, a new system was proposed for classifying and reporting post-treatment adult brain tumor on magnetic resonance imaging, named as Brain Tumor Reporting and Data System (BT-RADS), that needs a validation by means of agreement studies.</p><p><strong>Methods: </strong>A retrospective study was designed with the aim of identifying contrast-enhanced magnetic resonance imaging (MRI) of adult patients on follow-up for primary brain tumor at Fondazione Policlinico Campus Bio-Medico. Four radiologists (2 radiology residents, 1 general radiologist, 1 neuroradiologist) read and scored each study using the BT-RADS scoring tool, blinded to the MRI original report. Interobserver agreement and Fleiss' k were calculated to assess the level of diagnostic agreement. It was assessed how many times the assignment of different scoring of BT-RADS would have led to a different patient management.</p><p><strong>Results: </strong>The total number of patients included in the study was 23 with 147 MRIs and a total of 588 BT-RADS scores retrospectively evaluated. The two most frequent tumor types were astrocytoma grade 4 (62%) and oligodendroglioma grade 3 (21%). The overall agreement rate for all 4 radiologists was 82% with a Fleiss' k of 0.70. The overall agreement rate between general radiologist and neuroradiologist was 91% with a Fleiss' k of 0.86. The overall agreement rate between 2 radiology residents and neuroradiologist was 80% with a Fleiss' k of 0.66. Astrocytoma grade 3 (k: 0.51) and oligodendroglioma grade 2 (k: 0.32) showed a poor agreement while higher values of agreement were found for astrocytoma grade 4 (k: 0.70), astrocytoma grade 2 (k: 0.78) and oligodendroglioma grade 3 (k: 0.78). All the radiologists agreed on BT-RADS assignment in 70% patients, three radiologists agreed in 17% and two radiologists agree in 13%. In no cases there was a complete disagreement among the readers. In 18% of cases the discrepancy in the estimated BT-RADS would have led to a different follow-up management.</p><p><strong>Conclusions: </strong>BT-RADS can be considered a valid tool for neuroradiologists and radiologists even with little experience in the interpretation of patients' images during follow-up for adult primary brain tumors supporting standardized interpretation, reporting and clinical management.</p>","PeriodicalId":55630,"journal":{"name":"Configurations","volume":"2 1","pages":"7423-7431"},"PeriodicalIF":0.3000,"publicationDate":"2023-11-01","publicationTypes":"Journal Article","fieldsOfStudy":null,"isOpenAccess":false,"openAccessPdf":"https://www.ncbi.nlm.nih.gov/pmc/articles/PMC10644140/pdf/","citationCount":"0","resultStr":"{\"title\":\"Interrater reliability of Brain Tumor Reporting and Data System (BT-RADS) in the follow up of adult primary brain tumors: a single institution experience in Italy.\",\"authors\":\"Marco Parillo, Carlo Augusto Mallio, Matteo Pileri, Diab Dirawe, Andrea Romano, Alessandro Bozzao, Brent Weinberg, Carlo Cosimo Quattrocchi\",\"doi\":\"10.21037/qims-22-850\",\"DOIUrl\":null,\"url\":null,\"abstract\":\"<p><strong>Background: </strong>In 2018, a new system was proposed for classifying and reporting post-treatment adult brain tumor on magnetic resonance imaging, named as Brain Tumor Reporting and Data System (BT-RADS), that needs a validation by means of agreement studies.</p><p><strong>Methods: </strong>A retrospective study was designed with the aim of identifying contrast-enhanced magnetic resonance imaging (MRI) of adult patients on follow-up for primary brain tumor at Fondazione Policlinico Campus Bio-Medico. Four radiologists (2 radiology residents, 1 general radiologist, 1 neuroradiologist) read and scored each study using the BT-RADS scoring tool, blinded to the MRI original report. Interobserver agreement and Fleiss' k were calculated to assess the level of diagnostic agreement. It was assessed how many times the assignment of different scoring of BT-RADS would have led to a different patient management.</p><p><strong>Results: </strong>The total number of patients included in the study was 23 with 147 MRIs and a total of 588 BT-RADS scores retrospectively evaluated. The two most frequent tumor types were astrocytoma grade 4 (62%) and oligodendroglioma grade 3 (21%). The overall agreement rate for all 4 radiologists was 82% with a Fleiss' k of 0.70. The overall agreement rate between general radiologist and neuroradiologist was 91% with a Fleiss' k of 0.86. The overall agreement rate between 2 radiology residents and neuroradiologist was 80% with a Fleiss' k of 0.66. Astrocytoma grade 3 (k: 0.51) and oligodendroglioma grade 2 (k: 0.32) showed a poor agreement while higher values of agreement were found for astrocytoma grade 4 (k: 0.70), astrocytoma grade 2 (k: 0.78) and oligodendroglioma grade 3 (k: 0.78). All the radiologists agreed on BT-RADS assignment in 70% patients, three radiologists agreed in 17% and two radiologists agree in 13%. In no cases there was a complete disagreement among the readers. In 18% of cases the discrepancy in the estimated BT-RADS would have led to a different follow-up management.</p><p><strong>Conclusions: </strong>BT-RADS can be considered a valid tool for neuroradiologists and radiologists even with little experience in the interpretation of patients' images during follow-up for adult primary brain tumors supporting standardized interpretation, reporting and clinical management.</p>\",\"PeriodicalId\":55630,\"journal\":{\"name\":\"Configurations\",\"volume\":\"2 1\",\"pages\":\"7423-7431\"},\"PeriodicalIF\":0.3000,\"publicationDate\":\"2023-11-01\",\"publicationTypes\":\"Journal Article\",\"fieldsOfStudy\":null,\"isOpenAccess\":false,\"openAccessPdf\":\"https://www.ncbi.nlm.nih.gov/pmc/articles/PMC10644140/pdf/\",\"citationCount\":\"0\",\"resultStr\":null,\"platform\":\"Semanticscholar\",\"paperid\":null,\"PeriodicalName\":\"Configurations\",\"FirstCategoryId\":\"3\",\"ListUrlMain\":\"https://doi.org/10.21037/qims-22-850\",\"RegionNum\":4,\"RegionCategory\":\"文学\",\"ArticlePicture\":[],\"TitleCN\":null,\"AbstractTextCN\":null,\"PMCID\":null,\"EPubDate\":\"2023/1/14 0:00:00\",\"PubModel\":\"Epub\",\"JCR\":\"Q3\",\"JCRName\":\"HISTORY & PHILOSOPHY OF SCIENCE\",\"Score\":null,\"Total\":0}","platform":"Semanticscholar","paperid":null,"PeriodicalName":"Configurations","FirstCategoryId":"3","ListUrlMain":"https://doi.org/10.21037/qims-22-850","RegionNum":4,"RegionCategory":"文学","ArticlePicture":[],"TitleCN":null,"AbstractTextCN":null,"PMCID":null,"EPubDate":"2023/1/14 0:00:00","PubModel":"Epub","JCR":"Q3","JCRName":"HISTORY & PHILOSOPHY OF SCIENCE","Score":null,"Total":0}
引用次数: 0

