细胞周期蛋白 D1 的过度表达是晚期乳腺癌的一个积极预后因素。

Pub Date : 2023-11-27 eCollection Date: 2023-01-01 DOI:10.14744/nci.2022.32657
Asude Aksoy, Merve Sevim, Gokhan Artas
{"title":"细胞周期蛋白 D1 的过度表达是晚期乳腺癌的一个积极预后因素。","authors":"Asude Aksoy, Merve Sevim, Gokhan Artas","doi":"10.14744/nci.2022.32657","DOIUrl":null,"url":null,"abstract":"<p><strong>Objective: </strong>Cyclin D1 (CDDN1) is a protein required for mitotic cell cycle progression through the G1 phase, as well as a regulatory component of the cyclin-dependent kinases CDK4 and CDK6. In this study, we wanted to evaluate the relationship between CDDN1 expression and clinicopathological features in breast cancer (BC) cases and whether CDDN1 could be used as a prognostic biomarker for BC cases.</p><p><strong>Methods: </strong>A total of 70 cases, 30 cases each with limited and advanced-stage BC, and as the control group, 10 healthy breast tissue, without a cancer diagnosis, with examined for benign reasons (mammoplasty, breast reduction surgery, etc.) were included in this study. The pathological specimens from the cases were stained, immunohistochemically, and categorized as a \"low\" (L) group or a \"high\" (H) group for CDDN1 expression. The cases' clinicopathological features and survival rates were evaluated statistically, within a 95% of confidence interval, p<0.05, retrospectively.</p><p><strong>Results: </strong>The median follow-up period of the cases was 48.00 (range, 6-150) months. CDDN1 expression was significantly higher in advanced-stage BC cases than in normal breast tissue and limited-stage BC cases. The median overall survival (OS) was 96 months (CI 95%: 67.74-117.59) in the H-CDDN1 group, compared to the L-CDDN1 group not reached, but there was no relation (p>0.05). CDDN1 overexpression was more prominent in low-grade advanced BC cases (p=0.004). The median OS of advanced-stage BC cases with Grade 1 was significantly longer than those with other grades (p=0.04).</p><p><strong>Conclusion: </strong>Our results suggest that CDDN1 expression can be used as a potentially appropriate positive prognostic biomarker for advanced-stage BC cases.</p>","PeriodicalId":74933,"journal":{"name":"","volume":"37 1","pages":"726-733"},"PeriodicalIF":0.0,"publicationDate":"2023-11-27","publicationTypes":"Journal Article","fieldsOfStudy":null,"isOpenAccess":false,"openAccessPdf":"https://www.ncbi.nlm.nih.gov/pmc/articles/PMC10846570/pdf/","citationCount":"0","resultStr":"{\"title\":\"The overexpression of cyclin D1 is a positive prognostic factor in advanced-stage breast carcinoma cases.\",\"authors\":\"Asude Aksoy, Merve Sevim, Gokhan Artas\",\"doi\":\"10.14744/nci.2022.32657\",\"DOIUrl\":null,\"url\":null,\"abstract\":\"<p><strong>Objective: </strong>Cyclin D1 (CDDN1) is a protein required for mitotic cell cycle progression through the G1 phase, as well as a regulatory component of the cyclin-dependent kinases CDK4 and CDK6. In this study, we wanted to evaluate the relationship between CDDN1 expression and clinicopathological features in breast cancer (BC) cases and whether CDDN1 could be used as a prognostic biomarker for BC cases.</p><p><strong>Methods: </strong>A total of 70 cases, 30 cases each with limited and advanced-stage BC, and as the control group, 10 healthy breast tissue, without a cancer diagnosis, with examined for benign reasons (mammoplasty, breast reduction surgery, etc.) were included in this study. The pathological specimens from the cases were stained, immunohistochemically, and categorized as a \\\"low\\\" (L) group or a \\\"high\\\" (H) group for CDDN1 expression. The cases' clinicopathological features and survival rates were evaluated statistically, within a 95% of confidence interval, p<0.05, retrospectively.</p><p><strong>Results: </strong>The median follow-up period of the cases was 48.00 (range, 6-150) months. CDDN1 expression was significantly higher in advanced-stage BC cases than in normal breast tissue and limited-stage BC cases. The median overall survival (OS) was 96 months (CI 95%: 67.74-117.59) in the H-CDDN1 group, compared to the L-CDDN1 group not reached, but there was no relation (p>0.05). CDDN1 overexpression was more prominent in low-grade advanced BC cases (p=0.004). The median OS of advanced-stage BC cases with Grade 1 was significantly longer than those with other grades (p=0.04).</p><p><strong>Conclusion: </strong>Our results suggest that CDDN1 expression can be used as a potentially appropriate positive prognostic biomarker for advanced-stage BC cases.</p>\",\"PeriodicalId\":74933,\"journal\":{\"name\":\"\",\"volume\":\"37 1\",\"pages\":\"726-733\"},\"PeriodicalIF\":0.0,\"publicationDate\":\"2023-11-27\",\"publicationTypes\":\"Journal Article\",\"fieldsOfStudy\":null,\"isOpenAccess\":false,\"openAccessPdf\":\"https://www.ncbi.nlm.nih.gov/pmc/articles/PMC10846570/pdf/\",\"citationCount\":\"0\",\"resultStr\":null,\"platform\":\"Semanticscholar\",\"paperid\":null,\"PeriodicalName\":\"\",\"FirstCategoryId\":\"1085\",\"ListUrlMain\":\"https://doi.org/10.14744/nci.2022.32657\",\"RegionNum\":0,\"RegionCategory\":null,\"ArticlePicture\":[],\"TitleCN\":null,\"AbstractTextCN\":null,\"PMCID\":null,\"EPubDate\":\"2023/1/1 0:00:00\",\"PubModel\":\"eCollection\",\"JCR\":\"\",\"JCRName\":\"\",\"Score\":null,\"Total\":0}","platform":"Semanticscholar","paperid":null,"PeriodicalName":"","FirstCategoryId":"1085","ListUrlMain":"https://doi.org/10.14744/nci.2022.32657","RegionNum":0,"RegionCategory":null,"ArticlePicture":[],"TitleCN":null,"AbstractTextCN":null,"PMCID":null,"EPubDate":"2023/1/1 0:00:00","PubModel":"eCollection","JCR":"","JCRName":"","Score":null,"Total":0}
引用次数: 0

