小儿胶原性胃炎:缺铁性贫血的一种罕见但重要的病因。

Q3 Social Sciences
Federal Law Review Pub Date : 2023-09-08 eCollection Date: 2023-11-01 DOI:10.1097/PG9.0000000000000351
Madison Romano, Natalia Plott, Andrew Galligan, Racha Khalaf
{"title":"小儿胶原性胃炎:缺铁性贫血的一种罕见但重要的病因。","authors":"Madison Romano, Natalia Plott, Andrew Galligan, Racha Khalaf","doi":"10.1097/PG9.0000000000000351","DOIUrl":null,"url":null,"abstract":"<p><p>An adolescent male with fatigue, weight loss, and iron-deficiency anemia failed to improve with iron supplementation and a gluten-free diet. Endoscopy revealed collagenous gastritis. Pediatric patients with refractory iron deficiency and family history of autoimmune disorders should be referred to pediatric gastroenterology for evaluation of collagenous gastritis and celiac disease.</p>","PeriodicalId":37273,"journal":{"name":"Federal Law Review","volume":"37 1","pages":"e351"},"PeriodicalIF":0.0000,"publicationDate":"2023-09-08","publicationTypes":"Journal Article","fieldsOfStudy":null,"isOpenAccess":false,"openAccessPdf":"https://www.ncbi.nlm.nih.gov/pmc/articles/PMC10684157/pdf/","citationCount":"0","resultStr":"{\"title\":\"Literature Review and a Relevant Case of Pediatric Collagenous Gastritis: A Rare but Important Etiology of Iron-Deficiency Anemia.\",\"authors\":\"Madison Romano, Natalia Plott, Andrew Galligan, Racha Khalaf\",\"doi\":\"10.1097/PG9.0000000000000351\",\"DOIUrl\":null,\"url\":null,\"abstract\":\"<p><p>An adolescent male with fatigue, weight loss, and iron-deficiency anemia failed to improve with iron supplementation and a gluten-free diet. Endoscopy revealed collagenous gastritis. Pediatric patients with refractory iron deficiency and family history of autoimmune disorders should be referred to pediatric gastroenterology for evaluation of collagenous gastritis and celiac disease.</p>\",\"PeriodicalId\":37273,\"journal\":{\"name\":\"Federal Law Review\",\"volume\":\"37 1\",\"pages\":\"e351\"},\"PeriodicalIF\":0.0000,\"publicationDate\":\"2023-09-08\",\"publicationTypes\":\"Journal Article\",\"fieldsOfStudy\":null,\"isOpenAccess\":false,\"openAccessPdf\":\"https://www.ncbi.nlm.nih.gov/pmc/articles/PMC10684157/pdf/\",\"citationCount\":\"0\",\"resultStr\":null,\"platform\":\"Semanticscholar\",\"paperid\":null,\"PeriodicalName\":\"Federal Law Review\",\"FirstCategoryId\":\"1085\",\"ListUrlMain\":\"https://doi.org/10.1097/PG9.0000000000000351\",\"RegionNum\":0,\"RegionCategory\":null,\"ArticlePicture\":[],\"TitleCN\":null,\"AbstractTextCN\":null,\"PMCID\":null,\"EPubDate\":\"2023/11/1 0:00:00\",\"PubModel\":\"eCollection\",\"JCR\":\"Q3\",\"JCRName\":\"Social Sciences\",\"Score\":null,\"Total\":0}","platform":"Semanticscholar","paperid":null,"PeriodicalName":"Federal Law Review","FirstCategoryId":"1085","ListUrlMain":"https://doi.org/10.1097/PG9.0000000000000351","RegionNum":0,"RegionCategory":null,"ArticlePicture":[],"TitleCN":null,"AbstractTextCN":null,"PMCID":null,"EPubDate":"2023/11/1 0:00:00","PubModel":"eCollection","JCR":"Q3","JCRName":"Social Sciences","Score":null,"Total":0}
引用次数: 0