摘要

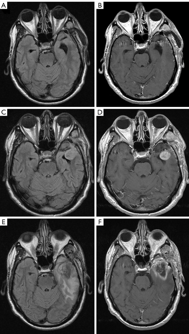
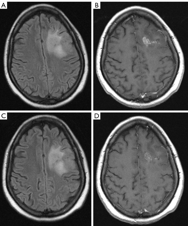
背景:2018年提出了一种新的成人脑肿瘤治疗后磁共振成像分类和报告系统,命名为脑肿瘤报告和数据系统(BT-RADS),需要通过协议研究的方式进行验证。方法:采用回顾性研究方法,对在法国国立政治医学基金会(Fondazione Policlinico Campus Bio-Medico)进行随访的原发性脑肿瘤成年患者进行磁共振成像(MRI)检查。4名放射科医生(2名住院放射科医生,1名普通放射科医生,1名神经放射科医生)阅读并使用BT-RADS评分工具对每项研究进行评分,对MRI原始报告不知情。计算观察者间一致性和Fleiss’k来评估诊断一致性的水平。评估了多少次分配不同的BT-RADS评分会导致不同的患者管理。结果:纳入研究的患者总数为23例,mri 147例,回顾性评估BT-RADS评分588分。两种最常见的肿瘤类型是星形细胞瘤4级(62%)和少突胶质细胞瘤3级(21%)。所有4位放射科医生的总体一致性率为82%,Fleiss’k为0.70。普通放射科医生和神经放射科医生的总体一致性为91%,Fleiss’k为0.86。2名放射科住院医师与神经放射科医师的总体一致性率为80%,Fleiss’k为0.66。星形细胞瘤3级(k: 0.51)和少突胶质细胞瘤2级(k: 0.32)的一致性较差,而星形细胞瘤4级(k: 0.70)、星形细胞瘤2级(k: 0.78)和少突胶质细胞瘤3级(k: 0.78)的一致性较高。所有放射科医生同意70%患者的BT-RADS分配,三位放射科医生同意17%,两位放射科医生同意13%。在任何情况下,读者之间都没有完全的分歧。在18%的病例中,估计的BT-RADS的差异会导致不同的后续管理。结论:对于神经放射科医生和放射科医生来说,BT-RADS可以被认为是一种有效的工具,即使他们在成人原发性脑肿瘤随访期间对患者图像的解释经验很少,也可以支持标准化的解释、报告和临床管理。
本文章由计算机程序翻译,如有差异,请以英文原文为准。

Interrater reliability of Brain Tumor Reporting and Data System (BT-RADS) in the follow up of adult primary brain tumors: a single institution experience in Italy.