摘要

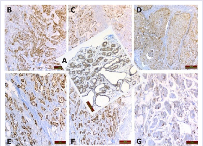
目的:细胞周期蛋白 D1(CDDN1)是有丝分裂细胞周期进展到 G1 期所必需的蛋白质,也是细胞周期蛋白依赖性激酶 CDK4 和 CDK6 的调控成分。在本研究中,我们希望评估乳腺癌(BC)病例中 CDDN1 表达与临床病理特征之间的关系,以及 CDDN1 是否可用作 BC 病例的预后生物标志物:方法:本研究共纳入70例病例,其中局限期和晚期BC各30例,对照组为10例因良性原因(乳房整形、乳房缩小手术等)检查的未确诊为癌症的健康乳腺组织。病例的病理标本经免疫组化染色后,分为 CDDN1 表达 "低"(L)组和 "高"(H)组。对病例的临床病理特征和存活率进行统计评估,置信区间为95%,P为0:病例的中位随访时间为 48.00 个月(6-150 个月)。CDDN1在晚期乳腺癌病例中的表达明显高于正常乳腺组织和局限期乳腺癌病例。H-CDDN1组的中位总生存期(OS)为96个月(CI 95%:67.74-117.59),而L-CDDN1组的中位总生存期未达到96个月,但两者之间没有关系(P>0.05)。CDDN1过表达在低级别晚期BC病例中更为突出(P=0.004)。1级晚期BC病例的中位OS明显长于其他级别(P=0.04):我们的研究结果表明,CDDN1的表达可作为晚期BC病例的潜在预后阳性生物标志物。
本文章由计算机程序翻译,如有差异,请以英文原文为准。

The overexpression of cyclin D1 is a positive prognostic factor in advanced-stage breast carcinoma cases.

The overexpression of cyclin D1 is a positive prognostic factor in advanced-stage breast carcinoma cases.

The overexpression of cyclin D1 is a positive prognostic factor in advanced-stage breast carcinoma cases.

Objective: Cyclin D1 (CDDN1) is a protein required for mitotic cell cycle progression through the G1 phase, as well as a regulatory component of the cyclin-dependent kinases CDK4 and CDK6. In this study, we wanted to evaluate the relationship between CDDN1 expression and clinicopathological features in breast cancer (BC) cases and whether CDDN1 could be used as a prognostic biomarker for BC cases.

Methods: A total of 70 cases, 30 cases each with limited and advanced-stage BC, and as the control group, 10 healthy breast tissue, without a cancer diagnosis, with examined for benign reasons (mammoplasty, breast reduction surgery, etc.) were included in this study. The pathological specimens from the cases were stained, immunohistochemically, and categorized as a "low" (L) group or a "high" (H) group for CDDN1 expression. The cases' clinicopathological features and survival rates were evaluated statistically, within a 95% of confidence interval, p<0.05, retrospectively.

Results: The median follow-up period of the cases was 48.00 (range, 6-150) months. CDDN1 expression was significantly higher in advanced-stage BC cases than in normal breast tissue and limited-stage BC cases. The median overall survival (OS) was 96 months (CI 95%: 67.74-117.59) in the H-CDDN1 group, compared to the L-CDDN1 group not reached, but there was no relation (p>0.05). CDDN1 overexpression was more prominent in low-grade advanced BC cases (p=0.004). The median OS of advanced-stage BC cases with Grade 1 was significantly longer than those with other grades (p=0.04).

Conclusion: Our results suggest that CDDN1 expression can be used as a potentially appropriate positive prognostic biomarker for advanced-stage BC cases.

求助全文
通过发布文献求助,成功后即可免费获取论文全文。 去求助
×
引用
GB/T 7714-2015
复制
MLA
复制
APA
复制
导出至
BibTeX EndNote RefMan NoteFirst NoteExpress
×
提示
您的信息不完整,为了账户安全,请先补充。
现在去补充
×
提示
您因"违规操作"
具体请查看互助需知
我知道了
×
提示
确定
请完成安全验证×
copy
已复制链接
快去分享给好友吧!
我知道了
右上角分享
点击右上角分享
0
联系我们:info@booksci.cn Book学术提供免费学术资源搜索服务,方便国内外学者检索中英文文献。致力于提供最便捷和优质的服务体验。 Copyright © 2023 布克学术 All rights reserved.
京ICP备2023020795号-1
ghs 京公网安备 11010802042870号
Book学术文献互助
Book学术文献互助群
群 号:604180095
Book学术官方微信