摘要

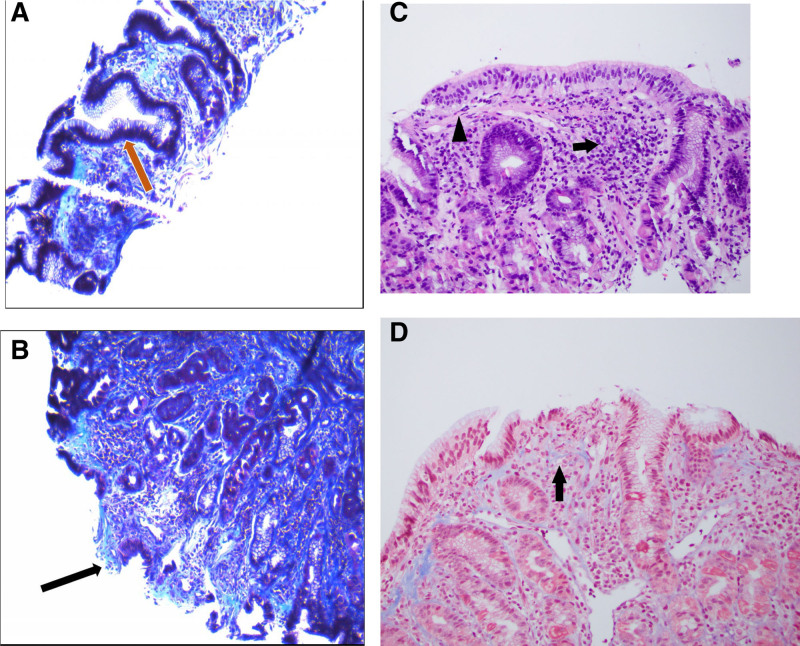
一名患有疲劳、体重减轻和缺铁性贫血的青少年男性在补充铁和无麸质饮食后未能改善。内镜检查显示胶原性胃炎。难治性缺铁和自身免疫性疾病家族史的儿童患者应转到儿科胃肠病学评估胶原性胃炎和乳糜泻。
本文章由计算机程序翻译,如有差异,请以英文原文为准。

Literature Review and a Relevant Case of Pediatric Collagenous Gastritis: A Rare but Important Etiology of Iron-Deficiency Anemia.

Literature Review and a Relevant Case of Pediatric Collagenous Gastritis: A Rare but Important Etiology of Iron-Deficiency Anemia.

Literature Review and a Relevant Case of Pediatric Collagenous Gastritis: A Rare but Important Etiology of Iron-Deficiency Anemia.

An adolescent male with fatigue, weight loss, and iron-deficiency anemia failed to improve with iron supplementation and a gluten-free diet. Endoscopy revealed collagenous gastritis. Pediatric patients with refractory iron deficiency and family history of autoimmune disorders should be referred to pediatric gastroenterology for evaluation of collagenous gastritis and celiac disease.

求助全文
通过发布文献求助,成功后即可免费获取论文全文。 去求助
来源期刊
Federal Law Review
Federal Law Review Social Sciences-Law
CiteScore
1.00
自引率
0.00%
发文量
27
×
引用
GB/T 7714-2015
复制
MLA
复制
APA
复制
导出至
BibTeX EndNote RefMan NoteFirst NoteExpress
×
提示
您的信息不完整,为了账户安全,请先补充。
现在去补充
×
提示
您因"违规操作"
具体请查看互助需知
我知道了
×
提示
确定
请完成安全验证×
copy
已复制链接
快去分享给好友吧!
我知道了
右上角分享
点击右上角分享
0
联系我们:info@booksci.cn Book学术提供免费学术资源搜索服务,方便国内外学者检索中英文文献。致力于提供最便捷和优质的服务体验。 Copyright © 2023 布克学术 All rights reserved.
京ICP备2023020795号-1
ghs 京公网安备 11010802042870号
Book学术文献互助
Book学术文献互助群
群 号:604180095
Book学术官方微信