Interrater reliability of Brain Tumor Reporting and Data System (BT-RADS) in the follow up of adult primary brain tumors: a single institution experience in Italy.

Interrater reliability of Brain Tumor Reporting and Data System (BT-RADS) in the follow up of adult primary brain tumors: a single institution experience in Italy.

Interrater reliability of Brain Tumor Reporting and Data System (BT-RADS) in the follow up of adult primary brain tumors: a single institution experience in Italy.

Background: In 2018, a new system was proposed for classifying and reporting post-treatment adult brain tumor on magnetic resonance imaging, named as Brain Tumor Reporting and Data System (BT-RADS), that needs a validation by means of agreement studies.

Methods: A retrospective study was designed with the aim of identifying contrast-enhanced magnetic resonance imaging (MRI) of adult patients on follow-up for primary brain tumor at Fondazione Policlinico Campus Bio-Medico. Four radiologists (2 radiology residents, 1 general radiologist, 1 neuroradiologist) read and scored each study using the BT-RADS scoring tool, blinded to the MRI original report. Interobserver agreement and Fleiss' k were calculated to assess the level of diagnostic agreement. It was assessed how many times the assignment of different scoring of BT-RADS would have led to a different patient management.

Results: The total number of patients included in the study was 23 with 147 MRIs and a total of 588 BT-RADS scores retrospectively evaluated. The two most frequent tumor types were astrocytoma grade 4 (62%) and oligodendroglioma grade 3 (21%). The overall agreement rate for all 4 radiologists was 82% with a Fleiss' k of 0.70. The overall agreement rate between general radiologist and neuroradiologist was 91% with a Fleiss' k of 0.86. The overall agreement rate between 2 radiology residents and neuroradiologist was 80% with a Fleiss' k of 0.66. Astrocytoma grade 3 (k: 0.51) and oligodendroglioma grade 2 (k: 0.32) showed a poor agreement while higher values of agreement were found for astrocytoma grade 4 (k: 0.70), astrocytoma grade 2 (k: 0.78) and oligodendroglioma grade 3 (k: 0.78). All the radiologists agreed on BT-RADS assignment in 70% patients, three radiologists agreed in 17% and two radiologists agree in 13%. In no cases there was a complete disagreement among the readers. In 18% of cases the discrepancy in the estimated BT-RADS would have led to a different follow-up management.

Conclusions: BT-RADS can be considered a valid tool for neuroradiologists and radiologists even with little experience in the interpretation of patients' images during follow-up for adult primary brain tumors supporting standardized interpretation, reporting and clinical management.

求助全文
通过发布文献求助,成功后即可免费获取论文全文。 去求助
来源期刊
Configurations
Configurations Arts and Humanities-Literature and Literary Theory
CiteScore
0.50
自引率
0.00%
发文量
33
期刊介绍: Configurations explores the relations of literature and the arts to the sciences and technology. Founded in 1993, the journal continues to set the stage for transdisciplinary research concerning the interplay between science, technology, and the arts. Configurations is the official publication of the Society for Literature, Science, and the Arts (SLSA).
×
引用
GB/T 7714-2015
复制
MLA
复制
APA
复制
导出至
BibTeX EndNote RefMan NoteFirst NoteExpress
×
提示
您的信息不完整,为了账户安全,请先补充。
现在去补充
×
提示
您因"违规操作"
具体请查看互助需知
我知道了
×
提示
确定
请完成安全验证×
copy
已复制链接
快去分享给好友吧!
我知道了
右上角分享
点击右上角分享
0
联系我们:info@booksci.cn Book学术提供免费学术资源搜索服务,方便国内外学者检索中英文文献。致力于提供最便捷和优质的服务体验。 Copyright © 2023 布克学术 All rights reserved.
京ICP备2023020795号-1
ghs 京公网安备 11010802042870号
Book学术文献互助
Book学术文献互助群
群 号:604180095
Book学术官方微信